Dostęp do tego artykułu jest płatny.
Zapraszamy do zakupu!
Cena: 12.50 PLN (z VAT)
Kup artykuł
Po dokonaniu zakupu artykuł w postaci pliku PDF prześlemy bezpośrednio pod twój adres e-mail.
Streszczenie
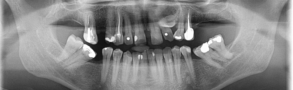
Wstęp. W przypadku zatrzymania zęba w kości zaleca się ortodontyczne sprowadzenie go do łuku. Czynnikami powodzenia są: prawidłowa anatomia zęba, wystarczająco duża ilość miejsca w łuku oraz położenie w kości, które umożliwia przeprowadzenie takiego leczenia. W sytuacjach niekorzystnych jedną z metod może być usunięcie zatrzymanego zęba i zaplanowanie w jego miejscu implantu zębowego.
Opis przypadku. U 55-letniej pacjentki na podstawie badania tomografii stożkowej stwierdzono zatrzymany ząb 23 o nieprawidłowym kształcie i położeniu w poprzek łuku na szczycie wyrostka zębodołowego, co uniemożliwiało sprowadzenie go do jamy ustnej. W związku z tym zaplanowano jego usunięcie z jednoczesną augmentacją wyrostka zębodołowego allogennym blokiem kostnym z następczym leczeniem ortodontycznym, w celu odtworzenia luki pod implant w miejscu 23.
Zakwalifikowany do ekstrakcji zatrzymany ząb 23 został usunięty; jednocześnie wykonano augmentację kości wyrostka zębodołowego przy użyciu allogennego sterylizowanego radiacyjnie bloku kostnego. Po upływie pół roku rozpoczęto leczenie ortodontyczne, którego efektem było uzyskanie luki pod zaplanowany wcześniej wszczep kostny.
Po półtorarocznym leczeniu ortodontycznym osadzono koronę protetyczną na wszczepie wprowadzonym w ortodontycznie przygotowaną lukę w miejscu zęba 23.
Wyniki. Postępowanie w trudnych przypadkach zatrzymanych kłów ma zawsze charakter leczenia interdyscyplinarnego, które może dać dobre wyniki przy prawidłowym planowaniu oraz odpowiednio przeprowadzonych procedurach leczniczych.
Abstract
Introduction. Permanent tooth retained in the jaw bone is recommended to be orthodontically brought into the dental arch. The requirements for such successful treatment are: proper tooth anatomy, sufficient space in the dental arch and sufficient access to the tooth. In some challenging cases though one of the treatment method can be tooth removal and implant placement.
Case study. A 55 y.o. female patient during CBCT examination was diagnosed with a detained tooth 23. The tooth had abnormal shape and was located perpendicularly on the alveolar crest which made impossible to orthodontically position it into the dental arch. Therefore the treatment plan was to surgically remove the tooth, do immediate ridge augmentation with an allogenic bone block and later on apply orthodontic forces to make sufficient space for an implant supported crown in position 23. The plan was carried out and after 6 months orthodontic treatment started which resulted in crown placement on an implant in the position 23 after next 18 months.
Results. Treatment of challenging detained teeth cases requires always interdisciplinary approach and thorough planning and clinical action which can give expected good results.
Hasła indeksowe: ortodontyczne leczenie zatrzymanych kłów, augmentacja blokiem kostnym allogennym, zatrzymany ząb
Key words: orthodontic treatment of impacted canine, bone block augmentation, impacted canine
PIŚMIENNICTWO
Wstęp. W przypadku zatrzymania zęba w kości zaleca się ortodontyczne sprowadzenie go do łuku. Czynnikami powodzenia są: prawidłowa anatomia zęba, wystarczająco duża ilość miejsca w łuku oraz położenie w kości, które umożliwia przeprowadzenie takiego leczenia. W sytuacjach niekorzystnych jedną z metod może być usunięcie zatrzymanego zęba i zaplanowanie w jego miejscu implantu zębowego.
