Unieruchomienie zębów szyną z włókna szklanego w chorobie przyzębia
dr n. med. Maja Ptasiewicz
Katedra i Zakład Medycyny Jamy Ustnej Uniwersytetu Medycznego w Lublinie
Kierownik Katedry i Zakładu: prof. dr hab. n. med. Renata Chałas
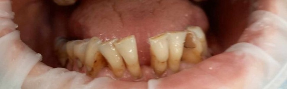
Do mojego gabinetu zgłosił się pacjent, lat 51, zaniepokojony zwiększoną ruchomością dolnych zębów siecznych (ryc. 1). Kilka miesięcy wcześniej stomatolog poinformował pacjenta, iż ruchomość jest związana z chorobą przyzębia i zastosował unieruchomienie zębów drucianą ligaturą. Jednakże szyna nie była stabilna, utrudniała pacjentowi mówienie oraz drażniła język i błonę śluzową dolnej wargi, dodatkowo pacjent nie zaakceptował szyny ze względów estetycznych. Ostatecznie szyna została usunięta. Czy są inne możliwości unieruchomienia zębów u pacjenta? 
Ryc. 1. Zdjęcie uzębienia pacjenta z ruchomością zębów siecznych żuchwy.
W opisanym przypadku w pierwszej kolejności należy potwierdzić wcześniej postawioną diagnozę choroby przyzębia. Ważna może być informacja o występowaniu choroby przyzębia w najbliższej rodzinie, występowanie chorób ogólnych, a także o nałogach pacjenta np. nikotynizmie. Po dokładnym wywiadzie i badaniu klinicznym należy wykluczyć inne przyczyny ruchomości zębów, jak ostry uraz mechaniczny, złamania, resorpcje, przewlekłe zapalne zmiany okołowierzchołkowe zębów i nowotwory.
Zapalenie przyzębia charakteryzuje się postępującym zniszczeniem aparatu podtrzymującego ząb, którego głównymi objawami są:
- kliniczna utrata przyczepu (Clinical Attachment Loss – CAL),
- obecność kieszonek przyzębnych i krwawienie,
- utrata kości wyrostka zębodołowego w ocenie radiologicznej (1).
Ważne jest określenie zaawansowania choroby, zasięg i lokalizacja zmian, a także prognoza co do możliwości leczenia, przewidywany stopień progresji i ryzyko wystąpienia powikłań (2).
W prezentowanym przypadku, jeśli wstępna diagnoza okaże się słuszna można rozważyć zastosowanie innego rodzaju unieruchomienia zębów np. poprzez wykorzystanie szyny z włókna kompozytowego lub włókna szklanego pokrytego materiałem kompozytowym. Przed planowanym zabiegiem należy określić stopień ruchomości zębów, obecność i głębokość kieszonek przyzębnych, krwawienie, a także stan higieny jamy ustnej. Przed unieruchomieniem z zastosowaniem szyny konieczne jest dokładne oczyszczenie zębów ze złogów nazębnych, przeprowadzenie instruktażu higieny jamy ustnej dla pacjenta, wyleczenie zębów z ubytkami oraz korekta lub wymiana nieprawidłowych wypełnień (3).
Zastosowanie szyny umożliwia unieruchomienie rozchwianych zębów, co zapobiega ich dalszemu przechylaniu i przesuwaniu się, wpływa na poprawę sprawności narządu żucia, ułatwia żucie oraz mowę. Podnosi to komfort życia pacjenta, często polepsza także estetykę (4, 5). Szyna przenosi nacisk sił żucia na całą grupę zębów, a nie na pojedyncze zęby, co pozwala na ich odciążenie w zgryzie i nie osłabia ich umocowania. Zastosowanie szyny może odtworzyć punkty styczne między zębami, dzięki czemu uzyskuje się lepsze warunki do utrzymania prawidłowej higieny jamy ustnej. Ważne jest, aby zęby ze zwiększoną ruchomością ustabilizować przez przymocowanie ich do zębów prawidłowo osadzonych w kości (6).
