REPORTAŻ KLINICZNY. Odbudowa zęba przedniego materiałem kompozytowym o konsystencji zależnej od temperatury VisCalor (VOCO)
Anterior tooth reconstruction with VisCalor (VOCO) temperature‑dependent composite material
Hanke Faust
Wstęp
Bezpośrednia odbudowa w odcinkach przednim i bocznym powinna być nieskomplikowana, niezawodna i w miarę możliwości wolna od problemów funkcjonalnych zarówno dla lekarza dentysty, jak i dla pacjenta. Jednak w leczeniu próchnicy należy także brać pod uwagę wydajność ekonomiczną. W tym kontekście na szczególną wzmiankę zasługują idealne właściwości użytkowe nowego materiału kompozytowego VisCalor o konsystencji zależnej od temperatury, wpływające na jego adaptację i możliwość modelowania. Materiały kompozytowe o konsystencji zależnej od temperatury nadają się szczególnie dobrze do minimalnie inwazyjnego leczenia trudno dostępnych ubytków i głębokich preparacji, co oznacza, że można również bez trudu wykonywać z nich odbudowy estetyczne w odcinku przednim i bocznym. Materiał VisCalor stanowi uzupełnienie wcześniejszego materiału VisCalor Bulk o konsystencji zależnej od temperatury. Materiał ten miał pewne ograniczenia w strefie estetycznej ze względu na większą przezierność.
Analiza przypadku
Wywiad medyczny
Pacjent, lat 68, zgłosił się do gabinetu na rutynowe coroczne badanie kontrolne. Nie wykazywał żadnych klinicznych problemów, wymagających leczenia, natomiast wyraził chęć jak najszybszej wymiany wypełnień w odcinku przednim szczęki, które według niego miały już 20 lat i nie zadowalały go pod względem estetycznym. Omówiono z pacjentem różne możliwości leczenia. Nie polecano pacjentowi odbudowy protetycznej w postaci ceramicznych koron lub licówek wykonywanych techniką pośrednią ze względu na bardzo ograniczone ubytki tkanek. Optymalnym rozwiązaniem było bezpośrednie leczenie zachowawcze z użyciem nowego nanohybrydowego materiału kompozytowego VisCalor, wykorzystującego technologię konsystencji zależnej od temperatury (thermoviscous technology – TVT). W ten sposób możliwe było także uwzględnienie oczekiwań pacjenta, dotyczących leczenia szybkiego, ekonomicznego, lecz zadowalającego estetycznie i trwałego.
Badanie i rozpoznanie
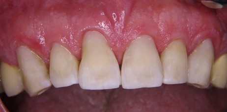
Z klinicznego punktu widzenia w zębach od 13 do 23 obecne były niezadowalające wypełnienia kompozytowe, z obecną szczeliną brzeżną i przebarwieniami. Ze względu na wiek pacjenta obserwowano także niewielkie przedsionkowe recesje bez podrażnienia dziąseł. Wszystkie zęby były żywe, wykazywały ruchomość I stopnia i brak wrażliwości na opukiwanie. Tylko ząb 11 został mniej więcej 2 lata wcześniej unieruchomiony i zszynowany adhezyjnie z zębem 21 poprzez wykonanie stałej szyny na powierzchniach podniebiennych (pasmo włókien szklanych GrandTEC, VOCO, GmbH, Cuxhaven). Po szczegółowym omówieniu z pacjentem planowanego adhezyjnego leczenia z użyciem materiału kompozytowego zaplanowano kolejną wizytę (ryc. 1).

Ryc. 1. Początkowa sytuacja kliniczna, niezadowalające wypełnienia w widoku od przodu.
Leczenie
Najpierw przygotowano do użycia kapsułki z materiałem kompozytowym VisCalor (w kolorach A1, A2, A3, A3,5 i B1) oraz uniwersalny system łączący Futurabond U (VOCO GmbH, Cuxhaven). Ponieważ w tym przypadku zaplanowano zastosowanie techniki wielu odcieni dla uzyskania optymalnych efektów w strefie estetycznej, wykorzystano zarówno podgrzewacz do kapsułek, jak i podajnik VisCalor (VOCO GmbH, Cuxhaven) (ryc. 2).

Ryc. 2. Krótkie i równomierne podgrzewanie kapsułek.
Po zastosowaniu miejscowego środka znieczulającego oczyszczono powierzchnię leczonych zębów pastą profilaktyczną bez fluoru Cleanic (KERR GmbH, Biberach). Stosując podejście minimalnie inwazyjne i względną izolację usunięto wiertłami z nasypem diamentowym i różyczkowym istniejące wypełnienia oraz tkanki zmienione próchnicowo (ryc. 3). Kolor zębów oceniano w oparciu o wilgotne zęby przed założeniem koferdamu.

