MS 2021; 12: 72-79.
REPORTAŻ KLINICZNY
Bezpośrednie i pośrednie rekonstrukcje zębów z zastosowaniem różnych technik adhezyjnych i jednoskładnikowego systemu wiążącego OptiBond™ Universal
Direct and indirect restorative procedures performed with different bonding strategies with OptiBond™ Universal single‑component adhesive
Alessandro Vichi
Wstęp
Praktyka kliniczna wymaga od procedur adhezyjnych niezawodności i łatwości zastosowania. Wieloetapowe systemy adhezyjne są uważane za skuteczne, jednak charakteryzują się wrażliwością na technikę pracy, a jeden błąd na którymkolwiek z etapów może zagrozić jakości całego procesu adhezji. Efektem tych wyzwań jest opracowanie innowacyjnych systemów łączących, z których najnowsze znane są jako „uniwersalne systemy wiążące”, do których należy zastosowany w przytoczonym opisie przypadku klinicznego, OptiBond™ Universal (Kerr). Uniwersalny system wiążący jest definiowany jako system adhezyjny, najlepiej jednobutelkowy, który może być zastosowany w technice całkowitego wytrawiania szkliwa i zębiny (total‑etch), selektywnego wytrawiania szkliwa (selective‑etch) lub samotrawienia (self‑etch) – w zależności od sytuacji klinicznej i preferencji operatora.
Producenci zazwyczaj rekomendują zastosowanie uniwersalnych systemów wiążących do osadzania zarówno uzupełnień bezpośrednich, jak i pośrednich. Co więcej, są one kompatybilne z chemoutwardzalnymi, światłoutwardzalnymi i podwójnie utwardzalnymi cementami na bazie żywicy. Uniwersalne systemy wiążące mogą być stosowane nie tylko do procedur adhezyjnych w zębinie i szkliwie, ale również jako primery protetyczne do adhezyjnego cementowania prac na bazie cyrkonu, metali szlachetnych i nieszlachetnych, kompozytów oraz ceramiki na bazie krzemionki. Daje to możliwość uzyskania odpowiedniej adhezji bez konieczności stosowania specjalnych i oddzielnie aplikowanych primerów, takich jak silan, czy produktów oferowanych jako primery do metalu i cyrkonu. Dodatkową zaletą jest dowolność w doborze odpowiedniego dla danej sytuacji klinicznej protokołu wytrawiania w kontekście bezpośrednich oraz pośrednich rekonstrukcji zębów.
Wrażliwość na błędy proceduralne stanowiła istotne ograniczenie wieloetapowych systemów wiążących. Z kolei w przeszłości systemy jednobutelkowe cechowały się ograniczoną głębokością wytrawiania szkliwa. Miało to negatywny wpływ na jakość uzyskanej retencji, szczelność brzeżną i ryzyko wystąpienia przebarwień brzeżnych. W odpowiedzi na potrzebę uzyskania zwiększonej zdolności do wytrawiania szkliwa opracowano OptiBond Universal, który może być stosowany z powodzeniem zarówno w technice total‑etch, jak i selective‑etch oraz self‑etch.
W niniejszym opisie przypadku przedstawiono różne metody odbudowy zębów 16, 15 i 14 z zastosowaniem tego jednoskładnikowego uniwersalnego systemu wiążącego.
Opis przypadku
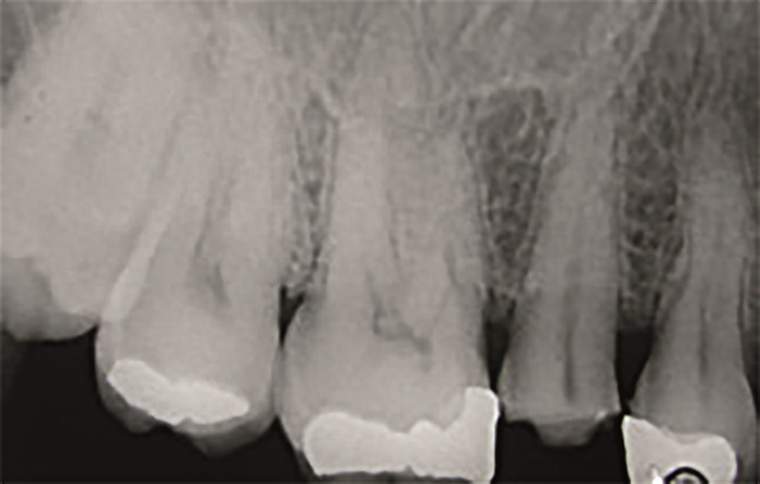
47‑letnia pacjentka zgłosiła się z powodu objawów zapalenia miazgi zęba 15. W badaniu wewnątrzustnym stwierdzono obecność starego wypełnienia amalgamatowego oraz złamanie guzka policzkowego zęba 15 (ryc. 1 i 2). W związku z tym na pierwszej wizycie przeprowadzono leczenie endodontyczne zęba 15 w znieczuleniu miejscowym (ryc. 3).



