MS 2019; 10: 16-32
Adhezyjne uzupełnienia pośrednie w złamanych zębach bocznych – analiza problemu klinicznego
Posterior indirect adhesive restorations in broken teeth – analysis of the clinical problem
Adam Romaniuk-Demonchaux
Hasła indeksowe: ceramika skaleniowa, adhezyjnie cementowane uzupełnienie porcelanowe, odbudowa pośrednia, leczenie endodontyczne
Wprowadzenie
Współczesna stomatologia odtwórcza wykorzystuje materiały połączone adhezyjnie z tkankami zęba, których przezierność oraz estetyka są zbliżone do naturalnych tkanek. W sposób niekwestionowany wyznacza nowe standardy w minimalnie inwazyjnej stomatologii rekonstrukcyjnej. Wiązanie adhezyjne jest fundamentem tej filozofii leczenia i umożliwia odtworzenie utraconych tkanek twardych zęba w formie leczenia addycyjnego. Podstawy tej dziedziny stomatologii zawdzięczamy badaniom Buonocorego, który jako pierwszy, w latach pięćdziesiątych ubiegłego wieku zastosował 85% kwas fosforowy w celu poprawy wiązania żywicy do szkliwa (1). Od tego czasu stomatologia adhezyjna zmienia obowiązujące paradygmaty, wskutek czego rozszerzają się horyzonty jej stosowania we współczesnej stomatologii rekonstrukcyjnej.
Leczenie stomatologiczne prowadzone zgodnie z zasadami adhezji uwzględnia stosowanie nowoczesnych materiałów kompozytowych i ceramiki, których wiązanie z tkankami zęba jest trwałe i przewidywalne. Rekonstrukcje wykonane w tej technice umożliwiają przywrócenie w sposób addycyjny utraconych tkanek oraz – co szczególnie istotne – ich wzmocnienie (2). W związku z tym możliwa jest świadoma rezygnacja z klasycznego leczenia protetycznego opartego na retencji i znacznej redukcji tkanek twardych zęba. Konwencjonalne metody leczenia protetycznego wykorzystujące korony wykonane na podbudowie metalowej są uznawane za złoty standard (3). W sprzyjających warunkach klinicznych mogą one przetrwać wiele lat. Przykładem może być wykonana ponad 50 lat temu i przedstawiona na rycinie 1 złota korona lana. Pomimo licznych zalet stosowanych w stomatologii stopów złota, w związku ze zmianą postrzegania estetycznego współcześnie nie są one powszechnie akceptowane.

Ryc. 1. Korona lana na zębie 41.
W praktyce klinicznej odnotowuje się również niepowodzenia przy stosowaniu stałych uzupełnień protetycznych, wśród których można wymienić powikłania dotyczące samych uzupełnień lub powikłania w obrębie zębów filarowych (ryc. 2).

Ryc. 2. Nieszczelności i uszkodzenia klasycznych uzupełnień protetycznych 5 lat po wykonaniu. Praca protetyczna wykonana w innym gabinecie stomatologicznym.
Pomimo skrupulatnie stosowanego protokołu ochrony żywotności miazgi inwazyjna preparacja nie wyklucza powstawania powikłań endodontycznych, które w znaczący sposób wpływają na okres użytkowania uzupełnienia protetycznego (ryc. 3).

Ryc. 3. Uszkodzenia mostu pomiędzy filarem a przęsłem oraz zamknięty otwór trepanacyjny po przeprowadzonym leczeniu endodontycznym.
Z danych zawartych w piśmiennictwie wynika, że ilość usuwanych tkanek twardych zęba w przypadku takiej preparacji jest redukowana o blisko 70% (4‑6). Stopień redukcji tkanek zęba w wyniku preparacji ma bezpośredni wpływ na obserwowane komplikacje. Utrata żywotności miazgi w sytuacji zaopatrzenia uzupełnieniami stałymi koron metalowo‑porcelanowych po 15 latach obejmuje aż 19,0% przypadków. Biorąc pod uwagę uzupełnienia metalowo‑porcelanowe, sięga ona nawet 34,0% przypadków po 15 latach (7). Powikłania pojawiające się w wyniku klasycznej preparacji pod uzupełnienia protetyczne wywołują kaskadę problemów klinicznych, których ponowne zaopatrzenie w sposób protetyczny, oparty na powtórnej rekonstrukcji zęba filarowego, często jest niestety niemożliwe. W związku z powyższym zastosowanie adhezyjnych uzupełnień pośrednich zgodnych z zasadami stomatologii minimalnie inwazyjnej wyznacza nowy kierunek stosowanych procedur klinicznych. Mniej inwazyjna preparacja oznacza mniejsze ryzyko wystąpienia komplikacji, a w sytuacji ich pojawienia się stwarza możliwość ponownego wykonania rekonstrukcji. Istotą pracy lekarza stomatologa nie jest wykonywanie wiecznych rekonstrukcji, lecz możliwie jak najdłuższe zachowanie substancji tkanek twardych zęba. Artykuł przedstawia przypadki kliniczne przemawiające za funkcjonalną i estetyczną skutecznością takiego postępowania stomatologicznego.
Rekonstrukcje zębów leczonych endodontycznie
Podstawowym warunkiem powodzenia leczenia endodontycznego jest dokładne rozpoznanie sytuacji klinicznej, opracowanie mechaniczno‑chemiczne oraz trójwymiarowe wypełnienie kanału wraz z wykonaniem trwałej i szczelnej rekonstrukcji korony. Właściwe zaopatrzenie w obrębie korony, zarówno podczas leczenia, jak i po jego przeprowadzeniu, chroni system kanałowy przed ponowną infekcją bakteryjną (8). Odbudowa utraconych tkanek zęba pozbawionego żywej miazgi jest jednak często problematyczna ze względu na stopień destrukcji korony. Ponadto ryzyko katastrofalnego złamania zęba jest znacznie wyższe niż w przypadku zębów z zachowaną żywą miazgą (9, 10). Wybór odpowiedniej metody terapeutycznej oraz kliniczny sposób jej przeprowadzenia ma kluczowe znaczenie dla osiągnięcia dobrych rezultatów długoterminowych. W świetle piśmiennictwa większość przypadków kwalifikowanych jako niepowodzenie leczenia endodontycznego dotyczy głównie przyczyn niezwiązanych z przeprowadzonym leczeniem kanałowym (11‑13). Spośród parametrów decydujących o przetrwaniu zęba najważniejsze są wytrzymałość mechaniczna wykonanej odbudowy, jej połączenia z tkankami zęba oraz jakość struktury pozostałych tkanek twardych zęba (14). W związku z powyższym istotne jest wykonanie takiej odbudowy, która sprosta siłom żucia, zapewniając jednocześnie powrót zęba do jego funkcji oraz przywróci naturalną estetykę uśmiechu.
Ryzyko złamania zębów leczonych endodontycznie
Zęby leczone endodontycznie są obciążone większym ryzykiem złamania, które może mieć ponadto katastrofalny przebieg (ryc. 4).

