Wpływ leków antyresorpcyjnych na stan jamy ustnej

Wpływ leków antyresorpcyjnych na stan jamy ustnej

Dostęp do tego artykułu jest płatny.
Zapraszamy do zakupu!

Cena: 24.00 PLN (z VAT)

Po dokonaniu zakupu artykuł w postaci pliku PDF prześlemy bezpośrednio pod twój adres e-mail.

Kup artykuł
MS 2023; 7-8: 44-51.

ARTYKUŁ PRZEGLĄDOWY
Wpływ leków antyresorpcyjnych na stan jamy ustnej – przegląd piśmiennictwa

The effect of antiresorptive drugs on the condition of the oral cavity – a literature review

Hanna Sobczak-Jaskow, Barbara Kochańska, Barbara Drogoszewska

Streszczenie
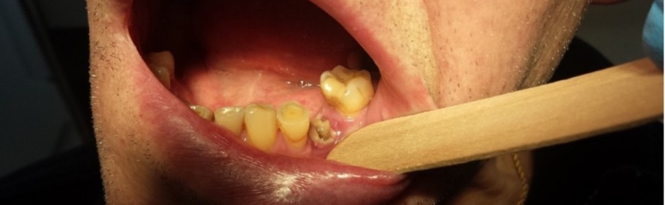
Leki o działaniu antyresorpcyjnym, które są szeroko stosowane w terapii chorób przebiegających ze spadkiem masy kostnej, mogą wpływać niekorzystnie na stan jamy ustnej. Do najpoważniejszych powikłań terapii antyresorpcyjnej zalicza się martwicę kości szczęk związaną ze stosowaniem leków (Medication-Related Osteonecrosis of the Jaw, MRONJ). Obserwowano również występowanie owrzodzeń i nadżerek na błonie śluzowej jamy ustnej, utrudnione gojenie ran po zabiegach chirurgicznych, niekorzystny wpływ na przebieg leczenia ortodontycznego, zaburzenia w rozwoju i wyrzynaniu się zębów u dzieci, istotne zmiany w składzie śliny. Ze względu na stale rosnącą liczbę pacjentów poddanych terapii antyresorpcyjnej istotne jest uświadomienie lekarzy dentystów, jakie mogą być skutki stosowania leków antyresorpcyjnych w odniesieniu do jamy ustnej i związane z tym implikacje kliniczne w trakcie leczenia stomatologicznego.

Abstract
Antiresorptive drugs are widely used in the treatment of diseases associated with bone loss. Medication-Related Osteonecrosis of the Jaw (MRONJ) is one of the most serious complications of antiresorptive therapy. The occurrence of ulcerations and erosions on the oral mucosa, delayed healing after surgical procedures, adverse effect on the course of orthodontic treatment, disturbances in the development and eruption of teeth in children, and significant changes in the composition of saliva were observed. Due to the constantly growing number of patients undergoing antiresorptive therapy, it is important to make dentists aware of the effects antiresorptive drugs have on the oral cavity, and its related clinical implications during dental treatment.

