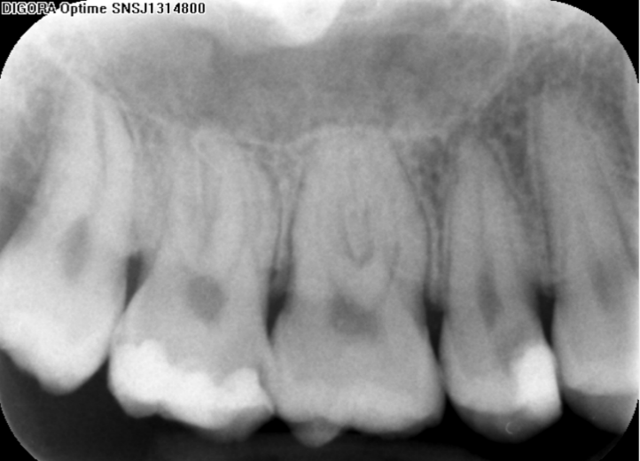
aprezentowany powyżej problem jest dość złożony. Podejmując się leczenia pierwszego zęba trzonowego u sześcioletniej osoby należy zdawać sobie sprawę z faktu, że korzenie zęba nie są w pełni ukształtowane i z całą pewnością kanał nie ma kształtu stożka zwężającego się w kierunku wierzchołka, ściany korzeniowe są cienkie, a otwory wierzchołkowe bardzo szerokie. Stąd należy zachować szczególną ostrożność podczas opracowywania głębokich ubytków w zębach z niezakończonym rozwojem i dążyć do zachowania żywej miazgi unikając tym samym bardzo trudnego do wykonania i nieprzewidywalnego leczenia endodontycznego. Ponieważ rozpoznano klinicznie próchnicę głęboką należało wykonać zdjęcie rentgenowskie i ocenić głębokość ubytku. Europejskie Towarzystwo Endodontyczne wyróżnia 2 typy próchnicy głębokiej, tj.: próchnicę głęboka (deep caries, ryc. 1) i próchnicę bardzo głęboką (extremely deep caries, ryc. 2). W przypadku próchnicy głębokiej na zdjęciu rentgenowskim widoczna jest warstwa zębiny oddzielająca dno ubytku od sklepienia komory o grubości 1/4 -1/3 szerokości (grubości całej zębiny) (ryc. 1 B), podczas gdy w próchnicy bardzo głębokiej proces próchnicowy niszczy zębinę na całej jej grubości (na zdjęciu nie widać zmineralizowanej warstwy zębiny oddzielającej dno ubytku od komory miazgi) (ryc. 2 B). W prezentowanym przypadku na pewno nie byłoby problemu z postawieniem diagnozy (głęboka vs. bardzo głęboka) ze względu na lokalizację ubytku na powierzchni zwarciowej (dobra widoczność ubytku zdjęciu rentgenowskim w związku z nienakładaniem się na niego zdrowych struktur, co z kolei ma miejsce np. w ubytkach klasy I zlokalizowanych na powierzchni policzkowej zębów trzonowych i tu trudno ustalić rozpoznanie na podstawie radiogramu). Ustalenie prawidłowego rozpoznania jest dość istotne, gdyż nieco inne jest postępowanie w przypadku, gdy mamy do czynienia z próchnicą głęboką niż gdy jest to próchnica bardzo głęboka. W obu przypadkach należy usunąć próchnicę ze ścian ubytku, natomiast z dna próchnicową zębiny należy usunąć selektywnie: w przypadku próchnicy głębokiej do tzw. zbitej zębiny, a w przypadku próchnicy bardzo głębokiej nawet pozostawiając na dnie miękką zębinę (w tabeli 1 dla przypomnienia typy zębin). W pierwszym przypadku postępowanie polega na zastosowaniu na dno (w tym na pozostawioną na dnie zdemineralizowaną zębinę) materiału bioaktywnego (najlepiej cementu krzemowo-wapniowego względnie c. szkło-jonomerowego lub preparatu wodorotlenkowo-wapniowego), a następnie po założeniu ew. podkładu na wypełnieniu ostatecznym ubytku (ryc. 3). W drugim przypadku, gdy pozostawiamy miękką zębinę ubytek należy wypełnić czasowo na 6-12 miesięcy (leczenie dwuetapowe). Dno, tak jak w pierwszym przypadku najlepiej szczelnie przykryć cementem bioaktywnym na bazie krzemianu wapnia (ryc. 4). Takie postępowanie w próchnicy głębokiej, czyli selektywne usunięcie próchnicowej zębiny dokomorowej obarczone jest znacznie mniejszym ryzykiem powikłań ze strony miazgi aniżeli nieselektywne, czyli doszczętne usunięcie zębiny próchnicowej do zębiny twardej (zdrowej). Co więcej w przypadku próchnicy bardzo głębokiej próba usunięcia zębiny próchnicowej nawet do tzw. zębiny zbitej skutkuje odsłonięciem miazgi. W przypadku dwuetapowego leczenia próchnicy należy po upływie określonego czasu (6-12 miesięcy, a w przypadku zębów niedojrzałych najbezpieczniej do momentu zakończenia rozwoju korzenia) usunąć wypełnienie czasowe i sprawdzić, czy miękka zębina uległa mineralizacji. Jeśli zębina uległa mineralizacji, to nie ma potrzeby tzw. „doczyszczenia” ubytku, choć w wielu przypadkach okazuje się konieczna dodatkowa preparacja.