Ryc. 4. Katastrofalne złamanie korony zęba leczonego endodontycznie z rozległym wypełnieniem kompozytowym.
Złamania często powstają na skutek obecności rys i pęknięć w obrębie tkanek twardych zębów leczonych endodontycznie i są związane ze stopniem utraty tkanek twardych. Pęknięcia i rysy są efektem między innymi:
- zabiegów terapeutycznych przeprowadzanych przed podejmowanymleczeniem endodontycznymoraz w jego trakcie,
- utraty wolnej niezwiązanej wodyw świetle kanałów oraz w kanalikachzębinowych,
- zmniejszonej ilości włókien kolagenowych oraz zmiany w usieciowieniu kolagenu, która sprawia, że zębina jest bardziej podatna na działanie czynników mecha‑niczno‑chemicznych,
- zmniejszonej kontroli działających sił okluzyjnych w związku z osłabieniem zjawiska proprioceptywności zęba martwego.
TABELA I. Klasyfikacja Naumanna dzieląca zęby leczone kanałowo na pięć klas

Wkłady koronowo‑korzeniowe
Jedną z powszechnych metod stomatologii odtwórczej wykorzystywanych w przypadku zębów leczonych endodontycznie jest stosowanie metalowych lanych wkładów koronowo‑korzeniowych indywidualnych lub standardowych wraz z koroną protetyczną. Katastrofalnym powikłaniem tego typu rozwiązania bywa złamanie korzenia zęba (ryc. 5 i 6).

Ryc. 5. Katastrofalne pęknięcie korzenia i wycementowanie odbudowy opartej na indywidualnym wkładzie metalowym.

Ryc. 6. Usunięty korzeń – uwagę zwraca brak właściwej długości wkładu.
Zastąpienie metalowych wkładów koronowo‑korzeniowych cementowanymi adhezyjnie wkładami z włókien szklanych miało wyeliminować to powikłanie, jednak nadal jest ono odnotowywane w praktyce klinicznej (ryc. 7 i 8).

Ryc. 7. Katastrofalne złamanie korony zęba z zacementowanym wkładem z włókna szklanego.

Ryc. 8. Usunięty korzeń wraz z fragmentami odłamanej korony.
Niektóre opisane w piśmiennictwie badania wykazały, że stosowanie wkładów – również z włókna szklanego – jako zrębu dla całkowitej odbudowy korony zwiększyło ryzyko złamań kompleksu ząb–wypełnienie kompozytowe (w porównaniu z uzupełnieniami kompozytowymi bez wkładu) (17).
Pomimo połączenia wkładu z tkankami zęba nadal konieczne jest opracowanie dostępu do jamy zęba, a także poszerzenie już opracowanego w wyniku leczenia endodontycznego kanału. Taka procedura w znaczny sposób zmniejsza wytrzymałość zęba (18‑21). Ponadto degradacja połączenia cementu lutującego wkład z zębiną korzeniową i powstawanie przecieku bakteryjnego niekorzystnie wpływają na długoczasową trwałość odbudowy opartej na wkładach z włókna szklanego. Utrata połączenia pomiędzy wkładem a tkankami zęba prowadzi do utraty połączenia z nadbudową oraz utraty retencji wraz z reinfekcją systemu endodontycznego (22‑24). Oczywiście w skrajnych przypadkach może również doprowadzić do utraty zęba, głównie w związku ze zniszczeniem powierzchni nośnej korzenia. Ponadto pojawiają się publikacje wskazujące na brak adhezyjnego połączenia pomiędzy wkładem a tkankami zęba – zakotwienie wkładu według tych badań jest jedynie mechaniczne (25‑29). Równocześnie należy zwrócić uwagę na problem powstawania pęknięć, a w ich konsekwencji – katastrofalnych złamań korzeni w zębach po leczeniu endodontycznym, w których odbudowie nie zastosowano wkładów (ryc. 9 i 10).

Ryc. 9. Katastrofalne złamanie zęba nieleczonego endodontycznie, w przypadku którego nie zastosowano wkładu koronowo‑korzeniowego.

