MS 2022; 5: 70-72.
Materiały bioceramiczne używane do zamknięcia szerokiego otworu wierzchołkowego
Mariusz Lipski1, Jacek Bilbin2, Małgorzata Światłowska-Bajzert3
1Katedra i Zakład Stomatologii Zachowawczej Przedklinicznej i Endodoncji Przedklinicznej Pomorskiego Uniwersytetu Medycznego w Szczecinie
Kierownik: prof. dr hab. n. med. Mariusz Lipski
2BilbinMed, Suwałki
3Katedra i Zakład Protetyki Stomatologicznej Pomorskiego Uniwersytetu Medycznego w Szczecinie
Kierownik: dr hab. n. med. Ewa Sobolewska
Czy zamiast MTA mogę użyć innego materiału do zamknięcia otworu wierzchołkowego nadmiernie poszerzonego podczas mechanicznegoopracowania kanału?
Leczenie endodontyczne zębów z tzw. otwartym wierzchołkiem (open apex), które pozbawione są żywej miazgi, stanowi nie lada wyzwanie dla lekarza dentysty. Zazwyczaj klinicysta ma z nim do czynienia w przypadku zębów z niezakończonym rozwojem korzenia.
Choć tzw. szeroki otwór wierzchołkowy może również dotyczyć np.:

Ryc. 1. Wypełnienie części wierzchołkowej kanału materiałem bioceramicznym (zabieg wykonania „korka”): A. aplikacja pierwszej porcji materiału do kanału; B. kondensacja pierwszej porcji materiału w okolicy otworu wierzchołkowego; C. kondensacja ostatniej porcji materiału; D. kanał wypełniony materiałem bioceramicznym na długości 4-5 mm; E. stan po wypełnieniu części środkowej i koronowej kanału oraz dotworzeniu ubytku w koronie zęba.
Od pewnego czasu do wypełnienia części wierzchołkowej kanału zaleca się, poza preparatami typu MTA, inne bioaktywne cementy zawierające krzemiany wapnia, w tym:

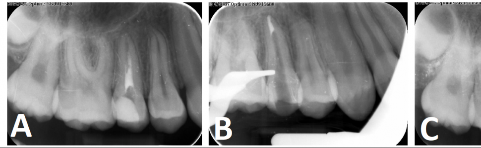
Ryc. 2. Ząb 15 leczony endodontycznie (otwór wierzchołkowy o rozmiarze 100): A. zdjęcie rentgenowskie wykonane w trakcie leczenia, w kanale widoczny materiał zawierający jodoform; B. zdjęcie rentgenowskie wykonane po wypełnieniu części wierzchołkowej preparatem Well-Root PT; C. zdjęcie rentgenowskie po wypełnieniu części środkowej i koronowej kanału.
W tabeli I umieszczono również czasy wiązania nowych materiałów bioceramicznych. Są one stosunkowo krótkie, co wymusza na operatorze dość szybką pracę. Odrębny problem stanowi wypłukiwalność materiału. Ta cecha nie jest istotna pod warunkiem, że nie wykonuje się płukania kanału (części środkowej i koronowej) na wizycie, podczas której założono cement. O ile materiały w postaci gotowej pasty po wstępnym związaniu, tj. po około 20 minutach, są dość odporne na wypłukiwanie, to preparat Biodentine, który również wiąże dość szybko nie powinien być po 12 minutach od założenia, tj. po wstępnym związaniu, poddawany działaniu roztworów płuczących.
TABELA I. Preparaty bioceramiczne uzyskiwane w wyniku syntezy stosowane do zamknięcia otworu wierzchołkowego podczas apeksyfi kacji jednowizytowej

Choć tzw. szeroki otwór wierzchołkowy może również dotyczyć np.:
- zębów z resorpcją wierzchołka korzenia spowodowaną zapalnym procesem okołowierzchołkowym lub leczeniem ortodontycznym,
- zębów z jatrogennym poszerzeniem w wyniku nieprawidłowego określenia długości roboczej,
- zębów po nieskutecznym zabiegu resekcji w przypadku, których podjęto decyzję o ponownym wkroczeniu do jamy zęba od strony korony.