Ryc. 1. Próchnica głęboka. A. Schemat, B. Zdjęcie rentgenowskie


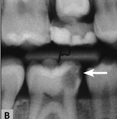
Ryc. 2. Próchnica bardzo głęboka. A. Schemat, B. Zdjęcie rentgenowskie
W opisanym przypadku do odsłonięcia miazgi doszło właściwe po całkowitym opracowaniu ubytku. To rokuje dobrze, ponieważ pozwala przypuszczać, że miazga była w dobrej kondycji. Ponadto młoda i dobrze ukrwiona miazga dopiero co wyrzniętego zęba poradzi sobie z odsłonięciem i wytworzy most zębinowy. Oczywiście zastosowanie preparatu wodorotlenkowo-wapniowego na odsłoniętą miazgę nie budzi zastrzeżeń (oczywiście powinien być to preparat nietwardniejący), jednak obecnie na rynku są lepsze materiały gwarantujące wyższy odsetek pozytywnych wyników leczenia (cementy zawierające w swoim składzie krzemian wapnia np. materiał typu MTA, syntetyczne materiały bioaktywne).

Ryc. 3. W przypadku próchnicy głębokiej po opracowaniu selektywnym dna ubytku do zębiny zbitej należy przykryć je materiałem bioaktywnym, a następnie po ew. założeniu podkładu ostatecznie wypełnić.
Ryc. 4. W przypadku próchnicy bardzo głębokiej po usunięciu próchnicy ze ścian ubytku można pozostawić na jego dnie miękką zębinę przykrywając ją materiałem bioaktywnym. Wkroczenie do ubytku ma miejsce po 6-12 miesiącach i najczęściej związane jest z tzw. „doczyszczeniem” dna ubytku.
Zasadnicze pytanie, jakie zadał Czytelnik brzmi: „Czy należało w takim wypadku wdrożyć typowe leczenie kanałowe?”. Odpowiedź na to pytanie jest zdecydowanie przecząca. Co więcej wdrożenie typowego leczenia polegającego na wyłuszczeniu miazgi, czy co gorsza zastosowaniu preparatu dewitalizującego, byłoby błędem sztuki. Nawet w przypadku, gdyby hipotetycznie doszło do odsłonięcia w obrębie zębiny próchnicowej, nie należałoby wdrażać leczenia kanałowego. Postępowanie w takim przypadku polega bowiem na usunięciu tkanki próchnicowej w powiększeniu, dezynfekcji ubytku i miazgi podchlorynem sodu i założeniu na dno ubytku cementu krzemowo-wapniowego. Oczywiście zawsze trzeba brać pod uwagę wykonanie amputacji częściowej lub całkowitej.
Pismiennictwo
1. Duncan H. i wsp.: European Society of Endodontology position statement: Management of deep caries and the exposed pulp. Int. Endod. J., 2019, 52(7):923-934
2. Giacaman RA, Muñoz-Sandoval C, Neuhaus KW, Fontana M, Chałas R.: Evidence-based strategies for the minimally invasive treatment of carious lesions: Review of the literature. Adv Clin Exp Med. 2018, 27(7):1009-1016
3. Schwendicke F.: Contemporary concepts in carious tissue removal: A review. J Esthet Restor Dent. 2017,12, 60, 403-408.
4. Carvalho JC, Dige I, Machiulskiene V, Qvist V, Bakhshandeh A, Fatturi-Parolo C, Maltz M. Occlusal caries: Biological approach for its diagnosis and management. Caries Res. 2016, 50, 6, 527-542.
5. Schwendicke F, Frencken JE, Bjørndal L, Maltz M, Manton DJ, Ricketts D, Van Landuyt K, Banerjee A, Campus G, Doméjean S, Fontana M, Leal S, Lo E, Machiulskiene V, Schulte A, Splieth C, Zandona AF, Innes NP.: Managing carious lesions: consensus recommendations on carious tissue removal. Adv. Dent. Res., 2016, 28, 2, 58-67.