lek. stom. Danuta Bukowska
Praktyka Prywatna Łódź
Ból zęba może mieć kilka przyczyn, które należy wziąć pod uwagę podczas badania pacjenta i podejmowania decyzji dotyczącej leczenia. Ból ten nie zawsze pochodzi z miazgi zęba i zanim podejmiemy się leczenia, a w szczególności konwencjonalnego leczenia endodontycznego polegającego na usunięciu miazgi, ważne jest prawidłowe różnicowanie.
Często do gabinetu stomatologicznego zgłaszają się pacjenci cierpiący na nadwrażliwość zębów. Pojawia się ona bez związku z wykonywanymi przez lekarza dentystę zabiegami, a czasami po wykonaniu na przykład wypełnienia zęba czy też leczeniu protetycznym – niekoniecznie rozległym, może to być pojedyncza korona protetyczna. W celu wykrycia przyczyny dolegliwości przeprowadza się wywiad i przystępuje do badania przedmiotowego pacjenta. Po zbadaniu uzębienia i wykluczeniu procesu próchniczego, mogącego powodować nadwrażliwość, wykonaniu zdjęcia rentgenowskiego w celu sprawdzenia czy nie ma ubytku, który jest niewidoczny podczas badania, w szczególności ubytku poddziąsłowego, oraz wykluczeniu przyczyny związanej z chorobą przyzębia, lekarz zaleca najczęściej stosowanie środków znoszących nadwrażliwość i w przypadkach, gdy ząb nie jest przeciążony zgryzowo to pomaga, ale jeśli jest poddany przeciążeniu, wtedy dolegliwości zmniejszają się na krótki okres czasu i po pewnym czasie ból wraca z większym nasileniem – pacjent trafia do gabinetu z objawami zapalenia miazgi. Ponieważ jest on cierpiący, lekarz – jeśli potrafi zlokalizować źródło bólu, co jak wiadomo czasami nie jest łatwe – podejmuje decyzję o konieczności leczenia endodontycznego bolącego zęba. Dziś wiemy, że przyczyną nadwrażliwości i bólu zęba, mogą być, oprócz próchnicy i zapaleń przyzębia, również przeciążenia okluzyjne. Zakładając pojedyncze wypełnienie lub koronę protetyczną, można niekorzystnie zmienić kontakty zgryzowe, co po pewnym czasie może doprowadzić do nadwrażliwości zęba i bólu. Ale dolegliwości mogą wystąpić również u pacjenta, który nie był wcześniej leczony. Mechanizm powodujący zapalenie miazgi z powodu przeciążenia okluzyjnego nie jest do końca jasny. Niektórzy badacze (1) uważają, że przyczyną jest zwiększenie ciśnienia krwi oraz jej zastój w miazdze zęba, powodujące najpierw zapalenie miazgi, a następnie, po pewnym czasie, jej martwicę. Są badacze, którzy nie zgadzają się z tą teorią (2). Inni (3) sugerują, że na skutek zbyt dużych sił okluzyjnych dochodzi do zaburzeń przepływu płynu wewnątrz kanalików zębinowych oraz miazgi. Jako lekarz praktyk z wieloletnim doświadczeniem klinicznym skłaniam się ku teorii o istnieniu związku przyczynowego pomiędzy okluzyjnym przeciążeniem zęba, a pojawieniem się dolegliwości, które nie poddane leczeniu mogą wywołać zapalenie miazgi zęba.
Opis przypadku
Do gabinetu trafiła pacjentka skierowana w celu konsultacji. Przez jakiś czas była leczona z powodu nadwrażliwości zęba 37. Po kilku tygodniach trafiła do lekarza z powodu zapalenia miazgi tego zęba. W wywiadzie pacjentka podała, że ząb nie był wcześniej leczony zachowawczo. Na wykonanym podczas wizyty zdjęciu rentgenowskim nie było żadnych zmian w tkankach okołowierzchołkowych. Lekarz, chcąc pomóc pacjentce, podjął decyzję o leczeniu endodontycznym zęba. Leczenie według opisu pacjentki wykonane zostało w znieczuleniu przewodowym, miazgę usunięto, komora i kanały zostały opracowane mechanicznie i chemicznie oraz wypełnione zgodnie z zasadami.
