Wykonanie wycisku przedniego zęba szczęki z wykorzystaniem pasty retrakcyjnej
Impression of an anterior maxillary tooth with the use of retraction paste
Jürgen Manhart, Monachium
Granica preparacji leżąca poddziąsłowo może często stanowić wyzwanie podczas pobierania wycisku. Nierzadko w trakcie odlewania modeli okazuje się, że granica preparacji nie została w pełni odwzorowana lub jej odwzorowanie nie jest zadowalające. Dla optymalnego rejestrowania głęboko położonego brzegu preparacji podczas pobierania wycisków, a w efekcie dla późniejszego uzyskania precyzyjnie dopasowanych uzupełnień stomatologicznych, firma VOCO GmbH, produkująca materiały stomatologiczne, opracowała pastę retrakcyjną o działaniu ściągającym, służącą do mechaniczno-chemicznego odsuwania tkanek położonych poniżej brzegu dziąsłowego. Także w połączeniu z nićmi retrakcyjnymi można w ten sposób dodatkowo tymczasowo poszerzyć szczelinę dziąsłową. Jednocześnie, zastosowanie pasty retrakcyjnej zapewnia skuteczne powstrzymanie ewentualnego miejscowego krwawienia, powstałego w wyniku preparacji. Tylko czyste i suche pole zabiegowe pozwala na precyzyjne odwzorowanie szczegółów podczas pobierania wycisków precyzyjną masą.
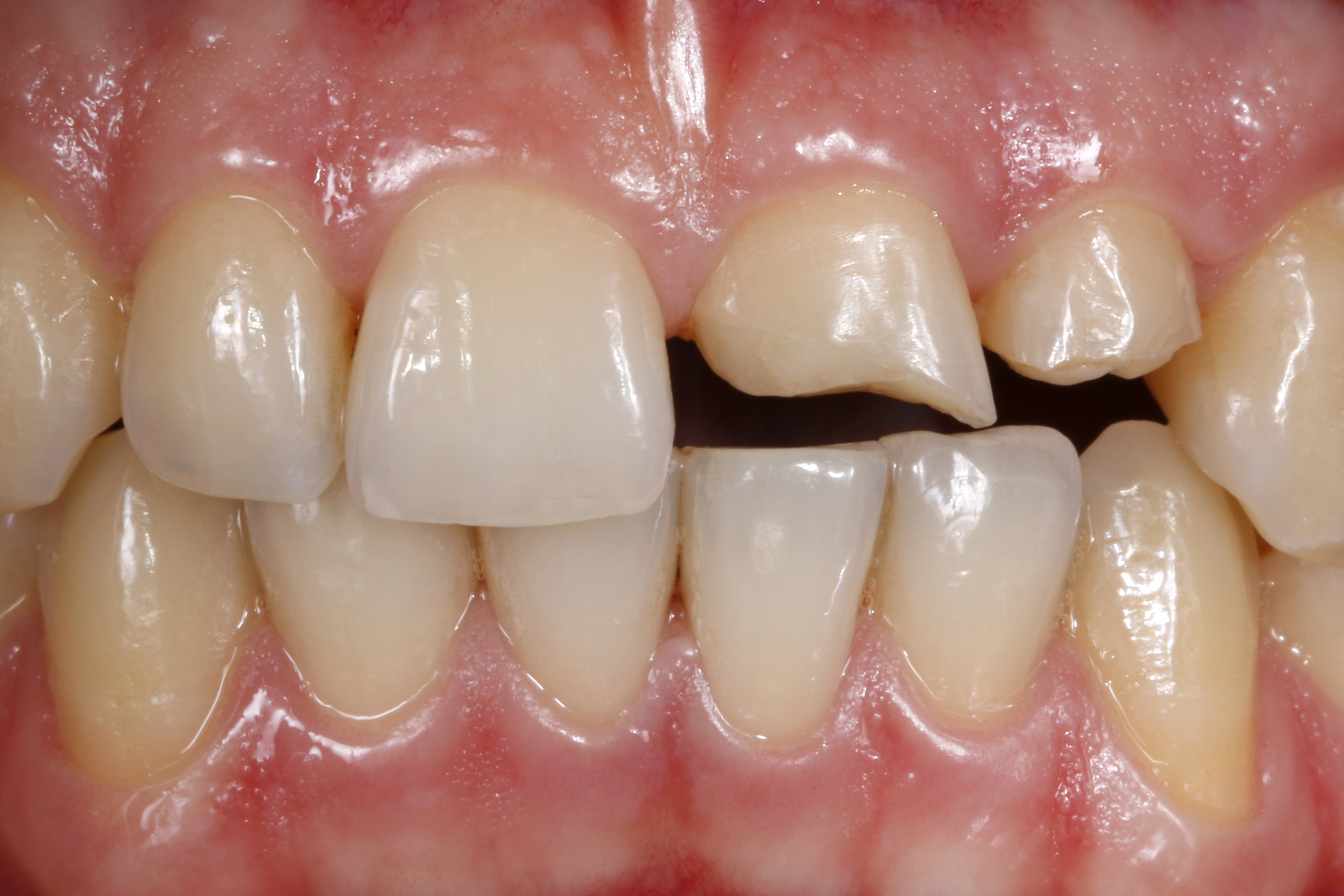
Rozpoznanie - złamanie zębów 21 i 22 na skutek urazu.
