Dostęp do tego artykułu jest płatny.
Zapraszamy do zakupu!
Cena: 12.50 PLN (z VAT)
Kup artykuł
Po dokonaniu zakupu artykuł w postaci pliku PDF prześlemy bezpośrednio pod twój adres e-mail.
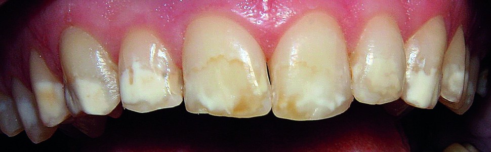
Enamel opacities – preventive and curative treatment with application of the infiltration technique and remineralization methods. Case reports
Karolina Polak‑Kowalska, Elżbieta Pels
Streszczenie
W ostatnich latach zaobserwowano wzrost częstości występowania wad szkliwa u dzieci i młodzieży. Biorąc pod uwagę rosnące wymagania estetyczne pacjentów, lekarze dentyści coraz częściej zmagają się z problemem leczenia tego typu zmian. Najczęstszymi zaburzeniami rozwojowymi szkliwa są nieprzezroczystości (zmętnienia). Obecność białych plam, szczególnie na zębach przednich, może wpływać na jakość życia pacjentów, dlatego istotne znaczenie ma wczesne rozpoznanie wady szkliwa oraz wybór odpowiedniej metody profilaktyczno-leczniczej. Celem tego artykułu jest opis pięciu przypadków pacjentów w wieku rozwojowym, u których wykorzystano metodę infiltracji żywicą wspomaganą remineralizacją w leczeniu nieprawidłowości rozwojowych szkliwa o charakterze zmętnień, i przedstawienie wyników leczenia z dwunastomiesięczną obserwacją.
Abstract
In recent years, it has been noted that there is an increasing incidence of enamel defects in children and adolescents. Given patients' increasing esthetical demands, dentists frequently face requests for treating of these types of lesions. The most common form of developmental defects of enamel are opacities. Enamel white spots lesions, especially on the front teeth, can impact patients' quality of life, therefore it is important to identify the enamel defect early and choose the appropriate preventive and therapeutic method. The purpose of this article is to provide a description cases of five patients in developmental age who have used the resin infiltration method supported by remineralisation in the treatment of developmental defects of enamel in the opacity type (opacities) and present clinical results with up to 12-month follow-up.
Hasła indeksowe: zaburzenia rozwojowe szkliwa, białe plamy, infiltracja żywicą
Key words: enamel development defects, white spot lesion, resin infiltration
PIŚMIENNICTWO
1. Olczak-Kowalczyk D., Szczepańska J., Kaczmarek U.: Współczesna stomatologia wieku rozwojowego. Wady rozwojowe tkanek zmineralizowanych zębów. Med Tour Press International, Otwock 2017, 153-172.
2. Clarkson J., O'Mullane D.: A modified DDE Index for use in epidemiological studies of enamel defects. J. Dent. Res., 1989, 68, 3, 445-450.
3. Shamsa S., Olczak-Kowalczyk D.: Postępowanie lecznicze w ciężkiej hipomineralizacji szkliwa – opis przypadku. Nowa Stomatol., 2015, 20, 4, 159-163.
4. Sobiech I. i wsp.: Wady szkliwa w zębach stałych u dzieci w różnych grupach wiekowych z regionu warszawskiego. Nowa Stomatol., 2000, 4, 13-17.
5. Benbachir N., Ardu S., Krejci I.: Wskazania i ograniczenia w zabiegach mikroabrazji. Quintessence Lek. Stomatol., 2008, 5, 16, 289-294.
6. Paris S. i wsp.: Penetration depths of an infiltrant into proximal caries lesions in primary molars after different application times application times in vitro. Int. J. Paediatr. Dent., 2012, 22, 5, 349-355.
7. Lee J. i wsp.: Evaluation of stain penetration by beverages in demineralized enamel treated with resin infiltration. Oper. Dent., 2016, 41, 1, 93-102.
8. Borges A.B. i wsp.: Is resin infiltration an effective esthetic treatment for enamel development defects and white spot lesions? A systematic review. J. Dent., 2017, 56, 11-18.
9. Attal J.P. i wsp.: White defects on enamel: diagnosis and anatomopathology: two essential factors for proper treatment (part 2). Int. Orthod., 2014, 12, 1-31.
10. Rocha Gomes Torres C. i wsp.: Effect of caries infiltration technique and fluoride therapy on the colour masking of white spot lesions. J. Dent., 2011, 39, 3, 202-207.
11. Denis M. i wsp.: White defects on enamel: diagnosis and anatomopathology: two essential factors for proper treatment (part 1). Int. Orthod., 2013, 11, 1, 139-165.
12. Paris S., Meyer-Lueckel H.: Masking of labial enamel white spot lesions by resin infiltration – a clinical report. Quintessence Int., 2009, 40, 9, 713-718.
13. Turska-Szybka A. i wsp.: Randomised clinical trial on resin infiltration and fluoride varnish vs fluoride varnish treatment only of smooth-surface early caries lesions in deciduous teeth. Oral Health Prev. Dent., 2016, 14, 6, 485-491.