Na drugiej wizycie pacjentka poprosiła o estetyczną wymianę dwóch wypełnień amalgamatowych na zębach 16 i 14. Po doborze koloru wypełnienia uzyskano izolację pola zabiegowego za pomocą koferdamu OptiDam™ (Kerr). Wypełnienia amalgamatowe zostały usunięte pod obfitym strumieniem wody (ryc. 4). Procedura adhezyjna w zębie 16 została przeprowadzona za pomocą OptiBond Universal, z zastosowaniem protokołu wytrawiania total‑etch. Po nałożeniu formówki Adapt SuperCap Matrix (Kerr), opracowanej specjalnie do dużych uzupełnień w odcinku bocznym, na całą opracowaną wcześniej powierzchnię zęba nałożono żel zawierający 37,5% kwasu ortofosforowego (Gel Etchant, Kerr) (ryc. 5). Po 15 sekundach ubytek został dokładnie wypłukany, a następnie osuszony delikatnym strumieniem powietrza. Takie postępowanie zapobiega zapadnięciu się włókien kolagenowych, co skutkowałoby ograniczeniem infiltracji systemu łączącego.


Następnie przeprowadzono aplikację systemu OptiBond Universal zgodnie z następującym protokołem:


Następnie nałożono nanohybrydowy kompozyt Harmonize™. Harmonize ™ jest uniwersalnym materiałem hybrydowym zawierającym 81% wypełniacza, składającego się z małych (~5μm), sferycznych i stopionych cząstek krzemionki oraz cyrkonu. Może być stosowany zarówno w odcinku przednim, jak i bocznym. Producent oferuje ten materiał w odcieniach zębinowych, szkliwnych i siecznych. Dzięki kontroli rozmiaru i kształtu sieci nanocząsteczek wypełniacza udoskonalono właściwości rozpraszania światła przez Harmonize™, co pozwala na lepsze dopasowanie do naturalnej struktury zęba.
Odbudowę zęba przeprowadzono zgodnie z techniką warstwową. Pierwsza warstwa Harmonize™ w odcieniu siecznym została zaaplikowana w celu odtworzenia ściany interproksymalnej, przekształcając w ten sposób klasę II w klasę I ubytku. Następnie zaaplikowano początkową warstwę w odcieniu zębinowym, a następnie drugą — jaśniejszą i o mniejszym stopniu nasycenia — w odcieniu szkliwnym. Każda z warstw została poddana polimeryzacji przez 20 sekund lampą Demi Ultra, zapewniającą wysokie natężenie światła (1100‑1300 mW/cm²). Po zakończeniu procedury w zębie 16 (ryc. 8), wykonano odbudowę zęba 14. Po umieszczeniu formówki MetaFix (Kerr), charakteryzującej się obecnością wbudowanego napinacza ułatwiającego jej adaptację do powierzchni zęba, przeprowadzono procedurę adhezyjną zgodnie z protokołem selective enamel etching. Na szkliwo zaaplikowano 37,5% kwas ortofosforowy w żelu (Gel Etchant) (ryc. 9), a następnie, po wypłukaniu i wysuszeniu, przeprowadzono analogiczną do opisanej wcześniej w przypadku zęba 16 procedurę z zastosowaniem techniki warstwowej i kompozytu Harmonize™ (ryc. 10). Oba wypełnienia delikatnie skorygowano i wypolerowano za pomocą drobnych, a następnie ultradrobnych diamentów przeznaczonych do opracowania wypełnień kompozytowych (Kerr) (ryc. 11).




