Streszczenie
Cel pracy. Badanie miało na celu sprawdzenie umiejętności rozpoznania zębów ludzkich i różnicowania obrazu radiologicznego materiałów stomatologicznych na zdjęciach rentgenowskich przez anglojęzycznych studentów drugiego roku, rozpoczynających naukę radiologii na kierunku lekarsko-dentystycznym.
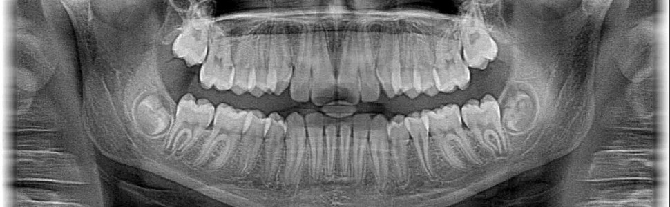
Metoda. Studentom dwukrotne zaprezentowano (w odstępie 5 tygodni) 14 zdjęć rentgenowskich oraz przeprowadzono anonimową ankietę mającą na celu przyporządkowanie dwóch odpowiedzi do każdego badania.
Wyniki. Dla większości studentów najłatwiejsze okazało się rozpoznanie zęba rekina i stałych zębów ludzkich. Zdjęcia psich oraz ludzkich zębów mlecznych stanowiły większy problem, a najtrudniejsze było właściwe rozpoznanie zębów wykonanych z materiałów sztucznych.
Wnioski. Na początku nauki radiologii studenci wykazali największe problemy z rozpoznawaniem materiałów stomatologicznych na zdjęciach rentgenowskich. W ciągu 5 tygodni nauki przedmiotu zauważono poprawę w umiejętności różnicowania zębów ludzkich od innych obrazów.
Abstract
Aim of study. The purpose of the study was to test the ability to recognize human teeth and differentiate radiological images of dental materials on X-rays by English division students starting their second year of dental studies.
Method. Presentation of fourteen radiological images twice, with five-week interval and filling an anonymous questionnaire, assigning two answers to each X-ray.
Results. The better part of students identify the shark tooth and human permanent teeth. The X-rays of dog’s milk tooth and human milk teeth was a problem, the most difficult was the proper diagnosis of artificial teeth.
Conclusions. At the beginning of the radiology course students it was most difficult to identify radiological image of dental materials. An improvement in the ability to differentiate human teeth with other images was noted within 5 weeks of course.
Hasła indeksowe: ankieta, radiologia, anatomia zębów, cieniowanie
Key words: questionnaire, radiology, dental anatomy, density
PIŚMIENNICTWO
1. Różyło-Kalinowska I., Różyło T.K.: ABC radiografii i radiologii stomatologicznej. Wydawnictwo Czelej, Lublin 2016, 3-8.
2. Różyło-Kalinowska I., Różyło T.K.: Współczesna radiologia stomatologiczna. Wydawnictwo Czelej, Lublin, 2012, 20-29.
3. Pekkan G.: Radiopacity of dental materials: an overview. Avicenna J. Dent. Res., 2016, 8, 8-8.
4. Gu S. i wsp.: Radiopacity of dental materials using a digital X-ray system. Dent. Mater., 2006, 22, 765-770.
5. Lachowski K.M. i wsp.: Study of the radioopacity of base and liner dental materials using a digital radiography system. Dentomaxillofac. Radiol., 2013, 42, 20120153.
6. Hitij T., Fidler A.: Radiopacity of dental restorative materials. Clin. Oral Investig., 2013, 17, 1167-1177.
7. Dukic W. i wsp.: Radiopacity of composite dental materials using a digital X-ray system. Dent. Mater. J., 2012, 31, 47-53.
Analiza umiejętności różnicowania obrazów radiologicznych zębów przez przyszłych lekarzy dentystów – badanie pilotażowe
Artykuły w wolnym dostępie
- Zastosowanie kompozytów w bezpośredniej odbudowie zębów przednich po urazie
- Błędy diagnostyczne oraz techniczne w leczeniu stomatologicznym – studium wybranych przypadków
- Technika Injection Flowable i technika stempla. Odbudowa zębów w odcinku bocznym
- Bezpośrednia licówka kompozytowa w odcinku przednim wykonana z użyciem uniwersalnego kompozytu typu…
- Augmentacja boczna wąskich wyrostków zębodołowych z zastosowaniem dwufazowego siarczanu wapnia –…