Ryc. 1. Sytuacja początkowa – złamane zęby sieczne szczęki po stronie lewej po urazie. Ząb 21 poddano leczeniu endodontycznemu. W zębie 21 przeprowadzono trepanację, do kanału korzeniowego wprowadzono jako tymczasowe zaopatrzenie wodorotlenek wapnia.
Ryc. 2. Sytuacja początkowa, widok od strony brzegów siecznych – widoczne głębokie, podniebienno‑dystalne złamanie zęba 22, uniemożliwiające odbudowę ze względu na niekorzystny przebieg płaszczyzny złamania. Z tego względu ząb zachowano tylko do czasu zaplanowanego usunięcia z natychmiastowym wszczepieniem implantu.
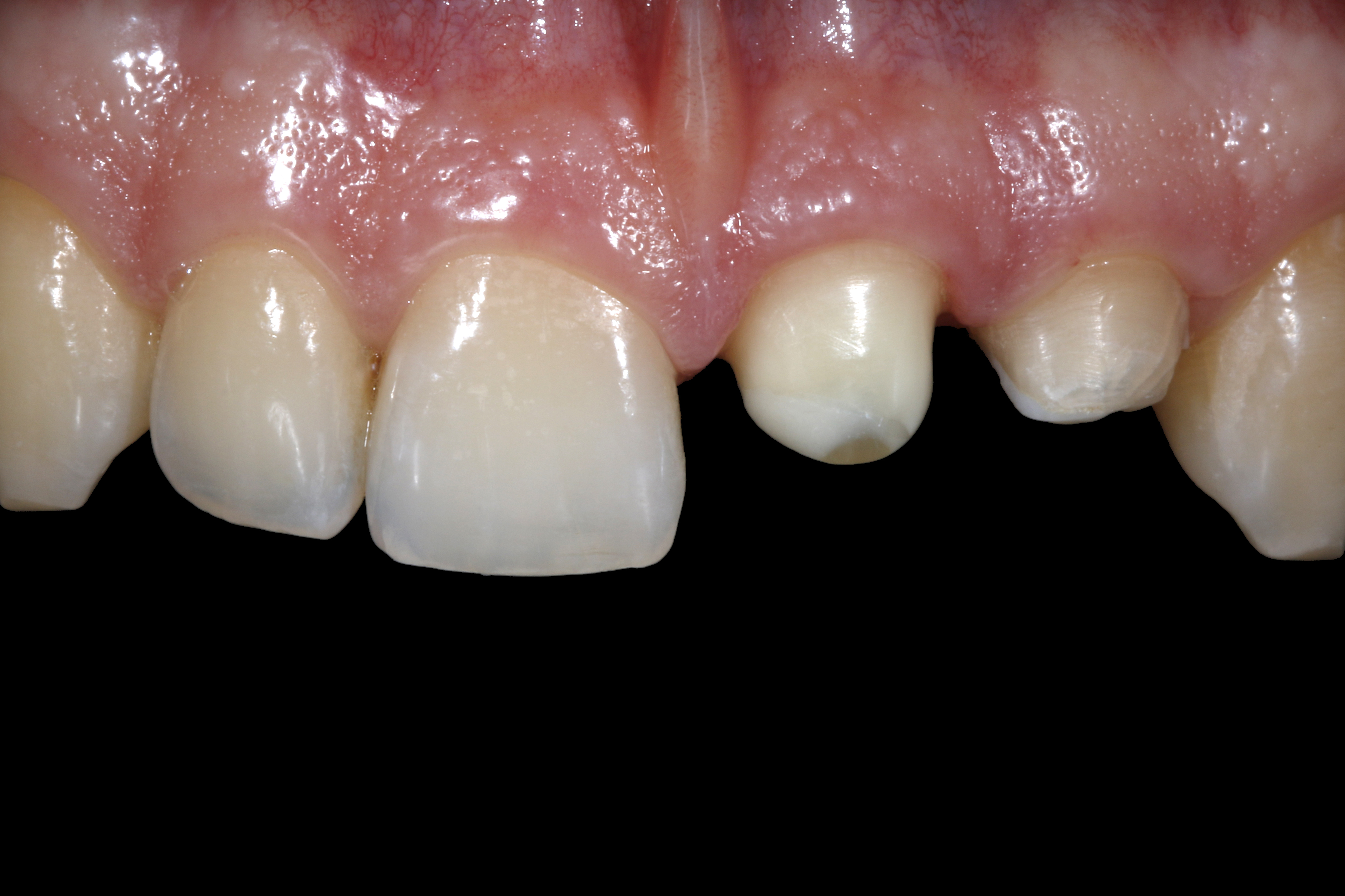