W przypadku odbudowy zęba 15 procedurę adhezyjną przeprowadzono z zastosowaniem protokołu wytrawiania self‑etch. Po dopasowaniu formówki Adapt SuperCap Matrix zaaplikowano OptiBond Universal zgodnie z wyżej opisanym protokołem — bez wcześniejszego zastosowania kwasu ortofosforowego (ryc. 12). Odstąpiono od użycia wkładów koronowo‑korzeniowych w tym przypadku. Wykonany dostęp endodontyczny umożliwił uzyskanie optymalnej retencji, a dzięki kształtowi zachowanych tkanek i długości korony zęba 15 osiągnięto rozległy efekt obręczy. Odbudowa została wykonana przy użyciu systemu SonicFill™2 – kompozytu bulk‑fill z końcówką dźwiękową do aktywacji materiału. SonicFill to kompozyt o wysokiej zawartości cząstek wypełniacza, zawierający opatentowaną żywicę ze specjalnymi modyfikatorami, reagującymi na energię dźwiękową. Na skutek aplikacji energii dźwiękowej i działania modyfikatora dochodzi do spadku lepkości i zwiększenia płynność materiału. Umożliwia to optymalne umieszczenie i dopasowanie wypełnienia do ścian ubytku. Po zaprzestaniu działania energii dźwiękowej kompozyt ponownie staje się bardziej lepki i zwarty, co sprzyja efektywnemu modelowaniu wypełnienia. Kompozyt ten cechuje się także optymalnym skurczem polimeryzacyjnym pozwalającym na wyższe stężenie inicjatorów sprzyjających bardziej efektywnemu procesowi polimeryzacji. Ponadto dzięki dopasowaniu współczynnika załamania światła i wydajnym mechanizmom utwardzania SonicFill2 jest możliwa jego polimeryzacja na maksymalnej głębokości wynoszącej 5mm. W związku z tym przed rozpoczęciem procedury zmierzono głębokość ubytku sondą, aby upewnić się, że grubość planowanej warstwy kompozytu będzie odpowiadała maksymalnej głębokości polimeryzacji tego materiału. Następnie wykonano odbudowę ubytku za pomocą jednej warstwy SonicFill2 (ryc. 13), który został spolimeryzowany za pomocą lampy Demi Ultra Light (ryc. 14). Po zakończeniu polimeryzacji usunięto formówkę, a wypełnienia w zębach 16 i 14 wykończono i wypolerowano za pomocą kolejnych krążków OptiDisc™ o coraz drobniejszym nasypie, a następnie jednoetapowego systemu Opti‑1Step™ (Kerr). Wygładzanie i polerowanie odgrywa istotną rolę w sposobie interakcji światła z uzupełnieniem. Mały, jednolity rozmiar cząsteczek materiału nanohybrydowego Harmonize™ został zaprojektowany w celu uzyskania optymalnej polerowalności.



Kolejnym krokiem było usunięcie koferdamu (OptiDam) i opracowanie zęba 15 pod koronę protetyczną bez podbudowy metalowej wykonaną z monolitycznego dwukrzemianu litu (e.max CAD) (ryc. 15). W celu zacementowania korony wytrawiono przez 20 sekund jej wewnętrzną powierzchnię kwasem fluorowodorowym o stężeniu 9,5% (ryc. 16). Po tym obficie ją przemyto i delikatnie osuszono, co ujawniło „kredowobiały” wygląd charakterystyczny dla procesu wytrawiania (ryc. 17). Następnie nałożono OptiBond Universal (ryc. 18), który dzięki zawartości silanu eliminuje potrzebę dodatkowego etapu związanego z jego aplikacją.




