Magda Aniko-Włodarczyk, Olga Preuss, Grzegorz Trybek
Zakład Chirurgii Stomatologicznej
Pomorskiego Uniwersytetu Medycznego w Szczecinie
Kierownik: dr hab. n. med. Grzegorz Trybek
Artykuł ukazał się w MS 7-8/2019
Opis przypadku
Do Zakładu Chirurgii Stomatologicznej Pomorskiego Uniwersytetu Medycznego zgłosił się ze skierowaniem pacjent 25-letni w celu ekstrakcji zęba 36.
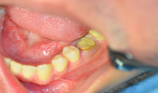
Ryc. 1. Stan kliniczny zęba 36.
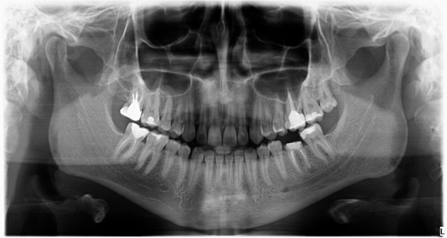
Wykonano pantomogram oraz zdjęcie celowane, które ujawniło zmianę okołowierzchołkową przy korzeniu dystalnym. Nie stwierdzono patologii tkanek twardych zębów sąsiadujących z zębem zakwalifikowanym do ekstrakcji, dlatego powzięto decyzję o odbudowie implantologicznej przyszłego braku zębowego (ryc. 1-3).

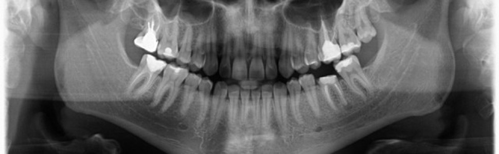
Ryc. 2. Zdjęcie pantomograficzne wykonane przed zabiegiem. Ryc. 3. Zdjęcie zębowe zęba 36.
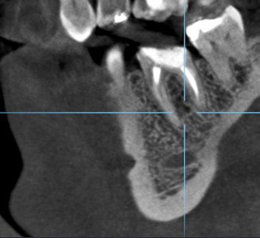
Diagnostykę poszerzono o badanie tomografii wiązki stożkowej (ryc. 4-6). Region implantacji zwymiarowano w trzech płaszczyznach w specjalnym programie komputerowym 3Shape Implant Studio® (3Shape, Kopenhaga, Dania), wykonano szablon implantologiczny i przystąpiono do procedury chirurgicznej. Zaprojektowano użycie wszczepu o wymiarach 4,2 x 10 mm.
Ryc. 4. Przekrój zęba 36 w płaszczyźnie czołowej. Ryc. 5. Przekrój zęba 36 w płaszczyźnie strzałkowej.
Ryc. 6. Przekrój zęba 36 w płaszczyźnie horyzontalnej.
W znieczuleniu miejscowym przeprowadzono minimalnie inwazyjny zabieg usunięcia zęba metodą separacji korzeniowej. Następnie założono szablon implantologiczny i używając systemowej sekwencji wierteł, wypreparowano łoże pod wszczep, który następnie wprowadzono, uzyskując stabilizację pierwotną; zabezpieczono go śrubą zamykającą (Implant Seven, MIS). Wolne przestrzenie zębodołu poekstrakcyjnego wypełniono materiałem kościozastępczym (Bio-Oss, 0,25-1 mm, Geistlich Biomaterials, Szwajcaria), a całość pokryto błoną z osocza bogatopłytkowego oraz lateksowym koferdamem, utrzymywanymi szwami, które pozostawiono na 7 dni (ryc. 7-13).
Ryc. 7. Szablon osadzony na zębach pacjenta.
Ryc. 8. Preparacja łoża pod wszczep.
Ryc. 9. Wprowadzony wszczep.

Ryc. 10. Uszczelnienie zębodołu materiałem kościozastępczym.
Ryc. 11. Zaopatrzenie zębodołu błoną z PRF.
Ryc. 12. Rana zaopatrzona szwami i koferdamem lateksowym.
Ryc. 13. Kontrolne zdjęcie rentgenowskie – prawidłowo spozycjonowany wszczep.
