Ponowne leczenie endodontyczne – leczenie ze zmiennym scenariuszem (...)

Ponowne leczenie endodontyczne – leczenie ze zmiennym scenariuszem (...)

Dostęp do tego artykułu jest płatny.
Zapraszamy do zakupu!

Cena: 24.00 PLN (z VAT)

Po dokonaniu zakupu artykuł w postaci pliku PDF prześlemy bezpośrednio pod twój adres e-mail.

Kup artykuł
MS 2022; 10: 34-37.


Ponowne leczenie endodontyczne – leczenie ze zmiennym scenariuszem. Opis przypadku

Endodontic retreatment - treatment with a changing scenario. Case report

Dorota Ciechanowska-Horyza

Streszczenie
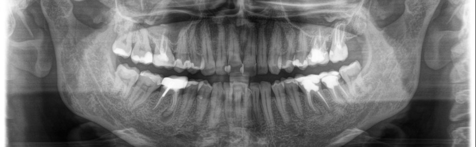
Artykuł opisuje ponowne leczenie endodontyczne pierwszego zęba trzonowego żuchwy po stronie lewej. Podczas leczenia zlokalizowano via falsa w kanale korzeniowym, odnaleziono prawidłowy przebieg kanału korzeniowego, złamano pilnik endodontyczny i ostatecznie kanały wypełniono metodą kondensacji pionowej ciepłej gutaperki.

Abstract
The article describes endodontic retreatment of the mandibular first molar on the left side. Via falsa was located during treatment in the root canal, next the correct course of the root canal was found, in the next part an endodontic file was broken, finally the root canals were filled by warm guttapercha vertical condensation method.

Hasła indeksowe: ponowne leczenie endodontyczne, pierwszy dolny ząb trzonowy, mikroskop endodontyczny, złamany pilnik endodontyczny

Key words: endodontic retreatment, first lower molar, endodontic microscope, broken endodontic file

PIŚMIENNICTWO

  1. Del Fabbro M, Corbella S, Sequeira-Byron P i wsp. Endodontic procedures for retreatment of periapical lesions. Cochrane Database Syst Rev. 2016; 10(10): CD005511.
  2. Cunha RS, Junaid A, Ensinas P i wsp. Assessment of the separation incidence of reciprocating WaveOne files: a prospective clinical study. J Endod. 2014; 40(7): 922-924.
  3. Nicholls E. Treatment of traumatic perforations of the pulp cavity. Oral Surg Oral Med Oral Pathol. 1962; 15: 603-612.
  4. Clauder T, Shin SJ. Repair of perforations with MTA: clinical applications and mechanisms of action. Endod Topics. 2009; 15: 32-55.
  5. Oynick J, Oynick T. Treatment of endodontic perforations. J Endod. 1985; 11: 191-192.
  6. Haapasalo M, Shen Y, Qian W i wsp. Irrigation in endodontics. Dent Clin North Am. 2010; 54: 291-312.