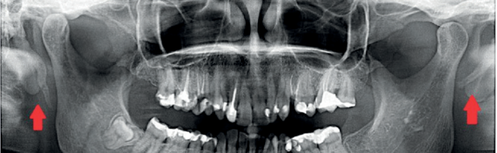
Zespół wydłużonego wyrostka rylcowatego – zespół Eagle'a

Zespół wydłużonego wyrostka rylcowatego – zespół Eagle'a

Dostęp do tego artykułu jest płatny.
Zapraszamy do zakupu!

Cena: 12.50 PLN (z VAT)

Po dokonaniu zakupu artykuł w postaci pliku PDF prześlemy bezpośrednio pod twój adres e-mail.

Kup artykuł

Joanna Cybulak-Naczke, Anna Wytrykowska, Magdalena Mikietyńska, Anna Żak, Barbara Drogoszewska
Enlarged styloid process syndrome – Eagle syndrome