Diastema – rutynowe leczenie czy wielkie wyzwanie ortodontyczne? Opis przypadku

Diastema – rutynowe leczenie czy wielkie wyzwanie ortodontyczne? Opis przypadku

Dostęp do tego artykułu jest płatny.
Zapraszamy do zakupu!

Cena: 12.50 PLN (z VAT)

Po dokonaniu zakupu artykuł w postaci pliku PDF prześlemy bezpośrednio pod twój adres e-mail.

Kup artykuł
MS 2019; 10: 34-37.



Streszczenie

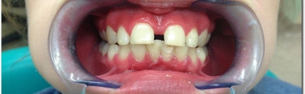
W pracy omówiono przypadek zamknięcia diastemy oraz retruzji zębów siecznych szczęki za pomocą aparatu stałego u pacjentki z II klasą szkieletową wg Angle’a. W przedstawionym przypadku zastosowano leczenie kompromisowe polegające na założeniu aparatu tylko w łuku górnym, ponieważ pacjentka nie zgodziła się na proponowany plan leczenia. Zamknięcie diastemy osiągnięto za pomocą łańcuszka elastycznego.
 
Abstract
The paper discusses the case of closing the diastema and retrusion of the incisal teeth of the jaw using a fixed arch appliance in a patient with a skeletal class II according to Angle.
In the presented case, a compromise treatment based on the device only in the upper arch was used because the patient did not agree to the proposed treatment plan. The closure of the diastema was achieved employing an elastic chain.
 
Hasła indeksowe: diastema, klasa II, retruzja
 
Key words: diastema, class II, retrusion


PIŚMIENNICTWO
  1. Keene H.J.: Distribution of diastemas in the dentition of man. Am. J. Phys. Anthropol., 1963, 21, 437-441.
  2. Broadbent B.H.: Ontogenic development of occlusion. Angle Orthod., 1941, 11, 223-241.
  3. Gkantidis N., Kolokitha O.E., Topouzelis N.: Management of maxillary midline diastema with emphasis on etiology. J. Clin. Pediatr. Dent., 2008, 32, 265-272.
  4. Edwards J.G.: The diastema, the frenum, the frenectomy: a clinical study. Am. J. Orthod., 1977, 71, 489-508.
  5. Shashua D., Artun J.: Relapse after orthodontic correction of maxillary median diastema: a follow-up evaluation of consecutive cases. Angle Orthod., 1999, 69, 257-263.
  6. Sullivan T.C., Turpin D.L., Artun J.: A postretention study of patients presenting with a maxillary median diastema. Angle Orthod., 1996, 66, 131-138.
  7. Langberg B.J., Todd A.: Treatment of a class I malocclusion with severe bimaxillary protrusion. Am. J. Orthod. Dentofacial. Orthop., 2004, 126, 739-746.
  8. Chae J.M.: A new protocol of Tweed-Merrifield directional force technology with microimplant anchorage. Am. J. Orthod. Dentofacial Orthop., 2006, 130, 100-109.
  9. Melsen B., Bosch C.: Different approaches to anchorage: A survey and an evaluation. Angle Orthod., 1997, 67, 23-30.
  10. Park H.S., Kwon T.G.: Sliding mechanics with microscrew implant anchorage. Angle Orthod., 2004, 74, 703-710.
  11. An S.M. i wsp.: Comparing esthetic smile perceptions among laypersons with and without orthodontic treatment experience and dentists. Korean J. Orthod., 2014, 44, 294-303.
  12. Nasr M.W. i wsp.: Botulinum toxin for the treatment of excessive gingival display a systematic review. Aesthet. Surg. J., 2016, 36, 1, 82-88.
  13. Polo M.: Botulinum toxin type A (Botox) for the neuromuscular correction of excessive gingival display on smiling (gummy smile). Am. J. Orthod. Dentofacial Orthop., 2008, 133, 2, 195-
  14. Tanaka O.M. i wsp.: Maxillary midline diastema closure. Sci. Pract., 2015, 8, 97-102.