Technologia Near Infrared Laser Transillumination (NILT) w stomatologii zachowawczej
Maciej Mikołajczyk
Nieinwazyjna diagnostyka wczesnych zmian próchnicowych stanowi jedno z wyzwań współczesnej stomatologii. Istnieje wiele różnych metod diagnostyki próchnicy, jednak większość z nich ograniczona jest do laboratoriów badawczych, z uwagi na trudności w ich stosowaniu w środowisku jamy ustnej pacjenta. Spośród tych, które są możliwe do zastosowania praktycznie w każdym gabinecie stomatologicznym należy wymienić metodę wzrokowo-kontaktową (czyli „tradycyjne” badanie stanu zębów przez lekarza stomatologa), analizę zdjęć RTG, analizę pomiaru fluorescencji tkanek z wykorzystaniem urządzenia DIAGNOdent, analizę zdjęć wykonanych technologią NIR-DIFOTI z wykorzystaniem urządzenia DIAGNOcam.
Stomatologia zachowawcza jest dziedziną, która w ostatnich latach rozwija się w bardzo szybkim tempie. Jest to związane ze zmianą głównego paradygmatu leczenia choroby próchnicowej w kierunku działań profilaktycznych i postępowania minimalnie inwazyjnego, które ma na celu wczesne wykrycie i obserwację ubytków próchnicowych oraz interwencję zabiegową pozwalającą na jak największą oszczędność tkanek. Takie podejście do leczenia zachowawczego oznacza, że precyzyjna i możliwie wczesna diagnostyka ubytków próchnicowych, zanim dojdzie do mechanicznego uszkodzenia szkliwa, staje się jednym z najistotniejszych aspektów leczenia. Ubytek, w którym doszło do uszkodzenia szkliwa i penetracji bakterii do zębiny najczęściej wymaga preparacji w znacznym zakresie, stąd tak ważna jest niezawodna diagnostyka próchnicy na wcześniejszym etapie.
Tymczasem wczesne ubytki próchnicowe są niezwykle trudne diagnostycznie z uwagi na duże ryzyko fałszywie ujemnych wyników badania. Zbyt często dochodzi do sytuacji, w których ubytek jest oceniany jako będący na bardzo wczesnym etapie rozwoju, gdy w rzeczywistości zębina jest już dawno zaatakowana przez proces próchnicowy. Taka sytuacja uniemożliwia odpowiednie zaplanowanie leczenia w sposób minimalnie inwazyjny, a oznacza konieczność znacznej preparacji tkanek i odbudowy. Równie często mogą występować wyniki fałszywie dodatnie, które skutkują niepotrzebną ingerencją w szkliwo i zębinę, które mogłyby jeszcze podlegać remineralizacji i „zagojeniu” zamiast „interwencji chirurgicznej”.
Znanych jest wiele różnych metod diagnostycznych ubytków próchnicowych. Niestety w przypadku wczesnych zmian próchnicowych nie ma jednego, uniwersalnego podejścia do ich wykrywania, które zapewniłoby odpowiednio wysoką skuteczność w przypadku ubytków na powierzchniach okluzyjnych oraz międzyzębowych. W przypadku powierzchni okluzyjnych zalecana jest kontrola wzrokowa z wykorzystaniem powiększenia przy pomocy lup lub mikroskopu zabiegowego, ale nie jest ona skuteczna w przestrzeniach stycznych z powodu obecności zęba sąsiedniego. Jako uzupełnienie standardowego badania zalecane są zdjęcia RTG skrzydłowo-zgryzowe, które najlepiej sprawdzają się w przypadku diagnozowania ubytków na powierzchniach stycznych.
Zdjęcia skrzydłowo-zgryzowe są opisywane jako „złoty standard” w przypadku diagnostyki próchnicy na powierzchniach międzyzębowych, ale wymagają wykorzystania promieniowania jonizującego. Tymczasem obecnie zaleca się minimalizowanie konieczności narażenia pacjenta na promieniowanie jonizujące, które jest niedopuszczalne w przypadku kobiet w ciąży. Dzieci, które są częstymi pacjentami stomatologicznymi, również powinny unikać narażenia na promieniowanie jonizujące, poza absolutnie koniecznymi przypadkami. W diagnostyce stomatologicznej zdjęcia skrzydłowo-zgryzowe nie są skuteczne w przypadku wykrywania wczesnych zmian próchnicowych na powierzchniach zgryzowych.
