Powikłania związane z zatrzymaniem zębów stałych

Powikłania związane z zatrzymaniem zębów stałych

Dostęp do tego artykułu jest płatny.
Zapraszamy do zakupu!

Cena: 12.50 PLN (z VAT)

Po dokonaniu zakupu artykuł w postaci pliku PDF prześlemy bezpośrednio pod twój adres e-mail.

Kup artykuł

Complication of permanent teeth impaction

Mansur Rahnama, Michał Łobacz, Wojciech Popowski, Klaudia Masłowska, Katarzyna Wieczorek

Streszczenie
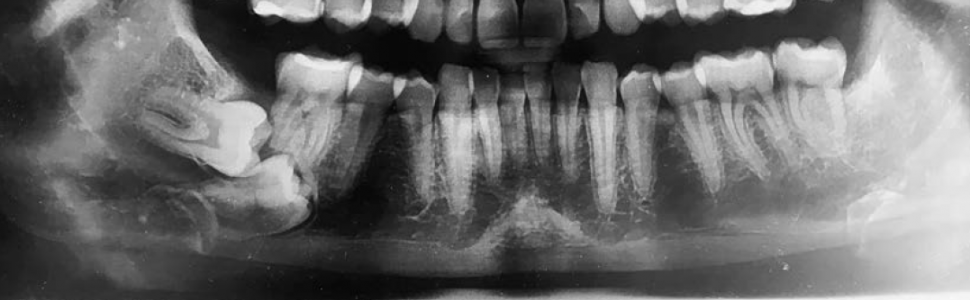
Zatrzymany ząb stały jest zębem, który nie wyrznął się w prawidłowej pozycji z powodu braku miejsca w łuku zębowym, niekorzystnego położenia lub innych czynników. Peterson podaje, że za ząb zatrzymany można uznać ząb, który nie pojawił się w jamie ustnej w określonym przez normy czasie. Wyrzynanie się zęba rozpoczyna się po uformowaniu ¾ długości jego korzeni. Zatrzymanie zębów jest zwykle diagnozowane po tym okresie i zazwyczaj przebiega bezobjawowo. I właśnie z tego powodu pacjenci zgłaszają się do leczenia później niż samo zaistnienie zjawiska. 

Abstract
A retained tooth is a tooth that has not erupted in the right position due to lack of space in the dental arch, its unfavourable location or other factors. Peterson states that a tooth that
has not appeared in the mouth within the time specified by the norm can be considered as a retained tooth. Teeth eruption begins after forming ¾ the length of its roots. Teeth retention is usually diagnosed after this period and usually occurs asymptomatically, therefore patients are seeking treatment very late or are not seeking treatment at all.