Ząb przygotowano do procedury także za pomocą OptiBond Universal, stosując ten sam protokół, który opisano wcześniej dla techniki self‑etch (ryc. 19). Do zacementowania pracy protetycznej wybrano cement NX3 (Kerr). Cement NX3 Nexus Third Generation to światłoutwardzalny i podwójnie utwardzalny cement z żywicy estetycznej, który jest kompatybilny z systemami łaczącymi zarówno total‑, jak i self‑etch. W składzie NX3 znajdują się nanowypełniacze, korzystnie wpływające na jego właściwości użytkowe i polerujące. Aplikator podwójnie utwardzalnego cementu NX3 oferowany jest w formie strzykawki z końcowką samomieszającą. Wśród wskazań do jego zastosowania wymienia się wszystkie uzupełnienia pośrednie, w tym licówki, wkłady oraz nakłady koronowe, korony, mosty, wkłady koronowo‑korzeniowe, a także prace protetyczne wykonywane w systemie CAD/CAM. Bezaminowy system inicjujący zapewnia stabilność koloru zarówno dla cementów światłoutwardzalnych, jak i podwójnie utwardzalnych. Podczas omawianej procedury cement NX3 został wprowadzony za pomocą końcówki mieszającej do korony (ryc. 20) i delikatnie rozprowadzony za pomocą małego pędzelka, aby uniknąć aplikacji nadmiaru materiału. Po umieszczeniu korony z pewnym naciskiem (ryc. 21) polimeryzowano cement za pomocą światła przez 3 sekundy od strony policzkowej i podniebiennej. Ta „wstępna” polimeryzacja z udziałem światła ułatwiła usunięcie nadmiaru cementu, szczególnie w okolicy interproksymalnej. Po tym dokończono proces polimeryzacji. Koronę poddano naciskowi przez kilka minut, aby doszło do całkowitej polimeryzacji cementu na skutek działania składników odpowiedzialnych za proces samoutwardzenia.



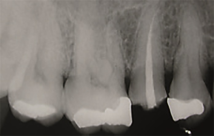
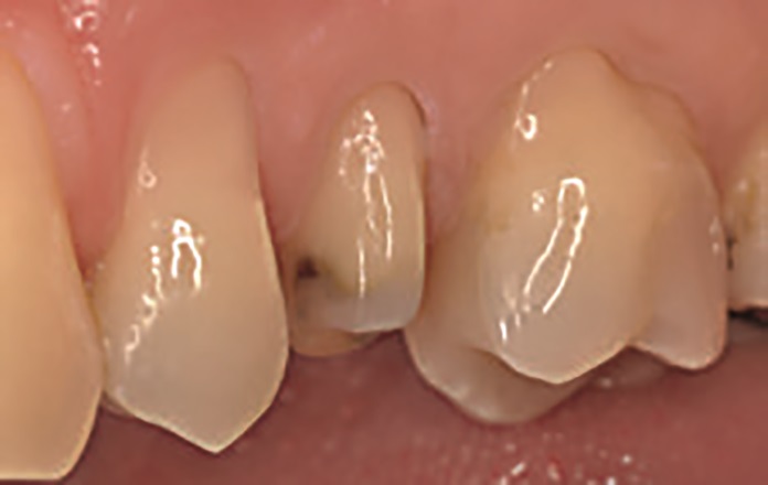
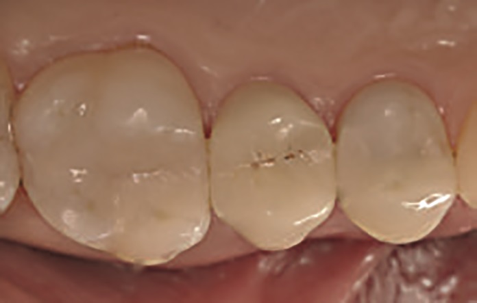
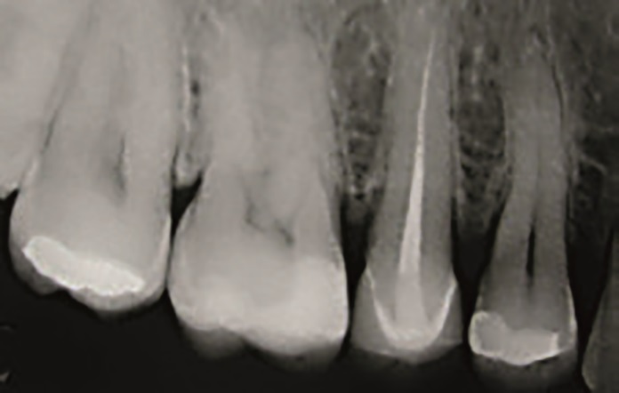
Obraz kliniczny po przeprowadzonym zabiegu i zdjęcie rentgenowskie przedstawiono na ryc. 22, 23, 24.



