Dostęp do tego artykułu jest płatny.
Zapraszamy do zakupu!
Cena: 12.50 PLN (z VAT)
Kup artykuł
Po dokonaniu zakupu artykuł w postaci pliku PDF prześlemy bezpośrednio pod twój adres e-mail.
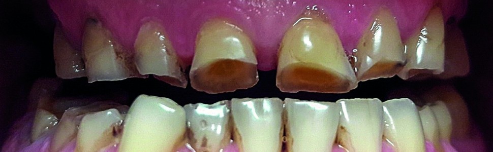
Tooth wear – contemporary dental problem
Helena Topolewska, Wojciech Kondrat, Anna Stocka, Teresa Sierpińska
Streszczenie
Starcie zębów jest często występującym problemem, z którym pacjenci zgłaszają się do gabinetu stomatologicznego. W artykule opisano zróżnicowany charakter starcia zębów oraz najczęstsze przyczyny jego powstawania.
Abstract
Teeth wear as a frequently occurring problem with which patients apply to dental offices. The article describes different nature of teeth wear and the most common causes of its formation.
Hasła indeksowe: starcie zębów, erozja, abfrakcja, abrazja, bruksizm
Key words: teeth wear, erosion, abfraction, abrasion, bruxism
PIŚMIENNICTWO
1. Majewski S.: Współczesna protetyka stomatologiczna. Podstawy teoretyczne i praktyka kliniczna. Patologiczne stracie zębów. Elsevier Urban & Partner, Wrocław 2014, 3-6, 303-314.
2. Panek H.: Propozycja holistycznej koncepcji układu stomatognatycznego. Protet. Stomatol., 2002, 4, 191-194.
3. Sierpińska T.: Ocena wybranych czynników etiologicznych patologicznego starcia zębów. Zasady rehabilitacji protetycznej pacjentów z zaawansowanym starciem zębów w świetle badań własnych. Rozprawa habilitacyjna. Uniwersytet Medyczny, Białystok 2009.
4. Barlett D.W.: Retrospective long term monitoring of tooth wear using study models. Br. Dent. J., 2003, 194, 211-213.
5. Barlett D.W. i wsp.: Dental erosion: a presenting feature of gastro-oesophegeal reflux disease. Eur. J. Gastroenterol. Hepatol., 1994, 6, 895-900.
6. Dahl B.L., Carlsson G.E., Ekfeldt A.: Occlussal wear of teeth and restorative materials. A review of classification, etiology, mechanisms and some aspects of restorative procedures. Acta Odontol. Scand., 1993, 51, 299-311.
7. Masłowska M. i wsp.: Przyczyny starcia patologicznego zębów i rehabilitacja protetyczna pacjenta z postępującą, zaawansowaną atrycją. Opis przypadku. Mag. Stomatol., 2012, XXII, 3, 34-41.
8. Smith B.G., Knight J.K.: An index for measuring the wear of teeth. Br. Dent. J., 1984, 156, 435-438.
9. Carvalho T.S. i wsp.: Erozja zębów – diagnostyka i leczenie: Raport European Federation of Conservative Dentistry. Med. Prakt. Stomatol., 2015, 4, 17-22.
10. Loomans B. i in.: Zaawansowana utrata tkanek twardych: europejskie ustalenia konsensusowe oraz wytyczne dotyczące leczenia. Quintessence dla lekarzy stomatologów 2018; 4: 196-207.
11. Almeida e Silva J. S., Baratieri L. N., Araujo E., Widmer N.: Dental erosion: understanding this pervasive condition. Journal of Esthetic and Restorative Dentistry, 2011; 23: 2015-2016.
12. Pihut M.: Etiologia patologicznego starcia zębów. Por. Stomatol., 2003, 5, 23-26.
13. Becker M.I.: Okluzja w praktyce stomatologicznej, wydanie polskie pod red. G. Śmiech-Słomkowskiej. Elsevier Urban & Partner, Wrocław 2013, 1.
14. Piątowska D.: Kariologia współczesna. Postępowanie kliniczne. Med. Tour Press Int., Otwock 2009, 347-365.
15. Hryncewicz M., Tropak K.: Ubytki niepróchnicowego pochodzenia – abfrakcja, abrazja, atrycja, erozja. Przegląd piśmiennictwa, Nowa Stomatol., 2014, 1, 46-52.
16. Okeson J.P.: Leczenie dysfunkcji narządu żucia i zaburzeń zwarcia. Wydanie polskie pod red. W. Drobka. Wydawnictwo Czelej, Lublin 2005, 137-165, 207-211, 252-258.
17. Koeck B.: Zaburzenia czynnościowe narządu żucia. Wydanie polskie pod red. T. Maślanka. Wydawnictwo Urban & Partner, Wrocław 1997, 21-25, 56-68, 98-105.
18. Wassell R. i wsp.: Okluzja w praktyce. Wydawnictwo Kwintesencja, Warszawa 2012, 19-31.
19. Bernhardt O., Meyer G.: Prowadzenie sieczno-kłowe: sprawdzona koncepcja okluzji czy tylko forma okluzyjnego wzorca prowadzenia? Quintessence dla lekarzy stomatologów, 2017, 1, 44-50.
