Aleksandra Orłowska (1), Bogumiła Frączak (2), Piotr Frączak (1)
(1) Centrum Protetyki Stomatologicznej Med i Dent w Szczecinie
(2) Zakład Protetyki Stomatologicznej Pomorskiego Uniwersytetu Medycznego w Szczecinie
Kierownik: prof. zw. dr hab. n. med. Bogumiła Frączak
Adres do korespondencji: prof. zw. dr hab. n. med. Bogumiła Frączak, Zakład Protetyki Stomatologicznej PUM, al. Powstańców Wielkopolskich 72, 70 111 Szczecin; e mail: bfraczak@pum.edu.pl
Streszczenie
W pracy przedstawiono leczenie protetyczne pacjenta z wadą zgryzu – przodożuchwiem czynnościowym. Wadzie towarzyszyły: przodozgryz całkowity i braki zębowe.
Abstract
The study describes prosthetic treatment of a patient with malocclusion – functional prognathism. The defect was associated with complete prognathism and missing teeth.
Hasła indeksowe: leczenie protetyczne, wada zgryzu
Key words: prosthetic treatment, malocclusion
Wstęp
Zgryz to ogólnie pojęta relacja żuchwy w stosunku do szczęki. Z założenia leczeniem wszelkich nieprawidłowości zgryzowych zajmuje się ortodoncja, jednak nie jest to temat odległy również innym dziedzinom stomatologii, szczególnie w przypadkach trudnych, gdy jest potrzebne leczenie wieloetapowe i interdyscyplinarne. W leczenie wyżej wymienionych przypadków są zaangażowani specjaliści z dziedziny chirurgii, ortodoncji i protetyki. Postępowanie ma na celu zapobieganie zaburzeniom czynnościowym narządu żucia lub ich leczenie, przywrócenie właściwych stosunków okluzyjnych, poprawę funkcji żucia, mowy i estetyki twarzy. Ogólnie można przyjąć, że rehabilitacja przypadków niepowikłanych, przeprowadzana w ramach jednej specjalności nie wymaga postępowania kilkuetapowego. W sytuacjach, gdy warunki miejscowe i ogólne są niekorzystne, a stopień zaawansowania zaburzeń morfologicznych i czynnościowych jest znaczny, niezbędne jest postępowanie wieloetapowe (1, 2, 3, 4, 5, 6).
Przedmiotem artykułu jest problem leczenia protetycznego pacjentów, u których istniejąca wada zgryzu została powikłana nieprawidłowościami i brakami zębowymi, ze szczególnym uwzględnieniem wad doprzednich, takich jak przodożuchwie czynnościowe i przodozgryz całkowity. Wady doprzednie są rozpatrywane w odniesieniu do płaszczyzny czołowej. Wyróżnia się tu przodożuchwie czynnościowe, przodozgryz częściowy, przodozgryz całkowity i progenię. Ich cechą wspólną jest ustawienie zębów dolnych przed górnymi, zęby ustawione są w III klasie Angle’a, a w rysach twarzy obserwuje się wygładzenie bruzdy wargowo bródkowej i wysunięcie wargi dolnej.
Cechą charakterystyczną przodożuchwia czynnościowego jest przewaga mięśni wysuwających żuchwę nad cofającymi przy zachowaniu prawidłowej budowy żuchwy. Przy próbie cofnięcia żuchwy następuje ustawienie zębów w prawidłowej – I klasie Angle’a, a rysy twarzy ulegają poprawie. Przodozgryz całkowity to również wada z grupy przednio tylnych. Cechą odróżniającą ją od przodożuchwia czynnościowego jest położenie bródki – w tym przypadku rysy twarzy nie ulegają poprawie po teście czynnościowym cofania żuchwy (według Orlik Grzybowskiej) (7, 8, 9, 10, 11). Schematem postępowania w wyżej wymienionych przypadkach jest leczenie etapowe: w pierwszym etapie stosuje się uzupełnienia tymczasowe, a dopiero po okresie adaptacyjnym i kontroli badaniem rentgenowskim lub tomograficznym relacji w stawach skroniowo żuchwowych wykonuje się uzupełnienie docelowe, stanowiące swoistą retencję procesu leczenia.
