Dostęp do tego artykułu jest płatny.
Zapraszamy do zakupu!
Cena: 12.50 PLN (z VAT)
Kup artykuł
Po dokonaniu zakupu artykuł w postaci pliku PDF prześlemy bezpośrednio pod twój adres e-mail.
MS 2020; 7-8: 24-27.
Kacper Łaganowski, Kacper Nijakowski
Streszczenie
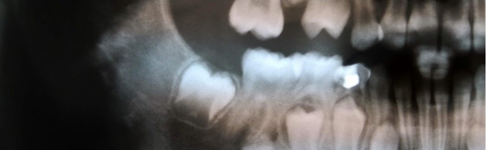
Wyspę kostną opisuje się jak izolowaną, bezobjawową i kontrastującą zmianę występującą w obrębie kości gąbczastej. Przypadek kliniczny 17-letniej pacjentki przedstawia wyspę kostną, obserwowaną po prawej stronie żuchwy na wysokości zębów przedtrzonowych i trzonowych. Z powodu łagodnego charakteru zmiany zalecono okresową kontrolę radiologiczną.
Abstract
A „dense bone island” is described as an isolated, asymptomatic and radiopaque lesion within cancellous bone. A case report of a seventeen-year patient presents a dense bone island, observed on the right side of mandible in the premolar-molar region. Due to benign character of lesion, the periodical radiological observation was recommended.
Hasła indeksowe: wyspa kostna, enostoza, tomografia wiązki stożkowej
Key words: dense bone island, enostosis, cone beam computed tomography
Piśmiennictwo
1. Geist JR, Katz JO. The frequency and distribution of idiopathic osteosclerosis. Oral Surg Oral Med Oral Pathol. 1990; 69(3): 388-393.
2. Petrikowski CG, Peters E. Longitudinal radiographic assessment of dense bone islands of the jaws. Oral Surg Oral Med Oral Pathol Oral Radiol Endod. 1997; 83(5): 627-634.
3. Kawai T, Hirakuma H, Murakami S i wsp. Radiographic investigation of idiopathic osteosclerosis of the jaws in Japanese dental outpatients. Oral Surg Oral Med Oral Pathol. 1992; 74(2): 237-242.
4. Mariani GC, Favaretti F, Lamazza L i wsp. Dense bone island of the jaw. A case report. Oral Implantol (Rome). 2008; 1(2): 87-90.
5. Moshfeghi M, Azimi F, Anvari M. Radiologic assessment and frequency of idiopathic osteosclerosis of jawbones. An interpopulation comparison. Acta Radiol. 2014; 55(10): 1239-1244.
6. Farhadi F, Ruhani MR, Zarandi A. Frequency and pattern of idiopathic osteosclerosis and condensing osteitis lesions in panoramic radiography of Iranian patients. Dent Res J (Isfahan). 2016; 13(4): 322-326.
7. Fuentes R, Arias A, Astete N i wsp. Prevalence and morphometric analysis of idiopathic osteosclerosis in a Chilean population. Folia Morphol. 2018; 77(2): 272-278.
8. De Souza Tolentino E, Capel Gusmão PH, Saintive Cardia G i wsp. Idiopathic osteosclerosis of the jaw in a Brazilian population. A retrospective study. Acta Stomatol Croat. 2014; 48(3): 183-192.
9. Ledesma-Montes C, Jiménez-Farfán MD, Hernández-Guerrero JC. Maxillomandibular giant osteosclerotic lesions. J Appl Oral Sci. 2018; 26: e20170535.
10. Kawai T, Murakami S, Kishino M i wsp. Gigantic dense bone island of the jaw. Oral Surg Oral Med Oral Pathol Oral Radiol Endod. 1996; 82(1): 108-115.
11. Solanki J, Jain R, Singh R i wsp. Prevalence of osteosclerosis among patients visiting dental institute in rural area of Western India. J Clin Diagn Res. 2015; 9(8): ZC38-40.
12. Naser AZ, Roshanzamir N. Prevalence of idiopathic osteosclerosis in an Iranian population. Indian J Dent Res. 2016; 27(5): 544-546.
13. Sisman Y, Ertas ET, Ertas H i wsp. The frequency and distribution of idiopathic osteosclerosis of the jaw. Eur J Dent. 2011; 5(4): 409-414.
14. Araki M, Matsumoto N, Matsumoto K i wsp. Asymptomatic radiopaque lesions of the jaws. A radiographic study using cone-beam computed tomography. J Oral Sci. 2011; 53(4): 439-444.
15. Cahuana A, Palma C, Parri FJ. Oral manifestations of Gardner’s syndrome in young patients. Report of three cases. Eur J Paediatr Dent. 2005; Supl. 3: 23-27.