Ryc. 3. Obraz po minimalnie inwazyjnym usunięciu próchnicy i opracowaniu ubytków.
Zastosowano pełną izolację z użyciem koferdamu, ligatur i klinów, tak aby zminimalizować w jak największym stopniu ryzyko zranienia dziąseł. Przez cały czas w trakcie leczenia odtwórczego weryfikowano możliwość swobodnego oddychania pacjenta przez nos. Pole zabiegowe było przez cały czas izolowane przed skażeniem. W celu zabezpieczenia miazgi przeprowadzono zabieg pokrycia pośredniego w zębie 23, zakładając na dno ubytku materiał Kerr Life (KERR GmbH, Biberach) (ryc. 4).

Ryc. 4. Założony koferdam (pełna izolacja).
Następnie zastosowano technikę total etch w obszarze szkliwa i zębiny. W tym celu najpierw nałożono 35% kwas fosforowy w żelu (Vococid, VOCO GmbH, Cuxhaven) na szkliwo na 15 sekund, a następnie na kolejnych 15 sekund również na zębinę (ryc. 5).

Ryc. 5. Technika total etch zastosowana w ubytkach.
Kwas fosforowy wypłukiwano przez 20 sekund sprayem wodno‑powietrznym. Następnie ostrożnie osuszono ubytki sprężonym powietrzem wolnym od oleju (ryc. 6).

Ryc. 6. Wytrawione i osuszone ubytki przed zastosowaniem systemu łączącego.
Dla uzyskania możliwie jak najsilniejszej adhezji do szkliwa i zębiny oraz uzyskania trwałego, szczelnego połączenia pomiędzy tkankami twardymi i kompozytem zastosowano podwójnie wiążący system Futurabond U w wersji SingleDose. Wykonano to aktywując najpierw materiał, a następnie wcierając go w tkanki twarde zębów szczoteczką microbrush przez 20 sekund (ryc. 7). Badania wykazały możliwość osiągnięcia lepszej adhezji przy użyciu techniki total etch w porównaniu do techniki samotrawienia (1, 2). Po odparowywaniu przez 5 sekund rozpuszczalnika powietrzem wolnym od oleju utwardzano system łączący przez 10 sekund lampą polimeryzacyjną (ryc. 8). Wypustki żywicy, powstające po polimeryzacji w kanalikach zębinowych, sprzyjają adhezji i ograniczają nadwrażliwość pozabiegową (3, 4).

Ryc. 7. Aplikacja systemu Futurabond U szczoteczką microbrush.

Ryc. 8. Polimeryzacja systemu łączącego.
Przed wprowadzeniem do ubytku materiału kompozytowego należy sprawdzić czy tkanki zostały w całości pokryte systemem wiążącym, bez pustych przestrzeni. Powierzchnie pokryte właściwie są błyszczące. Aby uniknąć nadwrażliwości pozabiegowej można w razie potrzeby ponownie pokryć matowe i odsłonięte powierzchnie systemem łączącym. W tym przypadku do aplikacji materiału VisCalor zastosowano podgrzewacz do kapsułek i podajnik VisCalor. Podgrzewacz do kapsułek ogrzano do temperatury 68°C na około 30 minut przed rozpoczęciem aplikacji. Podgrzewacz do kapsułek umożliwia jednoczesne ogrzewanie czterech oddzielnych kapsułek i dwóch narzędzi ręcznych. Kapsułki w kolorach A1, A3, A3,5 oraz B1 ogrzewano przed aplikacją w podgrzewaczu do kapsułek przez 3 minuty.
Program 1 dla VisCalor to 30 sekund. Dzięki podajnikowi VisCalor ogrzany materiał w kapsułkach jest gotowy do założenia w bardzo krótkim czasie. Wąska końcówka kapsułek pozwala na celowaną, precyzyjną i bardzo dokładną aplikację. Zastosowanie podajnika pozwala na szybką aplikację pierwszej warstwy materiału, nawet w obrębie wielu ubytków (kolor A3) (ryc. 9).