Ryc. 3. Sytuacja po opracowaniu zęba 21 do korony. Podczas kolejnej wizyty zaplanowano usunięcie zęba 22 i przeprowadzenie natychmiastowej implantacji. Do czasu wykonania docelowej rekonstrukcji, jako tymczasowe długoczasowe zaopatrzenie w okresie gojenia, należy wykorzystać wykonaną w pracowni protetycznej koronę na ząb 21, z przęsłem dowieszonym w okolicy zęba 22.
Ryc. 4. Ząb 21 od strony brzegu siecznego – widoczny zacementowany adhezyjnie, wzmocniony włóknem szklanym wkład koronowo‑korzeniowy (Rebilda Post, VOCO).

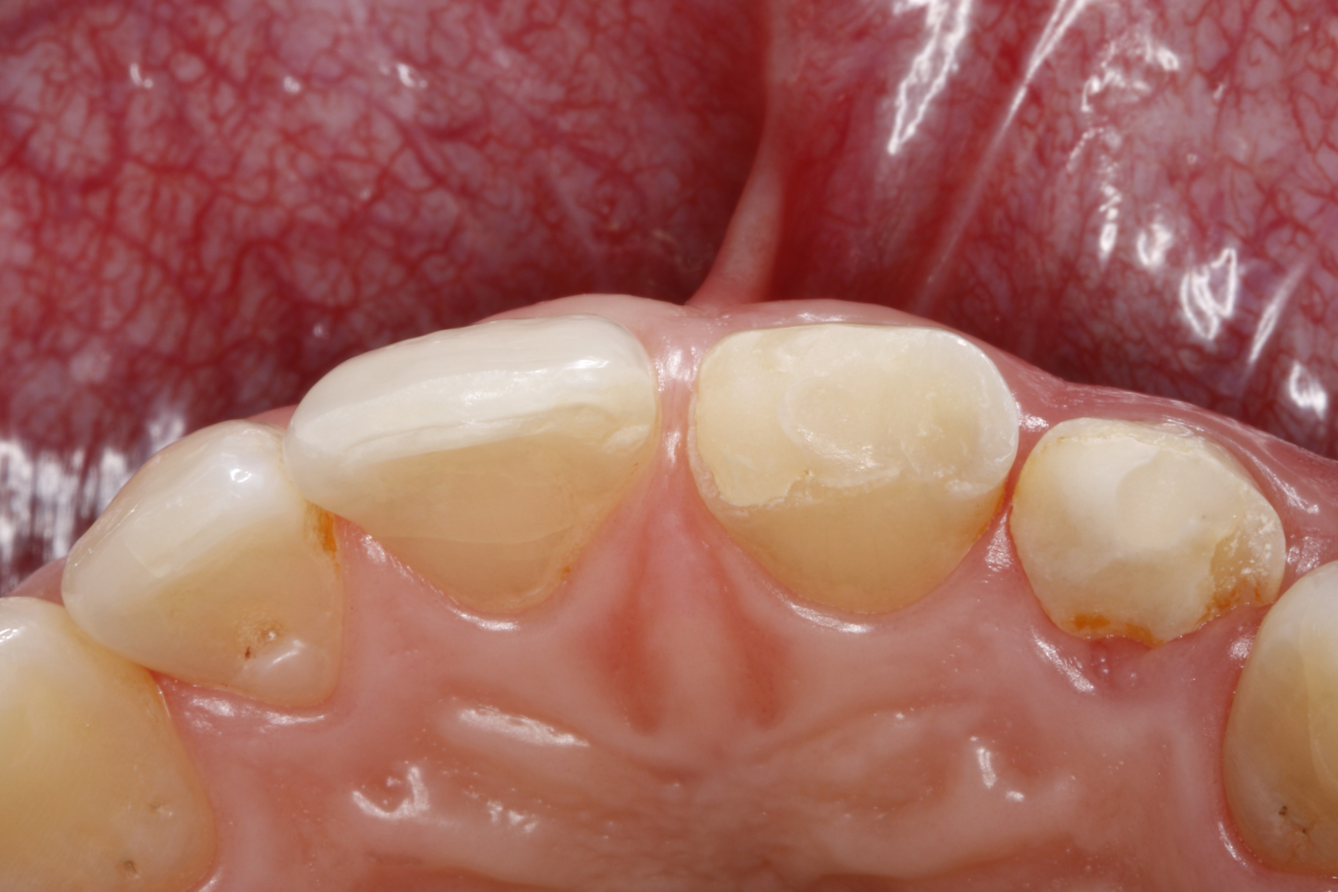
Ryc. 5. Po wprowadzeniu do szczeliny wokół zęba 21 bardzo cienkiej nici retrakcyjnej (w rozmiarze 000) wyciśnięto okrężnym ruchem pastę retrakcyjną przez bardzo cienką, zwężającą się kaniulę (pasta retrakcyjna, VOCO).
Ryc. 6. Pasta retrakcyjna jest łatwa do aplikacji, a zarazem ma dostatecznie gęstą konsystencję, aby pozwalała na dodatkowe poszerzenie szczeliny. Jednocześnie dochodzi do zatrzymania ewentualnego miejscowego krwawienia tkanek miękkich związanego z preparacją.
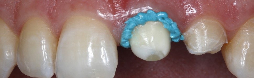
Ryc. 7. Ząb 21 od strony brzegu siecznego – zwraca uwagę stabilna konsystencja pasty retrakcyjnej, która utrzymuje się na miejscu po aplikacji i nie spływa.
Ryc. 8. Po upływie od 1 do 2 minut ostrożnie wypłukuje się pastę retrakcyjną strumieniem wody i sprężonego powietrza stosując ssak, a następnie osusza powietrzem niezawierającym oleju.
