Obliteracje systemu kanałowego – problematyka i leczenie

Obliteracje systemu kanałowego – problematyka i leczenie

Dostęp do tego artykułu jest płatny.
Zapraszamy do zakupu!

Cena: 24.00 PLN (z VAT)

Po dokonaniu zakupu artykuł w postaci pliku PDF prześlemy bezpośrednio pod twój adres e-mail.

Kup artykuł
MS 2023; 4: 8-16.

STUDIA PRZYPADKÓW
Obliteracje systemu kanałowego – problematyka i leczenie

Obliteration of the root canal system - problems and treatment

Jakub Urban, Marcin Kulski

Streszczenie
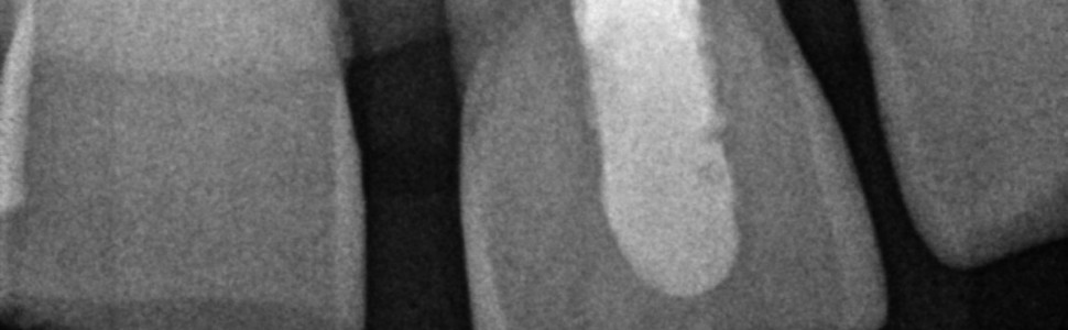
Zwapnienia miazgi zęba są dużym problemem terapeutycznym. Choć często są bezobjawowe, stwarzają dylematy diagnostyczne. Postępowanie zależy w dużej mierze od wystąpienia objawów lub obecności zmian okołowierzchołkowych. Leczenie z użyciem mikroskopu stwarza wyzwanie pod względem preparacji i udrożnienia całej długości roboczej. Prawidłowa ocena przestrzeni endodontycznej i odpowiednia decyzja terapeutyczna mogą rzutować na przetrwanie zęba w jamie ustnej pod względem biologicznym i mechanicznym.

Abstract
Tooth pulp calcification is a major therapeutic problem. Often asymptomatic, they create diagnostic dilemmas. Management depends largely on the presence of symptoms or periapical lesions. Microscopic treatment poses a challenge in terms of preparation and unblocking the entire working length. Correct assessment of the endodontic space and an appropriate therapeutic decision may affect the survival of the tooth in the oral cavity from the biological and mechanical point of view.

Hasła indeksowe: leczenie kanałowe, obliteracja, kalcyfikacja, zębiniaki

Key words: endodontic treatment, obliteration, calcification, pulp stones

Piśmiennictwo
1.    Arys A, Philippart C, Dourov N. Microradiography and light microscopy of mineralization in the pulp of under mineralized human primary molars. J Oral Pathol Med. 1993; 22:49-53.
2.    Hargreaves KM, Berman LH (red.). Cohen’s Pathways of the Pulp. Wyd. 11. St. Louis: Elsevier; 2016, s. 209-279, 324-386.
3.    Edds AC , Walden JE, Scheetz JP i wsp. Pilot study of correlation of pulp stones with cardiovascular disease. J Endod. 2005;31(7):504-506.
4.    Foreman PC, Barnes IE. A review of calcium hydroxide. International EndodonticJ ournal.1990;23(6):283-297.
5.    Schwarze T, Baethge C, Stecher T i wsp. Identification of second canals in the mesiobuccal root of maxillary first and second molars using magnifying loupes or an operating microscope. Aust Endod J. 2002;28(2):57-60.
6.    McCabe PS, Dummer PMH. Pulp canal obliteration: an endodontic diagnosis and treatment challenge. IntEndod J. 2012;45(2):177-197.
7.    Andreasen F, Zhijie Y, Thomsen B i wsp. Occurrence of pulp canal obliteration after luxation injuries in the permanent dentition. Endod Dent Traumatol. 1987; 3(3):103-115.