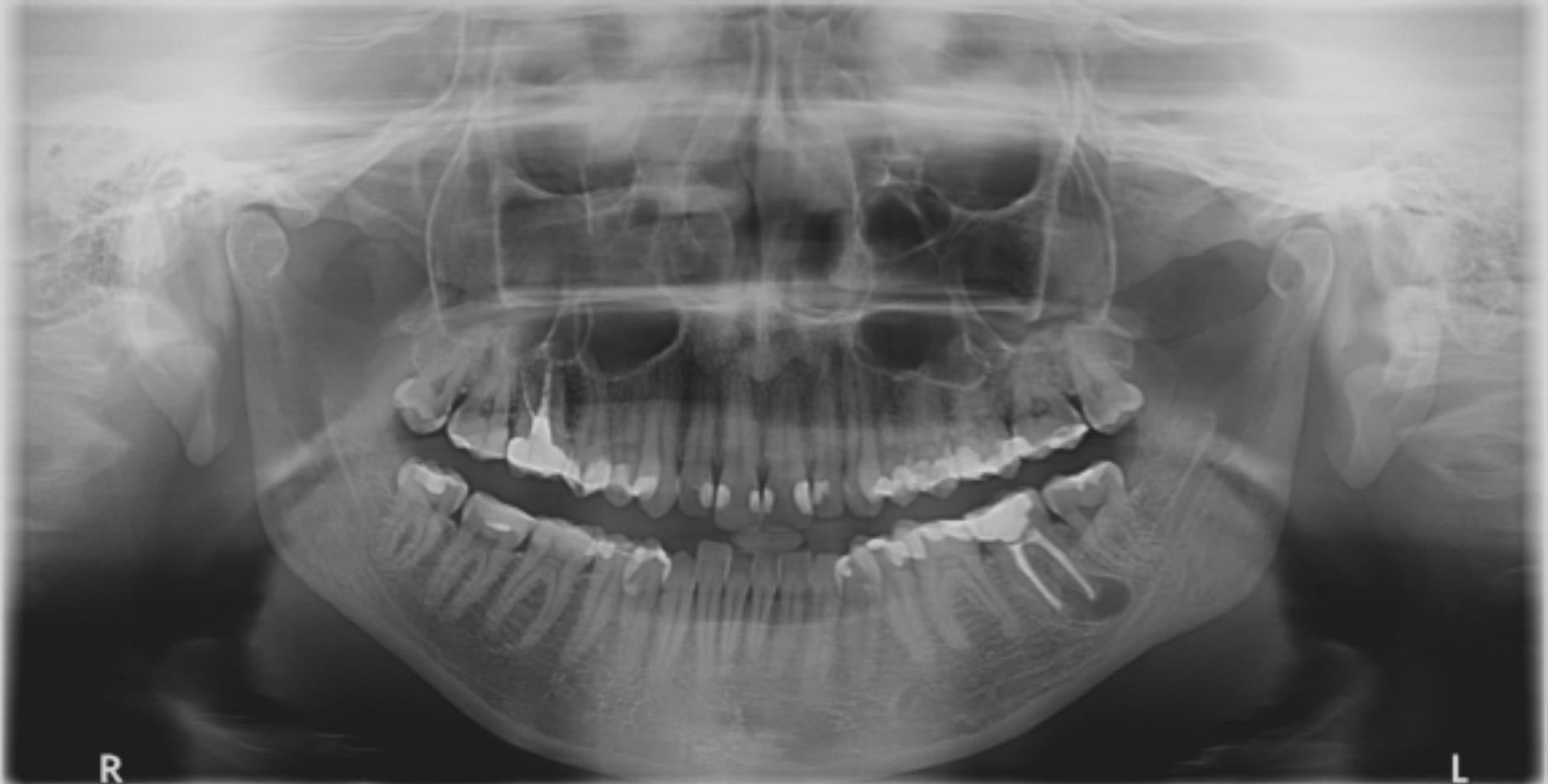
Po pewnym czasie ból powrócił – ząb zrobił się bolesny przy dotyku i nagryzaniu. Pacjentka wróciła do gabinetu, gdzie ponownie wykonano zdjęcie rentgenowskie, na którym przy wierzchołku korzenia dalszego była widoczna niewielka zmiana zapalna. Po przeprowadzeniu ponownego leczenia endodontycznego pacjentka nie odczuwała bólu przez kilka miesięcy, ale po pewnym czasie dolegliwości znowu powróciły. Ponieważ po wykonaniu zdjęcia pantomograficznego (ryc. 1) lekarz prowadzący doszedł do wniosku, że nie zna przyczyny problemu, pacjentka przyszła na konsultację do innego gabinetu. Po przeprowadzeniu wywiadu i badaniu wstępnym pobrano wyciski szczęki i żuchwy masą poliwinylosiloksanową w technice dwuwarstwowej w celu odlania modeli.
Ryc. 1. Widoczna zmiana zapalna na zdjęciu rentgenowskim przy wierzchołku korzeniu dalszym zęba 37.