Ryc. 10. Katastrofalne złamanie korzenia zęba leczonego endodontycznie, w przypadku którego nie zastosowano wkładu koronowo‑korzeniowego.
W związku z tym nie można jednoznacznie stwierdzić, że wkłady są elementem destrukcyjnym (30‑32), oczywiście z zastrzeżeniem, że nie zastosowano wkładów aktywnych lub śrub, które generują powstawanie sił bocznych (33). Ogromny postęp technik adhezyjnych umożliwia w wielu sytuacjach klinicznych rezygnację ze stosowania w odbudowie korony zęba wkładu koronowo‑korzeniowego (34‑36). Powyższa zasada nie obowiązuje jednak w przypadku zębów przednich i przedtrzonowych ze znaczną utratą tkanek twardych. Wówczas konieczne jest wykonanie wkładu przenoszącego siły z korony na nadbudowę. Ważne jest, aby wkład nie służył pierwotnie retencji nadbudowy, ale raczej optymalizował jej kształt oporowy.
Najlepszą metodą uzyskania dobrej stabilizacji mechanicznej jest odpowiednie objęcie korzenia i stworzenie tzw. efektu obręczy. Zasada ta dotyczy wszystkich zębów leczonych endodontycznie, kiedy w odbudowie korzystne jest zastosowanie wkładu koronowo‑korzeniowego; zaleca się objęcie korzenia w zakresie 1,5 do 2 mm. W praktyce oznacza to całkowite objęcie guzków poprzez zastosowanie rekonstrukcji adhezyjnej częściowej lub całkowitej (37‑39).
Odbudowa kompozytowa koron zębów leczonych endodontycznie z zastosowaniem techniki pośredniej
Współczesna stomatologia wykorzystuje materiały umożliwiające estetyczną rekonstrukcję zniszczonych zębów. Oprócz estetyki istotnym elementem gwarantującym skuteczność terapii jest funkcjonalność i wytrzymałość wykonanej odbudowy. Zachowując standardy postępowania klinicznego, można uzyskać pewne połączenie adhezyjne kompozytu łączącego rekonstrukcje kompozytowe lub ceramiczne z tkankami zęba. Wykorzystanie techniki pośredniej minimalizuje zjawisko skurczu polimeryzacyjnego oraz znacznie poprawia wytrzymałość odbudowywanej korony. W związku z ciągłym rozwojem technologii i poprawą właściwości biomechanicznych omawianej grupy materiałów zastosowanie tej metody w odbudowie zębów leczonych endodontycznie systematycznie wzrasta.
Wykonywanie adhezyjnych uzupełnień pośrednich umożliwia przede wszystkim rezygnację z preparowania kształtu retencyjnego korony, czego niewątpliwą zaletą jest zachowanie istniejących tkanek zęba oraz minimalizowanie ryzyka wyżej wymienionych powikłań. Zmiana sposobu łączenia odbudowy z zakotwienia retencyjnego na połączenie adhezyjne umożliwia zachowanie znacznej ilości tkanek zęba, zmieniając istniejące paradygmaty. Współcześnie, mając do dyspozycji nowoczesne materiały, można zachowawczo i minimalnie inwazyjnie odbudować uszkodzoną koronę zęba w odcinku przednim oraz w odcinku bocznym.
Na podstawie opracowanego kształtu preparacje w odcinku bocznym można podzielić na:
- inlay – rekonstrukcja niewymagająca pokrycia guzków,
- onlay – rekonstrukcja pokrywająca jeden lub więcej guzków,
- overlay – szczególna odmiana nakładu typu onlay, w którym wszystkie guzki są pokryte,
- venerlay – overlay z licowaniem powierzchni policzkowej,
- korona całkowita/licówka 360° – jako uzupełnienie powyższej klasyfikacji, ponieważ procedura preparacji pod tego rodzaju uzupełnienia przewiduje całkowite pokrycie korony klinicznej leczonego zęba.
Wskazania
Po przeprowadzeniu wnikliwej analizy danego przypadku klinicznego, pierwszym dylematem w protokole leczenia, który należy rozstrzygnąć, jest prawidłowy wybór rodzaju uzupełnienia oraz techniki jego wykonania. W odcinku bocznym rozważa się wykonanie wypełnienia bezpośredniego lub pośredniego. Technika bezpośrednia jest wskazana w przypadku małych lub średnich ubytków klasy I i II, których zarys jest zlokalizowany w granicach szkliwa (40). Bezpośrednie wypełnienia kompozytowe stanowią metodę z wyboru w sytuacjach, kiedy mamy do czynienia z dobrymi, powtarzalnymi i przewidywalnymi wynikami leczenia; na podkreślenie zasługuje także ich minimalna inwazyjność. W opisywanej technice można wykonać wypełnienia wymagające częściowego pokrycia guzków, otrzymując wyniki porównywalne do metod pośrednich, m.in. uzyskiwanych za pomocą techniki stempla (41, 42).
Ogólnie rzecz ujmując, można stwierdzić, że uzupełnienia bezpośrednie z zastosowaniem technik adhezyjnych są wykorzystywane w rekonstrukcjach typu inlay, czyli rekonstrukcjach niewymagających pokrycia guzków.
Ograniczenia techniki bezpośredniej:
- ograniczona kontrola naprężeń powstałych w wyniku skurczu polimeryzacyjnego,
- możliwe wystąpienie nadwrażliwości pozabiegowej,
- nierozwiązany problem stabilności połączenia adhezyjnego z zębiną czy cementem korzeniowym (problem dotyczy również techniki pośredniej),
- ograniczenia odtworzenia anatomii zęba, powierzchni okluzyjnej, punktów stycznych i profilu wyłaniania,
- większa podatność na zużycie z powodu narażenia na starcie przez zęby przeciwstawne.
W związku z powyższym należy stwierdzić, że w rozległych ubytkach wymagających pokrycia guzków techniką z wyboru jest wykonanie pośrednich uzupełnień adhezyjnych – kompozytowych lub ceramicznych (43).
Definicja
Pośrednie uzupełnienie adhezyjne definiuje się jako koronę częściową wykonaną z ceramiki lub kompozytu, cementowaną techniką adhezyjną na odpowiednio opracowanym i niezapewniającym uzupełnieniu retencji mechanicznej zębie filarowym.
Aktualnymi wskazaniami do stosowania adhezyjnych uzupełnień pośrednich są:
- Odbudowa średnich i rozległych ubytków klasy II wymagających pokrycia czy odbudowy jednego lub większej liczby guzków.
- Odbudowa złamanych zębów.
- Odbudowa ubytków, w przypadku których wskazane jest pokrycie jednego lub większej liczby guzków w celu poprawy rokowania dla zęba z rozległym wypełnieniem.
- Odtworzenie powierzchni okluzyjnej zęba zniszczonej w wyniku starcia lub erozji.
- Odbudowa zęba z rozpoznanym syndromem pękniętego zęba, jeżeli konieczne jest uzyskanie kontroli nad objawami w celu zachowania żywotności miazgi (44).
- Odbudowa wielu ubytków o średniej i dużej rozległości w tym samym kwadrancie.
- Niewielka ilość szkliwa na dodziąsłowej ścianie ubytku (< 1 mm wysokości i 0,5 mm szerokości) lub jego brak.
-
Odtworzenie idealnej morfologii powierzchni okluzyjnej.
-
Doskonała kontrola punktów stycznych i profilu wyłaniania.
-
Możliwość analizy zwarcia w artykulatorze.
-
Minimalizacja skurczu polimeryzacyjnego kompozytu, co znacząco poprawia szczelność brzeżną wykonanej rekonstrukcji (skurcz polimeryzacyjny dotyczy tylko cienkiej warstwy materiału kompozytowego zastosowanego w celu adhezyjnego cementowania uzupełnienia pośredniego).
-
W przypadku stosowania kompozytowych uzupełnień pośrednich wykonane w warunkach laboratoryjnych uzupełnienie posiada wyższy stopień konwersji i lepsze właściwości fizykochemiczne. Prace polimeryzowane w takich warunkach wykazują wyższy stopień polimeryzacji oraz charakteryzują się mniejszą porowatością, tzw. gładkością zewnętrzną, w porównaniu z bezpośrednią polimeryzacją w jamie ustnej. W istotny sposób ogranicza to akumulację płytki nazębnej. W związku z przeprowadzeniem modelowania i polimeryzacji metodą w laboratorium rekonstrukcje wykazują bardzo dobrą stabilność wymodelowanego kształtu. Ponadto charakteryzuje je zwiększona odporność na zużycie, a także większa wytrzymałość na ściskanie i zginanie (45).
Protokół kliniczny pod adhezyjne uzupełnienia pośrednie
Dla uzyskania przewidywalnych rezultatów leczenia konieczne jest zastosowanie usystematyzowanego protokołu postępowania klinicznego. W praktyce przedstawia się on następująco:
