Ponowne leczenie endodontyczne dwukorzeniowego zęba 22. Opis przypadku

Ponowne leczenie endodontyczne dwukorzeniowego zęba 22. Opis przypadku

Dostęp do tego artykułu jest płatny.
Zapraszamy do zakupu!

Cena: 12.50 PLN (z VAT)

Po dokonaniu zakupu artykuł w postaci pliku PDF prześlemy bezpośrednio pod twój adres e-mail.

Kup artykuł
MS 2020; 7-8: 58-60.
Piotr Szymanik

Streszczenie
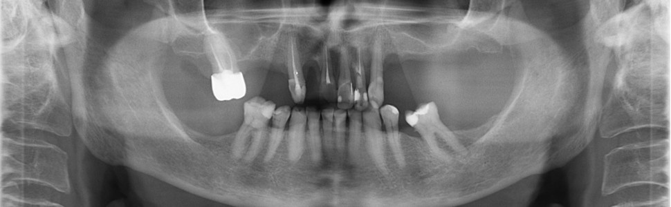
W artykule opisano przypadek ponownego leczenia endodontycznego zęba 22, w którym odnaleziono nieopracowany kanał dodatkowy. Po dokładnym rozpoznaniu i odkryciu prawdopodobnej przyczyny niepowodzenia pierwotnego leczenia przeprowadzono ponowne leczenie endodontyczne, z następującą szczelną odbudową zachowawczą. Po zakończonym leczeniu pacjentka nie skarżyła się na dolegliwości bólowe, a leczony ząb odzyskał pełną funkcjonalność.

Abstract
The article describes the case of endodontic re-treatment of tooth number 22, in which an additional root canal has been found. After a thorough diagnosis and discovering a probable cause of previous treatment's failure, a re-treatment has been carried out with restorative filling. After the treatment, Patient has not been suffering from any pain and the tooth has regained its function.

Hasła indeksowe: ząb 22, leczenie endodontyczne
Key words: tooth 22, endodontic treatment

Piśmiennictwo
1. Hülsmann M. Dens invaginatus. Aetiology, classification, prevalence, diagnosis, and treatment considerations. Int Endod J. 1997; 30(2): 79-90.
2. Cantatore, G., Berutti, E., & Castellucci, A. (2006). Missed anatomy: frequency and clinical impact. Endodontic Topics, 15(1), 3–31.
3. Vertucci FJ. Root canal anatomy of the human permanent teeth. Oral Surg Oral Med Oral Pathol. 1984; 58(5): 589-599.
4. Pineda F, Kuttler Y. Mesiodistal and buccolingual roentgenographic investigation of 7,275 root canals. Oral Surg Oral Med Oral Pathol. 1972; 33(1): 101-110.
5. Hoseini A, Abbaszadegan A. Endodontic treatment of a maxillary lateral incisor with two roots. A case report with 6 months follow-up. J Dent (Shiraz). 2014; 15(4): 204-207.
6. Mohan AG, Rajesh EAV, George L i wsp. Maxillary lateral incisors with two canals and two separate curved roots. Contemp Clin Dent. 2012; 3(4): 519-521.
7. Lee M-H, Ha J-H, Jin M-U i wsp. Endodontic treatment of maxillary lateral incisors with anatomical variations. Restor Dent Endod. 2013; 38(4): 253-257.
8. anatomical variations. Restor Dent Endod. 2013; 38(4): 253-257.