MS 2023; 1: 79.
Poprawa estetyki uśmiechu po leczeniu ortodontycznym z wykorzystaniem płynnego kompozytu
Michał Jaczewski
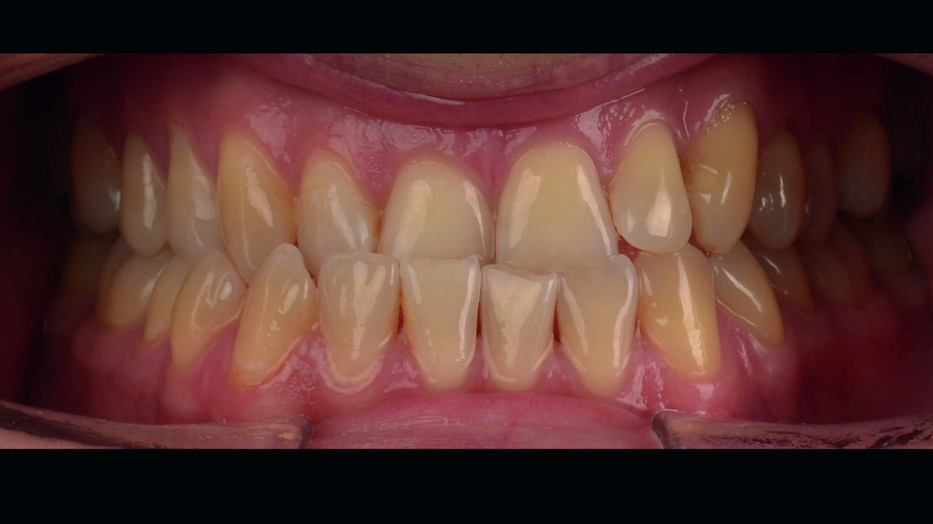
SYTUACJA POCZĄTKOWA
Pacjent zgłosił się gabinetu w celu poprawy estetyki. Ze względu na występujący zgryz krzyżowy częściowy przedni zaproponowano leczenie ortodontyczne, którego celem była poprawa relacji między łukiem dolnym i górnym, umożliwiająca odbudowę zębów przednich.


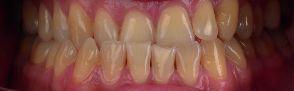
STAN PO LECZENIU ORTODONTYCZNYM I WYBIELANIU ZĘBÓW
Leczenie ortodontyczne przeprowadzono przy użyciu nakładek invisalign. Zęby poddano zabiegowi wybielania metodą nakładkową przy użyciu preparatu Opalescenece PF 16%.


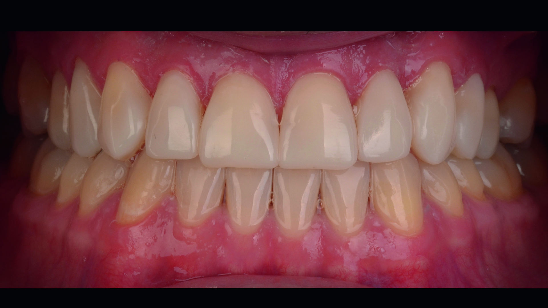
EFEKT KOŃCOWY
Aby poprawić kształt zębów i symetrię uśmiechu, wykorzystano technikę Flow Injection. Odbudowa obejmowała zęby od 14 do 24. Zastosowano płynny kompozyt firmy Kuraray Noritake, CLEARFIL MAJESTYTM ES Flow o pośredniej gęstości Low, w odcieniu XW, który pozwolił na uzyskanie jasnego, naturalnego odcienia zębów dopasowanego do koloru tkanek zębów po wybielaniu. Do polerowanie użyto pełnego protokołu z wykorzystaniem dwuetapowego systemu gumek TWISTTM DIA for Composite.


WNIOSKI
Zaprezentowany przypadek jest idealnym przykładem zastosowania filozofii minimalnie inwazyjnej. Połączenie leczenia ortodontycznego z techniką addycyjną Flow Injection oraz odbudową kompozytową przy użyciu płynnych kompozytów pozwala na uzyskanie u pacjenta naturalnegouśmiechu bez konieczności szlifowania zębów.