Resorpcja korzeni zębów sąsiadujących z zatrzymanym kłem – przegląd piśmiennictwa. Część I

Resorpcja korzeni zębów sąsiadujących z zatrzymanym kłem – przegląd piśmiennictwa. Część I

Dostęp do tego artykułu jest płatny.
Zapraszamy do zakupu!

Cena: 12.50 PLN (z VAT)

Po dokonaniu zakupu artykuł w postaci pliku PDF prześlemy bezpośrednio pod twój adres e-mail.

Kup artykuł

Resorption of the roots of teeth adjacent to the retained canine – review of the literature. Part I

Ewa Imiełowska, Agnieszka Richter, Małgorzata Świstek

Streszczenie
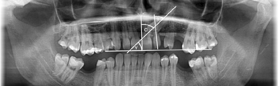
Wstęp. Kły szczęki stanowią drugie pod względem częstości zatrzymania zęby (1-3% populacji), zaraz po zębach trzonowych trzecich. Podczas ektopowego wyrzynania się kłów szczęki może dojść do resorpcji korzeni zębów sąsiednich, ankylozy kła i formowania się torbieli. Wykrywalność resorpcji zębów sąsiadujących z ektopowo wyrzynającym się kłem wzrastała na przestrzeni ostatnich lat z powodu częstszego wykorzystywania badania CBCT w diagnostyce radiologicznej. Resorpcja korzeni zębów sąsiadujących z wyrzynającym się ektopowo kłem szczęki dotyczy najczęściej zębów siecznych bocznych, osiągając różne wartości: od 7,7% do 66,7%.
Cel pracy. Praca ma na celu dokonanie przeglądu piśmiennictwa dotyczącego resorpcji korzeni zębów sąsiadujących z zatrzymanymi kłami, analizę czynników predysponujących do wystąpienia resorpcji i przedstawienie praktycznych wskazówek autorów minimalizujących ryzyko zatrzymania kła i wystąpienia możliwych powikłań.
Materiał i metodyka. Analizy piśmiennictwa dokonano za pomocą bazy internetowej PubMed. Zakwalifikowano 30 artykułów w pełnej wersji.
Wyniki. Płeć, wiek pacjentów i położenie podniebienno-policzkowe ektopowych kłów nie wpływają na wystąpienie resorpcji. Wyniki autorów dotyczące wpływu kształtu zęba siecznego bocznego bądź jego braku oraz kształtu i rozmiaru mieszka zębowego są podzielone. Przyczyną resorpcji jest kontakt pomiędzy wyrzynającym się kłem a sąsiednimi zębami oraz ucisk fizjologiczny pojawiający się podczas wyrzynania. 

Abstract
Introduction. Maxillary canines are the second most frequently impacted teeth (the prevalence ranges from 1 to 3% of the population), just after the third molars. Ectopic eruption of maxillary canines can cause different complications, such as: root resorption of adjacent teeth, ankylosis of the canine and formation of a cyst. Detection capability of root resorption of adjacent teeth during ectopic eruption of maxillary canines has been increasing over recent years because of more frequent use of CBCT for radiological diagnosis. Root resorption is the most common in lateral maxillary incisors, it reaches different values from 7.7% to 66.7%.
Aim of the study. The aim of the study was to review the literature on root resorption of adjacent teeth caused by impacted maxillary canines, analyze predisposing factors to this kind of resorption and provide practical guidance from authors, which can help minimize the risk of canine retention and the occurrence of possible complications.
Materials and methods. Electronic search was conducted through PubMed database. Analyzes of the found literature was made and 30 articles in the full version were qualified to use in this study.
Results and summary. Gender, age of patients and the palato-buccal localization of ectopic canines are not significant in the occurrence of resorption. The authors’ results regarding the influence of the shape or absence of the lateral incisor as well as the shape and size of the dental follicle are divided. Responsible for root resorption is the effect of contact between the impacted maxillary canine and the adjacent teeth and the active pressure caused by eruption.
 
