Powtórne leczenie endodontyczne 30 lat później

Powtórne leczenie endodontyczne 30 lat później

Dostęp do tego artykułu jest płatny.
Zapraszamy do zakupu!

Cena: 24.00 PLN (z VAT)

Po dokonaniu zakupu artykuł w postaci pliku PDF prześlemy bezpośrednio pod twój adres e-mail.

Kup artykuł
MS 2023; 6: 38-42.

OPIS PRZYPADKU
Powtórne leczenie endodontyczne 30 lat później

Endodontic retreatment 30 years later – a case report

Jakub Barański, Ewa Dudkiewicz, Natalia Stefanik, Anna Gałuszka, Zofia Stefanik, Dariusz Skaba

Streszczenie
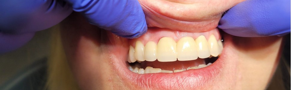
Pacjentka, lat 63, zgłosiła się do gabinetu stomatologicznego celem wykonania nowych uzupełnień protetycznych w odcinku przednim szczęki. Pacjentce przedstawiono możliwości leczenia: usunięcie starego mostu protetycznego, ponowne leczenie endodontyczne zębów 11 i 21, wykonanie nowych uzupełnień protetycznych w odcinku zębów 12-11-21-22 celem poprawy estetyki odcinka przedniego. Ze względu na fakt, iż leczenie endodontyczne u pacjentki było wykonywane 30 lat wcześniej, a w zębie 11 zacementowano metalowy wkład koronowo-korzeniowy, ponowne leczenie endodontyczne obarczone było dużym ryzykiem powikłań.

Abstract
A 63-year-old female patient came to our dental clinic to make new prosthetic restorations in the anterior part of the maxilla. The patient was presented with treatment options: removal of the old prosthetic bridge, endodontic retreatment of teeth 11 and 21, new prosthetic restorations in the section of teeth 12-11-21-22 in order to improve the aesthetics of the anterior segment. Due to the fact that the endodontic treatment of the patient had been performed 30 years earlier, and a metal  post was cemented in tooth 11, endodontic retreatment was associated with a high risk of complications.

Hasła indeksowe: ponowne leczenie endodontyczne, Reciproc, system Cerec

Key words: endodontic retreatment, Reciproc, Cerec system

Piśmiennictwo

  1. Ahmad IA. Rubber dam usage for endodontic treatment: a review. Int Endod J. 2009; 42(11): 963-972.
  2. Lin PY, Huang SH, Chang HJ i wsp. The effect of rubber dam usage on the survival rate of teeth receiving initial root canal treatment: a nationwide population-based study. J Endod. 2014; 40(11):1733-1737.
  3. Patel S, Brown J, Pimentel T i wsp. Cone beam computed tomography in Endodontics – a review of the literature. Int Endod J. 2019; 52(8): 1138-1152.
  4. Rosen E, Goldberger T, Beitlitum I i wsp. Diagnosis Efficacy of Cone-Beam Computed Tomography in Endodontics – A Systematic Review of High-Level-Evidence Studies. Appl Sci. 2022; 12: 938.
  5. Peralta-Mamani M, Rios D, Duarte MAH i wsp. Manual vs. rotary instrumentation in endodontic treatment of permanent teeth: A systematic review and meta-analysis. Am J Dent. 2019; 32(6): 311-324.
  6. Silva EJ, Herrera DR, Souza-Júnior EJ i wsp. Influence of irrigation and obturation techniques on artificial lateral root canal filling capacity. Acta Odontol Latinoam. 2013; 26(2): 112-115.
  7. Faus-Llácer V, Collado-Castellanos N, Alegre-Domingo T i wsp. Measurement of the percentage of root filling in oval-shaped canals obturated with Thermafil Obturators and Beefill 2in1: In vitro study. J Clin Exp Dent. 2015; 7(2): e299-e303.
  8. Santos GC Jr, Santos MJ Jr, Rizkalla AS i wsp. Overview of CEREC CAD/CAM chairside system. Gen Dent. 2013; 61(1): 36-40.