ARTYKUŁ Z FILMEM Mikroskopowa ewakuacja licznych złamanych narzędzi

ARTYKUŁ Z FILMEM Mikroskopowa ewakuacja licznych złamanych narzędzi

Dostęp do tego artykułu jest płatny.
Zapraszamy do zakupu!

Cena: 24.00 PLN (z VAT)

Po dokonaniu zakupu artykuł w postaci pliku PDF prześlemy bezpośrednio pod twój adres e-mail.

Kup artykuł
MS 2023; 1: 17-27.

ARTYKUŁ Z FILMEM
Mikroskopowa ewakuacja licznych złamanych narzędzi w obrębie kanałów zębów 14 i 15 przy zastosowaniu różnych technik zabiegowych

Microscopic evacuation of numerous broken instruments within 14 and 15 tooth canals with various treatment techniques

Iga Bukowska-Kulewicz

Streszczenie
Jednym z głównych powodów niepowodzenia leczenia kanałowego jest złamanie narzędzi endodontycznych. Wśród najczęstszych przyczyn złamania narzędzi wymienia się niewłaściwą technikę pracy lekarza, skomplikowaną anatomię systemów kanałowych, niedokładną diagnostykę przedzabiegową, nieprawidłowe wykonanie dostępu endodontycznego oraz wady fabryczne narzędzi. Celem pracy było przedstawienie przypadku klinicznego ewakuacji mnogich złamanych narzędzi ze skomplikowanych anatomicznie systemów kanałowych zębów 14 i 15 przy użyciu różnych technik zabiegowych, wraz z uzasadnieniem wyboru danej techniki w konkretnej sytuacji klinicznej.

Abstract
One of the most common reasons for the root canal treatment failure is iatrogenic fracture of endodontic files. Among the most common causes of a tool fracture the improper technique of the doctor’s work , complicated anatomy of root canal systems, inaccurate pre-treatment diagnosis , incorrect performance of endodontic access and manufacturing defects of files are mentioned. The aim of this report was to present a clinical case of evacuation of multiple broken tools within anatomically complex root canal systems of upper right premolars using various techniques, as well as their usage justification in a specific clinical situation.

Hasła indeksowe: powtórne leczenie endodontyczne, ultradźwięki, techniki usuwania złamanych narzędzi, BTR pen

Key words: endodontic retreatment, ultrasounds, broken file retrieval techniques, BTR pen

film 1
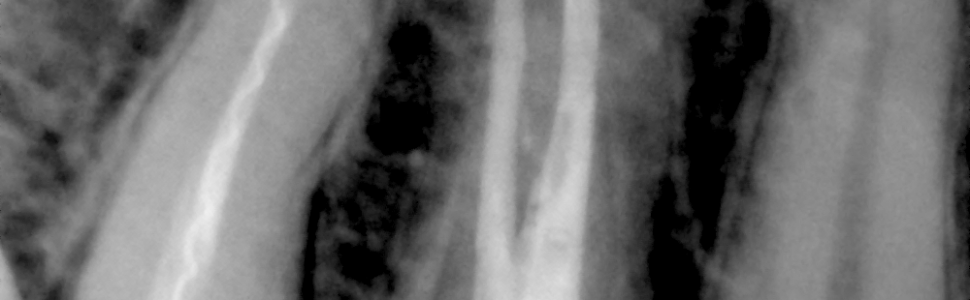
Film 1. Lokalizacja otworów fizjologicznych na bocznych powierzchniach korzeni w obu zębach.

film 2
Film 2. Kanał typu „S” w zębie 15 i dowierzchołkowa pozycja złamanego narzędzia względem krzywizny kanału.

film 3
Film 3. Kłopotliwa ocena liczby złamanych narzędzi.


Piśmiennictwo

  1. Al-Qudah AA, Awawdeh LA. Root canal morphology of mandibular incisors in a Jordanian population. Int Endod J. 2006; 39(11): 873-877.
  2. McGuigan MB, Louca C, Duncan HF. Clinical decision-making after endodontic instrument fracture. BDJ. 2013; 214(8): 395–400.