- Analiza pod kątem diagnostyki czynników związanych z ubytkiem i dokonania wyboru rodzaju uzupełnienia oraz rodzaju materiału, z którego zostanie wykonana rekonstrukcja.
- Wykonanie wycisku odtwarzanych zębów masą silikonową; w przypadku zniszczenia korony klinicznej jest to poprzedzone odbudową materiałem tymczasowym i kontrolą zwarcia zgodnie z obowiązującymi zasadami (przed pobraniem wycisku).
- Całkowite opracowanie ubytku.
- Odbudowa zrębu z natychmiastową aplikacją systemu wiążącego do zębiny (46) (Immediate Dentin Sealing – IDS) oraz zmiana proksymalnego położenia brzegu ubytku (Coronal Margin Relocation – CMR), jeżeli występuje taka potrzeba kliniczna (47) lub podjęto decyzję o wykonaniu uzupełnienia monolitycznego (BPRs).
- Opracowanie ubytku i jego finalne ukształtowanie.
- Precyzyjne pobranie wycisku masą elastomerową.
- Wykonanie prowizorium i jego osadzenie.
- Wykonanie uzupełnienia w laboratorium protetycznym.
- Kontrola dopasowania uzupełnienia przed izolacją za pomocą koferdamu.
- Izolacja pola zabiegowego koferdamem i adhezyjne cementowanie uzupełnienia.
- Korekta zwarcia i wypolerowanie uzupełnienia.
- Opracowanie ubytku.
Całkowite usunięcie tkanek zmienionych próchnicowo oraz starych wypełnień
Szczególnie istotną procedurą kliniczną jest usunięcie niepodpartych nawisających tkanek przed odbudową zrębu zęba, ponieważ po jej przeprowadzeniu możliwa jest dokładna ocena grubości ścian ubytku. Ponadto w trakcie opracowania ubytku należy wykonać analizę strukturalną pozostałych tkanek zęba, określić obecność/brak zębiny pomiędzy osią zęba, listew brzeżnych pozostałych po preparacji, sklepienia komory i pozostałych ścian guzków. Podczas opracowywania rozległych ubytków bardzo często występują podcienie, które wymagają odpowiedniego zaopatrzenia w postaci ich zablokowania lub uzupełnienia (block‑out/ build‑up) w adhezyjnej technice bezpośredniej.
Zakres opracowania ubytku jest uzależniony od:
- ilości szkliwa niepodpartego zębiną; ścianę ubytku opracowuje się do momentu, aż szkliwo będzie podparte zębiną,
- oceny naprężeń wynikających z warunków okluzyjnych,
- pomiaru pozostałego szkliwa i zębiny.
-
grubości ścian ubytku – w przypadku zębów leczonych endodontycznie grubość ściany ubytku powinna wynosić minimum 3 mm, tak aby możliwe było jej zachowanie; w przypadku zębów żywych grubość ściany ubytku powinna wynosić minimum 2 mm (48‑50),
-
szerokości w wymiarze policzko‑wo‑językowym (isthmus) ubytku, która musi wynosić co najmniej 2 mm zarówno dla kompozytu, jak i ceramiki wzmacnianej dwukrzemianem litu,
-
zasięgu preparacji na powierzchni stycznej, która nie powinna przekraczać 2 mm, ponieważ ryzyko złamania listewki brzeżnej wzrasta wraz ze stopniem zachodzenia preparacji na powierzchni stycznej (51),
-
rodzaju zastosowanego materiału, z którego zostanie wykonane uzupełnienie adhezyjne (konieczność zapewnienia optymalnej grubości materiału odtwórczego – grubość materiału odtwórczego pokrywającego guzki musi wynosić 1 do 1,5 mm dla kompozytu i ceramiki z dwukrzemianu litu oraz 2 do 2,5 mm dla ceramiki skaleniowej i ceramiki wzmacnianej leucytem).
-
Brak podcieni – zablokowanie podcieni to adhezyjne wypełnienie obszarów uniemożliwiających umiejscowienie uzupełnienia pośredniego zgodnie z morfologią ubytku. Taki stan pozwala na wykonanie preparacji zachowawczej, ponieważ wypełnione kompozytem obszary nie wymagają usunięcia.
-
Obecność zaokrąglonych brzegów wewnętrznych i ostro zaznaczonej linii wykończenia, co jest istotne z punktu widzenia wytrzymałości na naprężenia mechaniczne oraz dokładności definiowania granicy preparacji.
-
Pozostawienie maksymalnej ilości szkliwa jest kluczowe w trakcie prowadzonej preparacji, bowiem szkliwo to idealny substrat dla protokołu adhezyjnego cementowania uzupełnienia pośredniego.
-
Ukształtowanie ścian ubytku o rozbieżności 6 do 10 stopni, zaokrąglenie wewnętrznych krawędzi, brak zukośnień szkliwa oraz ukształtowanie gładkich dobrze zdefiniowanych ścian ubytku.
-
Brzegi uzupełnienia zlokalizowane poza punktami kontaktu z zębami przeciwstawnymi.
Rodzaje preparacji
W przypadkach preparacji pod onlay lub overlay w odcinku bocznym można zastosować cztery podstawowe kształty preparacji:
- Preparacja typu butt joint – jest wykorzystywana przy opracowywaniu powierzchni stycznych oraz ścian osiowych w rozległych ubytkach, w których brzeg jest zlokalizowany dowierzchołkowo lub na wysokości równika zęba filarowego. Brzeg ubytku powinien być zakończony zaokrąglonym schodkiem typu shoulder z ostrym brzegiem o szerokości 1 do 1,2 mm (ryc. 11). Tego typu opracowania – ze względu na swoje kształty – najczęściej wymagają: powierzchnie językowe zębów trzonowych i przedtrzonowych w żuchwie; powierzchnie policzkowe zębów bocznych w żuchwie, jeżeli zniszczenie ścian sięga aż do części przyszyjkowej; powierzchnie styczne – idealna szerokość to 1 do 1,2 mm.
- Preparacja typu bevel – jest bardzo podobna do preparacji butt joint, jednak różni ją obecność zaznaczonego zukośnienia pod kątem 45° (lub więcej) o szerokości 1 do 1,5 mm. Zwykle wykonane w tej technice zukośnienie jest zaznaczone na powierzchni policzkowej, jednak można je wykonać także na innych powierzchniach (ryc. 11). Preparacja typu bevel bywa wykonywana na powierzchni podniebiennej w przypadku wystąpienia pęknięć szkliwa. Wskazaniami do stosowania omawianej techniki preparacji są: potrzeba wytworzenia większej przestrzeni dla uzupełnienia na brzegach; rozwinięcie powierzchni szkliwa, co pozwala na poprawę procedur adhezyjnych; potrzeby estetyczne związane z maskowaniem linii połączenia uzupełnienie–ząb.
- Preparacja typu shoulder – charakteryzuje się obecnością zaokrąglonego schodka typu shoulder o szerokości około 1 mm, który występuje na obwodowych częściach preparacji; część centralną stanowi zwykle odbudowa kompozytowa zrębu (ryc. 11). Obecność schodka typu shoulder poprawia jakość procedury adhezyjnej w związku z rozwinięciem powierzchni szkliwa. Wskazaniami do stosowania opisanej techniki preparacji są: ochrona strukturalna dla pokrycia guzków z objęciem okolicy przyszyjkowej; wcześniejsze złamania guzków w okolicy 1/3 przyszyjkowej środkowej.
- Preparacja typu chamfer – opracowanie brzegów z nachylonym płytkim schodkiem typu chamfer stwarza korzystne warunki dla adhezji poprzez opracowanie szkliwa prostopadle do długich osi pryzmatów (52, 53). Jeżeli jest to możliwe, preparację tego typu wykonuje się w wymiarze mezjalno‑dystalnym i policzkowo‑podniebiennym za pomocą stożkowatego wiertła, korzystając jedynie z jego wierzchołka (ryc. 12). Wskazaniami do zastosowania tej techniki preparacji są: minimalizacja utraty tkanek twardych zęba; potrzeba zwiększenia powierzchni szkliwa dostępnego dla połączenia adhezyjnego bez obnażenia zębiny; preparacja wykonywana w obrębie ścian osiowych umiejscowionych dokoronowo w stosunku do równika zęba; zwykle opracowania takiego wymagają (ze względów geometrycznych i strukturalnych) ściany policzkowe i podniebienne zębów przedtrzonowych i trzonowych w szczęce oraz ściany policzkowe w obrębie zębów bocznych żuchwy; chęć dowierzchołkowego przesunięcia granicy preparacji niwelującej różnice pomiędzy dnem ubytku a wysokością guzków wymagających pokrycia poprzez stworzenie gładkiego i zaokrąglonego przejścia bez ostrych krawędzi.

