Objawy dysplazji ektodermalnej u młodocianych pacjentek

Objawy dysplazji ektodermalnej u młodocianych pacjentek

Dostęp do tego artykułu jest płatny.
Zapraszamy do zakupu!

Cena: 24.00 PLN (z VAT)
Kup artykuł
MS 2023; 4: 26-32.

STUDIA PRZYPADKÓW
Objawy dysplazji ektodermalnej u młodocianych pacjentek. Opisy przypadków

Symptoms of ectodermal dysplasia in adolescent patients – a description of two cases

Elżbieta Jarzębska, Patrycja Proc

Streszczenie
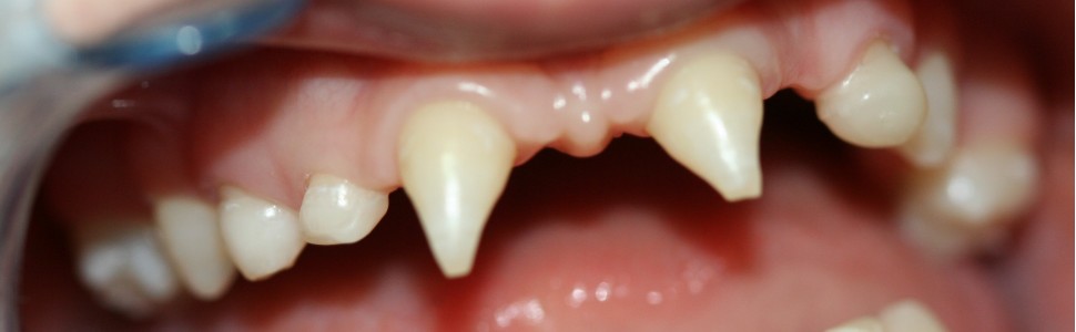
Dysplazja ektodermalna (DE) jest wadą genetyczną, która przejawia się zmianami w obrębie takich struktur, jak zęby, włosy, paznokcie oraz gruczoły potowe i łojowe. Wyróżnia się dwie postacie choroby: hydrotyczną i anhydrotyczną (hipohydrotyczną). Dysplazję ektodermalną można stwierdzić, jeśli występują co najmniej dwie nieprawidłowości w strukturach ektodermalnych. W pracy opisano występowanie hipodoncji oraz innych nieprawidłowości u dwóch pacjentek z dysplazją ektodermalną.

Abstract
Ectodermal dysplasia (DE) is a genetic defect that manifests itself in changes in such structures as teeth, hair, nails, as well as sweat and sebaceous glands. There are two forms of the disease: hidrotic and anhidrotic (hypohidrotic). Ectodermal dysplasia can be diagnosed when there are at least two abnormalities of ectodermal structures. The paper describes the occurrence of hypodontia of teeth and other abnormalities in two patients with ectodermal dysplasia.

Hasła indeksowe: dysplazja ektodermalna, dzieci, uzębienie stożkowate, hipodoncja

Key words: ectodermal dysplasia, children, conical teeth, hypodontia

Piśmiennictwo

  1. Rączkiewicz K, Rączkiewicz M, Mizerska-Żurowska A i wsp. Dysplazja ektodermalna – opis przypadku. Stomatol Dypl. 2018; 6. Online: https://podyplomie.pl/stomatologia/30682,dysplazja-ektodermalna-opis-przypadku [dostęp: 23.11.2021].
  2. Kresa I, Czerkies R, Czochrowska E i wsp. Leczenie implantoprotetyczne w przebiegu dysplazji ektodermalnej – 5-letnie obserwacje. Dent Trib Poland. 2015. Online: https://pl.dental-tribune.com/clinical/leczenie-implantoprotetyczne-w-przebiegu-dysplazji-ektodermalnej-5-letnie-obserwacje/ [dostęp: 23.11.2021].
  3. Zadurska M, Perkowski K, Marczyńska-Stolarek M i wsp. Objawy dysplazji ektodermalnej według klasyfikacji Freire-Maia i Pinheiro. Dent Forum. 2014; 42(2): 33-38.
  4. Zadurska M, Sobieska E, Mateńko D i wsp. Leczenie ortodontyczne i implantoprotetyczne u pacjentów z dysplazją ektodermalną. Dent Trib Poland. 2015. Online: https://pl.dental-tribune.com/clinical/leczenie-ortodontyczne-i-implantoprotetyczne-u-pacjentow-z-dysplazja-ektodermalna/ [dostęp: 23.11.2021].