Opisany przypadek odzwierciedla wszechstronność systemu łączącego OptiBond Universal. OptiBond został zastosowany w protokołach całkowitego i selektywnego wytrawiania szkliwa w przypadku dwóch uzupełnień bezpośrednich oraz w trybie samowytrawiania do rekonstrukcji filaru zęba i cementowania korony. Takie postępowanie upraszcza przebieg procedur klinicznych wymagających adhezji oraz umożliwia ograniczenie systemu wiążącego do jednej butelki – z możliwością zastosowania wytrawiania z użyciem kwasu ortofosforowego – zgodnie z potrzebami danego postępowania rekonstrukcyjnego.
Artykuł przedrukowany z OptiBond Universal – clinical articles and research studies; 2019.
Bezpośrednie i pośrednie rekonstrukcje zębów z zastosowaniem różnych technik adhezyjnych i jednoskładnikowego systemu wiążącego OptiBond™ Universal
Direct and indirect restorative procedures performed with different bonding strategies with OptiBond™ Universal single‑component adhesive
Alessandro Vichi
Wstęp
Praktyka kliniczna wymaga od procedur adhezyjnych niezawodności i łatwości zastosowania. Wieloetapowe systemy adhezyjne są uważane za skuteczne, jednak charakteryzują się wrażliwością na technikę pracy, a jeden błąd na którymkolwiek z etapów może zagrozić jakości całego procesu adhezji. Efektem tych wyzwań jest opracowanie innowacyjnych systemów łączących, z których najnowsze znane są jako „uniwersalne systemy wiążące”, do których należy zastosowany w przytoczonym opisie przypadku klinicznego, OptiBond™ Universal (Kerr). Uniwersalny system wiążący jest definiowany jako system adhezyjny, najlepiej jednobutelkowy, który może być zastosowany w technice całkowitego wytrawiania szkliwa i zębiny (total‑etch), selektywnego wytrawiania szkliwa (selective‑etch) lub samotrawienia (self‑etch) – w zależności od sytuacji klinicznej i preferencji operatora.
Producenci zazwyczaj rekomendują zastosowanie uniwersalnych systemów wiążących do osadzania zarówno uzupełnień bezpośrednich, jak i pośrednich. Co więcej, są one kompatybilne z chemoutwardzalnymi, światłoutwardzalnymi i podwójnie utwardzalnymi cementami na bazie żywicy. Uniwersalne systemy wiążące mogą być stosowane nie tylko do procedur adhezyjnych w zębinie i szkliwie, ale również jako primery protetyczne do adhezyjnego cementowania prac na bazie cyrkonu, metali szlachetnych i nieszlachetnych, kompozytów oraz ceramiki na bazie krzemionki. Daje to możliwość uzyskania odpowiedniej adhezji bez konieczności stosowania specjalnych i oddzielnie aplikowanych primerów, takich jak silan, czy produktów oferowanych jako primery do metalu i cyrkonu. Dodatkową zaletą jest dowolność w doborze odpowiedniego dla danej sytuacji klinicznej protokołu wytrawiania w kontekście bezpośrednich oraz pośrednich rekonstrukcji zębów.
Wrażliwość na błędy proceduralne stanowiła istotne ograniczenie wieloetapowych systemów wiążących. Z kolei w przeszłości systemy jednobutelkowe cechowały się ograniczoną głębokością wytrawiania szkliwa. Miało to negatywny wpływ na jakość uzyskanej retencji, szczelność brzeżną i ryzyko wystąpienia przebarwień brzeżnych. W odpowiedzi na potrzebę uzyskania zwiększonej zdolności do wytrawiania szkliwa opracowano OptiBond Universal, który może być stosowany z powodzeniem zarówno w technice total‑etch, jak i selective‑etch oraz self‑etch.
W niniejszym opisie przypadku przedstawiono różne metody odbudowy zębów 16, 15 i 14 z zastosowaniem tego jednoskładnikowego uniwersalnego systemu wiążącego.
Opis przypadku
47‑letnia pacjentka zgłosiła się z powodu objawów zapalenia miazgi zęba 15. W badaniu wewnątrzustnym stwierdzono obecność starego wypełnienia amalgamatowego oraz złamanie guzka policzkowego zęba 15 (ryc. 1 i 2). W związku z tym na pierwszej wizycie przeprowadzono leczenie endodontyczne zęba 15 w znieczuleniu miejscowym (ryc. 3).



