Dostęp do tego artykułu jest płatny.
Zapraszamy do zakupu!
Cena: 12.50 PLN (z VAT)
Kup artykuł
Po dokonaniu zakupu artykuł w postaci pliku PDF prześlemy bezpośrednio pod twój adres e-mail.
Streszczenie
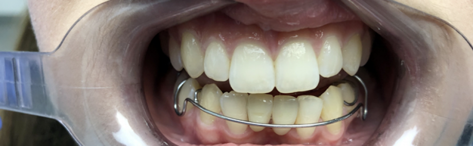
W artykule opisano przypadek zwichnięcia czterech zębów w żuchwie. Dwa z nich replantowano po upływie 12 godzin od zdarzenia (przed zabiegiem były przechowywane w roztworze soli fizjologicznej). Pozostałe dwa zostały odnalezione dopiero po 20 godzinach. Ponieważ nie były właściwie zabezpieczone, zrezygnowano z próby replantacji.
Abstract
In the study author describes a case of avulsion of four teeth in the mandible. Twelve hours after accident two of them were replanted. During this period teeth were stored in physiological salt solution. Other two teeth weren’t found immediately, but after twenty hours, they weren’t stored in a protective environment, that’s why the attempt of replantation was abandoned.
Hasła indeksowe: wybicie zęba, replantacja, leczenie endodontyczne
Key words: avulsion of tooth, replantation, endodontic treatment
PIŚMIENNICTWO
1. Szpringer-Nodzak M. (red.): Urazy zębów u dzieci i młodzieży. Wyd. 2. Wyd. Czelej, Lublin 1999.
2. Andreasen J.O. i wsp.: Pourazowe uszkodzenia zębów. Kaczmarek U. (tłum. i red.). Wyd. 2 pol. Elsevier Urban & Partner. Wrocław 2012, 52.
3. Steciuk A., Emerich K.: Urazy zębów – przegląd wytycznych postępowania na podstawie piśmiennictwa oraz opisu przypadków. Ann. Acad. Med. Gedan., 2016, 46, 65-74.
4. Jarząbek A. i wsp.: Replantacja zębów – błędy i niepowodzenia na podstawie opisu przypadków. Mag. Stomatol., 2016, 26, 12, 12-19.
5. Piotrowska M.: Replantacja zębów stałych – postępowanie. Czas. Stomatol., 2002, 60, 10, 668-676.
6. Dental Trauma Guide, http://dentaltraumaguide.org [dostęp: 13.03.2019].
7. Fortuniak A., Szczepańska J.: Późna replantacja zęba siecznego stałego – opis przypadku. Porad. Stomatol., 2008, 3, 69-72.
W artykule opisano przypadek zwichnięcia czterech zębów w żuchwie. Dwa z nich replantowano po upływie 12 godzin od zdarzenia (przed zabiegiem były przechowywane w roztworze soli fizjologicznej). Pozostałe dwa zostały odnalezione dopiero po 20 godzinach. Ponieważ nie były właściwie zabezpieczone, zrezygnowano z próby replantacji.
Abstract
In the study author describes a case of avulsion of four teeth in the mandible. Twelve hours after accident two of them were replanted. During this period teeth were stored in physiological salt solution. Other two teeth weren’t found immediately, but after twenty hours, they weren’t stored in a protective environment, that’s why the attempt of replantation was abandoned.
Hasła indeksowe: wybicie zęba, replantacja, leczenie endodontyczne
Key words: avulsion of tooth, replantation, endodontic treatment
PIŚMIENNICTWO
1. Szpringer-Nodzak M. (red.): Urazy zębów u dzieci i młodzieży. Wyd. 2. Wyd. Czelej, Lublin 1999.
2. Andreasen J.O. i wsp.: Pourazowe uszkodzenia zębów. Kaczmarek U. (tłum. i red.). Wyd. 2 pol. Elsevier Urban & Partner. Wrocław 2012, 52.
3. Steciuk A., Emerich K.: Urazy zębów – przegląd wytycznych postępowania na podstawie piśmiennictwa oraz opisu przypadków. Ann. Acad. Med. Gedan., 2016, 46, 65-74.
4. Jarząbek A. i wsp.: Replantacja zębów – błędy i niepowodzenia na podstawie opisu przypadków. Mag. Stomatol., 2016, 26, 12, 12-19.
5. Piotrowska M.: Replantacja zębów stałych – postępowanie. Czas. Stomatol., 2002, 60, 10, 668-676.
6. Dental Trauma Guide, http://dentaltraumaguide.org [dostęp: 13.03.2019].
7. Fortuniak A., Szczepańska J.: Późna replantacja zęba siecznego stałego – opis przypadku. Porad. Stomatol., 2008, 3, 69-72.