Opublikowano dnia : 01.09.2019
Dostęp do tego artykułu jest płatny.
Dostęp do tego artykułu jest płatny.
Zapraszamy do zakupu!
Cena: 12.50 PLN (z VAT)
Kup artykuł
Po dokonaniu zakupu artykuł w postaci pliku PDF prześlemy bezpośrednio pod twój adres e-mail.
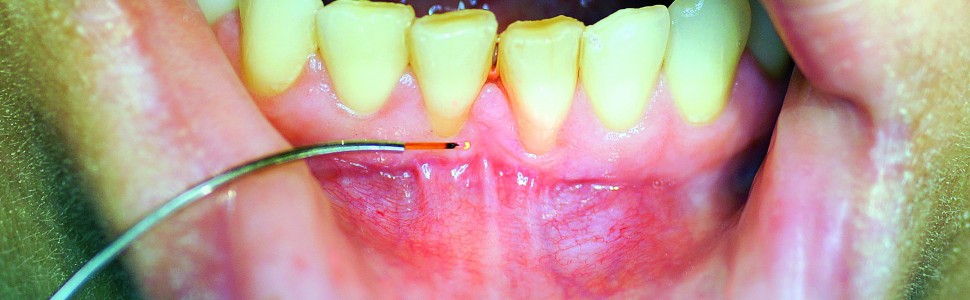
Streszczenie
W pracy omówiono zasady cięcia tkanek laserem diodowym w jamie ustnej, pozwalające na zmniejszenie ryzyka urazu termicznego otaczających struktur. Dobór techniki cięcia i prawidłowe ustawienia lasera diodowego pozwalają na przeprowadzenie leczenia w sposób dokładny i bezpieczny.
Abstract
The paper discusses the principles of cutting tissues with a diode laser, allowing to reduce the risk of thermal injury of surrounding structures. The selection of the cutting technique and the correct settings of the diode laser allows for the treatment to be carried out accurately and safely.
Hasła indeksowe: cięcie laserowe, laser diodowy, waporyzacja
Key words: laser cut, diode laser, vaporisation
PIŚMIENNICTWO
1. Matys J., Dominiak M.: Ocena bólu podczas odsłaniania implantów za pomocą lasera erbowo-yagowego. Implantol. Stomatol., 2014, 5, 2, 52-54.
2. Ishikawa I., Aoki A., Takasaki A.A.: Potential applications of Erbium:YAG laser in periodontics. J. Periodontal. Res., 2004, 39, 4, 275-285.
3. Sułek J.: Możliwości wykorzystania laserów w protetyce stomatologicznej. Por. Stomatol., 2010, X, 4, 139-143.
4. Milonni, P.W., Eberly J.H.: Laser Physics [w:] John Wiley & Sons, Inc., Hoboken, New Jersey 2010, 38-40.
5. de Freitas P.M., Simoes A.: Lasers in Dentistry: Guide for Clinical Practice. Mosby, Saint Louis 2015, 15-16.
6. Romanos G., Nentwig G.H.: Diode laser (980 nm) in oral and maxillofacial surgical procedures, clinical observations based on clinical applications. J. Clin. Laser Med. Surg., 1999, 17, 193-197.
7. Eriksson A.R., Albrektsson T.: Temperature threshold levels for heat-induced bone tissue injury, a vital-microscopic study in the rabbit. J. Prosthet. Dent., 1983, 50, 101-107.
8. Eriksson A.R., Albrektsson T., Magnusson B.: Assessment of bone viability after heat trauma. A histological, histochemical and vital microscopic study in the rabbit. Scand. J. Plast. Recons., 1984, 18, 261-268.
9. Szporek B., Pogorzelska-Stronczak B., Sczurek Z.: Patomorfologia rozrostowo-przerostowych zmian błony śluzowej jamy ustnej wywołanych ruchomymi protezami zębowymi. Czas. Stomatol., 1994, 47, 6, 419-422.
10. Pogrel MA., The carbon dioxide laser in soft tissue preprosthetic surgery. J. Prosthet. Dent., 1989, 61, 203-208
11. Atkinson T.J.: Fundamentals of carbon dioxide laser. Laser applications in oral and maxillofacial surgery, 2 nd ed. Elsevier Publications, New York 2000.
W pracy omówiono zasady cięcia tkanek laserem diodowym w jamie ustnej, pozwalające na zmniejszenie ryzyka urazu termicznego otaczających struktur. Dobór techniki cięcia i prawidłowe ustawienia lasera diodowego pozwalają na przeprowadzenie leczenia w sposób dokładny i bezpieczny.
Abstract
The paper discusses the principles of cutting tissues with a diode laser, allowing to reduce the risk of thermal injury of surrounding structures. The selection of the cutting technique and the correct settings of the diode laser allows for the treatment to be carried out accurately and safely.
Hasła indeksowe: cięcie laserowe, laser diodowy, waporyzacja
Key words: laser cut, diode laser, vaporisation
PIŚMIENNICTWO
1. Matys J., Dominiak M.: Ocena bólu podczas odsłaniania implantów za pomocą lasera erbowo-yagowego. Implantol. Stomatol., 2014, 5, 2, 52-54.
2. Ishikawa I., Aoki A., Takasaki A.A.: Potential applications of Erbium:YAG laser in periodontics. J. Periodontal. Res., 2004, 39, 4, 275-285.
3. Sułek J.: Możliwości wykorzystania laserów w protetyce stomatologicznej. Por. Stomatol., 2010, X, 4, 139-143.
4. Milonni, P.W., Eberly J.H.: Laser Physics [w:] John Wiley & Sons, Inc., Hoboken, New Jersey 2010, 38-40.
5. de Freitas P.M., Simoes A.: Lasers in Dentistry: Guide for Clinical Practice. Mosby, Saint Louis 2015, 15-16.
6. Romanos G., Nentwig G.H.: Diode laser (980 nm) in oral and maxillofacial surgical procedures, clinical observations based on clinical applications. J. Clin. Laser Med. Surg., 1999, 17, 193-197.
7. Eriksson A.R., Albrektsson T.: Temperature threshold levels for heat-induced bone tissue injury, a vital-microscopic study in the rabbit. J. Prosthet. Dent., 1983, 50, 101-107.
8. Eriksson A.R., Albrektsson T., Magnusson B.: Assessment of bone viability after heat trauma. A histological, histochemical and vital microscopic study in the rabbit. Scand. J. Plast. Recons., 1984, 18, 261-268.
9. Szporek B., Pogorzelska-Stronczak B., Sczurek Z.: Patomorfologia rozrostowo-przerostowych zmian błony śluzowej jamy ustnej wywołanych ruchomymi protezami zębowymi. Czas. Stomatol., 1994, 47, 6, 419-422.
10. Pogrel MA., The carbon dioxide laser in soft tissue preprosthetic surgery. J. Prosthet. Dent., 1989, 61, 203-208
11. Atkinson T.J.: Fundamentals of carbon dioxide laser. Laser applications in oral and maxillofacial surgery, 2 nd ed. Elsevier Publications, New York 2000.