Ryc. 11. Opracowanie schodka typu butt joint; brzeg ubytku jest zakończony zaokrąglonym schodkiem typu shoulder z ostrym brzegiem.

Ryc. 12. Preparacja typu chamfer.
Kształt preparacji na powierzchni stycznej
W tej kategorii wyróżniamy trzy zasadnicze kształty preparacji:
- Butt joint – preparacja powierzchni stycznej, dla której typowy jest zaokrąglony schodek typu shoulder o szerokości około 1 mm (zgodny z preparacją typu shoulder). Jest to często stosowany typ preparacji, bowiem uzyskuje się go w trakcie opracowywania tkanek na powierzchniach stycznych (ryc. 13).
- Bevel – kształt tej preparacji jest zgodny z preparacją typu bevel, stosowaną w przypadkach odtwarzania punktu stycznego bez obecności na tej powierzchni ubytku próchnicowego lub wypełnienia.
- Ridge‑up – zachowanie listwy brzeżnej w sytuacjach, kiedy możliwe jest utrzymanie jej ciągłości, oczywiście przy braku obecności ubytku próchnicowego lub wypełnienia (w wariancie określanym jako zachowanie brzegu). Innym wariantem tego typu preparacji jest wariant określany jako pokrycie brzegu, jednak wymaga on nieznacznego opracowania listwy brzeżnej.

Ryc. 13. Preparacja powierzchni stycznej butt joint, dla której typowy jest zaokrąglony shoulder o szerokości około 1 mm.
Opracowana pod adhezyjne uzupełnienie pośrednie korona zęba powinna się charakteryzować łagodnym przebiegiem wypreparowanego schodka na całej opracowanej powierzchni, zaczynając od przyszyjkowej ściany na powierzchni stycznej, poprzez ściany osiowe, aż do przeciwległej powierzchni stycznej; ściany wewnętrzne o układzie rozbieżnym 6 do 10 stopni również powinny łagodnie przechodzić w inne powierzchnie wewnętrzne ostro odgraniczone od powierzchni zęba. To ostre przejście w zdrowe tkanki zęba na powierzchni okluzyjnej zapobiega podatności na odłamania cienkich fragmentów uzupełnienia.
Opisane rodzaje preparacji zębów pod adhezyjne uzupełnienia pośrednie umożliwiają stosowanie w praktyce klinicznej techniki opracowania zębów opartej na morfologii (54).
Oparta na morfologii technika opracowania zębów pod adhezyjne uzupełnienia pośrednie w odcinku bocznym ma na celu:
- minimalnie inwazyjną preparację tkanek twardych zęba bez odsłaniania (podczas preparacji) zębiny,
- opracowanie szkliwa prostopadle do długich osi pryzmatów i stworzenie korzystnych warunków dla adhezji,
- ocenę zakresu redukcji tkanek twardych zęba poprzez zastosowanie indeksu silikonowego lub wykonywanie kalibrowanych rowków w celu oznaczenia głębokości preparacji uzależnionej od rodzaju wykorzystanego materiału,
- jeżeli jest to możliwe – ograniczenie szerokości schodka typu shoulder.