Ryc. 1. Wypełnienie części wierzchołkowej kanału materiałem bioceramicznym (zabieg wykonania „korka”): A. aplikacja pierwszej porcji materiału do kanału; B. kondensacja pierwszej porcji materiału w okolicy otworu wierzchołkowego; C. kondensacja ostatniej porcji materiału; D. kanał wypełniony materiałem bioceramicznym na długości 4-5 mm; E. stan po wypełnieniu części środkowej i koronowej kanału oraz dotworzeniu ubytku w koronie zęba.
Od pewnego czasu do wypełnienia części wierzchołkowej kanału zaleca się, poza preparatami typu MTA, inne bioaktywne cementy zawierające krzemiany wapnia, w tym:
- syntetyczną bioceramikę wymagającą mieszania z odpowiednim roztworem np. BioAggregate (Innovative BioCeramix), Biodentine (Septodont);
- względnie preparaty w postaci jednej pasty niewymagające mieszania np. iRoot BC RRM Putty (Innovative BioCeramix), EndoSequence BC RRM Putty (Brassler), TotalFill BC RRM Putty (FKG), Well-Root PT (Vericom), Bio-C Repair (Angelus).

Ryc. 2. Ząb 15 leczony endodontycznie (otwór wierzchołkowy o rozmiarze 100): A. zdjęcie rentgenowskie wykonane w trakcie leczenia, w kanale widoczny materiał zawierający jodoform; B. zdjęcie rentgenowskie wykonane po wypełnieniu części wierzchołkowej preparatem Well-Root PT; C. zdjęcie rentgenowskie po wypełnieniu części środkowej i koronowej kanału.
W tabeli I umieszczono również czasy wiązania nowych materiałów bioceramicznych. Są one stosunkowo krótkie, co wymusza na operatorze dość szybką pracę. Odrębny problem stanowi wypłukiwalność materiału. Ta cecha nie jest istotna pod warunkiem, że nie wykonuje się płukania kanału (części środkowej i koronowej) na wizycie, podczas której założono cement. O ile materiały w postaci gotowej pasty po wstępnym związaniu, tj. po około 20 minutach, są dość odporne na wypłukiwanie, to preparat Biodentine, który również wiąże dość szybko nie powinien być po 12 minutach od założenia, tj. po wstępnym związaniu, poddawany działaniu roztworów płuczących.
TABELA I. Preparaty bioceramiczne uzyskiwane w wyniku syntezy stosowane do zamknięcia otworu wierzchołkowego podczas apeksyfi kacji jednowizytowej

PIŚMIENNICTWO
- Bose R, Nummikoski P, Hargreaves K. A retrospective evaluation of radiographic outcomes in immature teeth with necrotic root canal systems treated with regenerative endodontic procedures. J Endod. 2009; 35: 1343-1349.
- Jeeruphan T, Jantarat J, Yanpiset K i wsp. Mahidol study 1: comparison of radiographic and survival outcomes of immature teeth treated with either regenerative endodontic or apexification methods: a retrospective study. J Endod. 2012; 38: 1330-1336.
- Nagy MM, Tawfik HE, Hashem AA i wsp. Regenerative potential of immature permanent teeth with necrotic pulps after different regenerative protocols. J Endod. 2014; 40: 192-198.
- Kahler B, Mistry S, Moule A i wsp. Revascularization outcomes: a prospective analysis of sixteen consecutive cases. J Endod. 2014; 40: 333-338.
- Alobaid AS, Cortes LM, Lo J i wsp. Radiographic and clinical outcomes of the treatment of immature permanent teeth by revascularization or apexification: a pilot retrospective cohort study. J Endod. 2014; 40: 1063-1070.
- Lipski M, Lichota D, Dura W i wsp. Powtórne leczenie endodontyczne zęba z szerokim otworem wierzchołkowy. Opis przypadku. Mag Stomatol. 2015; 25: 67-72.
- Lipski M, Lichota D, Nowicka A. Leczenie endodontyczne zęba z niezakończonym rozwojem korzenia metodą apeksyfikacji z użyciem preparatu o dużej biozgodności. Opis przypadku. Mag Stomatol. 2017; 27: 54-57.
- Songtrakul K, Azarpajouyh T, Malek M i wsp. Modified apexification procedure for immature permanent teeth with a necrotic pulp/apical periodontitis: a case series. J Endod. 2020; 46: 116-123.
- Sarnowski A. Management of the open apex using a bioceramic apical barrier: success and survival rates at Virginia Commonwealth University. Richmond: Virginia Commonwealth University; 2019.
- Vidal K, Martin G, Lozano O i wsp. Apical closure in apexification: a review and case report of apexification treatment of an immature permanent tooth with Biodentine. J Endod. 2016; 42: 730-734.
m