Technologia Near Infrared Laser Transillumination (NILT) zakłada wykorzystanie światła laserowego o długości fali 780 nm do prześwietlania tkanek zębowych, bez potrzeby wykorzystywania promieniowania jonizującego. Jest to proces całkowicie nieszkodliwy dla organizmu pacjenta, gdyż wymaga użycia fali świetlnej, ale będącej poza zakresem widzialności dla oka ludzkiego. Jedynym urządzeniem wykorzystującym wspomnianą technologię jest na chwilę obecną DIAGNOcam (KaVo). Zbudowane jest ono z kamery na podczerwień oraz lasera emitującego światło podczerwone o długości fali 780 nm. Diody lasera ustawione są w taki sposób, że pozwalają na prześwietlenie zęba przez tkanki dziąsła, kości i korzenie zębów oraz uzyskanie na monitorze obrazu z kamery w postaci prześwietlonej korony zęba widocznej od powierzchni okluzyjnej. Wykorzystywane jest tutaj zjawisko rozpraszania promieniowania podczerwonego przez tkanki zęba zmienione próchnicowo, w tym zwłaszcza szkliwo. Dzięki temu na zdjęciu z kamery widać wyraźne ciemne miejsca tam, gdzie mamy do czynienia ze zmianą próchnicową. Skuteczność badania jest taka sama, bez względu na stopień oczyszczenia zębów z płytki nazębnej, osadu i kamienia. Na zębach nie powinno znajdować się tylko zbyt dużo śliny (nie ma to wpływu na dokładność badania, ale może utrudnić interpretację uzyskanych obrazów).
Zdjęcie lub film z badania danego zęba jest analizowane przez lekarza dentystę w poszukiwaniu wszelkich zaciemnień powierzchni, które będą wskazywać na obecność zmiany próchnicowej. Na powierzchni okluzyjnej będą to nieregularne plamy, zlokalizowane najczęściej w okolicy bruzd zębów, wykazujące penetrację próchnicy pod szkliwo. Na powierzchniach stycznych będą to ciemne miejsca w kształcie trójkątnym lub trapezowym, szerszą ścianą skierowane w stronę zewnętrznej powierzchni szkliwa, a węższą ścianą (w przypadku trapezu) lub ostrym kątem (w przypadku trójkąta) w stronę zębiny, lub wręcz stykającą się z obrysem zębiny. Im szerszy jest kontakt tej ciemnej powierzchni z obrysem zębiny tym bardziej zaawansowany jest ubytek próchnicowy na powierzchni stycznej. 
DIAGNOcam VISION (KaVo) ma wygląd przypominający zwykłą kamerę wewnątrzustną. Wymaga podłączenia przewodowego do komputera, gdzie są rejestrowane obrazy z badania i tworzona jest kartoteka pacjentów.
Kamera rejestrująca obrazy po prześwietleniu jest usytuowana poziomo, co umożliwia uzyskanie obrazów tkanek zębowych w jednym rzucie, od strony powierzchni okluzyjnej.
Końcówka urządzenia DIAGNOcam w ustach pacjenta w trakcie wykonywania badania. Widoczne diody laserowe obejmujące wyrostek zębodołowy.
Promieniowanie podczerwone jest w stanie przeniknąć przez wszystkie tkanki oraz materiały kompozytowe i czystą ceramikę. Nie przenika natomiast przez wypełnienia amalgamatowe, korony oparte na podbudowie metalowej i z tlenku cyrkonu, gdyż są to materiały o zbyt dużej gęstości.
W przypadku wykrywania próchnicy wtórnej prezentowana metoda sprawdza się przy detekcji zmian spowodowanych nieszczelnością brzeżną wypełnień. Pozwala ona na diagnostykę wszystkich powierzchni zębów oraz na wykrywanie próchnicy wtórnej. Jednak najlepiej sprawdza się w wykrywaniu zmian próchnicowych na powierzchniach okluzyjnych i stycznych zębów. Zwłaszcza w przypadku powierzchni międzyzębowych wykazuje wyższą dokładność badania niż badanie radiologiczne, a dodatkowo jej użycie nie wymaga emisji promieniowania jonizującego, jest więc obojętne dla organizmu pacjenta. Nie ma żadnych przeciwwskazań do wykonywania badania, można je powtarzać dowolną ilość razy, zarówno u dzieci, jak i w przypadku kobiet w ciąży, czy też pacjentów z rozrusznikami serca.