Ryc. 14. Technika opracowania zęba pod pośrednie uzupełnienie adhezyjne w odcinku bocznym oparta na morfologii (MDPT).
Ryc. 15. Technika opracowania zęba pod pośrednie uzupełnienie adhezyjne w odcinku bocznym oparta na morfologii (MDPT).
OPIS PRZYPADKÓW
Odbudowa złamanej korony zęba leczonego endodontycznie z zastosowaniem adhezyjnie cementowanej ceramiki skaleniowej (z odbudową zrębu po opracowaniu powierzchni adhezyjnej)
Przypadek 1
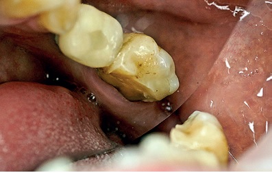
Pacjent zgłosił się do gabinetu w związku z urazem zgryzowym, do którego doszło poprzedniego dnia. W wyniku urazu złamaniu uległa ściana językowa zęba 37 (ryc. 16). 
Ryc. 16. Złamana korona zęba 37.
Odnotowano brak patologicznej ruchomości zęba; wynik wykonanego sondą periodontologiczną badania wyniósł 1,6 mm. Ząb był już wcześniej leczony endodontycznie. Analiza zdjęcia rentgenowskiego wykazała obecność materiału kontrastowego w świetle kanałów sięgającego do wierzchołka, bez zmian okołowierzchołkowych. Uwzględniając rozmiar ubytku oraz zasady stomatologii addycyjnej, odrzucono możliwość leczenia zęba 37 z zastosowaniem klasycznej protetyki i podjęto decyzję o wykonaniu adhezyjnego uzupełnienia pośredniego z ceramiki skaleniowej połączonej adhezyjnie z tkankami zęba. Wykonano izolację pola zabiegowego koferdamem. Ostrożnie usunięto nieszczelne stare wypełnienie kompozytowe, które uwidoczniło szczelinę pęknięcia obejmującego swym zasięgiem szkliwo i zębinę w obszarze mezjalnym. Szczelinę wypiaskowano tlenkiem glinu o średnicy cząsteczek 50 μm. W celu wykonania odbudowy kompozytowego zrębu adhezyjnego wykorzystano technikę bezpośredniej hybrydyzacji zębiny (natychmiastowe uszczelnienie zębiny, IDS) z zastosowaniem wytrawiania oraz aplikacji systemu łączącego i kompozytu, bezpośrednio po opracowaniu zęba (46).
Uzasadnienie wykonania techniki IDS w powyższym przypadku klinicznym:
- natychmiastowa aplikacja systemu wiążącego do zębiny pozwalająca na poprawę siły wiązania w zestawieniu z innymi metodami, w których system łączący aplikuje się w późniejszym czasie;
- konieczność wypełnienia podcieni powstałych podczas opracowywania ubytku oraz wykonanie właściwego kształtu geometrycznego ubytku;
- odbudowę zrębu wykonano hybrydowym wzmocnionym kompozytem o niskiej wartości skurczu polimeryzacyjnego (55);
- wykonanie odbudowy zrębu umożliwiło ocenę grubości planowanej rekonstrukcji.
Proces ahezyjnej odbudowy zrębu przeprowadzono zgodnie z obowiązującym protokołem klinicznym. Następnie za pomocą wiertła kulkowego wykonano rowek o głębokości około 1,5 mm na ścianie policzkowej, okluzyjnej i przeprowadzono redukcję o oznaczonym zakresie, wykorzystując wiertło stożkowate o zaokrąglonym końcu. Przy użyciu osadzonego na końcówce przyśpieszającej wiertła opracowano powierzchnie okluzyjne zgodnie z kształtem anatomicznym. Na powierzchni policzkowej wykonano płytki schodek typu chamfer w celu optymalizacji warunków połączenia w związku z dokoronowym umiejscowieniem ściany osiowej w stosunku do równika zęba. Powierzchnię językową i styczną bliższą opracowano minimalnie inwazyjnie, uzyskując typ preparacji butt joint. Przebieg preparacji w obrębie ściany językowej określono zgodnie z zakresem i głębokością powstałego złamania. Powierzchnię językową oraz styczną bliższą opracowano w ten sposób ze względu na dowierzchołkowe (w stosunku do równika zęba) umiejscowienie złamania korony. Preparację dokładnie wypolerowano (ryc. 17 i 18). 
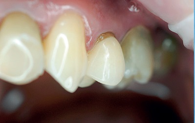
Ryc. 17. Odbudowa zrębu i opracowanie korony.
Ryc. 18. Odbudowa zrębu i opracowanie korony.
Wykonano precyzyjny wycisk dwuszczękowy danego fragmentu masą polieterową (Permadyne L, 3M ESPE w strzykawce i Impregum Penta na łyżce, 3M ESPE). W celu wykonania uzupełnienia tymczasowego posłużono się indeksem silikonowym sporządzonym przed preparacją, wykorzystując materiał Protemp II (3M ESPE). Uzupełnienie tymczasowe osadzono i dostosowano w relacji okluzyjnej w celu ochrony pozostałych tkanek oraz uniknięcia niepożądanych ruchów zęba. Po tygodniu uzupełnienie przekazano z laboratorium do gabinetu w celu jego osadzenia (ryc. 19 i 20). 
Ryc. 19. Gotowa praca wykonana w laboratorium.
Ryc. 20. Ocena makrostruktury pracy protetycznej.
Procedurę cementowania rozpoczęto od zdjęcia uzupełnienia tymczasowego i dokonania próby pracy protetycznej. Za pomocą nici dentystycznej oceniono dokładność przylegania, kolor oraz kontakt styczny z koroną zęba 36. Pracę pośrednią wykonaną z ceramiki skaleniowej umieszczono na transferze. Po wykonanej próbie w jamie ustnej pacjenta z zastosowaniem kwasu ortofosforowego oczyszczono powierzchnię wewnętrzną pracy pośredniej. Następnie przeprowadzono proces przygotowania pracy protetycznej do procedury adhezyjnej według protokołu adhezyjnego i umieszczono ją w ochronnym pudełeczku (ryc. 21).
Ryc. 21. Umieszczenie pracy w ochronnym pudełeczku.
Po uzyskaniu znieczulenia w polu zabiegowym założono koferdam. Dokładnie oczyszczono koronę zęba 37 z zastosowaniem pasty oraz wody i zdezynfekowano roztworem chlorheksydyny. Oczyszczoną powierzchnię zęba wypiaskowano tlenkiem glinu z cząsteczkami o średnicy 50 μm (ryc. 22). 
Ryc. 22. Piaskowanie.
Do cementowania adhezyjnego wykorzystano zestaw Variolink Esthetic LC (Ivoclar Vivadent). Pracę protetyczną osadzono adhezyjnie (ryc. 23‑25), a po usunięciu nadmiarów kompozytu utwardzano światłem. 
Ryc. 23. Trawienie.
Ryc. 24. Osadzanie adhezyjne wykonanej rekonstrukcji.
Ryc. 25. Zastosowanie żelu w końcowej polimeryzacji.
W pierwszej kolejności przez 5 sekund utwardzano strony podniebienną i wargową. Usunięto nadmiary kompozytu i delikatnie opracowano krawędzie rekonstrukcji za pomocą ostrza chirurgicznego nr 12. Polimeryzację końcową przeprowadzono pod płaszczem glicerynowym w celu ułatwienia przemiany wolnych rodników hamowanych przez tlen. Ostateczne opracowanie powierzchni stycznych przeprowadzono po zakończeniu polimeryzacji z zastosowaniem pilników ContacEZ oraz gumek do polerowania. Kontroli zwarcia dokonano zgodnie z obowiązującymi zasadami. Ostateczny efekt – zarówno funkcjonalny, jak i estetyczny – oceniono jako satysfakcjonujący (ryc. 26 i 27). 
Ryc. 26. Zdjęcie koferdamu i dokładne wypolerowanie wykonanej rekonstrukcji.
Ryc. 27. Widok strony policzkowej.
Wizyty kontrolne potwierdziły pełną integrację odbudowy kompozytowej i ceramicznej z pozostałymi zębami oraz otaczającymi tkankami miękkimi. Pacjent pozostaje pod stałą kontrolą stomatologiczną.
Odbudowa złamanej korony zęba leczonego endodontycznie z zastosowaniem cementowanej adhezyjnie ceramiki skaleniowej – odbudowa monolityczna bez wykonania wcześniejszej odbudowy zrębu