W ofercie różnych producentów dostępne są mocne włókna kompozytowe lub szklane dodatkowo pokryte materiałem kompozytowym. Szyny z włókna kompozytowego lub szklanego są biokompatybilną alternatywą dla szyn metalowych. Zastosowanie włókien kompozytowych/szklanych w porównaniu z ligaturami metalowymi jest korzystne, ponieważ przy prawidłowej technice pozwalają one na efektywne wiązanie ze strukturami zęba. Pozwala to na ostrożne repozycjonowanie ruchomych zębów i połączenie ich ze sobą. Z kolei zaletą szyn z włókna kompozytowego/ szklanego w porównaniu do szyn z samego kompozytu jest ich większa trwałość, co objawia się przede wszystkim rzadszym pękaniem. W zależności od warunków zgryzowych szynę z włókna kompozytowego/szklanego można zastosować na wargowej lub językowej powierzchni zębów. W niektórych przypadkach można ją umieścić także na powierzchni żującej (7).
Po dokładnym oczyszczeniu zębów ze złogów nazębnych należy odizolować je od dostępu śliny i osuszyć. Brak dostępu śliny i krwawienia jest niezbędny do prawidłowego przeprowadzenia zabiegu. Powierzchnie zębów, do których planujemy przymocować szynę należy wytrawić i zastosować system wiążący. Należy ocenić jaka długość szyny będzie potrzebna w danym przypadku i dociąć ją zgodnie z zaleceniem producenta, unikając ekspozycji na światło. Po uformowaniu szyny na powierzchni zębów wymaga ona spolimeryzowania lampą polimeryzacyjną. Dla lepszego umocowania, poprawy warunków estetycznych czy poprawy punktów stycznych należy dodatkowo zastosować materiał kompozytowy. Podczas leczenia chorób przyzębia, gdzie zachodzi konieczność zapewnienia sztywnego unieruchomienia zębów, należy zastosować odpowiedni, wskazany przez producenta kompozyt (5, 6). Po wykonaniu szyny ważne jest sprawdzenie warunków zgryzowych i eliminacja wszelkich punktów urazowych. Należy także wygładzić i wypolerować nierówności, które mogłyby drażnić błonę śluzową jamy ustnej czy utrudniać właściwą higienę. Pacjent powinien być poinformowany o tym, iż szyna ma za zadanie zahamowanie postępu choroby, poprawę komfortu gryzienia oraz warunków estetycznych, nie cofnie jednak już rozwiniętej choroby przyzębia. Należy także poinformować pacjenta o koniecznej prawidłowej higienie jamy ustnej (3, 4). Zastosowanie dodatkowych przyborów, jak irygator czy szczotki do przestrzeni międzyzębowych, pomoże pacjentowi w utrzymaniu właściwej higieny w nowych warunkach. Jeśli u pacjenta występują braki zębowe konieczne jest ich uzupełnienie. Niezbędne są także regularne wizyty kontrolne i przeprowadzanie profesjonalnej higienizacji (5).
Reasumując, u wskazanego pacjenta, po stwierdzeniu choroby przyzębia jako przyczyny zwiększonej ruchomości dolnych zębów siecznych, dobrym rozwiązaniem może być zastosowanie szyny z włókna kompozytowego lub włókna szklanego wzmocnionej kompozytem. Jeśli warunki zgryzowe pozwolą, szynę najlepiej przymocować do powierzchni językowych ruchomych zębów oraz stabilnych zębów sąsiednich. Przy braku ruchomości kłów szyna powinna obejmować zęby sieczne i kły. Językowe położenie szyny zapewnia lepsze warunki estetyczne.
Piśmiennictwo
- Ritter AV. Periodontal splinting. J Esthet Restor Dent. 2004; 16(5): 329-330.
- Bassem NE, Tamer MNM, Polyetheretherketone custom CAD-CAM splint for treatment of periodontally affected mobile anterior teeth. J Prosthet Dent. 2022; 127(2): 210-212.
- Watkins SJ, Hemmings KW. Periodontal splinting in general dental practice. Dent Update. 2000; 27(6): 278-285.
- Strassler HE, Serio CL. Esthetic Considerations when Splinting with Fiber-Reinforced Composites. Dent Clin North Am. 2007; 51(2): 507-524.
- Chalifoux PR. Periodontal splinting of anterior teeth. Pract Periodontics Aesthet Dent. 1991; 3(6): 21-28.
- Sanz M, Herrera D, Kebschull M i wsp. EFP Workshop Participants and Methodological Consultants. Treatment of stage I-III periodontitis-The EFP S3 level clinical practice guideline. J Clin Periodontol. 2020; 47(Suppl 22): 4-60.
- Herrera D, Sanz M, Kebschull M i wsp. EFP Workshop Participants and Methodological Consultant. Treatment of stage IV periodontitis: The EFP S3 level clinical practice guideline. J Clin Periodontol. 2022; 49(Suppl 24): 4-71.