Ryc. 9. Pierwsza warstwa, zęby od 13 do 11.
Następnie zastosowano dodatkowe kolory z podgrzewacza do kapsułek, wykonując dalszą indywidualną warstwową odbudowę w celu uzyskania optymalnych efektów estetycznych. Maksymalna grubość warstwy w przypadku materiału VisCalor to 2 mm.
Podgrzany materiał można w optymalny sposób nakładać i adaptować do ubytku, dlatego nie ma potrzeby stosowania linera ani kompozytu typu flow. Ponadto materiał VisCalor cechuje wyjątkowa łatwość modelowania po schłodzeniu (ryc. 10).
Ryc. 10. Modelowanie kompozytu szpatułką Heidemanna.
Do polimeryzacji stosuje się konwencjonalną lampę polimeryzacyjną (1200 mW/cm2), każdorazowo przez 10 sekund. W tym czasie końcówkę światłowodu należy ustawić możliwie jak najbliżej powierzchni utwardzanego materiału kompozytowego.
Po założeniu i spolimeryzowaniu wszystkich wypełnień techniką wielu warstw i wielu kolorów, zweryfikowano prawidłowość kształtu i powierzchni wypełnień, ponieważ należy na ile to tylko możliwe unikać dokładania kompozytu po zdjęciu koferdamu (ryc. 11).
Ryc. 11. Zakończona warstwowa odbudowa zębów od 13 do 23.
Do wykończenia zastosowano na początek maszynowe wiertła diamentowe z czerwonym i żółtym paskiem. Następnie zakończono polerowanie bardzo elastycznymi krążkami i paseczkami polerskimi z nasypem o malejącej wielkości ziarna (Super‑Snap, SHOFU Dental GmbH, Ratingen). Na tym etapie sprawdzono także okluzję i artykulację (ryc. 12 i 13).
Ryc. 12. Konturowanie powierzchni krążkiem polerskim o grubym nasypie.
Ryc. 13. Wygląd wypełnień przed wypolerowaniem na wysoki połysk.
Do polerowania na wysoki połysk zastosowano impregnowane diamentami gumki polerskie Dimanto (VOCO GmbH, Cuxhaven) z prędkością 5000 obrotów na minutę przy chłodzeniu strumieniem wody i ograniczonym nacisku podczas pracy. Na zakończenie wypolerowano zęby drobnoziarnistą pastą polerską Cleanjoy (VOCO GmbH, Cuxhaven), również wywierając niewielki nacisk (ryc. 14).
Ryc. 14. Ostateczne polerowanie zęba i powierzchni wypełnień.
Efekt
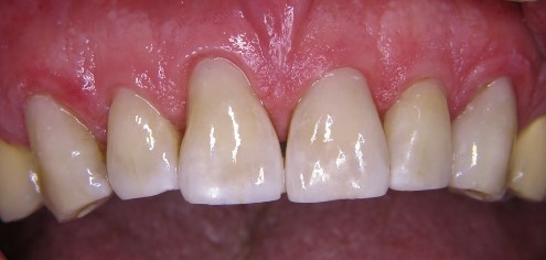
Efekt ostateczny odbudowy zębów przednich był w tym przypadku wyjątkowo zadowalający (ryc. 15). Sytuacja początkowa przed rozpoczęciem leczenia wykazała niezadowalające i przebarwione wypełnienia w odcinku od zęba 13 do 23. Wybór nowego materiału VisCalor i wykorzystanie technologii konsystencji zależnej od temperatury umożliwił wykonanie bardzo estetycznej i oszczędnej dla tkanek rekonstrukcji techniką bezpośrednią podczas zaledwie jednej wizyty. Porównanie sytuacji przed i po uwidacznia istotną poprawę zarówno kształtu, jak koloru. Po wypolerowaniu na wysoki połysk i fluorkowaniu preparatem Bifluorid 10 (VOCO GmbH, Cuxhaven) widoczny był natychmiast indywidualny, estetyczny i naturalny efekt.
Ryc. 15. Ostateczna odbudowa z materiału VisCalor.
Omówienie
Podstawę prezentowanego leczenia stanowiło po pierwsze podejście minimalnie inwazyjne, a po drugie stosowanie w miarę możliwości wyłącznie jednego materiału kompozytowego – innymi słowy uniknięcie oddzielnego stosowania linerów lub kompozytów typu flow, co stanowi standardową praktykę w przypadku głębokich ubytków. Należało także wziąć pod uwagę oczekiwania pacjenta, dotyczące szybkiej, ekonomicznej i „niewidocznej” estetycznej odbudowy. Technologia konsystencji zależnej od temperatury pozwala dzięki podgrzewaniu materiału do około 68°C uzyskać optymalną aplikację i adaptację materiału wypełniającego, który początkowo jest płynny, później zaś umożliwia upychanie, w przeciwieństwie do stosowania konwencjonalnych kompozytów (5, 6). Jak wykazały badania, zarówno zmianę właściwości materiału, jak i wpływ temperatury na ząb i na miazgę można uznać za nieszkodliwe. Dzięki naturalnemu przepływowi krwi temperatura tkanki miazgi wzrasta jedynie w minimalnym stopniu.
