Wojciech Bednarz, Bartłomiej Bednarz
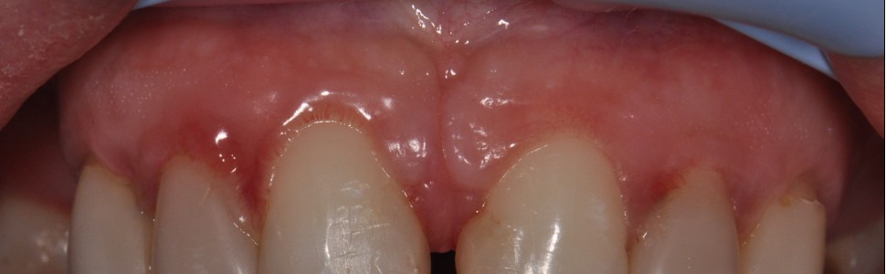
W pracy zaprezentowano własny model postępowania chirurgicznego w procedurze wycięcia wędzidełka wargi górnej (frenulektomii), będącego przyczyną obecności diastemy prawdziwej. Na przykładzie jednego przypadku przedstawiono technikę zabiegową frenulektomii wędzidełka wargi górnej oraz krótkoterminowe efekty kliniczne w trakcie aktywnego leczenia ortodontycznego, co udokumentowano na załączonym do artykułu filmie. W drugim prezentowanym przypadku zademonstrowano zabieg usunięcia włókien wędzidełka wargi górnej z przetrwałej szczeliny między wyrostkami zębodołowymi szczęk, które nie zostały wycięte w trakcie zabiegu frenuloplastyki wykonanego przed 15 laty. Było to prawdopodobnie przyczyną niepowodzenia leczenia ortodontycznego zamknięcia diastemy prawdziwej. Po 4 latach od wykonania ostatniego zabiegu i 3 lata od zakończenia leczenia ortodontycznego uzyskany rezultat kliniczny i estetyczny jest zadowalający.
Artykuł ukazał się w nr. 12/2014 MS
Przejdź do numeru
W pracy zaprezentowano własny model postępowania chirurgicznego w procedurze wycięcia wędzidełka wargi górnej (frenulektomii), będącego przyczyną obecności diastemy prawdziwej. Na przykładzie jednego przypadku przedstawiono technikę zabiegową frenulektomii wędzidełka wargi górnej oraz krótkoterminowe efekty kliniczne w trakcie aktywnego leczenia ortodontycznego, co udokumentowano na załączonym do artykułu filmie. W drugim prezentowanym przypadku zademonstrowano zabieg usunięcia włókien wędzidełka wargi górnej z przetrwałej szczeliny między wyrostkami zębodołowymi szczęk, które nie zostały wycięte w trakcie zabiegu frenuloplastyki wykonanego przed 15 laty. Było to prawdopodobnie przyczyną niepowodzenia leczenia ortodontycznego zamknięcia diastemy prawdziwej. Po 4 latach od wykonania ostatniego zabiegu i 3 lata od zakończenia leczenia ortodontycznego uzyskany rezultat kliniczny i estetyczny jest zadowalający.
Artykuł ukazał się w nr. 12/2014 MS
Przejdź do numeru