REPORTAŻ KLINICZNY: Naprawa uszkodzonej licówki ceramicznej z zastosowaniem odłamanego fragmentu i materiału kompozytowego

REPORTAŻ KLINICZNY: Naprawa uszkodzonej licówki ceramicznej z zastosowaniem odłamanego fragmentu i materiału kompozytowego

Dostęp do tego artykułu jest płatny.
Zapraszamy do zakupu!

Cena: 12.50 PLN (z VAT)

Po dokonaniu zakupu artykuł w postaci pliku PDF prześlemy bezpośrednio pod twój adres e-mail.

Kup artykuł
MS 2020; 11: 32-48.
Adam Romaniuk‑Demonchaux

Streszczenie
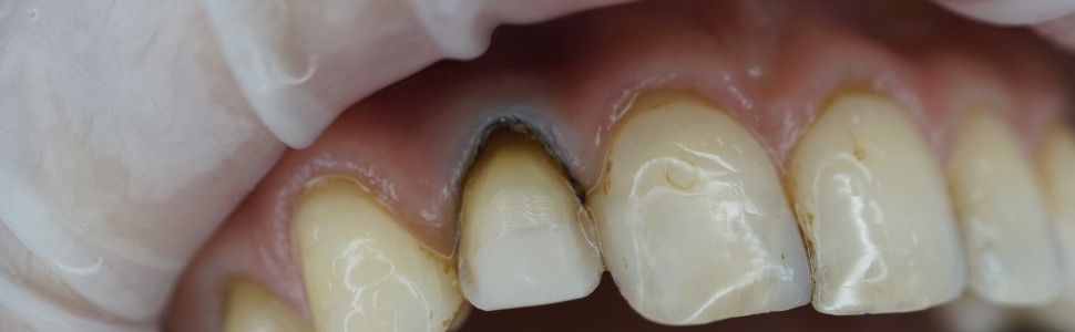
Niniejsza publikacja jest poświęcona wnikliwej analizie przypadku klinicznego zaopatrzenia złamanego zęba siecznego bocznego w szczęce po stronie prawej. Pomimo zastosowania skrupulatnego protokołu klinicznego doszło do złamania części licówki ceramicznej osadzonej adhezyjnie na odbudowanym zgodnie z zasadami minimalnie inwazyjnej stomatologii rekonstrukcyjnej zębie filarowym. Złamanie zaopatrzono, zespalając adhezyjnie odłamany fragment licówki ceramicznej.

Abstract
This publication is devoted to an in‑depth analysis of the clinical case of a fractured lateral incisor in the right maxilla. Despite the application of a meticulous clinical protocol, a fracture of a part of the ceramic veneer adhesively mounted on the abutment tooth reconstructed in accordance with the principles of minimally invasive reconstructive dentistry. The fracture was replaced by adhesive bonding of the broken fragment of the ceramic veneer.

Hasła indeksowe: uraz, biomimetyka, rekonstrukcja kompozytowa, licówka ceramiczna
Key words: trauma, biomimetic, reconstruction‑based resin composite, ceramic veneer