Omawiana technologia jako jedyne nieinwazyjne badanie daje też wynik w postaci obrazu cyfrowego lub pliku filmowego na ekranie monitora, który można umieścić w dokumentacji pacjenta. Obraz lub film z badania może zostać omówiony razem z pacjentem, jako bezpośredni „dowód” na skuteczność diagnozy, przyczyniając się do wzrostu świadomości pacjenta na temat stanu swoich zębów i zwiększając jego akceptację dla zaproponowanego planu leczenia oraz środków profilaktyki i higieny jamy ustnej.
Obraz prześwietlonego zęba trzonowego ze zmianą próchnicową na powierzchni okluzyjnej uzyskany w technologii NILT przy pomocy urządzenia DIAGNOcam (KaVo).
Obraz prześwietlonego zęba przedtrzonowego ze zmianą próchnicową na powierzchni stycznej uzyskany w technologii NILT przy pomocy urządzenia DIAGNOcam (KaVo). 
Obraz prześwietlonego zęba trzonowego z próchnicą wtórną wokół wypełnienia na powierzchni okluzyjnej uzyskany w technologii NILT przy pomocy urządzenia DIAGNOcam (KaVo).
Prześwietlanie zębów mlecznych światłem podczerwonym w technologii NILT nie stanowi żadnego obciążenia dla organizmu dziecka, uzyskany obraz jest tak samo skuteczny diagnostycznie, jak w przypadku zębów stałych.
Nowa wersja urządzenia DIAGNOcam Vision Full HD (KaVo) pozwala na jednoczesną rejestrację trzech obrazów tej samej sytuacji klinicznej w ustach pacjenta. Wykonywane są zdjęcia:
- z wykorzystaniem technologii NILT,
- z wykorzystaniem zwykłej kamery wewnątrzustnej,
- z wykorzystaniem kamery fluorescencyjnej.
Takie potrojone obrazowanie pozwala na dokładną diagnostykę zmian próchnicowych, ewentualnej obecności płytki bakteryjnej na powierzchni zębów oraz prezentację wyników diagnostycznych pacjentom w sposób nie budzący żadnych wątpliwości. Cały proces badania realizowany jest tym samym urządzeniem, podłączonym do komputera i monitora. Lekarz dostaje do dyspozycji trzy obrazy: diagnostyczny z kamery IR (najbardziej mu potrzebny), rzeczywisty z kamery wewnątrzustnej (najbardziej trafiający do pacjenta), oraz fluorescencyjny (najbardziej motywujący do leczenia i poprawy higieny), a wszystkie obrazy mają dokładnie tą samą projekcję i łatwo je ze sobą porównać. Technologia NILT umożliwia wykonanie prześwietlenia zęba i zdiagnozowanie zmian próchnicowych o każdym stopniu zaawansowania.
Zdjęcie wykonane kamerą fluorescencyjną pozwala obrazować wypełnienia kompozytowe i złogi płytki nazębnej na powierzchni zębów, co może być przydatne przy motywacji małych pacjentów do lepszej higieny jamy ustnej.
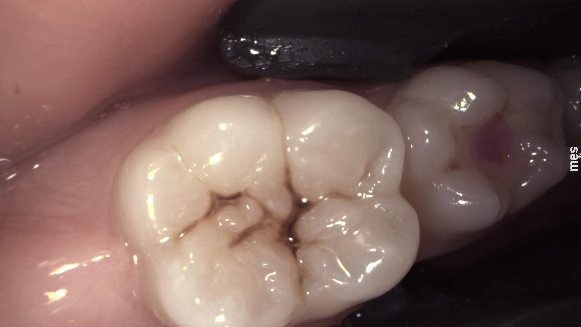
Pierwsze z trzech wykonanych jednocześnie zdjęć stałego zęba trzonowego przy pomocy DIAGNOcam z wykorzystaniem kamery rejestrujące światło widzialne. Ten obraz jest najbardziej czytelny dla pacjenta.
Drugie z trzech wykonanych jednocześnie zdjęć przy pomoc DIAGNOcam z wykorzystaniem technologii NILT i kamery rejestrującej światło podczerwone. Ten obraz jest najbardziej przydatny diagnostycznie dla lekarza stomatologa.
Trzecie z trzech wykonanych jednocześnie zdjęć przy pomoc DIAGNOcam z wykorzystaniem kamery fluorescencyjnej. Ten obraz jest przydatny diagnostycznie dla lekarza stomatologa i może zostać wykorzystany do motywacji pacjenta dla poprawy higieny jamy ustnej.
Pierwsze z trzech wykonanych jednocześnie zdjęć obrazujących ząb mleczny z wypełnieniem kompozytowym w świetle widzialnym.