Leczenie pacjenta po urazie z utratą zęba 45 i pęknięciem żuchwy po obu stronach

Leczenie pacjenta po urazie z utratą zęba 45 i pęknięciem żuchwy po obu stronach

Dostęp do tego artykułu jest płatny.
Zapraszamy do zakupu!

Cena: 24.00 PLN (z VAT)

Po dokonaniu zakupu artykuł w postaci pliku PDF prześlemy bezpośrednio pod twój adres e-mail.

Kup artykuł
MS 2023; 7-8: 38-42.

OPIS PRZYPADKU
Życie jest pełne niespodzianek – leczenie pacjenta po urazie z utratą zęba 45 i pęknięciem żuchwy po obu stronach

Life is full of surprises - treatment of a traumatized patient with the loss of tooth 45 and mandibular fracture on both sides

Agnieszka Kozuń

Streszczenie
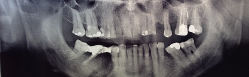
Artykuł przedstawia przypadek leczenia starszego pacjenta po udarze mózgu, który na skutek urazu stracił ząb 45 i doznał pęknięcia żuchwy po obu stronach. Zgłosił się do gabinetu po rozpoczęciu leczenia w Poradni Chirurgii Szczękowo-Twarzowej Szpitala Klinicznego w Łodzi, gdzie wykonano u niego szynowanie złamanej żuchwy. Niestety ten sposób leczenia nie odpowiadał pacjentowi.

Abstract
The article presents a case of treatment of an elderly patient after a stroke, who lost tooth 45 as a result of the trauma and suffered a mandibular fracture on both sides. He came to me after starting treatment at the Clinic of Maxillofacial Surgery of the Hospital in Łódź, where he underwent splinting of a broken mandible. Unfortunately, this method of treatment did not suit the patient.

Hasła indeksowe: staw rzekomy, złamanie żuchwy, uraz zęba

Key words: pseudoarthrosis, mandibular fracture, tooth injury