14. Ekstrand K.R., Bakhshandeh A., Martgnon S.: Treatment of proximal superficial caries lesions on primary molar teeth with resin infiltration and fluoride varnish versus fluoride varnisch only: Efficacy after year. Caries Res., 2010, 44, 41-46.
Karolina Polak‑Kowalska, Elżbieta Pels
Streszczenie
W ostatnich latach zaobserwowano wzrost częstości występowania wad szkliwa u dzieci i młodzieży. Biorąc pod uwagę rosnące wymagania estetyczne pacjentów, lekarze dentyści coraz częściej zmagają się z problemem leczenia tego typu zmian. Najczęstszymi zaburzeniami rozwojowymi szkliwa są nieprzezroczystości (zmętnienia). Obecność białych plam, szczególnie na zębach przednich, może wpływać na jakość życia pacjentów, dlatego istotne znaczenie ma wczesne rozpoznanie wady szkliwa oraz wybór odpowiedniej metody profilaktyczno-leczniczej. Celem tego artykułu jest opis pięciu przypadków pacjentów w wieku rozwojowym, u których wykorzystano metodę infiltracji żywicą wspomaganą remineralizacją w leczeniu nieprawidłowości rozwojowych szkliwa o charakterze zmętnień, i przedstawienie wyników leczenia z dwunastomiesięczną obserwacją.
Abstract
In recent years, it has been noted that there is an increasing incidence of enamel defects in children and adolescents. Given patients' increasing esthetical demands, dentists frequently face requests for treating of these types of lesions. The most common form of developmental defects of enamel are opacities. Enamel white spots lesions, especially on the front teeth, can impact patients' quality of life, therefore it is important to identify the enamel defect early and choose the appropriate preventive and therapeutic method. The purpose of this article is to provide a description cases of five patients in developmental age who have used the resin infiltration method supported by remineralisation in the treatment of developmental defects of enamel in the opacity type (opacities) and present clinical results with up to 12-month follow-up.
Hasła indeksowe: zaburzenia rozwojowe szkliwa, białe plamy, infiltracja żywicą
Key words: enamel development defects, white spot lesion, resin infiltration
PIŚMIENNICTWO
1. Olczak-Kowalczyk D., Szczepańska J., Kaczmarek U.: Współczesna stomatologia wieku rozwojowego. Wady rozwojowe tkanek zmineralizowanych zębów. Med Tour Press International, Otwock 2017, 153-172.
2. Clarkson J., O'Mullane D.: A modified DDE Index for use in epidemiological studies of enamel defects. J. Dent. Res., 1989, 68, 3, 445-450.
3. Shamsa S., Olczak-Kowalczyk D.: Postępowanie lecznicze w ciężkiej hipomineralizacji szkliwa – opis przypadku. Nowa Stomatol., 2015, 20, 4, 159-163.
4. Sobiech I. i wsp.: Wady szkliwa w zębach stałych u dzieci w różnych grupach wiekowych z regionu warszawskiego. Nowa Stomatol., 2000, 4, 13-17.
5. Benbachir N., Ardu S., Krejci I.: Wskazania i ograniczenia w zabiegach mikroabrazji. Quintessence Lek. Stomatol., 2008, 5, 16, 289-294.
6. Paris S. i wsp.: Penetration depths of an infiltrant into proximal caries lesions in primary molars after different application times application times in vitro. Int. J. Paediatr. Dent., 2012, 22, 5, 349-355.
7. Lee J. i wsp.: Evaluation of stain penetration by beverages in demineralized enamel treated with resin infiltration. Oper. Dent., 2016, 41, 1, 93-102.
8. Borges A.B. i wsp.: Is resin infiltration an effective esthetic treatment for enamel development defects and white spot lesions? A systematic review. J. Dent., 2017, 56, 11-18.
9. Attal J.P. i wsp.: White defects on enamel: diagnosis and anatomopathology: two essential factors for proper treatment (part 2). Int. Orthod., 2014, 12, 1-31.
10. Rocha Gomes Torres C. i wsp.: Effect of caries infiltration technique and fluoride therapy on the colour masking of white spot lesions. J. Dent., 2011, 39, 3, 202-207.
11. Denis M. i wsp.: White defects on enamel: diagnosis and anatomopathology: two essential factors for proper treatment (part 1). Int. Orthod., 2013, 11, 1, 139-165.
12. Paris S., Meyer-Lueckel H.: Masking of labial enamel white spot lesions by resin infiltration – a clinical report. Quintessence Int., 2009, 40, 9, 713-718.
13. Turska-Szybka A. i wsp.: Randomised clinical trial on resin infiltration and fluoride varnish vs fluoride varnish treatment only of smooth-surface early caries lesions in deciduous teeth. Oral Health Prev. Dent., 2016, 14, 6, 485-491.
14. Ekstrand K.R., Bakhshandeh A., Martgnon S.: Treatment of proximal superficial caries lesions on primary molar teeth with resin infiltration and fluoride varnish versus fluoride varnisch only: Efficacy after year. Caries Res., 2010, 44, 41-46.