Materiał ten nadaje się do stosowania w odcinku przednim i bocznym, a także w strefie estetycznej. Łączy w sobie właściwości materiału płynnego, jak kompozyty typu flow, bezpośrednio podczas aplikacji, z możliwością upakowywania kompozytu po krótkim okresie schłodzenia do temperatury ciała. Stąd można uznać go za materiał uniwersalny, przeznaczony przede wszystkim do stosowania w obszarach retencyjnych oraz w bardzo głębokich ubytkach, jak również w ubytkach trudno dostępnych zarówno wzrokowo, jak manualnie (7, 8). Dzięki zwiększonemu początkowo zapływaniu mniej sztywna konsystencja pozwala na pracę bez użycia linera w postaci kompozytu typu flow. Wyjątkowe właściwości materiału sprzyjają także leczeniu minimalnie inwazyjnemu.
Ważnymi aspektami stosowania tego materiału kompozytowego w ramach leczenia odtwórczego jest prosta aplikacja i powtarzalny sposób pracy, pozwalający na unikanie błędów, a także minimalne wymagania dotyczące materiałów i czasu. Materiał VisCalor zapewnia stosunkowo niski skurcz polimeryzacyjny, wynoszący 1,4%, co zapewnia długoterminowe powodzenie i pozwala zapobiegać mikroprzeciekom. Doskonała podatność na modelowanie i adaptację, jak również łatwe polerowanie materiału sprawiają, że jest to produkt wygodny w pracy, pozwalający uzyskać estetycznie dobrze prezentujące się wypełnienia. Minimalny dodatkowy czas i wymogi organizacyjne, niezbędne dla wykonywania wypełnień z materiałów kompozytowych o konsystencji zależnej od temperatury, w porównaniu do standardowej techniki adhezyjnej odbudowy kompozytowej, są pomijalne i kompensuje je w pełni możliwość eliminacji dodatkowego stosowania oddzielnego kompozytu typu flow i linera (9, 10). Podgrzewacz do kapsułek, który jest szczególnie zalecany w przypadku stosowania wielu kolorów, oraz podajnik VisCalor (na przykład do odbudowy typu bulk‑fill) to dwie różne opcje do wyboru, a także możliwość dodatkowej oszczędności czasu podczas podgrzewania materiału kompozytowego.
Podsumowanie
Pacjent był bardzo zadowolony z efektu, ponieważ udało się uniknąć czasochłonnych i kosztownych rozwiązań. Doskonałe właściwości fizyczne przyczyniają się do długoterminowego powodzenia wypełnień, a zatem także do trwałego zadowolenia pacjenta. Zdaniem autora nowy materiał VisCalor jest wyjątkowo godny polecenia, jako materiał przyjazny dla użytkownika, wydajny i bardzo estetyczny. Analiza stosunku kosztów do korzyści zdecydowanie przemawia na jego korzyść dzięki oszczędności czasu i materiałów. Dodatkową wartością jest prosta aplikacja materiału i możliwość jego modelowania. Właściwości materiału VisCalor spełniają wszelkie oczekiwania stawiane nowoczesnym kompozytowym materiałom do wypełnień.
PIŚMIENNICTWO
- Ahmed A, Hassan M, Abdalla A. Microshear bond strength of universal adhesives to dentin used in total-etch and self-etch modes. Tanta Dent J. 2018; 15(2): 91-98.
- Torres CRG. Effects of universal adhesive systems using self-etch or total-etch mode on dentin permeability. Report to Voco. Brasilien: São José dos Campos; 2013.
- Toshniwal N, Singh N, Dhanjani V i wsp. Self etching system v/s conventional bonding: advantages, disadvantages. JOADMS. 2019; 5(3): 379-383.
- VOCO. Scientific Compendium. Futurabond U u. M+. Online: https://www.voco.dental/us/portaldata/1/resources/products/scientific-compendiums/gb/futurabond-u-m-plus_scc_gb.pdf [dostęp 04.10.2021].
- Braun A. Temperature development inside the tooth during application of a thermoviscous bulk fill material. Report to Voco. Aachen: University of Aachen; 2019.
- Yang J, Silikas N, Watts DC. Pre-heating time and exposure duration: effects on post-irradiation properties of a thermo-viscous resin-composite. Dent Mater. 2020; 36(6): 787-793.
- Federlin M, Blunck U, Frankenberger R i wsp. Kompositrestaurationen im Seitenzahnbereich. S1-Handlungsempfehlung (Langversion). AWMF-Registernummer: 083–028; Stand: Oktober 2016; gültig bis: Oktober 2021. Deutsche Zahnärztliche Zeitschrift. 2017; 72(1): 75-82.
- Manhart J. Muss es immer Kaviar sein?-die Frage nach dem Aufwand für Komposite im Seitenzahnbereich. ZMK. 2011; 27: 10-15.
- Manhart J. Ein thermo viskoses Bulk-Fill-Komposit zur effektiven Seitenzahn Versorgung, klinische Falldarstellungen mit unterschiedlichen Heizgeräten. NZB. 2021; 2: 10-17.
- Gernhardt CE. Restaurative Versorgung mit dem Bulk-Fill-Material VisCalor bulk. ZMK. 2020; 10: 614-617.