Wykonano zdjęcia uzębienia pacjentki (ryc. 2‑4). Przeprowadzono dokładne badanie mięśni żucia, zbadano ruchy żuchwy w trzech płaszczyznach – ruch otwierania jamy ustnej, ruch doprzedni oraz ruchy doboczne. Podczas otwierania zaobserwowano zbaczanie żuchwy w połowie ruchu, a następnie powrót do linii prostej. Bolesność mięśni żucia, stłoczenie zębów oraz nieprawidłowy tor ruchu żuchwy podczas otwierania nasuwał podejrzenie występowania problemów okluzyjnych.
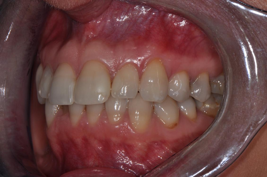
Ryc. 2. Zdjęcie w pozycji maksymalnego zaguzkowania – strona lewa. Proszę porównać z ustawieniem zębów w artykulatorze (ryc. 8). Zmieniła się znacznie szpara przednio‑tylna i wychylenie zębów siecznych górnych.
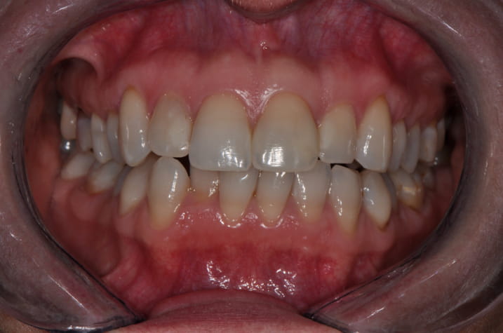
Ryc. 3. Zdjęcie w pozycji maksymalnego zaguzkowania.
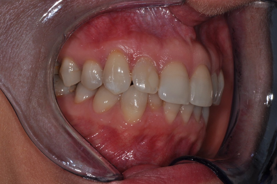
Ryc. 4. Zdjęcie w pozycji maksymalnego zaguzkowania – strona prawa.
W celu relaksacji mocno napiętych mięśni żucia pacjentka otrzymała do domu szynę deprogramacyjną QuickSplint (ryc. 5, 6) do stosowania w nocy oraz w miarę możliwości w dzień – w czasie pobytu w domu.
Ryc. 5. Szyna QuickSplint.
Ryc. 6. Szyna QuickSplint.
Po tygodniu pacjentka zgłosiła się na kolejną wizytę. Założono deprogramator Denar i pozostawiono pacjentkę na pół godziny z deprogramatorem w ustach. Po tym czasie w celu oceny stopnia deprogramacji mięśni żucia poproszono pacjentkę o powolne otwieranie i zamykanie jamy ustnej. Tor ruchu był prostolinijny, co pozwalało przypuszczać, że doszło do rozluźnienia napiętych podczas poprzedniej wizyty mięśni żucia i umożliwiło wykonanie trójstopniowego testu obciążenia stawów skroniowo‑żuchwowych przy pomocy rękoczynu Dawsona (4) (ryc. 7). Podczas rękoczynu Dawsona zadawano pacjentce pytania, czy nie czuje bólu w stawach skroniowo‑żuchwowych lub napięcia w mięśniach żucia. Test przebiegł bezbólowo i bez odczucia napięcia. Później pobrano trzy rejestraty zwarcia w relacji centralnej, używając do tego celu wosku Denar (ryc. 8). Następnie usunięto z jamy ustnej deprogramator przedni i stosując ponownie rękoczyn Dawsona, doprowadzono do pierwszego kontaktu zębowego, który, jak się okazało, był na guzku dalszym zęba 37. Pobrano rejestrację łukiem twarzowym, a otrzymane od technika modele oprawiono w artykulatorze (ryc. 9, 10). Do analizy zwarcia i planowania leczenia użyto łuku twarzowego Denar i artykulatora Denar Mark 320. Po opracowaniu w artykulatorze pierwszy punkt kontaktu międzyzębowego w relacji centralnej występował dokładnie w tym samym miejscu, co w jamie ustnej pacjentki – na guzku dalszym zęba 37. Po wykonaniu ekwilibracji ból ustąpił. Ten przypadek, jak i wiele innych, z którymi miałam do czynienia w czasie mojej pracy,
pozwalają mi na wyciągnięcie wniosku, że przeciążenie zgryzowe może być przyczyną nadwrażliwości zęba, zapalenia miazgi oraz martwicy miazgi zęba.
Ryc. 7. Zdjęcie podczas wykonywania rękoczynu Dawsona.
Ryc. 8. Rejestrat zwarciowy z wosku Denar.
Ryc. 9. Modele oprawione w artykulatorze w relacji centralnej – kontakt występuje na guzku dalszym zęba 37 i zębie 27. Proszę porównać ze zdjęciem wykonanym w ustach pacjentki (ryc. 2) – w artykulatorze widoczna jest większa protruzja zębów siecznych górnych oraz większa szpara przednio‑tylna (czerwoną kropką zaznaczyłam kontakt międzyzębowy).
