Dostęp do tego artykułu jest płatny.
Zapraszamy do zakupu!
Cena: 12.50 PLN (z VAT)
Kup artykuł
Po dokonaniu zakupu artykuł w postaci pliku PDF prześlemy bezpośrednio pod twój adres e-mail.
Pierwsza nagroda w Ogólnopolskim konkursie na opis przypadku leczenia kanałowego
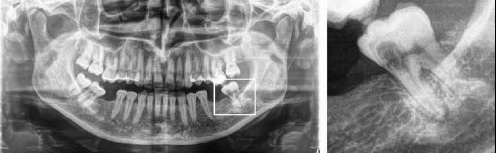
Kobieta, lat 45, odczuwała dolegliwości związane z zębem 37. Okresowo występował samoistny ból, który mijał. Pacjentka wyczuwała nieprzyjemny zapach w tej okolicy. Ząb wyglądał na nietknięty procesem próchnicowym, jedynie guzek policzkowy bliższy miał inne zabarwienie. Po odsłonięciu brzegu dziąsła zgłębnikiem odnaleziono niewielki otwór. Wykonano zdjęcie pantomograficzne, które uwidoczniło charakterystyczny obraz. Diagnoza – inwazyjna resorpcja przyszyjkowa.
Kobieta, lat 45, odczuwała dolegliwości związane z zębem 37. Okresowo występował samoistny ból, który mijał. Pacjentka wyczuwała nieprzyjemny zapach w tej okolicy. Ząb wyglądał na nietknięty procesem próchnicowym, jedynie guzek policzkowy bliższy miał inne zabarwienie. Po odsłonięciu brzegu dziąsła zgłębnikiem odnaleziono niewielki otwór. Wykonano zdjęcie pantomograficzne, które uwidoczniło charakterystyczny obraz. Diagnoza – inwazyjna resorpcja przyszyjkowa.