Różne metody postępowania podczas leczenia rozległych zmian okołowierzchołkowych

Różne metody postępowania podczas leczenia rozległych zmian okołowierzchołkowych

Various procedures taken during the treatment of widespread periapical changes – case reports

Daniel Bieszczad
NZOZ Centrum Stomatologii Justyna Wichlińska, Jarosław Wichliński w Gorlicach

Streszczenie
Autor artykułu opisuje metody leczenia rozległych zmian okołowierzchołkowych. Pr
óbuje ustalić algorytm postępowania, w którym głównym czynnikiem warunkującym dalsze czynności jest czas, jaki upłynął od leczenia kanałowego, gdyż ono jest zawsze pierwszym etapem postępowania.

Abstract
The author of the article describes methods of treating widespread periapical changes. He tries to determine the algorithm of procedure, in which the chief factor that affects further action is the time that has elapsed since root canal treatment, as it is always the first stage of procedure.

Hasła indeksowe: leczenie endodontyczne, resekcja szczytu korzenia, MTA, Biodentine, tomografia komputerowa, wiązka stożkowa

Key words: endodontic treatment, resection of root
apex, MTA, Biodentine, computer tomography, cone beam


OPIS PRZYPADKU 1
Pacjent zgłosił się do gabinetu w lutym 2014 roku z rozpoczętym w innym ośrodku leczeniem kanałowym zębów 32, 31. Trafił tam z powodu obrzęku i nacieku zapalnego okolicy zębów 32‑41. Rozpoczęte leczenie endodontyczne nie przynosiło oczekiwanych rezultatów, co prawda cechy ostrego stanu zapalnego ustąpiły, natomiast pacjent nadal odczuwał ból przy nagryzaniu oraz dyskomfort tej okolicy.
Wykonano zdjęcie rentgenowskie pantomograficzne oraz zębowe zdjęcie tej okolicy w systemie radiografii cyfrowej (ryc. 1). W kanałach zębów 32, 31 był widoczny silnie kontrastujący materiał, z rozległym przejaśnieniem wokół wierzchołków tych zębów. W znieczuleniu miejscowym, po odizolowaniu pola zabiegowego koferdamem, otwarto zęby, 5,25% roztworem podchlorynu sodu wypłukano z kanałów pastę Dexadent z jodoformem oraz zmierzono długość roboczą kanałów endometrem. Po osuszeniu kanałów odnaleziono i udrożniono kanały językowe, które do tej pory w obu zębach nie zostały opracowane. Po standardowym płukaniu z zastosowaniem 5,25% roztworu podchlorynu sodu oraz kwasu cytrynowego, z dodatkową aktywacją ultradźwiękami, do kanałów w obu zębach założono ponownie pastę Dexadent z jodoformem, a otwory trepanacyjne zamknięto cementem szkło‑jonomerowym.
Pacjent zgłosił się ponownie dopiero po roku!, w marcu 2015 roku (pracował za granicą). Dolegliwości ustąpiły, aczkolwiek odczuwał pewne „drętwienie” tej okolicy. Zęby ponownie otwarto, wypełniono kanały metodą kondensacji bocznej gutaperki, zamknięto płynnym kompozytem oraz szkło‑jonomerem i wykonano badanie tomografii komputerowej wiązki stożkowej tej okolicy (ryc. 2, 3, 4), które ujawniło duży ubytek kostny okolicy wierzchołków korzeni zębów 32, 31, 41 z utratą blaszki wargowej części zębodołowej żuchwy, odpowiadający obrazowi torbieli korzeniowej.
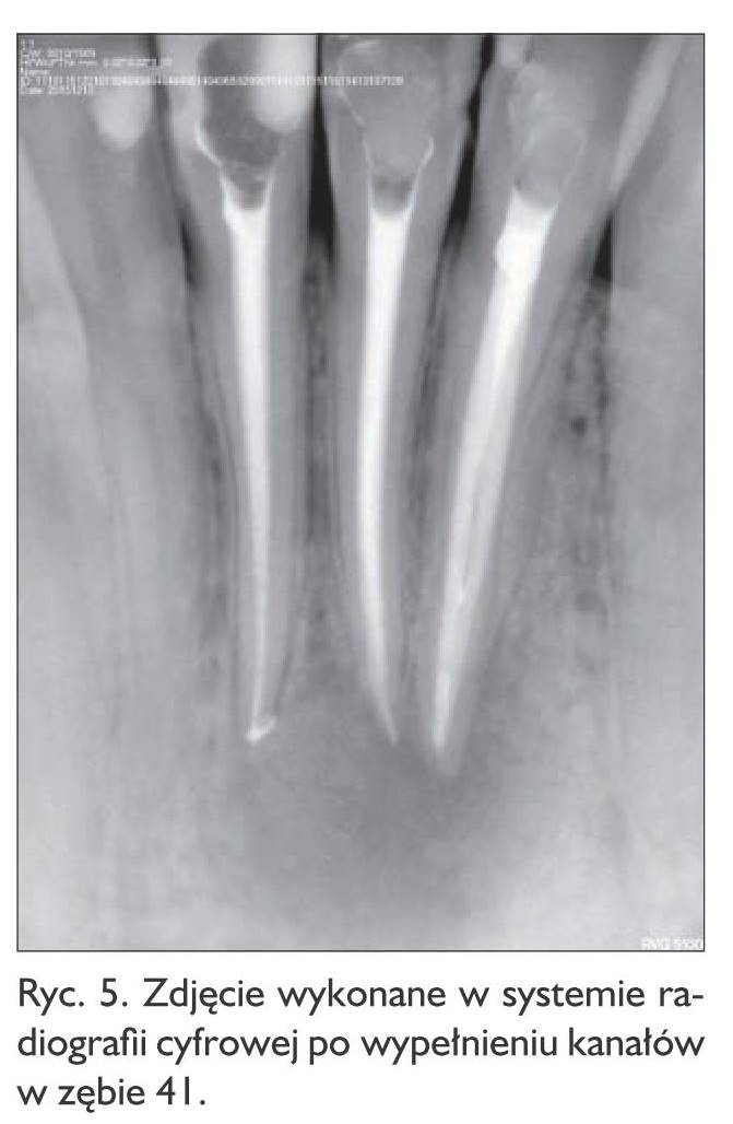