20. Mierzwińska-Nastalska E.: Diagnostyka układu ruchowego narządu żucia. Zasady rekonstrukcji zwarcia. Med. Tour Press Int., Warszawa 2009, 57-89.
21. Meyer G., Asselmeyer T., Bernhardt O.: Leczenie z wykorzystaniem szyn okluzyjnych. Quintessence dla lekarzy stomatologów, 2016, 1, 32-43.
22. Jurkowski P., Kostrzewa-Janicka J., Mierzwińska-Nastalska E.: Bruksizm – patologia, zaburzenie czy zjawisko fizjologiczne? Przegląd piśmiennictwa. Część I – definicja, epidemiologia i diagnostyka bruksizmu. Protet. Stomatol., 2015, LXIII, 6, 450-458.
23. AASM. International Classification of Sleep Disorders. 2nd edition. Wetchester: American Academy of Sleep Medicine 2005.
24. Klasser G.D., Rei N., Lavigne G.J.: Bruksizm w czasie snu – ewolucja paradygmatu. Med. Prakt. Stomatol., 2016, 1, 34-40.
25. Spiechowicz E.: Protetyka stomatologiczna. Podręcznik dla studentów. Wyd. VI. Wydawnictwo Lekarskie PZWL, Warszawa 2015, 594-613.
26. Osiewicz M.A., Loster B.W.: Koncepcja dynamicznego leczenia starcia patologicznego zębów u pacjentów z bruksizmem. Opis przypadku. Protet. Stomatol., 2012, LXII, 2, 121-127.
27. Ziółkowska-Kochan M. i in.: Bruksizm – problem interdyscyplinarny. Czas. Stomatol., 2007, LX, 6, 391-397.
28. Majewski S.W.: Gnatofizjologia stomatologiczna. Normy okluzji i funkcje układu stomatognatycznego. Wydawnictwo Lekarskie PZWL, Warszawa 2009, 18-31.
29. Cameron A.C., Widmer R.P.: Stomatologia dziecięca. Wydanie drugie polskie pod red. U. Kaczmarek. Wydawnictwo Elsevier Urban & Partner, Wrocław 2013, 276-278, 330-332.
30. Pawlaczyk-Kamieńska T.: Parafunkcje i dysfunkcje narządu żucia u osób w wieku rozwojowym. Stomatol. Współcz., 2015, 22, 6, 2015, 65-69.
31. Walerczyk A., Paszyńska E., Surdacka A.: Utrata twardych tkanek zębów niepróchnicowego pochodzenia w aspekcie erozji. Dental Forum 2015, XLIII, 1, 89-96.
32. Szpringer-Nodzak M., Wochna-Sobańska M.: Stomatologia wieku rozwojowego. Wyd
Helena Topolewska, Wojciech Kondrat, Anna Stocka, Teresa Sierpińska
Streszczenie
Starcie zębów jest często występującym problemem, z którym pacjenci zgłaszają się do gabinetu stomatologicznego. W artykule opisano zróżnicowany charakter starcia zębów oraz najczęstsze przyczyny jego powstawania.
Abstract
Teeth wear as a frequently occurring problem with which patients apply to dental offices. The article describes different nature of teeth wear and the most common causes of its formation.
Hasła indeksowe: starcie zębów, erozja, abfrakcja, abrazja, bruksizm
Key words: teeth wear, erosion, abfraction, abrasion, bruxism
PIŚMIENNICTWO
1. Majewski S.: Współczesna protetyka stomatologiczna. Podstawy teoretyczne i praktyka kliniczna. Patologiczne stracie zębów. Elsevier Urban & Partner, Wrocław 2014, 3-6, 303-314.
2. Panek H.: Propozycja holistycznej koncepcji układu stomatognatycznego. Protet. Stomatol., 2002, 4, 191-194.
3. Sierpińska T.: Ocena wybranych czynników etiologicznych patologicznego starcia zębów. Zasady rehabilitacji protetycznej pacjentów z zaawansowanym starciem zębów w świetle badań własnych. Rozprawa habilitacyjna. Uniwersytet Medyczny, Białystok 2009.
4. Barlett D.W.: Retrospective long term monitoring of tooth wear using study models. Br. Dent. J., 2003, 194, 211-213.
5. Barlett D.W. i wsp.: Dental erosion: a presenting feature of gastro-oesophegeal reflux disease. Eur. J. Gastroenterol. Hepatol., 1994, 6, 895-900.
6. Dahl B.L., Carlsson G.E., Ekfeldt A.: Occlussal wear of teeth and restorative materials. A review of classification, etiology, mechanisms and some aspects of restorative procedures. Acta Odontol. Scand., 1993, 51, 299-311.
7. Masłowska M. i wsp.: Przyczyny starcia patologicznego zębów i rehabilitacja protetyczna pacjenta z postępującą, zaawansowaną atrycją. Opis przypadku. Mag. Stomatol., 2012, XXII, 3, 34-41.
