Złamania korzeni zębów w wieku rozwojowym

Złamania korzeni zębów w wieku rozwojowym

Dostęp do tego artykułu jest płatny.
Zapraszamy do zakupu!

Cena: 24.00 PLN (z VAT)

Po dokonaniu zakupu artykuł w postaci pliku PDF prześlemy bezpośrednio pod twój adres e-mail.

Kup artykuł
MS 2023; 1: 30-38.

REPORTAŻ KLINICZNY
Złamania korzeni zębów w wieku rozwojowym – dylemat lekarza praktyka. Opis przypadku

Fractures of tooth roots in the developmental age – a dilemma of a practitioner. A case report

Agnieszka Kozuń

Streszczenie
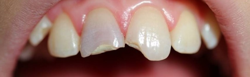
Złamania korzeni zębów stałych u dzieci w wieku rozwojowym występują rzadko. Najczęściej dochodzi do nich w wyniku urazów zębów spowodowanych przez upadki, wypadki podczas zajęć sportowych, przemoc i wypadki komunikacyjne. W pracy przedstawiono przypadek wieloletniego leczenia pacjentki z poprzecznym wewnątrzzębodołowym złamaniem korzenia zęba zlokalizowanym w części środkowej.

Abstract
Permanent root fractures in children of developmental age are rare. They occur in the case of injuries caused by falls, accidents during sports activities, activities and traffic accidents. The paper presents a case of long-term treatment of a patient with a transverse intraalveolar fracture of a tooth root that is partially identical.

Hasła indeksowe: złamania korzeni, wiek rozwojowy, uraz zębów

Key words: root fractures, developmental age, tooth trauma

Piśmiennictwo

  1. Andreasen FM, Andreasen JO, Bayer T. Prognosis of root fractured permanent incisors – prediction of healing modalities. Endod Dent Traumatol. 1989; 5: 11-22.
  2. Bastone EB, Freer TJ, McNamara JR. Epidemiology of dental trauma: a review of the literature. Aust Dent J. 2000; 45(1): 2-9.
  3. Bąkowicz R, Piątowska D. Pionowe złamania korzeni zębów leczonych endodontycznie - opis dwóch przypadków. Czas Stom. 2005; LVIII(2): 88-94.
  4. Clark SJ, Eleazer P. Management of a horizontal root fracture after previous root canal therapy. Oral Surg Oral Med Oral Pathol Oral Radiol Endod. 2000; 89: 220-223.
  5. Feely L, Mackie IC, Macfarlane T. An investigation of root-fractured permanent incisor teeth in children. Dent Traumatol. 2003; 19: 52-54.
  6. Feiglin B. Clinical management of transverse root fractures. Dent Clin of North Am. 1995; 39(1): 53-78.
  7. Gutmann JL, Glickman GN. Problem solving in endodontics. Mosby; 1992.
  8. Hitomi G. Replantation for the treatment of transverse intra-alveolar root fracture. Oral Surg Oral Med Oral Pathol. 1994; 78: 222-224.
  9. Hovland EJ. Horizontal root fractures. Treatment and repair. Dent Clin of North Am. 1992; 36(2): 509-524.
  10. Jacobsen I, Zachrisson BU. Long-term prognosis of 66 permanent anterior teeth with root fracture. Scand J Dent. 1975; 83: 345-354.
  11. Jacobsen I, Zachrisson BU. Repair characteristics of root fractures in permanent anterior teeth. Scand J Dent. 1975; 83: 355-364.
  12. Jacobsen I, Kerekes K. Diagnosis and treatment of pulp necrosis in permanent anterior teeth with root fracture. Scan J Dent. 1980; 88: 370-376.
  13. Kok PHK, Kwan KM, Koay CK. A case report of a fractured healthy tooth during use of guedel oropharyngeal airway. Sing Med J. 2001; 42(7): 322-324.
  14. Ledzion S. Postępowanie w przypadkach urazów górnych siekaczy centralnych – opis przypadku. Stom Współ. 1998; 5(2): 97-100.
  15. Szpringer-Nodzak M. Urazy zębów u dzieci i młodzieży. Lublin: Czelej; 1999.
  16. Pawlicka H. Endodoncja – morfologia, diagnostyka, leczenie. Warszawa: Med Tour Press International; 2004.
  17. Pawłowska E, Szczepańska J. Złamania korzeni zębów stałych w wieku rozwojowym – proces gojenia, powikłania – opis przypadków. Czas Stomat. 2005; LVIII(2): 81-87.
  18. Piątowska D, Ciesielski P. Resorpcja zewnętrzna w replantowanym kle. Złamanie poprzeczne korzenia zęba siecznego bocznego. Opis przypadku. Czas Stomat. 1995; XLVIII(11): 703-708.
  19. Poi RW, Manfrin TM, Holland R i wsp. Repair characteristics of horizontal root fracture: a case report. Dent Traumatol. 2002; 18: 98-102.
  20. Pypeć LJ. Przyczyny oraz częstość występowania urazowych uszkodzeń zębów stałych u dzieci. Stom Współ. 1996; 3(4): 293-296.
  21. Qin M, Ge L, Bai R. Use of a removable splint in the treatment of subluxated, luxated and root fractured anterior permanent teeth in children. Dent Traumatol. 2002; 18(2): 81-85.
  22. Weinert-Grood A, Weiger R. Leczenie i kontrola przebiegu poprzecznego złamania korzenia. Quintessence. 2000; VIII(5): 295-303.
  23. Yates JA. Root fractures in permanent teeth: a clinical review. Int Endod J. 1992; 25(3): 150-157.