Pewnym utrudnieniem postępowania związanego z wykonaniem odbudowy zrębu jest konieczność przeprowadzenia dodatkowego etapu izolacji pola zabiegowego, procedury adhezyjnej i rekonstrukcyjnej. Alternatywą dla opisanej wyżej metody rekonstrukcyjnej jest odbudowa korony zęba z zastosowaniem cementowanej adhezyjnie ceramiki skaleniowej, z której mogą być wykonane większe odbudowy protetyczne.
W piśmiennictwie odbudowy tego typu są określane jako BPRs (Bonded Porcelain Restorations), czyli adhezyjnie cementowane uzupełnienia porcelanowe (56). Odbudowy te są opisywane jako monolityczne rekonstrukcje ceramiczne łączone adhezyjnie z tkankami zęba powyżej jego szyjki i do zębiny w komorze zęba bez wykorzystywania w konstrukcji światła kanału. Jest to koncepcja leczenia zbieżna z ideą biomimetyki. Jej sednem jest umiejętność naśladowania i odtwarzania biomechaniki naturalnych tkanek zęba uzupełnieniami protetycznymi. Nienaruszony ząb stanowi idealny wzorzec estetyczny i funkcjonalny. Naśladowanie natury w postępowaniu klinicznym z zastosowaniem uzupełnień wolnych od konstrukcji metalowo‑porcelanowych umożliwia przywrócenie zniszczonym zębom pełnej wydolności czynnościowej poprzez utworzenie trwałego połączenia adhezyjnego, z jednoczesnym uzyskaniem naturalnej estetyki. Ponadto piśmiennictwo uzasadnia rezygnację z zastosowania wkładów koronowo‑korzeniowych w zębach bocznych, kiedy wysokość ścian komory wynosi minimum 4 mm (57, 58). Pokrycie guzków w zębach leczonych endodontycznie jest kluczowe, zwiększa bowiem szansę na przetrwanie odbudowy kilkakrotnie dłużej niż w przypadku zębów leczonych kanałowo bez pokrycia guzków. Technika adhezyjna nieobejmującaguzków prowadzi do niepowodzenia, m.in. podłużnego złamania bez możliwości przewidywalnego leczenia odtwórczego; nie jest to metoda klinicznie pewna (59, 60).
Przypadek 2
Pacjent, lat 44, zgłosił się do gabinetu w związku z urazem zgryzowym zęba 24. Badanie kliniczne ujawniło obecność rozległego ubytku o zasięgu poddziąsłowym w mezjalnej i dystalnej części korony, sięgającego poza połączenie szkliwno‑zębinowe (cemento‑enamel junction – CEJ). Ponadto złamaniu uległa ściana policzkowa, przy zachowaniu pełnej ściany podniebiennej (ryc. 28). 
Ryc. 28. Sytuacja wyjściowa – korona zęba 24 złamana w wyniku urazu zgryzowego.
Odnotowano brak patologicznej ruchomości zęba; wynik wykonanego na głębokość badania sondą periodontologiczną wyniósł 1,6 mm. Badanie radiologiczne wykazało obecność materiału kontrastowego wypełniającego kanały na niepełnej długości oraz brak zmian okołowierzchołkowych. Odległość pomiędzy dolną krawędzią ubytków po stronie mezjalnej i dystalnej a kością wyrostka zębodołowego osiągnęła wartość pomiędzy 0,6 a 0,9 mm. W związku z obecnością głębokiego ubytku w obszarach proksymalnych przekraczającego CEJ, który naruszał szerokość biologiczną, założono, że po całkowitym opracowaniu ubytku margines odbudowy będzie zlokalizowany na poziomie wyrostka zębodołowego. Ze względu na prawdopodobną reinfekcję systemu endodontycznego, w związku z obecnością próchnicy wtórnej, konieczne było wykonanie powtórnego leczenia kanałowego. Po szczegółowym omówieniu z pacjentem możliwości leczenia zdecydowano się na przeprowadzenie leczenia związanego z relokacją brzegu ubytku materiałem kompozytowym i odbudowę korony w technice pośredniej z zastosowaniem ceramiki skaleniowej.
W znieczuleniu miejscowym i po izolacji pola zabiegowego koferdamem usunięto próchnicę wtórną z wykorzystaniem Caries Detector (Kuraray) w celu precyzyjnej identyfikacji próchnicowo zmienionej zębiny. Zabieg prowadzono przy intensywnym chłodzeniu, precyzyjnie odsłaniając krawędź ubytku. Dla uzyskania dobrej widoczności koferdam przecięto pomiędzy zębami 23/24/26. W celu utrzymania hemostazy oraz dobrej widoczności pole zabiegowe w okolicach proksymalnych uszczelniono nicią teflonową. Całkowite opracowanie ubytku potwierdziło wstępne założenie – proksymalne krawędzie ubytku po stronach mezjalnej i dystalnej były zlokalizowane bardzo blisko wyrostka zębodołowego. Założono formówkę Margin Elevation Band (Garrison) przeznaczoną do podnoszenia brzegu dodziąsłowego. Formówkę ustabilizowano indywidualnie dociętymi drewnianymi klinami. Opracowane tkanki zęba zostały wypiaskowane tlenkiem glinu o średnicy cząsteczek wynoszącej 27 μm. Następnie opracowany ubytek wytrawiono 37% kwasem ortofosforowym. Po wypłukaniu wytrawiacza wodą i delikatnym osuszeniu ubytku przystąpiono do aplikacji na przygotowaną powierzchnię zębów systemu łączącego. Zastosowano klasyczny system adhezyjny Syntac (Ivoclar Vivadent), zapewniający dobre połączenie pomiędzy materiałem złożonym a tkankami zęba. System adhezyjny utwardzono z zastosowaniem diodowej lampy polimeryzacyjnej (Mini L.E.D. Advantage Satelec, 800 mW/cm2). Naniesiono niewielką ilość płynnego kompozytu Enamel plus HRi Flow HF UD2 (Micerium) i delikatnie rozprowadzono za pomocą suchego aplikatora. Cienka warstwa płynnego kompozytu została umieszczona w obrębie marginesu opracowanego ubytku.
Podczas tej procedury wykorzystano płynny kompozyt, który zastosowano kilkukrotnie w celu zmniejszenia współczynnika C oraz ograniczenia skurczu polimeryzacyjnego. W związku z koniecznością leczenia endodontycznego ścianę dalszą wyniesiono dokoronowo w celu stworzenia prawidłowych warunków dla mechaniczno‑chemicznego opracowania kanałów. Końcową polimeryzację przeprowadzono z wykorzystaniem żelu glicerynowego w celu izolacji kompozytu przed dostępem tlenu oraz poprawy polimeryzacji wierzchniej warstwy kompozytu z zastosowaniem diodowej lampy polimeryzacyjnej. Formówkę zdjęto, a nadmiary w obszarze brzeżnym usunięto z zastosowaniem skalpela (nr 12) oraz drobnoziarnistego wiertła w kształcie płomyka. Odbudowane ściany dokładnie wypolerowano. Leczenie endodontyczne przeprowadzono podczas tej samej wizyty zgodnie z obowiązującymi zasadami (ryc. 29).
Ryc. 29. Izolacja pola zabiegowego i powtórne przeprowadzenie leczenia endodontycznego.