Ze względu na ponowny wyjazd pacjenta umówiono się na kontrolne badanie tomograficzne tej okolicy za 9 miesięcy (grudzień 2015) i podjęcie decyzji co do dalszego leczenia. Pacjent jednak zgłosił się wcześniej (05.11.2015) z powodu silnych dolegliwości bólowych i obrzęku brody. Po badaniu zewnątrz‑ i wewnątrzustnym zdiagnozowano abscessus mentalis. W znieczuleniu miejscowym podanym podskórnie wykonano punkcję terapeutyczną z uzyskaniem dużych ilości treści ropnej. Przepisano Amotaks tabl. à 1 g co 12 godzin oraz założono opatrunek na miejsce wkłucia. Pacjent zgłosił się po dwóch dniach, obrzęk znacznie się zmniejszył, dolegliwości bólowe ustąpiły. Przed planowanym zabiegiem, ze względu na bliskość wierzchołka korzenia zęba 41 oraz brak reakcji na bodziec zimny, ząb poddano leczeniu kanałowemu (ryc. 5) i ustalono termin zabiegu wyłuszczenia torbieli z resekcją wierzchołków korzeni zębów 32, 31, 41.
Zabieg przeprowadzono 22.12.2015. W znieczuleniu miejscowym (chlorowodorek artykainy) wykonano 2 pionowe cięcia od zębów 33 i 43 i wytworzono płat śluzówkowo‑okostnowy. Odsłonięto ubytek kostny, usunięto otorbioną zmianę, po czym odcięto wierzchołki korzeni zębów 32, 31, 41. Ubytek kostny został dodatkowo oczyszczony z zastosowaniem urządzenia Piezosurgery (Mectron) końcówką w kształcie łyżeczki, a odcięte końce korzeni wygładzono końcówką OT1. Po tej czynności przygotowano łoże do wypełnienia wstecznego w każdym z korzeni o głębokości 3 mm z zastosowaniem końcówki EN3. Po przepłukaniu całego ubytku 0,9% roztworem NaCl w jego obręb założono stożek Parasorb (Resorba), tak aby częściowo go wypełniał, nie zasłaniając jednocześnie wierzchołków korzeni. Wypreparowane wstecznie kanały osuszono sączkami papierowymi. Do wypełnienia wstecznego użyto materiału Biodentine (Septodont). Przygotowano go we wstrząsarce zgodnie z zaleceniami producenta. Po aplikowaniu materiału w obręb kanałów odczekano kilka minut, po czym usunięto stożek Parasorb, który podczas usuwania „zabierał” ze sobą resztki materiału Biodentine, znajdującego się poza korzeniami. W obręb ubytku kostnego założono drobno granulkowy materiał InterOss (Sigma Graft), a całość przykryto błoną zaporową z kolagenu usieciowanego Collprotect (Botiss biomaterials) o średnicy 15‑20 mm, wprowadzając ją pod okoliczne tkanki i uzyskując jej stabilizację bez zastosowania pinów. Założono szwy 5‑0 z  nici Dafilon na tydzień. Zaordynowano klindamycynę 300 mg co 8 godz., oraz Trilac również trzy razy dziennie.
Pacjent zgłosił się po tygodniu w celu usunięcia szwów. Rana goiła się prawidłowo. W opisie badania histologicznego wysłanego materiału potwierdzono wstępną diagnozę cystis odontogenes. Kontrolne badanie tomograficzne wykonano po  6 miesiącach, wykazało ono pełną odbudowę kostną ubytku (ryc. 6, 7, 8, 9). Pacjent od czasu zabiegu nie odczuwał żadnych dolegliwości w tej okolicy.
W styczniu 2017 r. odbyła się kolejna wizyta kontrolna, która potwierdziła pełen sukces leczenia.

POZOSTAŁE OPISY PRZYPADKÓW I ICH OMÓWIENIE - w Magazynie Stomatologicznym nr 6/2017