Dostęp do tego artykułu jest płatny.
Zapraszamy do zakupu!
Cena: 12.50 PLN (z VAT)
Kup artykuł
Po dokonaniu zakupu artykuł w postaci pliku PDF prześlemy bezpośrednio pod twój adres e-mail.
Streszczenie
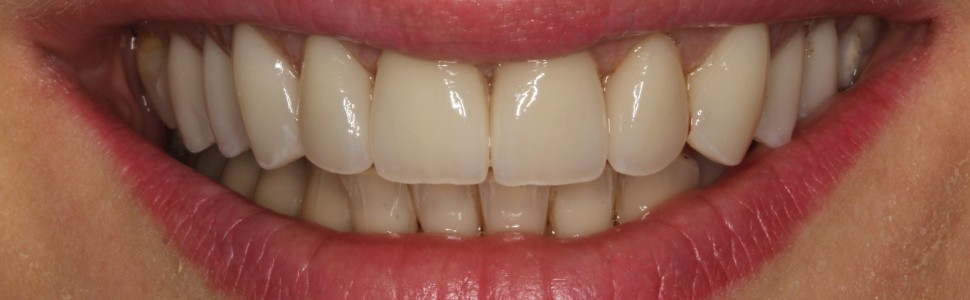
Estetyczna odbudowa uśmiechu jest dużym wyzwaniem dla lekarza dentysty. Istnieje wiele możliwości rekonstrukcji, w których można wykorzystać prace zarówno bezpośrednie, wykorzystujące zalety materiałów adhezyjnych, jak i pośrednie, wykonywane w laboratorium protetycznym. W artykule przedstawiono opis przypadku wymiany istniejących koron na podbudowie metalowej na korony pełnoceramiczne oraz rozszerzenie preparacji o wszystkie zęby widoczne w uśmiechu i wykonanie na nich licówek pełnoceramicznych.
Abstract
Aesthetics reconstruction of smile can be a big challenge for dentist.There are a lot of available possibilities, such as direct restorations, using dental adhesive materials and also indirect restorations. The study describes the author’s own case, in which old PFM crowns were replaced and new porcelain veneers were made.
Hasła indeksowe: licówka porcelanowa, korona pełnoceramiczna, estetyka
Key words: porcelain veneer, complete ceramic crown, aesthetics
PIŚMIENNICTWO
1. Majewski S.: Współczesna protetyka stomatologiczna. Wrocław, 2014, 78-80.
2. Spiechowicz E.: Protetyka stomatologiczna. Wyd. VI. Wydawnictwo Lekarskie PZWL, Warszawa, 2008, 56-61.
3. Magne P. i wsp.: Adhezyjne uzupełnienia porcelanowe w odcinku przednim, podejście biomimetyczne. Wydawnictwo Kwintesencja, 2010, 200-202.
4. Magne P. i wsp.: Adhezyjne uzupełnienia porcelanowe w odcinku przednim, podejście biomimetyczne. Wydawnictwo Kwintesencja, 2010, 270-272.
5. Magne P., Douglas W.H.: Porcenail veneers: dentin bonding optimization anbiomimetic recovery of the crown. Int. J. Prosthodont., 1999, 12, 2, 111-121.
6. Żarow M., Borowska-Sawa J.: Licówki porcelanowe na zęby przebarwione po leczeniu endodontycznym. Mag. Stomatol., 2010, 7-8.
Hasła indeksowe: licówka porcelanowa, korona pełnoceramiczna, estetyka
Key words: porcelain veneer, complete ceramic crown, aesthetics
PIŚMIENNICTWO
1. Majewski S.: Współczesna protetyka stomatologiczna. Wrocław, 2014, 78-80.
2. Spiechowicz E.: Protetyka stomatologiczna. Wyd. VI. Wydawnictwo Lekarskie PZWL, Warszawa, 2008, 56-61.
3. Magne P. i wsp.: Adhezyjne uzupełnienia porcelanowe w odcinku przednim, podejście biomimetyczne. Wydawnictwo Kwintesencja, 2010, 200-202.
4. Magne P. i wsp.: Adhezyjne uzupełnienia porcelanowe w odcinku przednim, podejście biomimetyczne. Wydawnictwo Kwintesencja, 2010, 270-272.
5. Magne P., Douglas W.H.: Porcenail veneers: dentin bonding optimization anbiomimetic recovery of the crown. Int. J. Prosthodont., 1999, 12, 2, 111-121.
6. Żarow M., Borowska-Sawa J.: Licówki porcelanowe na zęby przebarwione po leczeniu endodontycznym. Mag. Stomatol., 2010, 7-8.