Liliana Szyszka-Sommerfeld, Krzysztof Woźniak
Zakład Ortodoncji Pomorskiego Uniwersytetu Medycznego w Szczecinie
Praca recenzowana
ARTYKUŁ UKAZAŁ SIĘ W MS 12/2018
Nawyk ssania palca, zwłaszcza kciuka, przez dzieci jest najbardziej powszechny i powstaje najwcześniej. Jego następstwem w okresie uzębienia mlecznego mogą być takie nieprawidłowości, jak doprzednie przemieszczenie zębów siecznych górnych i dojęzykowe ustawienie zębów siecznych dolnych, znaczne zwężenie łuku górnego oraz zgryz otwarty w odcinku przednim (ryc. 1a-c). Jeśli nawyk ten zostanie wyeliminowany do czasu wyrznięcia się zębów siecznych stałych, większość niekorzystnych efektów zębowych i szkieletowych zazwyczaj jest odwracalna (2, 3). Rzadko istnieje konieczność zaplanowania i podjęcia leczenia ortodontycznego w celu korekty położenia przemieszczonych zębów mlecznych. Podobnie w przypadku zgryzów otwartych istnieje silna tendencja do samowyleczenia, w chwili gdy nawyk zanika. Uważa się, że do około 5. roku życia nawyki ssania nie powodują zazwyczaj długoterminowych wad u dzieci z prawidłowymi relacjami szkieletowymi szczęk, dlatego nie jest wskazane stosowanie aparatów ortodontycznych, aby wyleczyć całkowicie zgryz otwarty w okresie uzębienia mlecznego. Możliwe jest jednak, że zgryz otwarty jest spowodowany niezgodnością szkieletową przy długim typie twarzy, polegającą na zwiększeniu przedniej wysokości twarzy. U takich dzieci nie można liczyć na samoistną korektę zgryzu otwartego, jednak leczenie modyfikujące wzrost nie jest zalecane w okresie uzębienia mlecznego z powodu dużego prawdopodobieństwa, że powróci stosunkowo szybko po zaprzestaniu aktywnego leczenia (1).
W uzębieniu mlecznym stosunkowo często występują poprzeczne wady zgryzu, takie jak zgryz krzyżowy częściowy boczny na tle zwężenia łuku górnego. Przyczynami powstania tej wady mogą być oddychanie przez usta czy nawyki ssania, które powodują zwężenie łuku, zwłaszcza w okolicy kła mlecznego, a powstałe w konsekwencji przeszkody zgryzowe mogą powodować boczne czynnościowe przemieszczenie żuchwy. Warto pamiętać, że zgryz krzyżowy boczny jednostronny w uzębieniu mlecznym prawie zawsze powstaje na skutek symetrycznie wąskiej szczęki i zmian czynnościowych (przemieszczenia żuchwy w jedną stronę w celu uzyskania kontaktu zębów), a nie asymetrii zębowej czy szkieletowej. Zgryzy krzyżowe boczne, zwłaszcza z przemieszczeniem bocznym żuchwy, zdecydowanie powinny być leczone natychmiast po ich rozpoznaniu w okresie uzębienia mlecznego (1). Przedwczesne kontakty i nieskorygowane przemieszczenie żuchwy mogą prowadzić do asymetrycznych zmian w napięciu mięśni żucia, niepożądanej modyfikacji wzrostu tkanek miękkich, anomalii szkieletowych oraz ścierania się zębów mlecznych i stałych. Poza tym samo przemieszczenie żuchwy komplikuje proces diagnostyczny, utrudniając określenie stosunków międzyszczękowych, a w wąskiej szczęce jest mniej miejsca dla zębów (1, 4-6).
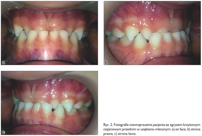
Często wystarczającą metodą leczenia jest opiłowanie kłów mlecznych w celu uniknięcia niepożądanych kontaktów i przeszkód zgryzowych oraz wyeliminowania przemieszczenia żuchwy. W sytuacji gdy występuje niewielka odległość międzykłowa i międzytrzonowcowa, zaleca się poszerzenie szczęki na drodze rozbudowy łuku górnego. Podobnie w przypadku zgryzu krzyżowego częściowego przedniego leczenie ortodontyczne powinno również rozpocząć się wcześnie, aby uniknąć niedorozwoju mięśni twarzy, który może przyczynić się do asymetrii jej tkanek miękkich (ryc. 2a-c). Leczenie polega zazwyczaj na usunięciu przeszkód przez opiłowanie powierzchni zgryzowych lub ekstrakcję zębów siecznych mlecznych, jeśli już zaczęły się resorbować (1).
Jeśli chodzi o wady zgryzu przednio-tylne i pionowe, to w okresie uzębienia mlecznego zaleca się leczenie tylko najpoważniejszych zmian. Stosując modyfikację wzrostu podczas leczenia, można łatwo skorygować obecność schodka dystalnego (dolny ząb trzonowy umieszczony dystalnie w stosunku do górnego zęba trzonowego) lub mezjalnego (dolny ząb trzonowy położony doprzednio) u większości dzieci w okresie uzębienia mlecznego. Nieprawidłowość ta wykazuje jednak tendencję do nawrotu, dlatego zwykle zaleca się rozpoczęcie leczenia w późniejszym okresie rozwojowym dziecka (1).
