Leczenie techniką regeneracji wgłobionego zęba przyczynowego ropnia dołu nadkłowego

Leczenie techniką regeneracji wgłobionego zęba przyczynowego ropnia dołu nadkłowego

Dostęp do tego artykułu jest płatny.
Zapraszamy do zakupu!

Cena: 12.50 PLN (z VAT)

Po dokonaniu zakupu artykuł w postaci pliku PDF prześlemy bezpośrednio pod twój adres e-mail.

Kup artykuł
Pierwsza nagroda w Ogólnopolskim konkursie na opis przypadku leczenia kanałowego
 
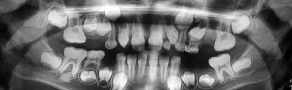
Zęby wgłobione to jedna z najczęściej występujących anomalii budowy zębów. Częstość występowania tej nieprawidłowości jest szacowana nawet na 10%, a polega na wpukleniu tkanek zmineralizowanych w obręb korony klinicznej lub kanału korzeniowego zęba z tworzeniem niejednokrotnie formacji tkanek z własnym oddzielnym wierzchołkiem i otworem bocznym lub wierzchołkowym. [...] Jeżeli ząb wgłobiony jest przyczyną estetycznych i funkcjonalnych nieprawidłowości, kiedy nie ma szans na skuteczne leczenie endodontyczne, istnieją wskazania do ekstrakcji. W niniejszej pracy opisano przypadek skutecznego leczenia zęba wgłobionego, który był zębem przyczynowym ropnia dołu nadkłowego.

PIŚMIENNICTWO
1. Hülsmann M: Dens invaginatus: aetiology, classification, prevalence, diagnosis and treatment considerations. Int. Endod. J., 1997, 30, 79‑90.
2. Chen Y.M., Tseng C.C., Harn W.M.: Dens invaginatus. Review of formation and morphology with 2 case reports. Oral Surg. Oral Med. Oral Pathol. Oral Radiol. Endod., 1998, 86, 3, 347‑352.
3. de Sousa S.M., Bramante C.M.: Dens invaginatus: treatment choices. Endod. Dent. Traumatol., 1998, 14, 4, 152‑158
4. Slootweg P.J.: Dental pathology: A practical introduction. Springer‑Verlag, Berlin Heidelberg 2007, 25‑34.
5. Chhina A. i wsp.: Triple dens invaginatus in a single tooth: Rarest of rare case raport. Indian. J. Dent. Res., 2017, 28, 2, 203‑206.
6. Tebbeb N. i wsp.: Dens invaginatus: A review and case series. Saudi Endod. J., 2018, 8, 44‑49.
7. Alani A., Bishop K.: Dens invaginatus. Part 1: classification, prevalence and aetiology. Int. Endod. J., 2008, 41, 12, 1123‑1136.
8. Cohenca N. (red.): Disinfection of Root Canal Systems: The Treatment of Apical Periodontitis. Wiley Blackwell 2014.
9. Rajasekharan S. i wsp.: Biodentine™ material characteristics and clinical applications: a 3 years literature review and update. Eur. Arch. Paediatr. Dent., 2018, 19, 1, 1-22.