Część 5. Wpływ trójkąta ekspozycji na dokumentację fotograficzną

Część 5. Wpływ trójkąta ekspozycji na dokumentację fotograficzną

Dostęp do tego artykułu jest płatny.
Zapraszamy do zakupu!

Cena: 24.00 PLN (z VAT)

Po dokonaniu zakupu artykuł w postaci pliku PDF prześlemy bezpośrednio pod twój adres e-mail.

Kup artykuł
MS 2022; 12: 45-52.

Część 5. Wpływ trójkąta ekspozycji na dokumentację fotograficzną pacjentów w gabinecie stomatologicznym

Part 5. The influence of the exposure triangle on the patient’s photographic documentation in a dental office

Faustyna Nieroda, Magdalena Ungiert, Anna Walendzik, Leszek Szalewski

Streszczenie
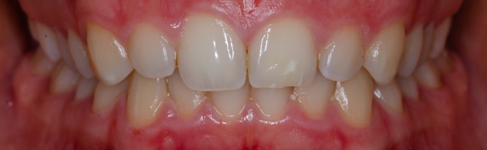
Fotografia stomatologiczna jest wygodnym i efektywnym narzędziem, które na co dzień ułatwia stomatologom rozmowę z pacjentem oraz rejestrację przebiegu leczenia. Dzięki prawidłowo wykonanym zdjęciom, w łatwy sposób można zaplanować leczenie, komunikować się ze specjalistami z innych dziedzin oraz promować swój gabinet na stronach internetowych i portalach społecznościowych. Fotografia to z greckiego malowanie światłem. To właśnie światło decyduje o ostatecznym wyglądzie zdjęcia. W fotografii bardzo ważna jest ekspozycja, czyli ilość światła która pada na matrycę podczas fotografowania. Na ekspozycję wpływają trzy parametry – ISO, przysłona i czas otwarcia migawki – które często określa się trójkątem lub triadą ekspozycji. Podczas fotografowania pacjentów istotna jest jakość wykonanego zdjęcia, która bezpośrednio wpływa na jego odbiór. Dlatego należy odpowiednio ustawić wszystkie parametry aparatu zgodnie z zaplanowanym kadrem. Zdjęcie może skutecznie nakłonić, ale i zniechęcić do skorzystania z usług danego gabinetu stomatologicznego.

Abstract
Dental photography is a convenient and effective tool that assists daily in conversation with the patient and evaluation of treatment. Thanks to correctly taken photos, a dental practitioner can easily plan the treatment, communicate with specialists in other dental fields and effectively advertise their office on the web and social media. In photography, light determines the final effect in the photo. Therefore, monitoring the exposure, or the amount of light captured by the image sensor, while taking photos is crucial. Exposure is affected by three parameters – ISO, aperture, and shutter speed – which are often called the exposure triangle. In dental photography, photo quality is of particular importance, as it can affect the patient’s choice to continue treatment at a particular dental office. Therefore, it is important that all parameters are properly set depending on the photo type.


Hasła indeksowe: fotografia stomatologiczna, zdjęcia wewnątrzustne, zdjęcia zewnątrzustne, aparat fotograficzny, dokumentacja pacjenta

Key words:
dental photography, intraoral pictures, extraoral pictures, camera, patient records

Piśmiennictwo

  1. Ahmad I. Digital dental photography. Part 1: an overview. Br Dent J. 2009; 206(8): 403-407.
  2. Ahmad I. Essentials of Dental Photography. New Jersey: John Wiley and Sons Ltd; 2019.
  3. Ahmad I. Digital dental photography. Part 6: camera settings. Br Dent J. 2009; 207(2): 63-69.
  4. Peterson B. Understanding Exposure, Fourth Edition: How to Shoot Great Photographs with Any Camera. New York: Amphoto Books; 2016.
  5. Sheridan P. Clinical Photography In Dentistry: A New Perspective. Batavia: Quintessence Publishing; 2019.