Ryc. 10. W artykulatorze w CR brak kontaktów międzyzębowych po stronie prawej.
Kolejną przyczyną dolegliwości bólowych zęba może być pęknięcie zęba niewidoczne zarówno podczas oglądania, jak i na zdjęciu rentgenowskim. Na początku pojawia się nadwrażliwość i lekki ból podczas nagryzania. W celach diagnostycznych należy polecić pacjentowi lekkie nagryzanie małej, drewnianej szpatułki (4) każdym guzkiem bolącego zęba z osobna – jeśli jest pęknięcie, w obrębie korzenia zęba pojawi się silny ból.
Opis przypadku
U drugiej pacjentki wykonano most protetyczny 44‑46. Ząb 46 był leczony endodontycznie. Z powodu znacznego zniszczenia korony zęba wykonano wkład koronowo‑korzeniowy lany. Ząb ten został filarem mostu 44‑46. Po kilku latach użytkowania mostu pacjentka miała wypadek samochodowy, podczas którego prawdopodobnie z olbrzymią siłą, znacznie przekraczającą fizjologiczną, zagryzła zęby. Po kilku miesiącach w okolicy zęba 46 pojawił się obrzęk i ból podczas nagryzania. Na zdjęciu wykonanym w systemie radiografii cyfrowej w gabinecie nie stwierdzono zmian okołowierzchołkowych ani pęknięcia korzeni zęba. Wobec utrzymujących się dolegliwości podjęto decyzję o zdjęciu mostu 44‑46 i usunięciu zęba przyczynowego. Korzenie zęba 46 wyglądały jak szyba samochodu po stłuczce. Nie było pojedynczego konkretnego złamania, ale cały korzeń był popękany. Po ekstrakcji dolegliwości ustąpiły. Nie zawsze ból zęba oznacza, że miejscem pochodzenia bólu jest ząb. Możemy mieć do czynienia z tak zwanym bólem niezębopochodnym.
Opis przypadku
Trzeci pacjent zgłosił się do gabinetu z powodu nagłego, silnego bólu zęba 24. Po wstępnym badaniu i wykonaniu zdjęcia w systemie radiografii cyfrowej okazało się, że ząb nie był nigdy wcześniej leczony, nie ma żadnego ubytku, jest dobrze umocowany w zębodole, nie ma żadnych zmian, nie reaguje zwiększeniem bólu podczas nagryzania drewnianej szpatułki, natomiast bardzo boli. Nie wykazywał również oznak przeciążenia zgryzowego – nie było obnażenia przy szyjce zęba, ani festonu McCalla. Na prośbę pacjenta zdecydowano
się na leczenie endodontyczne w znieczuleniu miejscowym. Po podaniu środka znieczulającego ze środkiem obkurczającym, ból zamiast ustąpić nieprawdopodobnie się nasilił. Zabieg przerwano. Skierowano pacjenta do neurologa i laryngologa. Okazało się, że przyczyną dolegliwości pacjenta był zaostrzony stan ropny zatoki szczękowej. Po interwencji laryngologicznej i leczeniu farmakologicznym ból zęba całkowicie ustąpił i nie powrócił.
Podsumowanie
Rozpoznanie właściwej przyczyny pochodzenia nadwrażliwości czy też bólu zęba jest niezmiernie ważne w pracy lekarza stomatologa i należy mieć świadomość, że nic nie jest tak oczywiste, jak może się początkowo wydawać. Wnikliwa analiza i odpowiednia wiedza pozwala ustalić właściwe rozpoznanie, wdrożyć odpowiednie leczenie i w efekcie pomóc pacjentowi. Każdy pacjent z dolegliwościami to wyzwanie dla lekarza.
Piśmiennictwo
1. Ramfjord SP, Ash MM. Occlusion. Wyd. 3. Philadelphia: W.B. Saunders, 1983.
2. Landay MA, Nazimov H, Seltzer S. The effects of excessive occlusal force on the pulp. J Periodontol. 1970; 41(1): 3‑11.
3. Lutz F, Krejci I, Imfeld T i wsp. The hydrodynamic behavior of dentinal tubule fluid under occlusal loading. Schweiz Monatsschr Zahnmed. 1991; 101(1): 24‑30.
4. Okeson JP. Leczenie dysfunkcji skroniowo‑żuchwowych i zaburzeń zwarcia. Wyd. 2. Lublin: Wydawnictwo Czelej, 2018.
Nadwrażliwość, ból zęba – przyczyny i rozpoznanie
MS 2020; 10: 78-82.
.