Na drugiej wizycie pacjentka poprosiła o estetyczną wymianę dwóch wypełnień amalgamatowych na zębach 16 i 14. Po doborze koloru wypełnienia uzyskano izolację pola zabiegowego za pomocą koferdamu OptiDam™ (Kerr). Wypełnienia amalgamatowe zostały usunięte pod obfitym strumieniem wody (ryc. 4). Procedura adhezyjna w zębie 16 została przeprowadzona za pomocą OptiBond Universal, z zastosowaniem protokołu wytrawiania total‑etch. Po nałożeniu formówki Adapt SuperCap Matrix (Kerr), opracowanej specjalnie do dużych uzupełnień w odcinku bocznym, na całą opracowaną wcześniej powierzchnię zęba nałożono żel zawierający 37,5% kwasu ortofosforowego (Gel Etchant, Kerr) (ryc. 5). Po 15 sekundach ubytek został dokładnie wypłukany, a następnie osuszony delikatnym strumieniem powietrza. Takie postępowanie zapobiega zapadnięciu się włókien kolagenowych, co skutkowałoby ograniczeniem infiltracji systemu łączącego.


Następnie przeprowadzono aplikację systemu OptiBond Universal zgodnie z następującym protokołem:
- OptiBond Universal jest dostępny zarówno w butelkach, jak i opakowaniach jednorazowych. Przed ich zastosowaniem zaleca się krótkie wstrząśnięcie pojemnika, aby zapewnić odpowiednie wymieszanie faz.
- Jednorazowy aplikator w formie pędzelka został wprowadzony do pojemnika z systemem wiążącym w celu nasycenia go OptiBond Universal.
- W kolejnym kroku zaaplikowano obfitą ilość OptiBond Universal na powierzchnię szkliwa i zębiny.
- System wiążący wcierano ruchami szczotkującymi za pomocą aplikatora przez 20 sekund, aby zoptymalizować jego penetrację (ryc. 6).
- Zaaplikowany system wiążący osuszano wstępnie delikatnym, a później średnim strumieniem powietrza przez co najmniej 5 sekund. Miało to na celu odparowanie obu rozpuszczalników.
- Po osuszeniu OptiBond Universal został poddany polimeryzacji przez 10 sekund lampą polimeryzacyjną Demi™ Ultra (Kerr) (ryc. 7).


