Szynoterapia i przebudowa zwarcia w rehabilitacji implantoprotetycznej pacjenta z dysfunkcją układu ruchowego narządu żucia

Szynoterapia i przebudowa zwarcia w rehabilitacji implantoprotetycznej pacjenta z dysfunkcją układu ruchowego narządu żucia

Dostęp do tego artykułu jest płatny.
Zapraszamy do zakupu!

Cena: 12.50 PLN (z VAT)

Po dokonaniu zakupu artykuł w postaci pliku PDF prześlemy bezpośrednio pod twój adres e-mail.

Kup artykuł
MS 2020; 12: 30-46.

Tomasz Grotowski, Barbara Czerwińska‑Niezabitowska

Streszczenie
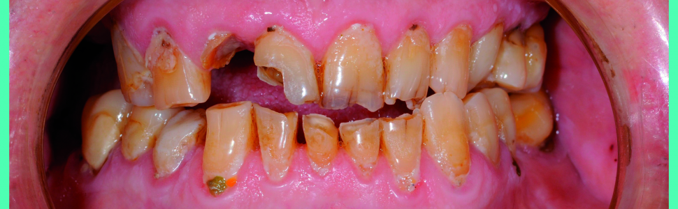
Obserwacje własne, jak i bogate piśmiennictwo, świadczą o wzroście liczby pacjentów (nawet w młodym wieku) z zaburzeniami czynnościowymi układu ruchowego narządu żucia (URNŻ). Na przykładzie pacjenta z dysfunkcją URNŻ przedstawiono w artykule szczegółowo diagnostykę, a następnie kompleksową i wieloetapową rehabilitację narządu żucia. Celem leczenia w pierwszej kolejności jest zawsze zmniejszenie i eliminacja bólu, następnie zaś – odtworzenie fizjologicznej, prawidłowej czynności URNŻ. W opisanym przypadku wielomiesięczny przebieg leczenia był oparty głównie na szynoterapii wraz ze ścisłą współpracą z terapeutą manualnym i wykonywaniem ćwiczeń czynnościowych w zakresie autoterapii.

Abstract
Own observations, as well as extensive literature, show an increase in the number of patients (even at a young age) with functional disorders of the masticatory organ motor system. On the example of a patient with masticatory organ motor system dysfunction, the article presents a detailed diagnosis, followed by comprehensive and multistage rehabilitation of the masticatory organ motor system. The aim of treatment is always to reduce and eliminate pain first, and then to restore the physiological, normal functioning of the masticatory organ motor system. In the described case, many months of treatment was based mainly on splint therapy together with close cooperation with a manual therapist and performing functional exercises in autotherapy.

Hasła indeksowe: leczenie wieloetapowe, szynoterapia, terapia manualna, starcie zębów, dysfunkcje URNŻ, leczenie implantologiczne
Key words: multistage treatment, splint therapy, manual therapy, dental abrasion, temporomandibular disorders, implant treatment

Piśmiennictwo
1. Grotowski T, Pragacz‑Malejewska D. Badania nad możliwością zastosowania płytki sferycznej Monsona w przypadkach z zaburzoną płaszczyzną zgryzu. Prot Stom. 1986; 2.
2. Topolewska H, Kondrat W, Stocka A i wsp. Starcie zębów – współczesny problem stomatologiczny. Mag Stomatol. 2019; 2.
3. Loomans B, Opdam N, Attin T i wsp. Severe Tooth Wear: European Consensus Statement on Management Guidelines. J Adhes Dent. 2017; 19: 111‑119.
4. Jańczuk Z. Stomatologia zachowawcza. Warszawa: PZWL; 2008.
5. Barlett DW, Shah P. A critical reviev of noncarious cervical (wear) lesions and the role of abfraction, erosion and abrasion. J Dent Res. 2006; 85(4): 306‑312.
6. Funato M, Ono Y, Baba K i wsp. Evaluation of the non‑functional tooth contact in patients with temporomandibular disorders by using newly developed electronic system. J Oral Rehabil. 2014; 41(3): 170‑176.
7. Lee WC, Eakle WS. Stress‑inducted cervical lesions: Reviev of advances in past 10 years. J Prosthet Dent. 1996; 75(5): 487‑494.
8. Czerwinska‑Niezabitowska B, Kulesa‑Mrowiecka M. Diagnostyka i leczenie dysfunkcji czaszkowo‑żuchwowych w ujęciu holistycznym. Kraków: Medycyna Praktyczna; 2016.
9. Górniak D, Jamroszczyk Z, Ziemba Z. Nowoczesne metody diagnostyczne wspomagające leczenie ortodontyczne wizualizacją węzłów urazowych w płaszczyźnie zwarcia. Toruńska Konferencja Stomatologiczna „Expodent 2002”; 8‑9: 11.
10. Górniak D, Hejne A. Dysfunkcja SSŻ jako następstwo istniejącej wady zgryzu. II Zjazd Polskiego Towarzystwa Dysfunkcji Narządu Żucia (2002), Kazimierz Dolny n. Wisłą, 23‑26, 05.
11. Słobodzian‑Rakowska J. Wpływ postawy ciała na funkcjonowanie układu stomatognatycznego – diagnostyka i terapia w praktyce lekarza dentysty. Mag Stomatol. 2019; 10.
12. Gremilion HA. The prevalence and etiology of Temporomandibular disorders and orofacial pain. Texas dental J. 2000; 9.
13. Pietruski JK i wsp. Wielospecjalistyczna rehabilitacja patologicznego starcia zębów. Mag. Stomatol. 2018; 10.
14. Baron S. Nowoczesne metody szynoterapii w leczeniu dysfunkcji URNŻ. e‑Dentico. 2009; 4(24).
15. Okeson JP. Leczenie dysfunkcji skroniowo‑żuchwowych i zaburzeń zwarcia. Lublin: Czelej; 2018.
16. Więckiewicz M, Służalec‑Więckiewicz K. Wybrane klasyfikacje szyn zwarciowych w ujęciu klinicznym. Mag Stomatol. 2015; 4.
17. Frączak B, Frączak P. Wady postawy a staw skroniowo‑żuchwowy. Mag Stomatol. 2020; 4.
18. Kleinrok M. Zaburzenia czynnościowe układu ruchowego narządu żucia. Lublin: Czelej; 2012.
19. Milam SB. Pathogenesis of degenerative temporomandibular joint arthrities. Odontology. 2005; 93: 7‑15.
20. Nitzan DW, Nitzan U, Dan P i wsp. The role of hyaluronic acid in protecting Surface‑active phospholipids from lysis by exogenous phospholipase A (2). Reumatology. 2001; 40(3), 336‑340.
21. Lurie Z, Offer T, Russo A i wsp. Do stable nitroxide radicals catalyze or inhibit the degradation of hyaluronic acid? Free Radic Biol Med. 2003; 35(2): 169‑178.
22. Sano T, Otonari‑Yamamoto M, Otonari T i wsp. Osseous abnormalities related to the temporomandibular joint., Semin Ultrasound CT MR. 2007; 28(3): 213‑221.
23. Misch CE. Referat, X Wold Congress I.C.O.I., Sorrento (Italy) 1990; 25‑28 sept.
24. Kostrzewa‑Janicka J, Cybulska A. Ewolucja teorii okluzji w rehabilitacji protetycznej. Mag Stomatol. 2019; 7‑8.