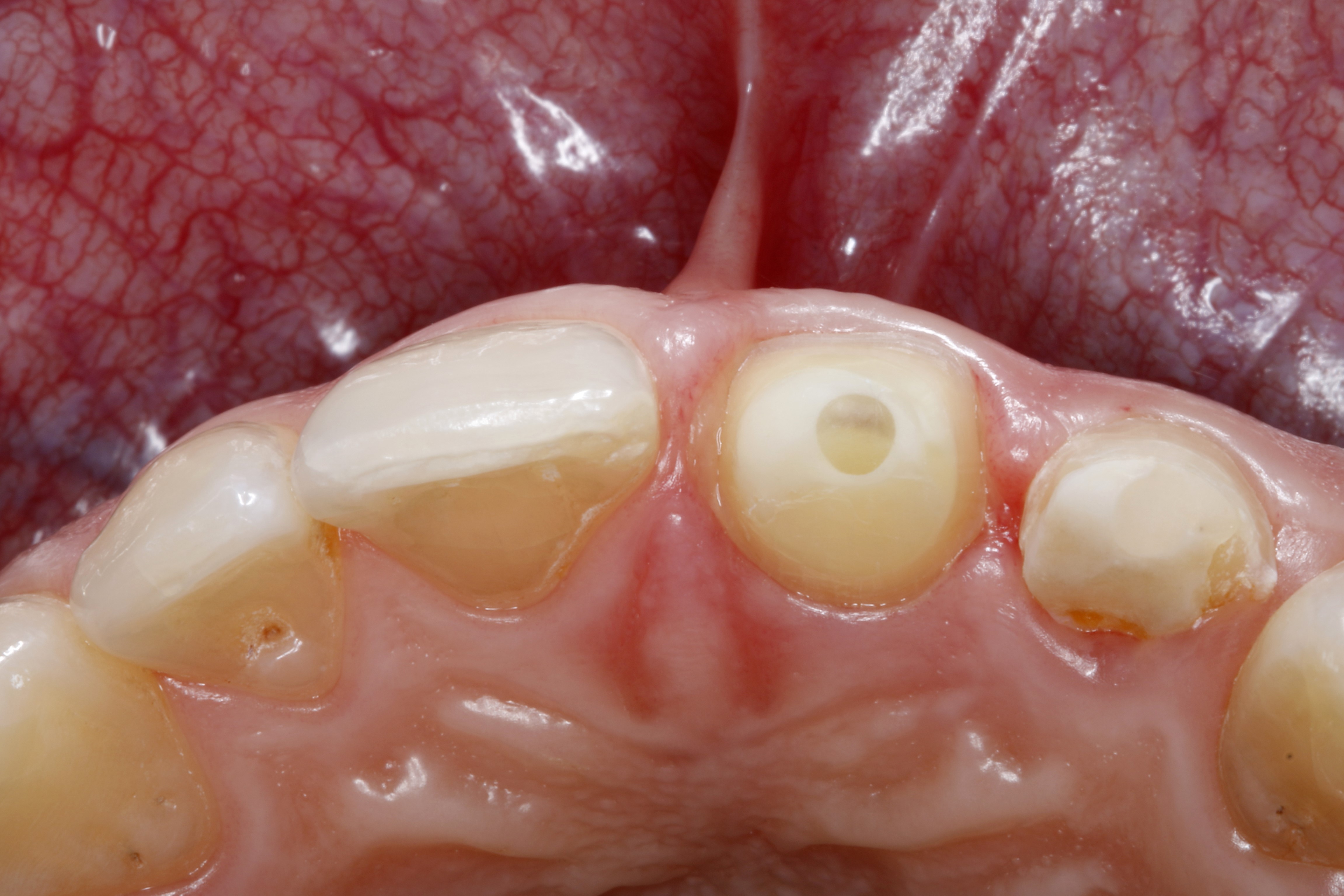
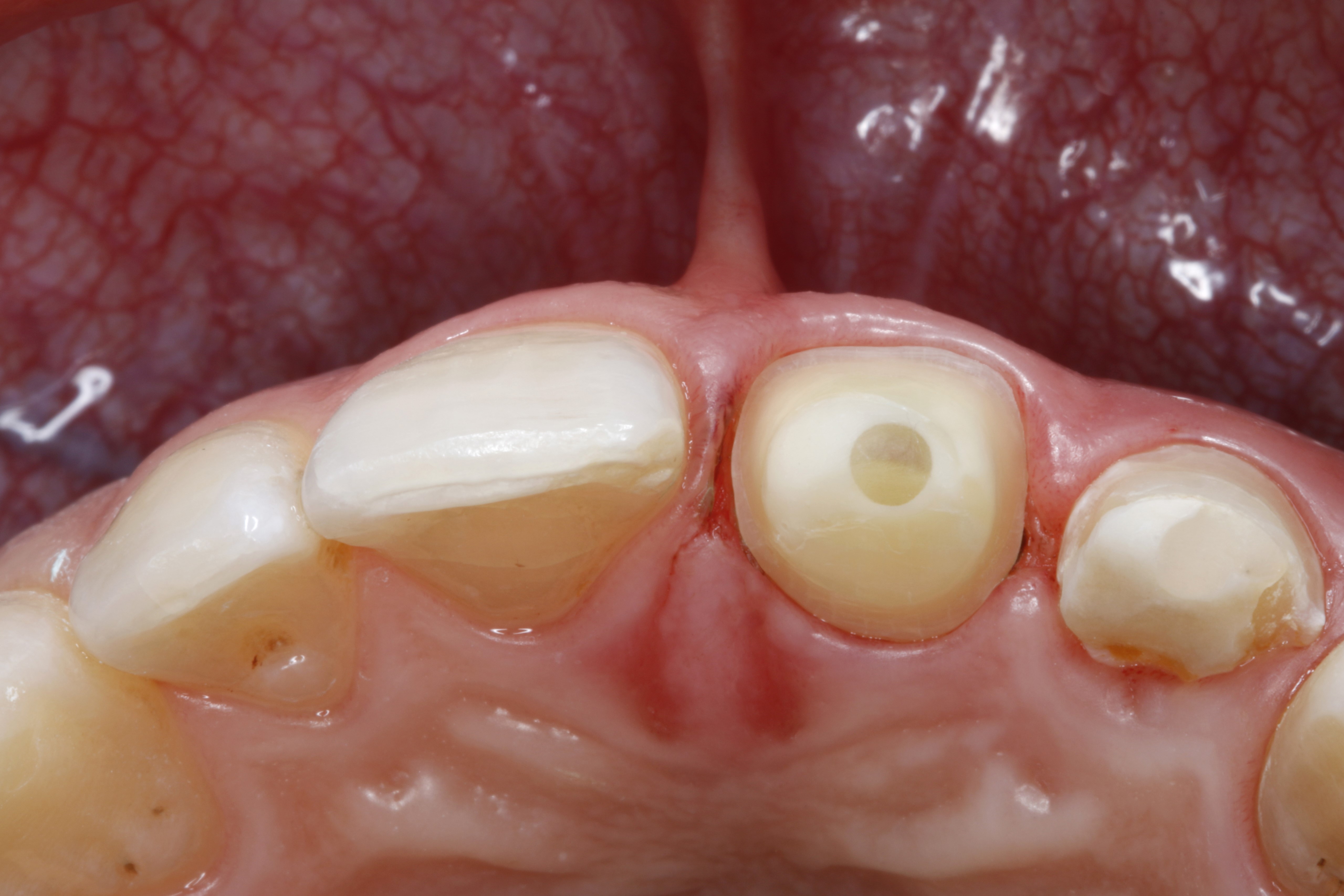
Ryc. 9. Możliwe było optymalne przygotowanie zęba 21 do pobrania wycisku, z zapewnieniem dobrej widoczności na całym obwodzie bruzdy dziąsłowej. Przy pomocy pasty retrakcyjnej wyraźnie odsłonięto brzeg preparacji, otwierając go i zapewniając suchość.
Ryc. 10. Sytuacja po usunięciu nici retrakcyjnych. 
Ryc. 11. Wycisk pobrany na łyżce indywidualnej z użyciem precyzyjnej masy wyciskowej (V‑Posil Heavy Soft Fast i V‑Posil Light Fast, VOCO).
Ryc. 12. Widok wycisku w zbliżeniu pozwala dostrzec wyraźnie zaznaczoną granicę preparacji zęba 21.
Ryc. 13. Efekt końcowy – uzupełnienie tymczasowe wykonane przy fotelu pacjenta (Structur 3, VOCO). Podczas kolejnej wizyty planowana jest ekstrakcja zęba 22 z natychmiastową implantacją.
TABELA I. Zastosowane produkty i informacja dotycząca producentów
Artykuł przedrukowany z: Manhart J. Die Abformung eines Oberkieferfrontzahns unter Anwendung einer Retraktionspaste. ZMK-Aktuell, Spitta Verlag. 2021; 37(6): 391-393.