Hipomineralizacja trzonowcowo‑siekaczowa. Opis przypadku

Hipomineralizacja trzonowcowo‑siekaczowa. Opis przypadku

Dostęp do tego artykułu jest płatny.
Zapraszamy do zakupu!

Cena: 12.50 PLN (z VAT)

Po dokonaniu zakupu artykuł w postaci pliku PDF prześlemy bezpośrednio pod twój adres e-mail.

Kup artykuł
MS 2020; 11: 50-52.
Katarzyna Wojewoda, Kacper Nijakowski

Streszczenie
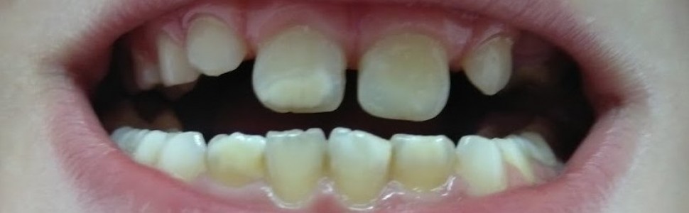
Hipomineralizacja trzonowcowo‑siekaczowa (MIH) to jakościowe zaburzenie rozwoju szkliwa dotykające wśród zębów stałych pierwsze zęby trzonowe i sieczne. Przypadek kliniczny przedstawia objawy MIH u 9‑letniego chłopca, szczególnie zaznaczone na zębach trzonowych. W obrazie klinicznym obserwuje się najczęściej białe, żółte lub brązowe obszary zmętnienia w obrębie szkliwa z następową jego łamliwością.

Abstract
Molar incisor hypomineralisation (MIH) is a qualitative development defect of enamel occurring in permanent first molars and incisors. A case report of a 9‑year boy presents MIH, mainly affecting molars. The clinical picture usually includes white, yellow or brown opacities within the enamel with subsequent brittleness.

Hasła indeksowe: hipomineralizacja trzonowcowo‑siekaczowa, uszkodzenie szkliwa, pierwsze zęby trzonowe stałe, zęby sieczne
Key words: molar incisor hypomineralisation, enamel defect, first permanent molars, incisors

Piśmiennictwo
1. Weerheijm KL. Molar incisor hypomineralisation (MIH). Eur J Paediatr Dent. 2003; 4(3): 114‑120.
2. Weerheijm KL. Molar incisor hypomineralization (MIH). Clinical presentation, aetiology and management. Dent Update. 2004; 31(1): 9‑12.
3. Glodkowska N, Emerich K. Molar incisor hypomineralization. Prevalence and severity among children from Nothern Poland. Eur J Paediatr Dent. 2019; 20(1): 59‑66.
4. Davenport M, Welles AD, Angelopoulou MV i wsp. Prevalence of molar‑incisor hypomineralization in Milwaukee, Wisconsin, USA. A pilot study. Clin Cosmet Investig Dent. 2019; 11: 109‑117.
5. Rai A, Singh A, Menon I i wsp. Molar incisor hypomineralization. Prevalence and risk factors among 7‑9 years old school children in Muradnagar, Ghaziabad. Open Dent J. 2018; 12: 714‑722.
6. Kotsanos N, Kaklamanos EG, Arapostathis K. Treatment management of first permanent molars in children with molar‑incisor hypomineralisation. Eur J Paediatr Dent. 2005; 6(4): 179‑184.
7. Koruyucu M, Özel S, Tuna EB. Prevalence and etiology of molar‑incisor hypomineralization (MIH) in the city of Istanbul. J Dent Sci. 2018; 13(4): 318‑328.
8. Fagrell TG, Lingström P, Olsson O i wsp. Bacterial invasion of dentinal tubules beneath apparently intact but hypomineralized enamel in molar teeth with molar incisor hypomineralization. Int J of Paediatr Dent. 2008; 18(5): 333‑340.
9. Dixit UB, Joshi AV. Efficacy of intraosseous local anesthesia for restorative procedures in molar incisor hypomineralization‑affected teeth in children. Contemp Clin Dent. 2018; 9(2): S272‑S277.
10. Saitoh M, Nakamura Y, Hanasaki M i wsp. Prevalence of molar incisor hypomineralization and regional differences throughout Japan. Environ Health Prev Med. 2018; 23(1): 55.
11. Jeremias F, de Souza JF, da Costa Silva CM, i wsp. Dental caries experience and molar‑incisor hypomineralization. Acta Odontol Scand. 2013; 71(3‑4): 870‑876.
12. Silva MJ, Scurrah KJ, Craig JM i wsp. Etiology of molar incisor hypomineralization. A systematic review. Community Dent Oral Epidemiol. 2016; 44(4): 342‑353.
13. Laisi S, Ess A, Sahlberg C i wsp. Amoxicillin may cause molar incisor hypomineralization. J Dent Res. 2009; 88(2): 132‑136.
14. Fayle SA. Molar incisor hypomineralisation. Restorative management. Eur J Paediatr Dent. 2003; 4(3): 121‑126.