Hasła indeksowe: bisfosfoniany, denosumab, leki antyresorpcyjne, MRONJ

Key words: bisphosphonates, denosumab, antiresorptive drugs, MRONJ

Piśmiennictwo

  1. Ruggiero SL, Dodson TB, Aghaloo T i wsp. American Association of Oral and Maxillofacial Surgeons’ position paper on medication-related osteonecrosis of the jaws – 2022 update. J Oral Maxillofac Surg. 2022; 80(5): 920-943.
  2. Ruggiero SL, Dodson TB, Fantasia J i wsp. American Association of Oral and Maxillofacial Surgeons’ position paper on medication-related osteonecrosis of the jaw – 2014 update. J Oral Maxillofac Surg. 2014; 72(10): 1938-1956.
  3. Drake MT, Clarke BL, Khosla S. Bisphosphonates: mechanism of action and role in clinical practice. Mayo Clin Proc. 2008; 83(9): 1032-1045.
  4. Hanley DA, Adachi JD, Bell A i wsp. Denosumab: mechanism of action and clinical outcomes. Int J Clin Pract. 2012; 66(12): 1139-1146.
  5. Bhatt RN, Hibbert SA, Munns CF. The use of bisphosphonates in children. Review of the literature and guidelines for dental management. Aust Dent J. 2014; 59(1): 9-19.
  6. Czyżykowski R, Krakowska M, Potemski P. Bisphosphonates for the treatment of patients with cancer. Oncol Clin Pract. 2017; 13(6): 268-274.
  7. Kos M, Kuebler JF, Luczak K i wsp. Bisphosphonate-related osteonecrosis of the jaws. A review of 34 cases and evaluation of risk. J Craniomaxillofac Surg. 2010; 38(4): 255-259.
  8. Szyszkowska A, Puławska M, Karczmarek-Borowska B. Bisphosphonates and osteonecrosis of the jaws. Contemporary Oncology/Współczesna Onkologia. 2008; 12(2): 72-76.
  9. Marx RE, Sawatari Y, Fortin M i wsp. Bisphosphonate-induced exposed bone (osteonecrosis/osteopetrosis) of the jaws. Risk factors, recognition, prevention, and treatment. J Oral Maxillofac Surg. 2005; 63(11): 1567-1575.
  10. Rogers MJ, Crockett JC, Coxon FP i wsp. Biochemical and molecular mechanisms of action of bisphosphonates. 2011; 49(1): 34-41.
  11. Leszczyński P, Korkosz M, Pawlak-Buś K i wsp. Diagnostyka i leczenie osteoporozy – zalecenia Polskiego Towarzystwa Reumatologicznego 2015. Forum Reumatol. 2015; 1(1): 12-24.
  12. Lu J, Hu D, Zhang Y i wsp. Current comprehensive understanding of denosumab (the RANKL neutralizing antibody) in the treatment of bone metastasis of malignant tumors, including pharmacological mechanism and clinical trials. Front Oncol. 2023; 13: 1133828.
  13. Lengfeld J, Buder-Bakhaya K, Goebeler M i wsp. Bisphosphonate-mediated oral ulcers. A rare differential diagnosis of erosive oral lesions. Dermatology. 2016; 232(1): 117-121.
  14. Kharazmi M, Sjöqvist K, Warfvinge G. Oral ulcers, a little known adverse effect of alendronate. Review of the literature. J Oral Maxillofac Surg. 2012; 70(4): 830-836.
  15. Eguchi T, Basugi A, Kanai I i wsp. Multiple oral ulcers caused by incorrect use of oral bisphosphonate in a patient with dementia. A case report. Gerodontology. 2019; 36(1): 82-84.
  16. Açil Y, Arndt ML, Gülses A i wsp. Cytotoxic and inflammatory effects of alendronate and zolendronate on human osteoblasts, gingival fibroblasts and osteosarcoma cells. J Craniomaxillofac Surg. 2018; 46(4): 538-546.
  17. Bullock G, Miller CA, McKechnie A i wsp. A review into the effects of pamidronic acid and zoledronic acid on the oral mucosa in medication-related osteonecrosis of the jaw. Front Oral Health. 2022; 2: 822411.
  18. Yuan A, Munz A, Reinert S i wsp. Gingival fibroblasts and medication-related osteonecrosis of the jaw. Results by real-time and wound healing in vitro assays. J Craniomaxillofac Surg. 2019; 47(9): 1464-1474.
  19. Pabst AM, Ziebart T, Koch FP i wsp. The influence of bisphosphonates on viability, migration, and apoptosis of human oral keratinocytes – in vitro study. Clin Oral Investig. 2012; 16(1): 87-93.
  20. Cichocki T, Litwin JA, Mirecka J. Kompendium histologii. Podręcznik dla studentów nauk medycznych i przyrodniczych. 3. Kraków: Wydawnictwo Uniwersytetu Jagiellońskiego; 2002: 90-91, 216-219.
  21. Landesberg R, Cozin M, Cremers S i wsp. Inhibition of oral mucosal cell wound healing by bisphosphonates. J Oral Maxillofac Surg. 2008; 66(5): 839-847.
  22. Wehrhan F, Stockmann P, Nkenke E i wsp. Differential impairment of vascularization and angiogenesis in bisphosphonate-associated osteonecrosis of the jaw-related mucoperiosteal tissue. Oral Surg Oral Med Oral Pathol Oral Radiol Endod. 2011; 112(2): 216-221.
  23. Kobayashi Y, Hiraga T, Ueda A i wsp. Zoledronic acid delays wound healing of the tooth extraction socket, inhibits oral epithelial cell migration, and promotes proliferation and adhesion to hydroxyapatite of oral bacteria, without causing osteonecrosis of the jaw, in mice. J Bone Miner Metab. 2010; 28(2): 165-175.
