Dostęp do tego artykułu jest płatny.
Zapraszamy do zakupu!
Cena: 24.00 PLN (z VAT)
Kup artykuł
Po dokonaniu zakupu artykuł w postaci pliku PDF prześlemy bezpośrednio pod twój adres e-mail.
MS 2022; 4: 56-60.
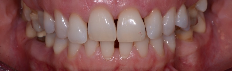
Miejscowa antybiotykoterapia w leczeniu zapaleń przyzębia – opis przypadku
Local antibiotic therapy in the treatment of periodontitis – a case report
Małgorzata Pietruska, Ewa Dolińska
Streszczenie
W artykule przedstawiono możliwości zastosowania miejscowej antybiotykoterapii w leczeniu zaawansowanych postaci zapaleń przyzębia.
Abstract
The article presents the possibilities of using topical antibiotics in the treatment of advanced periodontitis.
Hasła indeksowe: zapalenie przyzębia, miejscowe zastosowanie leku
Key words: periodontitis, local drug delivery
Local antibiotic therapy in the treatment of periodontitis – a case report
Małgorzata Pietruska, Ewa Dolińska
Streszczenie
W artykule przedstawiono możliwości zastosowania miejscowej antybiotykoterapii w leczeniu zaawansowanych postaci zapaleń przyzębia.
Abstract
The article presents the possibilities of using topical antibiotics in the treatment of advanced periodontitis.
Hasła indeksowe: zapalenie przyzębia, miejscowe zastosowanie leku
Key words: periodontitis, local drug delivery
PIŚMIENNICTWO
- Sanz I, Alonso B, Carasol M i wsp. Nonsurgical treatment of periodontitis. J Evid Base Dent Pract. 2012; 1(Suppl 3): 76-86.
- Sanz M, Bäumer A, Buduneli N i wsp. Effect of professional mechanical plaque removal on secondary prevention of periodontitis and the complications of gingival and periodontal preventive measures – consensus report of group 4 of the 11th European workshop on periodontology on effective prevention of periodontal and peri-implant diseases. J Clin Periodontol. 2015; 42(Suppl 16): 214-220.
- Kornman K. Mapping the pathogenesis of periodontitis: A new look. J. Periodontol. 2008; 79(Suppl 8): 1560-1568.
- Genco RJ, Borgnakke WS. Risk factors for periodontal disease. Periodontol 2000. 2013; 62(1): 59-94.
- Cortellini P, Tonetti MS. Clinical concepts for regenerative therapy in intrabony defects. Periodontol 2000. 2015; 68(1): 282-307.
- Quirynen M, Teughels W, De Soete M i wsp. Topical antiseptics and antibiotics in the initial therapy of chronic adult periodontitis: microbiological aspects. Periodontol 2000. 2002; 28: 72-90.
- Greenstein G, Tonetti M. The role of controlled drug delivery for periodontitis. The Research, Science and Therapy Committee of the American Academy of Periodontology. J Periodontol. 2000; 71(1): 125-140.
- Matesanz-Pérez P, García-Gargallo M, Figuero E i wsp. A systematic review on the effects of local antimicrobials as adjuncts to subgingival debridement, compared with subgingival debridement alone, in the treatment of chronic periodontitis. J Clin Periodontol. 2013; 40(3): 227-241.
- Laurestein M, Kaufmann M, Persson R. Clinical and microbiological results following nonsurgical periodontal therapy with or without local administration of piperacillin/tazobactam. Clin Oral Invest. 2013; 17(7): 1645-1660.
- Adriaens PA, Adriaens LM. Effects of nonsurgical periodontal therapy on hard and soft tissues. Periodontol 2000. 2004; 36: 121-145.
- Sanz M, Herrera D, Kebschull M i wsp. Treatment of stage I-III periodontitis – The EFP S3 level clinical practice guideline. J Clin Periodontol. 2020; 47(Suppl 22): 4-60.