Hasła indeksowe: zatrzymany kieł, resorpcja korzeni zębów siecznych, CBCT w ortodoncji
 
Key words: impacted canine, incisor root resorption, CBCT in orthodontics

PIŚMIENNICTWO
1. Walker L., Enciso R., Mah J.: Three-dimensional localization of maxillary canines with cone-beam computed tomography. Am. J. Orthod. Dentofacial Orthop., 2005,128, 4, 418-423.
2. Becker A., Chaushu S.,: Etiology of maxillary canine impaction: a review. Am. J. Orthod. Dentofacial Orthop., 2015, 148, 4, 557-667.
3. Chaushu S. i wsp., Predisposing factors for severe incisor root resorption associated with impacted maxillary canines. Am J Orthod Dentofacial Orthop. 2015;147(1):52-60.
4. Sajnani A.K.: Permanent maxillary canines – review of eruption pattern and local etiological factors leading to impaction. J. Investig. Clin. Dent., 2015, 6, 1, 1-7.
5. Cernochova P., Krupa P., Izakovicova-Holla L.: Root resorption associated with ectopically erupting maxillary permanent canines: a computed tomography study. Eur. J. Orthod., 2011, 33, 5, 483-491.
6. Strbac G.D. i wsp.: The prevalence of root resorption of maxillary incisors caused by impacted maxillary canines. Clin. Oral Investig., 2013, 17, 2, 553-564.
7. Ericson S., Kurol J.: Incisor root resorption due to ectopic maxillary canines imaged by computerized tomography: a compaative study in extract teeth. Angle Orthod., 2000, 70, 4, 276-283.
8. Ericson S., Kurol J.: Radiographic examination of ectopically erupting maxillary canines. Am. J. Orthod. Dentofacial Orthop., 1987, 91, 483-492.
9. Ericson S., Kurol J.: Resorption of maxillary lateral incisors caused by ectopic eruption of the canines. A clinical and radiographic analysis of predisposing factors. Am. J. Orthod. Dentofacial Orthop.,1988, 94, 503-513.
10. Ericson S., Kurol J.: Incisor resorption caused by maxillary cuspids. A radiographic study. Angle Orthod., 1987, 57, 332-346.
11. Da Silva Santos L.M. i wsp.: Cone-beam computed tomography findings of impacted upper canines. Imaging Sci. Dent., 2014, 44, 4, 287-292.
12. Ericson S., Kurol P.J.: Resorption of incisors after ectopic eruption of maxillary canines: a CT study. Angle Orthod., 2000,70, 6), 415-423.
13. Guarnieri R. i wsp.: Impacted maxillary canines and root resorption of adjacent teeth: a retrospective observational study. med. Oral Patol. Oral Cir. Bucal., 2016, 21, 6, 743-750.
14. Ucar F.I. i wsp.: Effects of impacted maxillary canines on root resorption of lateral incisors: a cone beam computed tomography study. J. Orofac. Orthop., 2017, 78, 3, 233-240.
15. Hadler-Olsen S. i wsp.: Root resorptions related to ectopic and normal eruption of maxillary canine teeth – a 3D study. Acta Odontol. Scand., 2015, 73, 8, 609-15.
16. Lai C.S. i wsp.: Impacted maxillary canines and root resorptions of neighbouring teeth: a radiographic analysis using cone-beam computed tomography. Eur. J. Orthod., 2013, 35, 4, 529-538.
17. Alqerban A. i wsp.: Predictors of root resorption associated with maxillary canine impaction in panoramic images. Eur. J. Orthod., 2016, 38, 3, 292-299.
18. Almuhtaseb E. i wsp.: Three-dimensional localization of impacted canines and root resorption assessment using cone beam computed tomography. J. Huazhong Univ. Sci. Technolog. Med. Sci., 2014, 34, 3, 425-430.
19. Paradowska-Stolarz A., Rzepecka-Skupień M., Szeląg J.: Diagnostyka zatrzymanych kłów górnych – na podstawie piśmiennictwa. Dent. Forum, 2014, 2, 69-75.
20. Syryńska M., Budzyńska A., Miedzik M.: Diagnostyka zatrzymanego kła górnego. Forum Ortod., 2006, 2, 5, 125-135.