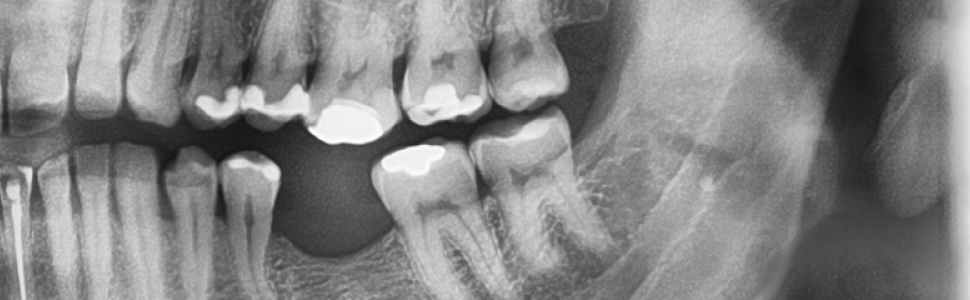
Uzupełnienie braku zęba 36, a konieczność leczenia kanałowego zęba 26 z powodu Efektu Godona – leczenie kanałowe jako jeden z etapów leczenia u pacjentów z zaburzeniami okluzji

Uzupełnienie braku zęba 36, a konieczność leczenia kanałowego zęba 26 z powodu Efektu Godona – leczenie kanałowe jako jeden z etapów leczenia u pacjentów z zaburzeniami okluzji

Dostęp do tego artykułu jest płatny.
Zapraszamy do zakupu!

Cena: 12.50 PLN (z VAT)

Po dokonaniu zakupu artykuł w postaci pliku PDF prześlemy bezpośrednio pod twój adres e-mail.

Kup artykuł
MS 2021; 1: 20-23.


Agata Dąbrowska-Adamek

Streszczenie
Narząd żucia jest złożoną i wyspecjalizowaną jednostką. Składa się przede wszystkim z kości, mięśni, więzadeł i zębów. Brak chociażby jednego zęba może negatywnie wpływać na cały układ stomatognatyczny, niezależnie od tego, czy dotyczy to braku zębów siecznych, kłów, zębów przedtrzonowych czy trzonowych. Dla stomatologów najważniejsze jest zachowanie zdrowej, żywej miazgi, natomiast często przywrócenie prawidłowej okluzji wymaga od nas leczenia kanałowego mimo braku patologicznych sygnałów ze strony miazgi. Celem niniejszej publikacji jest przestawienie jak ważnym etapem jest leczenie kanałowe u pacjentów z zaburzeniami okluzji. Obecność sześciu kanałów w pierwszych górnych zębach trzonowych jest niezwykle rzadkie.

Abstract
The chewing organ is a complex and specialized unit. It mainly consists of bones, muscles, ligaments and teeth. The absence of even one tooth can negatively affect the entire stomatognathic system, regardless of whether it concerns the absence of incisors, canines, premolars or molars. For dentists, the most important thing is to maintain a healthy, living pulp, while restoring the correct occlusion often requires us to perform root canal treatment despite the lack of pathological signals from the pulp.The aim of this publication is to present the importance of root canal treatment in patients with occlusion disorders. The presence of six canals in the first upper molars is extremely rare.

Hasła indeksowe: Efekt Godona, okluzja, układ stomatognatyczny, MB1, MB2, MB3, DB1, DB2, leczenie kanałowe

Key words: Godon’s Effect, occlusion, stomatognathic system, MB1, MB2, MB3, DB1, DB2, root canal treatment