Następnie nałożono nanohybrydowy kompozyt Harmonize™. Harmonize ™ jest uniwersalnym materiałem hybrydowym zawierającym 81% wypełniacza, składającego się z małych (~5μm), sferycznych i stopionych cząstek krzemionki oraz cyrkonu. Może być stosowany zarówno w odcinku przednim, jak i bocznym. Producent oferuje ten materiał w odcieniach zębinowych, szkliwnych i siecznych. Dzięki kontroli rozmiaru i kształtu sieci nanocząsteczek wypełniacza udoskonalono właściwości rozpraszania światła przez Harmonize™, co pozwala na lepsze dopasowanie do naturalnej struktury zęba.
Odbudowę zęba przeprowadzono zgodnie z techniką warstwową. Pierwsza warstwa Harmonize™ w odcieniu siecznym została zaaplikowana w celu odtworzenia ściany interproksymalnej, przekształcając w ten sposób klasę II w klasę I ubytku. Następnie zaaplikowano początkową warstwę w odcieniu zębinowym, a następnie drugą — jaśniejszą i o mniejszym stopniu nasycenia — w odcieniu szkliwnym. Każda z warstw została poddana polimeryzacji przez 20 sekund lampą Demi Ultra, zapewniającą wysokie natężenie światła (1100‑1300 mW/cm²). Po zakończeniu procedury w zębie 16 (ryc. 8), wykonano odbudowę zęba 14. Po umieszczeniu formówki MetaFix (Kerr), charakteryzującej się obecnością wbudowanego napinacza ułatwiającego jej adaptację do powierzchni zęba, przeprowadzono procedurę adhezyjną zgodnie z protokołem selective enamel etching. Na szkliwo zaaplikowano 37,5% kwas ortofosforowy w żelu (Gel Etchant) (ryc. 9), a następnie, po wypłukaniu i wysuszeniu, przeprowadzono analogiczną do opisanej wcześniej w przypadku zęba 16 procedurę z zastosowaniem techniki warstwowej i kompozytu Harmonize™ (ryc. 10). Oba wypełnienia delikatnie skorygowano i wypolerowano za pomocą drobnych, a następnie ultradrobnych diamentów przeznaczonych do opracowania wypełnień kompozytowych (Kerr) (ryc. 11).




W przypadku odbudowy zęba 15 procedurę adhezyjną przeprowadzono z zastosowaniem protokołu wytrawiania self‑etch. Po dopasowaniu formówki Adapt SuperCap Matrix zaaplikowano OptiBond Universal zgodnie z wyżej opisanym protokołem — bez wcześniejszego zastosowania kwasu ortofosforowego (ryc. 12). Odstąpiono od użycia wkładów koronowo‑korzeniowych w tym przypadku. Wykonany dostęp endodontyczny umożliwił uzyskanie optymalnej retencji, a dzięki kształtowi zachowanych tkanek i długości korony zęba 15 osiągnięto rozległy efekt obręczy. Odbudowa została wykonana przy użyciu systemu SonicFill™2 – kompozytu bulk‑fill z końcówką dźwiękową do aktywacji materiału. SonicFill to kompozyt o wysokiej zawartości cząstek wypełniacza, zawierający opatentowaną żywicę ze specjalnymi modyfikatorami, reagującymi na energię dźwiękową. Na skutek aplikacji energii dźwiękowej i działania modyfikatora dochodzi do spadku lepkości i zwiększenia płynność materiału. Umożliwia to optymalne umieszczenie i dopasowanie wypełnienia do ścian ubytku. Po zaprzestaniu działania energii dźwiękowej kompozyt ponownie staje się bardziej lepki i zwarty, co sprzyja efektywnemu modelowaniu wypełnienia. Kompozyt ten cechuje się także optymalnym skurczem polimeryzacyjnym pozwalającym na wyższe stężenie inicjatorów sprzyjających bardziej efektywnemu procesowi polimeryzacji. Ponadto dzięki dopasowaniu współczynnika załamania światła i wydajnym mechanizmom utwardzania SonicFill2 jest możliwa jego polimeryzacja na maksymalnej głębokości wynoszącej 5mm. W związku z tym przed rozpoczęciem procedury zmierzono głębokość ubytku sondą, aby upewnić się, że grubość planowanej warstwy kompozytu będzie odpowiadała maksymalnej głębokości polimeryzacji tego materiału. Następnie wykonano odbudowę ubytku za pomocą jednej warstwy SonicFill2 (ryc. 13), który został spolimeryzowany za pomocą lampy Demi Ultra Light (ryc. 14). Po zakończeniu polimeryzacji usunięto formówkę, a wypełnienia w zębach 16 i 14 wykończono i wypolerowano za pomocą kolejnych krążków OptiDisc™ o coraz drobniejszym nasypie, a następnie jednoetapowego systemu Opti‑1Step™ (Kerr). Wygładzanie i polerowanie odgrywa istotną rolę w sposobie interakcji światła z uzupełnieniem. Mały, jednolity rozmiar cząsteczek materiału nanohybrydowego Harmonize™ został zaprojektowany w celu uzyskania optymalnej polerowalności.