  24. Ali IE, Sumita Y. Medication-related osteonecrosis of the jaw. Prosthodontic considerations. Jpn Dent Sci Rev. 2022; 58: 9-12.
  25. Kozutsumi R, Kuroshima S, Kaneko H i wsp. Zoledronic acid deteriorates soft and hard tissue healing of murine tooth extraction sockets in a dose-dependent manner. Calcif Tissue Int. 2022; 110(1): 104-116.
  26. Shudo A, Kishimoto H, Takaoka K i wsp. Long-term oral bisphosphonates delay healing after tooth extraction. A single institutional prospective study. Osteoporos Int. 2018; 29(10): 2315-2321.
  27. Lotwala RB, Greenlee GM, Ott SM i wsp. Bisphosphonates as a risk factor for adverse orthodontic outcomes. A retrospective cohort study. Am J Orthod Dentofacial Orthop. 2012; 142(5): 625-634.e3.
  28. Rinchuse DJ, Rinchuse DJ, Sosovicka MF i wsp. Orthodontic treatment of patients using bisphosphonates. A report of 2 cases. Am J Orthod Dentofacial Orthop. 2007; 131(3): 321-326.
  29. Zahrowski JJ. Optimizing orthodontic treatment in patients taking bisphosphonates for osteoporosis. Am J Orthod Dentofacial Orthop. 2009; 135(3): 361-374.
  30. Proffit WR, Fields HW Jr, Sarver DM. Ortodoncja współczesna. Tom 2. Biologiczne podstawy leczenia ortodontycznego. Komorowska A (red. wyd. pol.). Wyd. 2. Wrocław: Edra Urban & Partner; 2010: 3-6.
  31. Lee K, Sugiyama H, Imoto S i wsp. Effects of bisphosphonate on the remodeling of rat sagittal suture after rapid expansion. Angle Orthod. 2001; 71(4): 265-273.
  32. Pampu AA, Dolanmaz D, Tüz HH i wsp. Experimental evaluation of the effects of zoledronic acid on regenerate bone formation and osteoporosis in mandibular distraction osteogenesis. J Oral Maxillofac Surg. 2006; 64(8): 1232-1236.
  33. Marx RE. Pamidronate (Aredia) and zoledronate (Zometa) induced avascular necrosis of the jaws. A growing epidemic. J Oral Maxillofac Surg. 2003; 61(9): 1115-1117.
  34. On SW, Cho SW, Byun SH i wsp. Various therapeutic methods for the treatment of medication-related osteonecrosis of the jaw (MRONJ) and their limitations. A narrative review on new molecular and cellular therapeutic approaches. Antioxidants (Basel). 2021; 10(5): 680.
  35. Otto S, Schreyer C, Hafner S i wsp. Bisphosphonate-related osteonecrosis of the jaws – characteristics, risk factors, clinical features, localization and impact on oncological treatment. J Craniomaxillofac Surg. 2012; 40(4): 303-309.
  36. Eckardt AM, Lemound J, Lindhorst D i wsp. Surgical management of bisphosphonate-related osteonecrosis of the jaw in oncologic patients. A challenging problem. Anticancer Res. 2011; 31(6): 2313-2318.
  37. Miksad RA, Lai KC, Dodson TB i wsp. Quality of life implications of bisphosphonate-associated osteonecrosis of the jaw. Oncologist. 2011; 16(1): 121-132.
  38. Okuyama K, Hayashida S, Rokutanda S i wsp. Surgical strategy for medication-related osteonecrosis of the jaw (MRONJ) on maxilla. A multicenter retrospective study. J Dent Sci. 2021; 16(3): 885-890.
  39. Carlson ER, Basile JD. The role of surgical resection in the management of bisphosphonate-related osteonecrosis of the jaws. J Oral Maxillofac Surg. 2009; 67(5 suppl.): 85-95.
  40. Malmgren B, Tsilingaridis G, Monsef-Johansson N i wsp. Bisphosphonate therapy and tooth development in children and adolescents with osteogenesis imperfecta. Calcif Tissue Int. 2020; 107(2): 143-150.
  41. Kamoun-Goldrat A, Ginisty D, Le Merrer M. Effects of bisphosphonates on tooth eruption in children with osteogenesis imperfecta. Eur J Oral Sci. 2008; 116(3): 195-198.
  42. Malmgren B, Thesleff I, Dahllöf G i wsp. Abnormalities in tooth formation after early bisphosphonate treatment in children with osteogenesis imperfecta. Calcif Tissue Int. 2021; 109(2): 121-131.
  43. Iwai T, Isomatsu Y, Iwamoto M i wsp. Bisphosphonate-related enamel hypoplasia in a child with idiopathic arterial calcification of infancy. Br J Oral Maxillofac Surg. 2013; 51(7): e186-e187.
  44. Sobczak-Jaskow H, Kochańska B, Drogoszewska B. A study of oral health parameters and the properties and composition of saliva in oncological patients with and without medication-related osteonecrosis of the jaw who take bisphosphonates. Medicina. 2023; 59(6): 1073.
  45. Sobczak-Jaskow H, Kochańska B, Drogoszewska B. Composition and properties of saliva in patients with osteoporosis taking antiresorptive drugs. Int J Environ Res Public Health. 2023; 20(5): 4294.
  46. Lynge Pedersen AM, Belstrøm D. The role of natural salivary defences in maintaining a healthy oral microbiota. J Dent. 2019; 80 (Suppl. 1): S3-S12.