16. Marques Silva L, Sena Guimaraes AL, Cardoso Dilascio ML i wsp. A rare complication of idiopathic osteosclerosis. Med Oral Patol Oral Cir Bucal. 2007; 12(3): E233-234.
Streszczenie
Wyspę kostną opisuje się jak izolowaną, bezobjawową i kontrastującą zmianę występującą w obrębie kości gąbczastej. Przypadek kliniczny 17-letniej pacjentki przedstawia wyspę kostną, obserwowaną po prawej stronie żuchwy na wysokości zębów przedtrzonowych i trzonowych. Z powodu łagodnego charakteru zmiany zalecono okresową kontrolę radiologiczną.
Abstract
A „dense bone island” is described as an isolated, asymptomatic and radiopaque lesion within cancellous bone. A case report of a seventeen-year patient presents a dense bone island, observed on the right side of mandible in the premolar-molar region. Due to benign character of lesion, the periodical radiological observation was recommended.
Hasła indeksowe: wyspa kostna, enostoza, tomografia wiązki stożkowej
Key words: dense bone island, enostosis, cone beam computed tomography
Piśmiennictwo
1. Geist JR, Katz JO. The frequency and distribution of idiopathic osteosclerosis. Oral Surg Oral Med Oral Pathol. 1990; 69(3): 388-393.
2. Petrikowski CG, Peters E. Longitudinal radiographic assessment of dense bone islands of the jaws. Oral Surg Oral Med Oral Pathol Oral Radiol Endod. 1997; 83(5): 627-634.
3. Kawai T, Hirakuma H, Murakami S i wsp. Radiographic investigation of idiopathic osteosclerosis of the jaws in Japanese dental outpatients. Oral Surg Oral Med Oral Pathol. 1992; 74(2): 237-242.
4. Mariani GC, Favaretti F, Lamazza L i wsp. Dense bone island of the jaw. A case report. Oral Implantol (Rome). 2008; 1(2): 87-90.
5. Moshfeghi M, Azimi F, Anvari M. Radiologic assessment and frequency of idiopathic osteosclerosis of jawbones. An interpopulation comparison. Acta Radiol. 2014; 55(10): 1239-1244.
6. Farhadi F, Ruhani MR, Zarandi A. Frequency and pattern of idiopathic osteosclerosis and condensing osteitis lesions in panoramic radiography of Iranian patients. Dent Res J (Isfahan). 2016; 13(4): 322-326.
7. Fuentes R, Arias A, Astete N i wsp. Prevalence and morphometric analysis of idiopathic osteosclerosis in a Chilean population. Folia Morphol. 2018; 77(2): 272-278.
8. De Souza Tolentino E, Capel Gusmão PH, Saintive Cardia G i wsp. Idiopathic osteosclerosis of the jaw in a Brazilian population. A retrospective study. Acta Stomatol Croat. 2014; 48(3): 183-192.
9. Ledesma-Montes C, Jiménez-Farfán MD, Hernández-Guerrero JC. Maxillomandibular giant osteosclerotic lesions. J Appl Oral Sci. 2018; 26: e20170535.
10. Kawai T, Murakami S, Kishino M i wsp. Gigantic dense bone island of the jaw. Oral Surg Oral Med Oral Pathol Oral Radiol Endod. 1996; 82(1): 108-115.
11. Solanki J, Jain R, Singh R i wsp. Prevalence of osteosclerosis among patients visiting dental institute in rural area of Western India. J Clin Diagn Res. 2015; 9(8): ZC38-40.
12. Naser AZ, Roshanzamir N. Prevalence of idiopathic osteosclerosis in an Iranian population. Indian J Dent Res. 2016; 27(5): 544-546.
13. Sisman Y, Ertas ET, Ertas H i wsp. The frequency and distribution of idiopathic osteosclerosis of the jaw. Eur J Dent. 2011; 5(4): 409-414.
14. Araki M, Matsumoto N, Matsumoto K i wsp. Asymptomatic radiopaque lesions of the jaws. A radiographic study using cone-beam computed tomography. J Oral Sci. 2011; 53(4): 439-444.
15. Cahuana A, Palma C, Parri FJ. Oral manifestations of Gardner’s syndrome in young patients. Report of three cases. Eur J Paediatr Dent. 2005; Supl. 3: 23-27.
16. Marques Silva L, Sena Guimaraes AL, Cardoso Dilascio ML i wsp. A rare complication of idiopathic osteosclerosis. Med Oral Patol Oral Cir Bucal. 2007; 12(3): E233-234.