Piśmiennictwo
1. Beier US, Kapferer I, Burtscher D i wsp. Clinical performance of porcelain laminate veneers for up to 20 years. Int J Prosthodont. 2012; 25(1): 79‑85.
2. Dumfahrt H, Schäffer H. Porcelain laminate veneers. A retrospective evaluation after 1 to 10 years of service. Part II – Clinical results. Int J Prosthodont. 2000; 13(1): 9‑18.
3. Layton DM, Walton TR. The up to 21‑year clinical outcome and survival of feldspathic porcelain veneers. Accounting for clustering. Int J Prosthodont. 2012; 25(6): 604‑612.
4. Peumans M, Van Meerbeek B, Lambrechts P i wsp. Porcelain veneers. A review of the literature. J Dent. 2000; 28(3): 163‑177.
5. Peumans M, De Munck J, Fieuws S i wsp. A prospective ten‑year clinical trial of porcelain veneers. J Adhes Dent. 2004; 6(1): 65‑76.
6. Burke FJ. Survival rates for porcelain laminate veneers with special references to the effect of preparation in dentin. A literature review. J Esthet Restor Dent. 2012; 24(4): 257‑265.
7. Gresnigt MM, Cune MS, de Roos JG i wsp. Effect of immediate and delayed dentin sealing on the fracture strength, failure type and Weibull characteristics of lithium disilicate laminate veneers. Dent Mater. 2016; 32(4): e73‑e81.
8. Magne P. Immediate dentin sealing. A fundamental procedure for indirect bonded restorations. J Esthet Restor Dent. 2005; 17(3): 144‑154.
9. Gresnigt MM, Kalk W, Özcan M. Clinical longevity of ceramic laminate veneers bonded to teeth with and without existing composite restorations up to 40 months. Clin Oral Investig. 2013; 17(3): 823‑832.
10. LeSage B. Establishing a classification system and criteria for veneer preparations. Compend Contin Educ Dent. 2013; 34(2): 104‑112.
11. Magne P, Hanna J, Magne M. The case for moderate „guided prep” indirect porcelain veneers in the anterior dentition. The pendulum of porcelain veneer preparations. From almost no‑prep to over‑prep to no‑prep. Eur J Esthet Dent. 2013; 8(3): 376‑388.
12. Gurel G, Sesma N, Calamita MA i wsp. Influence of enamel preservation on failure rates of porcelain laminate veneers. Int J Periodontics Restorative Dent. 2013; 33(1): 31‑39.
13. Sadowsky SJ. An overview of treatment considerations for esthetic restorations. A review of literature. J Prosthet Dent. 2006; 96(6): 433‑442.
14. Edelhoff D, Sorensen JA. Tooth structure removal associated with various preparation designs for anterior teeth. J Prosthet Dent. 2002; 87(5): 503‑509.
15. Romaniuk‑Demonchaux A. Planowanie leczenia estetycznego z zastosowaniem wax‑up oraz mock‑up. Mag Stomatol. 2019; 11: 62‑76.
16. Romaniuk‑Demonchaux A. Procedury kliniczne w leczeniu endodontycznym zębów – ogniwa scalające proces terapeutyczny. Endodoncja w Praktyce. 2017; 1: 6‑21. 
17. Romaniuk‑Demonchaux A. Zastosowanie ultradźwięków w powtórnym leczeniu endodontycznym. Analiza problemu w świetle literatury i doświadczeń własnych. Forum Stomatologii Praktycznej. 2017; 9/10: 70‑81.
18. Romaniuk‑Demonchaux A. Tymczasowe zamknięcie otworu trepanacyjnego. Istotna procedura leczenia endodontycznego. Forum Stomatologii Praktycznej. 2019; 9/10: 31‑45.
19. Aschheim KW, Dale BG. Esthetic dentistry. A clinical approach to techniques and materials. Wyd. 2. London: Mosby; 2001.
20. Christensen GJ. The tooth‑whitening revolution. J Am Dent Assoc. 2002; 133(9): 1277‑1279.
21. Spasser HF. The walking bleach. 35 years later. Dent Today. 1996; 15(11): 114, 116‑117.
22. Lipski M, Woźniak K, Buczkowska‑Radwańska J. Współczesne metody wybielania przebarwionych zębów bezmiazgowych. Mag Stomatol. 2003; 13(6): 28‑36.
23. Lipski M. Porównanie skuteczności preparatów Opalescence i Opalescence Quick w wybielaniu przebarwionych zębów bezmiazgowych. Mag Stomatol. 2000; 11: 42‑45.
24. Lado EA, Stanley HR, Weisman MI. Cervical resorption in bleached teeth. Oral Surg Oral Med Oral Pathol. 1983; 55(1): 78‑80.
25. Montgomery S. External cervical resorption after bleaching a pulpless tooth. Oral Surg Oral Med Oral Pathol. 1984; 57(2): 203‑206.
26. De Munck J, Van Landuyt K, Peumans M i wsp. A critical review of the durability of adhesion to tooth tissue. Methods and results. J Dent Res. 2005; 84(2): 118‑132.
27. Ferrari M, Patroni S, Balleri P. Measurement of enamel thickness in relation to reduction for etched laminate veneers. Int J Periodontics Restorative Dent. 1992; 12(5): 407‑413.
28. Romaniuk‑Demonchaux A. Licówki ceramiczne – zasady definiowania krawędzi preparacji. Forum Stomatologii Praktycznej. 2019; 5/6: 18‑29.
29. Magne P, Versluis A, Douglas WH. Effect of luting composite shrinkage and thermal loads on the stress distribution in porcelain laminate veneers. J Prosthet Dent. 1999; 81(3): 335‑344.
30. Romaniuk‑Demonchaux A. Adhezja w stomatologii. Mag Stomatol. 2020; 2: 12‑27.
31. Matinlinna JP, Vallittu PK. Bonding of resin composites to etchable ceramic surfaces – an insight review of the chemical aspects on surface conditioning. J Oral Rehabil. 2007; 34(8): 622‑630.
32. Ozcan M, Barbosa SH, Melo RM i wsp. Effect of surface conditioning methods on the microtensile bond strength of resin composite to composite after aging conditions. Dent Mater. 2007; 23(10): 1276‑1282.