Inną nieprawidłowością u dzieci w okresie uzębienia mlecznego jest przedwczesna utrata zębów, głównie na skutek próchnicy lub urazów. Postępowanie terapeutyczne w tych przypadkach zależy między innymi od liczby, rodzaju i umiejscowienia utraconych zębów oraz okresu rozwojowego dziecka (7). Przedwczesna utrata zębów siecznych mlecznych, do której dochodzi głównie na skutek urazu, nie powoduje istotnych zmian przestrzennych w łuku, z wyjątkiem sytuacji, gdy zostały one utracone na bardzo wczesnym etapie rozwoju oraz gdy wyjściowo istniały już nieprawidłowości, takie jak stłoczenia, nadmierny nagryz poziomy czy zgryz głęboki (ryc. 1a-c). Dlatego u większości dzieci nie jest konieczne utrzymanie przestrzeni po utracie zębów siecznych mlecznych. Utrzymywacz przestrzeni może być jednak potrzebny, gdy nie ma wykształconej wymowy głosek językowych lub też ze względów estetycznych, w przypadku braku samoakceptacji dziecka. Przy jednostronnej utracie kła mlecznego zęby sieczne mają tendencję do przemieszczenia się na to miejsce, powodując zaburzenia linii pośrodkowej i asymetrię w ustawieniu zębów. Z tych powodów zaleca się stosowanie utrzymywaczy przestrzeni lub ekstrakcję wyrównawczą po drugiej stronie łuku. Podobnie w przypadku utraty pierwszego zęba trzonowego zęby sąsiednie mają tendencję do przesuwania się w miejsce luki, zmniejsza się przestrzeń po usuniętym zębie i obserwuje się asymetrię łuku. Dlatego należy brać pod uwagę utrzymanie miejsca już w okresie uzębienia mlecznego. Szczególne znaczenie ma drugi mleczny ząb trzonowy, gdyż nie tylko rezerwuje miejsce dla drugich zębów przedtrzonowych stałych, ale jego korzeń dystalny wyznacza kierunek wyrzynania się pierwszego stałego zęba trzonowego we właściwym miejscu. Aparat utrzymujący przestrzeń jest potrzebny zarówno, aby kierować wyrzynaniem się pierwszego zęba trzonowego stałego przed jego pojawieniem się, jak i utrzymać później ten ząb w odpowiednim położeniu, gdy warunki zgryzowe zostaną już ustalone (1, 8, 9).
Podsumowując, pierwsza konsultacja ortodontyczna u dziecka powinna się odbyć już w okresie uzębienia mlecznego. Można wówczas ocenić, czy zgryz rozwija się prawidłowo, a także zwrócić uwagę na obecność dysfunkcji lub szkodliwych nawyków, które mogą prowadzić do powstania wad zgryzu. W przypadku rozpoznania w uzębieniu mlecznym nieprawidłowości zgryzowych w postaci zgryzów krzyżowych jest konieczne rozpoczęcie leczenia ortodontycznego bezpośrednio po ich zdiagnozowaniu w celu zapobieżenia poważnym powikłaniom.
PIŚMIENNICTWO
- Proffit W.R., Fields H.W.: Ortodoncja współczesna. Czelej, Lublin 2001.
- Warren J.J., Bishara S.E.: Duration in nutritive and nonnutritive sucking behaviour and effect on the dental arches in the primary dentition. Am. J. Orthod. Dentofac. Orthop., 2002, 121, 347-356.
- Sieja A. i wsp.: Etiologia zgryzów otwartych. Dent. Forum, 2013, 2, XLI, 73-77.
- McNamara J.A.: Early intervention in the transverse dimension: is it worth the effort? J. Orthod. Dentofac. Orthop., 2002, 121, 572-574.
- Neto G.P., Puppin-Rontani R.M., Rodrigues Garcia R.C.M.: Changes in the masticatory cycle after treatment of posterior crossbite in children aged 4 to 5 years. J. Orthod. Dentofac. Orthop., 2007, 131, 464-472.
- Machała P., Mikołajczyk M.: Occlusal adjustment (grinding) of primary dentition as assisting method during crossbite treatment in primary and early mixed dentition – cases report. Dent. Med. Probl., 2012, 49, 4, 611-616.
- Łabiszewska-Jaruzelska F. (red.): Ortopedia szczękowa – zasady i praktyka. PZWL, Warszawa 1995.
- Holan G., Needleman H.: Premature loss of primary anterior teeth due to trauma – potential short- and long-term sequelae. Dent. Traumatol., 2014, 30, 100-106.
- Wojtaszek-Lis J. i wsp.: Wpływ przedwczesnej utarty zębów mlecznych na morfologię i czynność narządu żucia. Przegląd piśmiennictwa. Forum Ortod., 2018, 14, 29-47.