8. Smith B.G., Knight J.K.: An index for measuring the wear of teeth. Br. Dent. J., 1984, 156, 435-438.
9. Carvalho T.S. i wsp.: Erozja zębów – diagnostyka i leczenie: Raport European Federation of Conservative Dentistry. Med. Prakt. Stomatol., 2015, 4, 17-22.
10. Loomans B. i in.: Zaawansowana utrata tkanek twardych: europejskie ustalenia konsensusowe oraz wytyczne dotyczące leczenia. Quintessence dla lekarzy stomatologów 2018; 4: 196-207.
11. Almeida e Silva J. S., Baratieri L. N., Araujo E., Widmer N.: Dental erosion: understanding this pervasive condition. Journal of Esthetic and Restorative Dentistry, 2011; 23: 2015-2016.
12. Pihut M.: Etiologia patologicznego starcia zębów. Por. Stomatol., 2003, 5, 23-26.
13. Becker M.I.: Okluzja w praktyce stomatologicznej, wydanie polskie pod red. G. Śmiech-Słomkowskiej. Elsevier Urban & Partner, Wrocław 2013, 1.
14. Piątowska D.: Kariologia współczesna. Postępowanie kliniczne. Med. Tour Press Int., Otwock 2009, 347-365.
15. Hryncewicz M., Tropak K.: Ubytki niepróchnicowego pochodzenia – abfrakcja, abrazja, atrycja, erozja. Przegląd piśmiennictwa, Nowa Stomatol., 2014, 1, 46-52.
16. Okeson J.P.: Leczenie dysfunkcji narządu żucia i zaburzeń zwarcia. Wydanie polskie pod red. W. Drobka. Wydawnictwo Czelej, Lublin 2005, 137-165, 207-211, 252-258.
17. Koeck B.: Zaburzenia czynnościowe narządu żucia. Wydanie polskie pod red. T. Maślanka. Wydawnictwo Urban & Partner, Wrocław 1997, 21-25, 56-68, 98-105.
18. Wassell R. i wsp.: Okluzja w praktyce. Wydawnictwo Kwintesencja, Warszawa 2012, 19-31.
19. Bernhardt O., Meyer G.: Prowadzenie sieczno-kłowe: sprawdzona koncepcja okluzji czy tylko forma okluzyjnego wzorca prowadzenia? Quintessence dla lekarzy stomatologów, 2017, 1, 44-50.
20. Mierzwińska-Nastalska E.: Diagnostyka układu ruchowego narządu żucia. Zasady rekonstrukcji zwarcia. Med. Tour Press Int., Warszawa 2009, 57-89.
21. Meyer G., Asselmeyer T., Bernhardt O.: Leczenie z wykorzystaniem szyn okluzyjnych. Quintessence dla lekarzy stomatologów, 2016, 1, 32-43.
22. Jurkowski P., Kostrzewa-Janicka J., Mierzwińska-Nastalska E.: Bruksizm – patologia, zaburzenie czy zjawisko fizjologiczne? Przegląd piśmiennictwa. Część I – definicja, epidemiologia i diagnostyka bruksizmu. Protet. Stomatol., 2015, LXIII, 6, 450-458.
23. AASM. International Classification of Sleep Disorders. 2nd edition. Wetchester: American Academy of Sleep Medicine 2005.
24. Klasser G.D., Rei N., Lavigne G.J.: Bruksizm w czasie snu – ewolucja paradygmatu. Med. Prakt. Stomatol., 2016, 1, 34-40.
25. Spiechowicz E.: Protetyka stomatologiczna. Podręcznik dla studentów. Wyd. VI. Wydawnictwo Lekarskie PZWL, Warszawa 2015, 594-613.
26. Osiewicz M.A., Loster B.W.: Koncepcja dynamicznego leczenia starcia patologicznego zębów u pacjentów z bruksizmem. Opis przypadku. Protet. Stomatol., 2012, LXII, 2, 121-127.
27. Ziółkowska-Kochan M. i in.: Bruksizm – problem interdyscyplinarny. Czas. Stomatol., 2007, LX, 6, 391-397.
28. Majewski S.W.: Gnatofizjologia stomatologiczna. Normy okluzji i funkcje układu stomatognatycznego. Wydawnictwo Lekarskie PZWL, Warszawa 2009, 18-31.
29. Cameron A.C., Widmer R.P.: Stomatologia dziecięca. Wydanie drugie polskie pod red. U. Kaczmarek. Wydawnictwo Elsevier Urban & Partner, Wrocław 2013, 276-278, 330-332.
30. Pawlaczyk-Kamieńska T.: Parafunkcje i dysfunkcje narządu żucia u osób w wieku rozwojowym. Stomatol. Współcz., 2015, 22, 6, 2015, 65-69.
31. Walerczyk A., Paszyńska E., Surdacka A.: Utrata twardych tkanek zębów niepróchnicowego pochodzenia w aspekcie erozji. Dental Forum 2015, XLIII, 1, 89-96.
32. Szpringer-Nodzak M., Wochna-Sobańska M.: Stomatologia wieku rozwojowego. Wyd