Odbudowa bezpośrednia korony zęba leczonego endodontycznie

Odbudowa bezpośrednia korony zęba leczonego endodontycznie

Dostęp do tego artykułu jest płatny.
Zapraszamy do zakupu!

Cena: 24.00 PLN (z VAT)

Po dokonaniu zakupu artykuł w postaci pliku PDF prześlemy bezpośrednio pod twój adres e-mail.

Kup artykuł
MS 2023; 12: 44-50.

OPIS PRZYPADKU
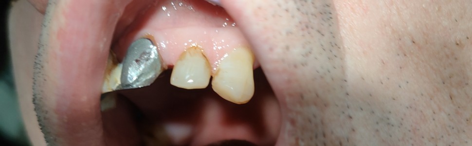
Odbudowa bezpośrednia korony zęba leczonego endodontycznie z zastosowaniem kompozytowego wkładu koronowo-korzeniowego wzmocnionego włóknem szklanym – 5-letnia obserwacja kliniczna

Direct reconstruction of the crown of an endodontically treated tooth using a composite crown-root post reinforced with glass fiber – 5-year clinical observation

Agnieszka Masłowska

Streszczenie
W zębach leczonych kanałowo stopień deficytu  tkanek korony jest najczęściej znaczny, przez co są one zbyt słabe, by sprostać siłom żucia, i narażone na złamania. Może temu zapobiec szczelna odbudowa utraconych tkanek twardych, która jest warunkiem powodzenia leczenia endodontycznego. Wiele czynników wpływa na ostateczny wybór rodzaju uzupełnienia. W przypadku dużych zniszczeń odbudowę naddziąsłowej części zęba umożliwiają wkłady koronowo-korzeniowe. Są to uzupełnienia protetyczne na stałe związane z korzeniem zęba swoją częścią korzeniową. Fragment koronowy stanowi filar pod przyszłą odbudowę. Na rynku dostępne są wkłady wykonane z różnych materiałów, m.in. z kompozytu wzmocnionego włóknem szklanym (standardowe lub indywidualne), które pozwalają na odbudowę zęba za pomocą korony lub metodą bezpośrednią. W pracy przedstawiono przypadek pacjenta, u którego zastosowanie prefabrykowanego ćwieka pozwoliło na odbudowę z użyciem kompozytu mocno zniszczonego zęba w czasie jednej wizyty.

Abstract
The extent of defi cit of the crown tissues in endodontically treated teeth is most often signifi cant,
making them too weak to withstand the chewing forces and exposing them to fractures. The success of endodontic treatment depends on the hermetic reconstruction of lost hard tissues, which can prevent destruction of the teeth. Many factors influence the final choice of the type of restoration. In case of significant damage, the reconstruction of supragingival part of the tooth is possible with root canal posts. These are prosthetic restorations permanently connected to the tooth root with their root part. The crown part is a pillar for future reconstruction. There are posts made of various materials, including glass fiber reinforced composite (standard or individual), which allow reconstructing the tooth with a direct or indirect method. This is the description of the case of a patient with a severely damaged tooth, which was reconstructed with a prefabricated post during a single visit.

Hasła indeksowe: wkłady koronowo-korzeniowe, włókno szklane, odbudowa bezpośrednia

Key words: root canal posts, fiberglass, direct restoration

Piśmiennictwo

  1. European Society of Endodontology developed by: Mannocci F, Bhuva B, Roig M i wsp. European Society of Endodontology position statement. The restoration of root filled teeth. Int Endod J. 2021; 54(11): 1974-1981.
  2. Olek T. Prawidłowa odbudowa zęba decyduje o powodzeniu terapii. Stom po Dypl. 2014; 8. Online: https://podyplomie.pl/stomatologia/17304,prawidlowa-odbudowa-zeba-decyduje-o-powodzeniu-terapii [dostęp: 24.10.2023].
  3. Kurtzman GM. Improving endodontic success through coronal leakage prevention. Inside Dent. 2005; 1(2). Online: https://www.aegisdentalnetwork.com/id/2005/12/endodontics-improving-endodontic-success-through-coronal-leakage-prevention [dostęp: 24.10.2023].
  4. Arabska-Przedpełska B, Pawlicka H, Banaszek K i wsp. Współczesna endodoncja w praktyce, Łódź: Dentonet; 2011: 89, 373-378.
  5. Beer R, Baumann MA, Kielbasa AM. Ilustrowane kompendium endodoncji. Lublin: Czelej; 2009.
  6. Żarow M, Milewski G. Odbudowa zębów po leczeniu endodontycznym. Online: https://www.mp.pl/stomatologia/wytyczne/97712,odbudowa-zebow-po-leczeniu-endodontycznym [dostęp: 24.10.2023].
  7. Biały M. Badania wytrzymałościowe indywidualnych i standardowych wkładów koronowo-korzeniowych z włókna szklanego. Rozprawa na stopień doktora nauk medycznych. Wrocław; 2018: 16-19.
  8. Romaniuk-Demonchaux A. Odbudowa kła w szczęce z zastosowaniem wkładu z materiału złożonego wzmacnianego włóknem szklanym i materiału kompozytowego najnowszej generacji. Online: https://stomatologianews.pl/odbudowa-kla-szczece-zastosowaniem-wkladu-materialu-zlozonego-wzmacnianego-wloknem-szklanym-materialu-kompozytowego-najnowszej-generacji/ [dostęp: 24.10.2023].
  9. Lipski M. Leczenie endodontyczne. W: Jańczuk Z, Kaczmarek U, Lipski M (red.). Stomatologia zachowawcza z endodoncją. Zarys kliniczny. Warszawa: Wydawnictwo Lekarskie PZWL; 2014: 401-403.
  10. Postek-Stefańska L. Leczenie pulpopatii nieodwracalnych oraz zapaleń tkanek okołowierzchołkowych. W: Barańska-Gachowska M (red.). Endodoncja wieku rozwojowego i dojrzałego. Lublin: Czelej; 2011: 354-361.
  11. Dejak B. Kompendium wykonywania uzupełnień protetycznych. Otwock: Med Tour Press International; 2014: 19-32.