Opis przypadku
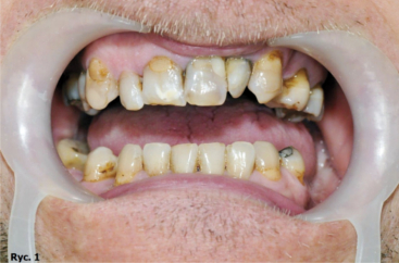
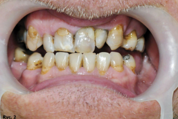
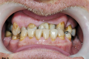
Pacjent B.J., lat 45, zgłosił się do gabinetu w celu poprawy estetyki i uzupełnienia braków zębowych. W badaniu zewnątrzustnym zaobserwowano wysunięcie bródki, wygładzenie bruzdy bródkowo wargowej, pacjent miał charakterystyczne wzmożone napięcie warg i kłopoty z wymową niektórych głosek. W badaniu wewnątrzustnym stwierdzono odwrotne zachodzenie zębów siecznych, zęby ustawione w III klasie Angle’a. Wynik dodatni testu czynnościowego bez poprawy rysów twarzy pozwolił postawić rozpoznanie: przodozgryz całkowity (ryc. 1, 2, 3).
![]() |
![]() |
|
![]() |
||
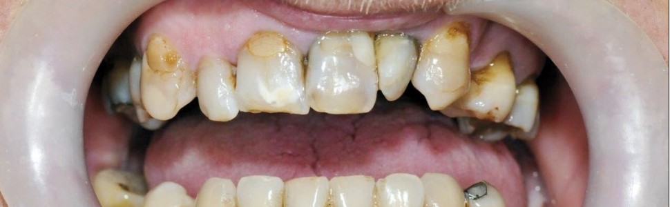
Ponadto w badaniu klinicznym i radiologicznym stwierdzono: konieczność leczenia zachowawczego poszczególnych zębów, obecność braków międzyzębowych w łuku górnym, w łuku dolnym jednostronny brak skrzydłowy i braki międzyzębowe (ryc. 4). Nie stwierdzono zaburzeń w stawie skroniowo żuchwowym. W związku z brakiem pełnych kontaktów zgryzowych wysokość zwarcia była znacznie obniżona.
Pacjent nie zdecydował się na wstępne leczenie ortodontyczne, co przy dodatnim teście czynnościowym według Orlik Grzybowskiej (możliwość ustawienia zębów siecznych tête à tête) przesądziło o próbie protetycznej kompensacji wady zgryzu. Pacjent nie wyraził też zgody na usunięcie zatrzymanego zęba 48. W celu podniesienia zwarcia wykonano tymczasową protezę osiadającą dolną. Zęby górne zaopatrzono w tymczasowe korony i mosty akrylowe. Zaproponowane uzupełnienia miały na celu uzyskanie pełnej akceptacji artykulacyjno zgryzowej układu stomatognatycznego do zaplanowanej wysokości zwarcia. Po 6 miesięcznym okresie adaptacyjnym z zastosowaniem protezy częściowej osiadającej i kontrolnych badaniach radiologicznych i czynnościowych stawu skroniowo żuchwowego oraz braku dolegliwości w wywiadzie, wykonano docelowe uzupełnienia stałe w łuku górnym i dolnym. Docelowy plan leczenia – to uzupełnienia stałe w łuku górnym – korony i mosty na podbudowie metalowej licowane porcelaną, w łuku dolnym – most po stronie prawej. Po stronie lewej przewidziano leczenie implantologiczne.
Rozpoczęto od leczenia zachowawczego, w następnym etapie oszlifowano zęby górne pod korony i mosty protetyczne. Przy szlifowaniu zwrócono szczególną uwagę, by oś długa oszlifowanego kikuta zęba umożliwiła technikowi wykonującemu przyszłe uzupełnienie protetyczne ustawienie zębów w uzupełnieniu w zgryzie prostym. Zarówno uzupełnienia tymczasowe, jak i ostateczne ustawiono w zgryzie prostym. Widoczny brak w łuku dolnym po stronie lewej zostanie w najbliższym czasie uzupełniony koronami na implantach zębowych (ryc. 5, 6).