Opis przypadku. U 55-letniej pacjentki na podstawie badania tomografii stożkowej stwierdzono zatrzymany ząb 23 o nieprawidłowym kształcie i położeniu w poprzek łuku na szczycie wyrostka zębodołowego, co uniemożliwiało sprowadzenie go do jamy ustnej. W związku z tym zaplanowano jego usunięcie z jednoczesną augmentacją wyrostka zębodołowego allogennym blokiem kostnym z następczym leczeniem ortodontycznym, w celu odtworzenia luki pod implant w miejscu 23.
Zakwalifikowany do ekstrakcji zatrzymany ząb 23 został usunięty; jednocześnie wykonano augmentację kości wyrostka zębodołowego przy użyciu allogennego sterylizowanego radiacyjnie bloku kostnego. Po upływie pół roku rozpoczęto leczenie ortodontyczne, którego efektem było uzyskanie luki pod zaplanowany wcześniej wszczep kostny.
Po półtorarocznym leczeniu ortodontycznym osadzono koronę protetyczną na wszczepie wprowadzonym w ortodontycznie przygotowaną lukę w miejscu zęba 23.
Wyniki. Postępowanie w trudnych przypadkach zatrzymanych kłów ma zawsze charakter leczenia interdyscyplinarnego, które może dać dobre wyniki przy prawidłowym planowaniu oraz odpowiednio przeprowadzonych procedurach leczniczych.
Abstract
Introduction. Permanent tooth retained in the jaw bone is recommended to be orthodontically brought into the dental arch. The requirements for such successful treatment are: proper tooth anatomy, sufficient space in the dental arch and sufficient access to the tooth. In some challenging cases though one of the treatment method can be tooth removal and implant placement.
Case study. A 55 y.o. female patient during CBCT examination was diagnosed with a detained tooth 23. The tooth had abnormal shape and was located perpendicularly on the alveolar crest which made impossible to orthodontically position it into the dental arch. Therefore the treatment plan was to surgically remove the tooth, do immediate ridge augmentation with an allogenic bone block and later on apply orthodontic forces to make sufficient space for an implant supported crown in position 23. The plan was carried out and after 6 months orthodontic treatment started which resulted in crown placement on an implant in the position 23 after next 18 months.
Results. Treatment of challenging detained teeth cases requires always interdisciplinary approach and thorough planning and clinical action which can give expected good results.
Hasła indeksowe: ortodontyczne leczenie zatrzymanych kłów, augmentacja blokiem kostnym allogennym, zatrzymany ząb
Key words: orthodontic treatment of impacted canine, bone block augmentation, impacted canine
PIŚMIENNICTWO
- Thilander B., Jakobsson S.O.: Local factors in impaction of maxillary canines. Acta Odontol. Scand., 1968, 26, 145-168.
- Grover P.S., Lorton L.: The incidence of unerupted permanent teeth and related clinical cases. Oral Surg. Oral Med. Oral Pathol., 1985, 59, 420-425.
- Ericson S., Kurol J.: Radiographic assessment of maxillary canine eruption in children with clinical signs of eruption disturbance. J. Orthod., 1986, 8, 133-140.
- Lindauer S.J. i wsp.: Canine impaction identified early with panoramic radiographs. Am. Dent. Assoc., 1992, 123, 91-92, 95-97.
- Dalessandri D. i wsp.: Impacted and transmigrant mandibular canines incidence, aetiology, and treatment: a systematic review. J. Orthod., 2017, 39, 2, 161-169.
- Krasny M., Krasny K.: Zatrzymany kieł przyczyną nawracającego ropnia. Mag. Stomatol., 2009, 19, 7-8, 62-66.
- Becker A., Chaushu S.: Etiology of maxillary canine impaction: a review. J. Orthod. Dentofacial Orthop., 2015, 148, 4, 557-567.
- Ucar F. i wsp.: Effects of impacted maxillary canines on root resorption of lateral incisors: A cone beam computed tomography study. Orofac. Orthop., 2017, 78, 3, 233-240.
- Becker A., Abramovitz I., Chaushu S.: Failure of treatment of impacted canines associated with invasive cervical root resorption. Angle Orthod., 2013, 83, 5, 870-876.
- Grisar K. i wsp.: Long-term outcome of autogenously transplanted maxillary canines. Exp. Dent. Res., 2019, 5, 1, 67-75.