Kolejnym krokiem było usunięcie koferdamu (OptiDam) i opracowanie zęba 15 pod koronę protetyczną bez podbudowy metalowej wykonaną z monolitycznego dwukrzemianu litu (e.max CAD) (ryc. 15). W celu zacementowania korony wytrawiono przez 20 sekund jej wewnętrzną powierzchnię kwasem fluorowodorowym o stężeniu 9,5% (ryc. 16). Po tym obficie ją przemyto i delikatnie osuszono, co ujawniło „kredowobiały” wygląd charakterystyczny dla procesu wytrawiania (ryc. 17). Następnie nałożono OptiBond Universal (ryc. 18), który dzięki zawartości silanu eliminuje potrzebę dodatkowego etapu związanego z jego aplikacją.




Ząb przygotowano do procedury także za pomocą OptiBond Universal, stosując ten sam protokół, który opisano wcześniej dla techniki self‑etch (ryc. 19). Do zacementowania pracy protetycznej wybrano cement NX3 (Kerr). Cement NX3 Nexus Third Generation to światłoutwardzalny i podwójnie utwardzalny cement z żywicy estetycznej, który jest kompatybilny z systemami łaczącymi zarówno total‑, jak i self‑etch. W składzie NX3 znajdują się nanowypełniacze, korzystnie wpływające na jego właściwości użytkowe i polerujące. Aplikator podwójnie utwardzalnego cementu NX3 oferowany jest w formie strzykawki z końcowką samomieszającą. Wśród wskazań do jego zastosowania wymienia się wszystkie uzupełnienia pośrednie, w tym licówki, wkłady oraz nakłady koronowe, korony, mosty, wkłady koronowo‑korzeniowe, a także prace protetyczne wykonywane w systemie CAD/CAM. Bezaminowy system inicjujący zapewnia stabilność koloru zarówno dla cementów światłoutwardzalnych, jak i podwójnie utwardzalnych. Podczas omawianej procedury cement NX3 został wprowadzony za pomocą końcówki mieszającej do korony (ryc. 20) i delikatnie rozprowadzony za pomocą małego pędzelka, aby uniknąć aplikacji nadmiaru materiału. Po umieszczeniu korony z pewnym naciskiem (ryc. 21) polimeryzowano cement za pomocą światła przez 3 sekundy od strony policzkowej i podniebiennej. Ta „wstępna” polimeryzacja z udziałem światła ułatwiła usunięcie nadmiaru cementu, szczególnie w okolicy interproksymalnej. Po tym dokończono proces polimeryzacji. Koronę poddano naciskowi przez kilka minut, aby doszło do całkowitej polimeryzacji cementu na skutek działania składników odpowiedzialnych za proces samoutwardzenia.



Obraz kliniczny po przeprowadzonym zabiegu i zdjęcie rentgenowskie przedstawiono na ryc. 22, 23, 24.



Opisany przypadek odzwierciedla wszechstronność systemu łączącego OptiBond Universal. OptiBond został zastosowany w protokołach całkowitego i selektywnego wytrawiania szkliwa w przypadku dwóch uzupełnień bezpośrednich oraz w trybie samowytrawiania do rekonstrukcji filaru zęba i cementowania korony. Takie postępowanie upraszcza przebieg procedur klinicznych wymagających adhezji oraz umożliwia ograniczenie systemu wiążącego do jednej butelki – z możliwością zastosowania wytrawiania z użyciem kwasu ortofosforowego – zgodnie z potrzebami danego postępowania rekonstrukcyjnego.
Artykuł przedrukowany z OptiBond Universal – clinical articles and research studies; 2019.
,