![]() |
![]() |
Podsumowanie
Leczenie protetyczne pacjentów z wadami zgryzu nie stanowi tylko rozwiązania problemu estetycznego, lecz przede wszystkim znacznie poprawia komfort życia, usprawnia żucie, wymowę, przywraca harmonię twarzy i właściwe napięcie mięśniowe. Pozwala zapobiegać powikłaniom ze strony tkanek przyzębia i stawu skroniowo żuchwowego. Leczenie wad zgryzu metodami wyłącznie protetycznymi stanowi wyzwanie dla lekarza protetyka, gdyż wymaga znacznego szlifowania korekcyjnego zębów, co niesie ze sobą ryzyko powikłań w postaci obnażenia miazgi i konieczności leczenia kanałowego lub nawet odbudowy za pomocą wkładów koronowo korzeniowych i koron zębowych. Jest jednak kompromisem między ekstrakcją ze wskazań protetycznych a koniecznością znacznego zredukowania tkanek własnych zęba w celu poprawnego ustawienia zębów w łuku zębowym.
Postępowanie takie stanowi dobrą, alternatywną i stosunkowo szybką metodę leczenia w porównaniu długotrwałym postępowaniem ortodontycznym. Inwazyjność tego postępowania jest niewielka w stosunku do leczenia chirurgicznego i pozwala na zachowanie własnego uzębienia. Należy jednak pamiętać, że metodą z wyboru powinno być leczenie ortodontyczne, gdyż umożliwia ono oszczędzenie uzębienia naturalnego i nawet gdy zaistnieje konieczność późniejszej odbudowy protetycznej, nie będzie wymagało tak skomplikowanego postępowania.
Piśmiennictwo
- Bruziewicz‑Mikłaszewska B., Prokop‑Knast M., Warych B.: Leczenie protetyczne pacjenta z powikłanym przodożuchwiem czynnościowym. Protet. Stomatol., 1988, 48, 6, 269‑272.
- Stós B., Wieczorek A., Kuras‑Trąbka A.: Dwuetapowe leczenie mnogich wad zgryzu u pacjentów dorosłych. Protet. Stomatol., 2003, 53, 4, 221‑225.
- Sobolewska E. i wsp.: Leczenie protetyczne zaburzeń narządu żucia – wybrane przypadki. Protet. Stomatol., 2004, 54, 5, 340‑344.
- Stós B., Dyras M., Loster B.W.: Zespołowe leczenie powikłanych wad zgryzu u pacjentów dorosłych. Protet. Stomatol., 1994, 44, 1, 28‑31.
- Tejchman H. i wsp.: Leczenie protetyczne pacjentów z zaburzeniami czynnościowymi narządu żucia (wybrane przypadki). Protet. Stomatol., 1995, 45, 1, 30‑36.
- Frączak B. i wsp.: Skojarzone postępowanie chirurgiczno‑protetyczne na przykładzie wybranych przypadków klinicznych. Protet. Stomatol., 1998, 48, 3, 127‑132.
- Fabjański P., Ślusarska A.: Wybrane aspekty leczenie protetycznego zaburzeń narządu żucia. Protet. Stomatol., 2000, 50, 4, 199‑203.
- Nakata Y. i wsp.: Changes in stomatognathic function induced by orthognathic surgery in patient with mandibular prognathism. J. Oral Maxillofac. Surg., 2007, 65, 3, 444‑451.
- Karłowska I.: Zarys współczesnej ortodoncji. Wyd. Lek. PZWL, Warszawa 2001, 2002.
- Majewski S. i wsp.: Odległe wyniki leczenia wad zgryzu u pacjentów dorosłych. Protet. Stomatol., 1991, 41, 5, 201‑205.
- Doniec‑Zawidzka I. i wsp.: Leczenie ortodontyczno‑chirurgiczne pacjentów z progenią – doświadczenia własne. Czas. Stomatol., 2004, 57, 11, 737‑745.