Instrumentacja – Mtwo VDW 35/.04. Protokół płukania zawierał podchloryn 5,25% i kwas cytrynowy 40%. Kanały zostały wypełnione metodą Continuous Wave of Condensation z uszczelniaczem AH Plus (Dentsply Maillefer). Wykonano zdjęcie rentgenowskie w celu kontroli przeprowadzonego leczenia oraz oceny profilu wyłaniania wykonanej relokacji brzegu ubytku. Podczas kolejnej wizyty wykonano preparację pod BPRs z ceramiki skaleniowej Ceramco (Dentsply) łączonej adhezyjnie z tkankami zęba. Zdecydowano o kolorze odbudowy A3 według kolornika Vita. Następnie za pomocą wiertła kulkowego wykonano rowek o głębokości około 1,5 mm na ścianie podniebiennej. Przeprowadzono redukcję tej ściany o około 1,5 mm, wykorzystując wiertło stożkowate o zaokrąglonym końcu. Następnie przy użyciu osadzonego na końcówce przyśpieszającej wiertła opracowano nachylenie płaszczyzn, uzyskując na powierzchni podniebiennej płytki schodek typu chamfer w celu odsłonięcia głów pryzmatów i uzyskania lepszej adhezji. Odbudowane ściany styczne w wyniku wcześniejszej relokacji materiałem kompozytowym zredukowano i połączono gładkim stopniem z powierzchnią policzkową, całkowicie znosząc wykonaną na niej wcześniej odbudowę. Ten typ preparacji doprowadził do uzyskania „gładkiej ścieżki” występującej na całym obwodzie preparacji. Ponadto dla zwiększenia pojemności retencyjnej odbudowy łączonej adhezyjnie z tkankami zęba wykorzystano komorę, zachowując zasadę rozbieżności ścian. Preparację dokładnie wygładzono i zaokrąglono za pomocą jednostronnego krążka Sof‑Lex (3M ESPE) i brązowej gumki (Kenda). Masą polieterową zrobiono wycisk dwuszczękowy danego fragmentu. Wykonano uzupełnienie tymczasowe, wykorzystując indeks silikonowy sporządzony przed preparacją, w którym umieszczono materiał tymczasowy i osadzono na opracowanym zębie (Protemp II, 3M ESPE). Uzupełnienie tymczasowe wypolerowano i dostosowano w relacji okluzyjnej. Po kilku dniach wykonane uzupełnienie zostało przekazane z laboratorium do gabinetu w celu jego osadzenia (ryc. 30). 
Ryc. 30. BPRs – ocena makrostruktury uzupełnienia.
Procedurę cementowania rozpoczęto od zdjęcia uzupełnienia tymczasowego i dokonania próby. Skrupulatnie oceniono dokładność przylegania pracy protetycznej, kolor oraz kontakty styczne z koronami zębów 23 i 26 za pomocą nici dentystycznej i kalki kontrolującej kontakty w punktach stycznych. Akceptacja wykonanej pracy zarówno pod względem estetycznym, jak i dokładności przylegania do opracowanej korony umożliwiła przejście do procedury jej adhezyjnego cementowania. Pracę pośrednią wykonaną z ceramiki skaleniowej umieszczono na transferze, dokładnie oczyszczono z zastosowaniem pasty oraz wody i zdezynfekowano roztworem 0,2% chlorheksydyny. W celu oczyszczenia wewnętrznej powierzchni ceramiki po przymiarce zastosowano 36% kwas ortofosforowy. Następnie przeprowadzono proces trawienia powierzchni wewnętrznej odbudowy 10% kwasem fluorowodorowym przez 90 sekund (ryc. 31).
Ryc. 31. Trawienie kwasem fluorowodorowym.
Po dokładnym wypłukaniu wytrawiacza pod bieżącą wodą osuszono powierzchnię wewnętrzną ceramiki. W celu ułatwienia osuszenia powierzchni wewnętrznej odbudowy zastosowano alkohol. Wytrącony osad skutecznie usunięto poprzez zastosowanie 36% kwasu ortofosforowego (ryc. 32 i 33). 
Ryc. 32. Zastosowanie 36% kwasu ortofosforowego w celu usunięcia wytrąconych osadów.
Ryc. 33. Rozwinięta powierzchnia ceramiki przygotowana do silanizacji.
Wytrawioną powierzchnię pokryto silanem (Monobond Plus, Ivoclar Vivadent), który aplikowano trzykrotnie, pozostawiając czas na jego swobodne odparowanie (ryc. 34). 
Ryc. 34. Silanizacja wytrawionej powierzchni odbudowy ceramicznej.
Przygotowaną powierzchnię pokryto bondem (Heliobond Syntac Clasic, Ivoclar Vivadent) i umieszczono w ochronnym pudełeczku (ryc. 35). 
Ryc. 35. Aplikacja systemu łączącego i umieszczenie przygotowanej pracy w ochronnym pudełeczku.
Po uzyskaniu anestezji w polu zabiegowym założono koferdam, a sąsiednie zęby zabezpieczono taśmą teflonową (ryc. 36). 
Ryc. 36. Izolacja pola zabiegowego poprzedzającego.
Oczyszczoną powierzchnię zęba wypiaskowano tlenkiem glinu z cząsteczkami o średnicy 50 μm i dokładnie opłukano. Przystąpiono do procedury adhezyjnego osadzania pracy. Po wypłukaniu i delikatnym osuszeniu zębów zastosowano technikę wytrawiania szkliwa 36% kwasem ortofosforowym przez 30 i 15 sekund, odpowiednio dla szkliwa i zębiny. Po wykonaniu tej procedury wypłukano kwas i delikatnie osuszono tkanki zęba. Na tak przygotowaną powierzchnię aplikowano roztwór 0,2% glukonianu chlorheksydyny. Na wykonaną na powierzchniach stycznych kompozytową relokację brzegu ubytku naniesiono silan i pozwolono na jego swobodne odparowanie (Monobond Plus, Ivoclar Vivadent). Na wytrawione tkanki zęba naniesiono płyn Syntac Primer oraz Syntac Adhesive. Tak przygotowane powierzchnie pokryto żywicą Heliobond (Ivoclar Vivadent). Do cementowania zastosowano cement światłoutwardzalny, aplikując go z nadmiarem (Variolink Esthetic LC Neutral, Ivoclar Vivadent). Następnie pracę wprowadzono na przygotowany zrąb korony (ryc. 37). 
Ryc. 37. Adhezyjne cementowanie pracy protetycznej.
Kompozyt wstępnie spolimeryzowano (5 sekund na każdą powierzchnię). Nadmiary usunięto, sprawdzono punkty styczne oraz zastosowano suchy aplikator w celu uzyskania idealnego połączenia pomiędzy tkankami zęba a ceramiką. Polimeryzację przeprowadzono przez 30 sekund na każdą powierzchnię w trybie stopniowym. Po weryfikacji oczyszczenia nadmiarów kompozytu polimeryzację końcową przeprowadzono pod płaszczem glicerynowym w celu ułatwienia przemiany wolnych rodników hamowanych przez tlen. Ostateczne opracowanie powierzchni stycznych przeprowadzono za pomocą ostrza chirurgicznego nr 12, metalowych paseczków z nasypem diamentowym (40 μm i 15 μm Intensiv ProxoStrip) oraz gumek do polerowania. Kontroli zwarcia dokonano po zdjęciu koferdamu, zgodnie z obowiązującymi zasadami. Ostateczne efekty – funkcjonalny i estetyczny – oceniono jako satysfakcjonujące (ryc. 38‑40). 
Ryc. 38. Usuwanie nadmiarów i polerowanie przed zdjęciem koferdamu.
Ryc. 39. Zacementowana praca – wyraźnie zaznaczona granica przejścia pomiędzy rekonstrukcją a pozostałymi tkankami zęba.
Ryc. 40. Doskonała integracja z pozostałymi tkankami od strony podniebiennej.
Wizyty kontrolne potwierdziły pełną integrację odbudowy ceramicznej z pozostałymi zębami i otaczającymi tkankami miękkimi. Ponadto wykonanie uzupełnienia pośredniego w prezentowanym przypadku klinicznym stanowiło metodę z wyboru, co potwierdzono podczas kolejnych wizyt kontrolnych.
Podsumowanie
Współczesna stomatologia umożliwia wybór wielu rozwiązań odtwórczych, wykorzystujących różne koncepcje i rodzaje materiałów. Dzięki stosowanym technikom adhezyjnym możliwe jest uzyskanie przewidywalnego rezultatu prowadzonego leczenia. W praktyce pozwoliło to na zmianę niektórych fundamentalnych zasad stomatologii klasycznej. Rekonstrukcje porcelanowe łączone adhezyjnie z tkankami zęba stanowią interesującą alternatywę dla odbudowy złamanych koron zębów leczonych endodontycznie. Klinicznie za ich stosowaniem przemawia maksymalne zachowanie szkliwa i zębiny. Ich uzupełnienie materiałem z ceramiki naśladującym biomechanikę nietkniętego zęba niewątpliwie stanowi ogromną zaletę. (...) Na podstawie przedstawionych i popartych danymi z piśmiennictwa rozważań w niniejszej publikacji sugeruje się stosowanie klasycznych koron protetycznych jedynie przy wymianie starych koron lub mostów. Z pewnością trwający rozwój technologii umożliwi przeprowadzenie dalszych badań nad analizowaną treścią.
Wykaz piśmiennictwa w Redakcji Magazynu Stomatologicznego.