Procedura tworzenia szablonu implantologicznego
Pozycję wszczepu ustala się na podstawie przekrojów: strzałkowego, poprzecznego i transsektalnego. Pozycjonowanie odbywa się w odniesieniu do zębów sąsiednich, kanału żuchwy oraz blaszki przedsionkowej i językowej części zębodołowej żuchwy. W programie komputerowym z bazy dostępnych wszczepów wybiera się określony typ implantu. Ponieważ szablon jest oparty na zębach i tkankach miękkich jamy ustnej, konieczne jest wykonanie skanu wewnątrzustnego, będącego odpowiednikiem wirtualnego wycisku, który jest konwertowany do modelu stereolitograficzny (STL). Następnie skan wewnątrzustny łączy się z obrazami uzyskanymi z badania CBCT i określa zasięg szablonu. Program komputerowy generuje projekt szablonu, który eksportuje się do pliku STL. W programie komputerowym drukarki 3D wybiera się rodzaj żywicy fotopolimerowej, z którego zostanie wytworzony model, i ustawia się podpory technologiczne, a następnie przesyła projekt do druku. Szablon podlega postprodukcyjnej obróbce końcowej, podczas której usuwa się podpory. Pozostałości żywicy oraz monomer resztkowy usuwa się w kąpieli alkoholowej w myjce ultradźwiękowej. Polimeryzacja ostateczna odbywa się w specjalnej lampie polimeryzacyjnej. Gotowy szablon przed zastosowanie w procedurze chirurgicznej jest poddawany sterylizacji. Proces projektowania szablonu implantologicznego przedstawiono na rycinach od 14-17.
Ryc.14. Pozycja wszczepu w stosunku do warunków anatomicznych.
Ryc. 15. Model stereolitograficzny.
Ryc.16. Szablon na modelu.
Ryc. 17. Gotowy do użycia szablon implantologiczny.
Podsumowanie
PIŚMIENNICTWO
1. Krikor D., Krikor S.: Immediate loading of dental implants: overview and rationale. CDA Journal, 2005, 4, 33, 337-341.
2. Abu-Hussein M., Chlorokostas G., Abusalih A. i wsp.: Immediate implant placement and loading in esthetic zone. IOSR Journal of Dental and Medical Sciences, 2016, 15, 1, 1-9.
3. Gargiulo Al. i wsp.: Immediate molar implant placement: A clinical investigation. JIACD Journal of Implant and Advanced Clinical Dentistry, 2011, 3, 6, 37-44.
4. Michali R.: Druk 3D – rewolucja technologiczna czy moda na sukces? Digital Technologia, 2016, 3, 4, 30-36.
5. Honigmann P., Sharma N., Okolo B. i wsp.: Patient-specific surgical implants made of 3D printed peek: material, technology, and scope of surgical application 2018. doi: 10.1155/2018/4520636.
6. Aniko-Włodarczyk M., Jaroń A., Preuss O., Trybek G.: Zastosowanie druku 3D w planowaniu postępowania i leczeniu chirurgicznym kości szczęk. Mag. Stomatol., 2018, 28, 7-8, 84-88.
7. Van Nimwegen W.G. i wsp.: Immediate implant placement and provisionalisation in the aesthetic zone. J Oral Rehabil 2016;43(10):745-752.
8. Buser D., Chappuis V., Belser U.C., Chen S.: Implant placement post extraction in esthetic single tooth sites: when immediate, when early, when late? Periodontol. 2000, 2017 , 73, 1, 84-102.
9. Chen Z., Li J., Sinjab K. i wsp.: Accuracy of flapless immediate implant placement in anterior maxilla using computer-assisted versus freehand surgery: a cadaver study. Clin. Oral Implants Res., 2018, doi: 10.1111/clr.13382.
10. Arora H., Ivanovski S.: Immediate and early implant placement in single-tooth gaps in the anterior maxilla: A prospective study on ridge dimensional, clinical, and aesthetic changes. Clin. Oral Implants Res., 2018, doi: 10.1111/clr.13378.
11. Abi-Aad H., Daher F., Dimassi H. i wsp.: Immediate vs conventional loading of variable-thread tapered implants supporting three- to four-unit fixed partial dentures in the posterior maxilla: 1-year interim results of a split-mouth randomised controlled trial. Eur. J. Oral Implantol., 2018, 11, 3, 337-350.
12. Nesi H., Oliveira M.T., Molina G.O.: Uso da membrana de látex em alvéolos de dentes recém-extraídos: relato de caso. Rev. Bras., 2012, 69, 1, 80-83.