Hasła indeksowe: zatrzymanie zębów, torbiel zawiązkowa, resorpcja

Key words: teeth impaction, follicular cyst, resorption


PIŚMIENNICTWO
1. Peterson L.J. Principles of Management of Impacted Teeth. In: Peterson L.J., Ellis E. III, Hupp J.R., Tuker M.R. (ed.) Contemporary Oral and Maxillofacial Surgery, 3rd ed., Mosby, St. Louis1998, 215-248.
2. Andreasen J.O., Pindborg J.J., Hjorting-Hansen E., Axell T.: Oral health care: more than caries and periodontal disease. A survey of epidemiological studies on oral disease. Int. Dent. J., 1986, 36, 207-214.
3. Becker A.: Orthodontic treatment of impacted teeth. Wiley-Blackwell 2012, 1-9, 111-172.
4. Ryalat S., AlRyalat S.A., Kassob Z. i wsp.: Impaction of lower third molars and their association with age: radiological perspectives. BMC Oral Health, 2018, 18, 58. doi:10.1186/s12903-018-0519-1.
5. Conley R.S., Boyd S.B., Legan H.L. i wsp.: Treatment of a patient with multiple impacted teeth. Angle Orthod., 2007,77, 4, 735-741.
6. Grover P.S., Lorton L.: The incidence of unerupted permanent teeth and related clinical cases. Oral Surg. Oral Med. Oral Pathol., 1985, 59, 4, 420-425.
7. Matthews-Brzozowska T., Hojan-Jezierska D., Loba W. i wsp.:  Cleidocranial dysplasia-dental disorder treatment and audiology diagnosis. Open Med., 2018, 13, 1-8. doi:10.1515/med-2018-0001.
8. Arabion H., Gholami M., Dehghan H., Khalife H.: Prevalence of impacted teeth among young adults: A retrospective radiographic study. J. Dent. Mater. Tech., 2017, 6, 3, 131-137.
9. Chu F.C., Li T.K., Lui V.K. i wsp.:  Prevalence of impacted teeth and associated pathologies – a radiographic study of the Hong Kong Chinese population. Hong Kong Med. J., 2003, 9, 3, 158-163.
10. Mohammad Mehdizadeh, Sina Haghanifar, Maryam Seyedmajidi i wsp.:    Radiographic evaluation of impacted third molars and their complications in a group of  Iranian population. Journal of Research and Practice in Dentistry,  2014, 2014, Article ID 486120, doi: 10.5171/2014.486120.
11. Aitasalo K., Lehtinen R.,  Oksala E.: An orthopantomographic study of prevalence of impacted teeth. Int. J. Oral Surg., 1972, 1, 3, 117-122.
12. Sheikh, M.A., Riaz M., Shafiq S.: Incidence of distal caries in mandibular second molars due to impacted third molars – a clinical and radiographic study. Pakistan Oral & Dental Journal, 2012, 32, 3, 364-370.
13. Nordenram A., Hultin M., Kjellman O., Ramström G.: Indications for surgical removal of the mandibular third molar. Study of 2,630 cases. Swed. Dent. J., 1987, 11, 23-29.
14. McArdle L.W., Renton T.F.: Distal cervical caries in the mandibular second molar: an indication for the prophylactic removal of the third molar? Br. J. Oral Maxillofac. Surg., 2006, 44, 1, 42-45.
15. Dryl D. , Słowik-Sułkowski M., Szarmach J. i wsp.: Pathological external
 resorption caused by impacted tooth. Prog. Health Sci., 2015, 5, 2, 241-244.
16. Mayrink G., Ballista P.R., Kinderlly L. i wsp.: External root resorption
associated with impacted third molars : a case report. Journal of Oral Health and Craniofacial Science, 2017, 2, 043-048. https://doi.org/10.29328/journal.johcs.1001010
17. Rahnama M., Jastrzębska I., Jamrogiewicz R., Kiełbowicz D.: Resorpcja
 zewnętrzna wywołana uciskiem przez ząb dodatkowy. Opis przypadku.
 Mag Stomatol. ON LINE,  2012,10, 134-138.
18. Ericson S., Kurol J.: Radiographic examination of ectopically erupting maxillary canines. Am. J. Orthod. Dentofacial Orthop.,1987, 91, 483-492.
19.  Ericson S., Kurol J.: Incisor resorption caused by maxillary cuspids. A radiographic study. Angle Orthod., 1987, 57, 33-346.
20. Ericson S., Kurol P.J.: Resorption of incisors after ectopic eruption of maxillary canines: a CT study. Angle Orthod., 2000, 70, 415-423.
21. Walker L., Enciso R., Mah J.: Three-dimensional localization of maxillary canines with cone-beam computed tomography. Am. J. Orthod. Dentofacial Orthop., 2005,128, 418-423.
22. Guarnieri R., Cavallini C., Vernucci R. i wsp.: Impacted maxillary canines and root resorption of adjacent teeth: a retrospective observational study. Med. Oral Patol Oral Cir Bucal., 201, 21, 6, e743-e750.
23. Nemcovsky C.E., Libfeld H., Zubery Y.: Effect of non-erupted third molars on distal roots and supporting structures of approximal teeth. A radiographic survey of 202 cases. J. Clin. Periodontol., 1996, 23, 810-815.
24. Shetty M.R., DixitU.: Dentigerous cyst of inflammatory origin. Int.J. Clin. Pediatr. Dent., 2010, 3, 3, 195-198.
25. Narang R.S., Manchanda A.S., Arora P., Randhawa K.: Dentigerous cyst of inflammatory origin – a diagnostic dilemma. Ann. Diagn. Pathol., 2012, 16, 119-123.
26.  Main D.M.G.: The enlargement of epithelial jaw cyst. Odontol. Rev. 1970, 21, 29-49.
27. Aher V., Chander P.M., Chikkalingaiah R.G., Ali F.M.: Dentigerous cysts in four quadrants: a rare and first reported case. Journal of Surgical Technique and Case Report, 2013, 5, 1, 21-26. doi:10.4103/2006-8808.118607.
28.  Zhang L.L., Yang R., Zhang W. i wsp.: Dentigerous cyst: a retrospective clinicopathological analysis of 2082 dentigerous cyst in British Columbia, Canada. Int. J. Oral Maxillofac. Surg., 2010, 39, 878-882.  
29. Zapała-Pośpiech A., Wyszyńska-Pawelec G., Adamek D. i wsp.: Malignant transformation in the course of dentigerous cyst: a problem for clinician and a pathologist. Considerations based on a case report. Pol. J. Pathol., 2013, 1, 64-68.
30. Jain N., Gaur G., Chaturvedy V., Verma A.: Dentigerous cyst associated with impacted maxillary premolar: a rare site occurrence and a rare coincidence. Int. J. Clin. Pediatr. Dent., 2018, 11, 1, 50-52. doi:10.5005/jp-journals-10005-1483.
31. Bondemark L., Tsiopa J.. Prevalence of ectopic eruption, impaction, retention and agenesis of the permanent second molar. Angle Orthod., 2007, 77,  5, 773-778.
32. Magnusson C., Kjellberg H.: Impaction and retention of second molars: diagnosis, treatment and outcome. A retrospective follow-up study. Angle Orthod., 2009, 79, 3, 422-427.
33. Valmaseda-Castellón E., De-la-Rosa-Gay C., Gay-Escoda C.: Eruption disturbances of the first and second permanent molars: results of treatment in 43 cases. Am. J. Orthod. Dentofacial Orthop., 199, 116, 651-658.
34. Souki B.Q., Cheib P.L., de Brito G.M., Pinto L.S.M.C.: Maxillary second molar impaction in the adjacent ectopic third molar: report of five rare cases. Contemporary Clinical Dentistry, 2015, 6, 3, 421-424.
35. Shapira Y., Finkelstein T., Shpack N. i wsp.: Mandibular second molar impaction. Part I: Genetic traits and characteristics. Am. J. Orthod. Dentofacial Orthop., 2011, 140, 1, 32-37.
36. Shapira Y., Borell G., Nahlieli O., Kuftinec M.M.: Uprighting mesially impacted mandibular permanent second molars. Angle Orthod., 1998, 68, 2, 173-178.
37. Enache A.M., Nicolescu I., Georgescu C.E.: Mandibular second molar impaction treatment using skeletal anchorage. Rom. J. Morphol. Embryol., 2012, 53, 4, 1107-1110.
38. Evans R.: Incidence of lower second permanent molar impaction. Br. J. Orthod., 1988, 15,199-203.
39. Moloney J., Stassen L.F.A.:  Pericoronitis: treatment and a clinical dilemma. J. Ir. Dent. Assoc., 2009, 55, 4, 190-192.
40. Dhonge R.P., Zade R.M., Gopinath .V, Amirisetty R.: An Insight into pericoronitis. Int. J. Dent. Med. Res., 2015, 1, 6, 172-175.
41. Indira A.P., Kumar M., David M.P. i wsp.: Correlation of pericoronitis and the status of eruption of mandibular third molar: A clinic-radiographic study. J. Indian Acad. Oral Med. Radiol., 2013, 25, 112-115.
42. Gruszka K., Różyło T.K., Różyło-Kalinowska I. i wsp.: Transmigration of mandibular canine – case report. Polish Journal of Radiology, 2014, 79, 20-23.
43. Mazinis E., Zaferiaidis A., Karathanasis A. i wsp.: Transmigration of impacted canines: prevalence, management and implications on tooth structure and pulp vitality of adjacent teeth. Clin. Oral Investig., 2012, 16, 2, 625-632.
44. Mupparapu M.: Patterns of intra-osseus transmigration and ectopic eruption of mandibular canines: review of literature and report of nine additional cases. Dentomaxillofac. Radiol., 2002, 31, 355-360.
45. Plakwicz P., Zadurska M., Czochrowska E. i wsp.: Charakterystyka uzębienia pacjentów z transmigracją kła w żuchwie. Forum Ortod., 2017, 13, 5-14.
46. Metin M., Şener I., Tek M.: Impacted teeth and mandibular fracture. Eur. J. Dent., 2007, 1, 1, 18-20.
47. Fuselier J.C., Ellis E.E. 3rd, Dodson T.B.: Do mandibular third molars alter the risk of angle fracture? J. Oral Maxillofac. Surg., 2002, 60, 5, 514-518.
48. Tevepaugh D.B., Dodson T.B.: Are mandibular third molars a risk factors for angle fracture? A retrospective cohort study. J. Oral Maxillofac. Surg., 1995, 53, 646-649.
49. Cankaya A.B., Erdem M.A., Cakarer S. i wsp.: Iatrogenic mandibular fracture associated with third molar removal. International Journal of Medical Sciences, 2011, 8, 7, 547-553.
50. Pereira I.F., Santiago F.Z.M., Sette-Dias A.C., Noronha V.R.A de S.: Taking advantage of an unerupted third molar: a case report. Dental Press Journal of Orthodontics, 2017, 22, 4, 97-101.
51. Frank C.A.: Treatment options for impacted teeth. Journal of the American Dental Association, 2000, 131, 5, 623-632.
52. Santosh P.: Impacted mandibular third molars: review of literature and a proposal of a combined clinical and radiological classification. Annals of Medical and Health Sciences Research,  2015, 5, 4, 229-234.

 

poprzedni artykuł