Odroczone zaopatrzenie protetyczne zęba po zwichnięciu (...)

Odroczone zaopatrzenie protetyczne zęba po zwichnięciu (...)

Dostęp do tego artykułu jest płatny.
Zapraszamy do zakupu!

Cena: 23.76 PLN (z VAT)

Po dokonaniu zakupu artykuł w postaci pliku PDF prześlemy bezpośrednio pod twój adres e-mail.

Kup artykuł
MS 2022; 3: 10-16.


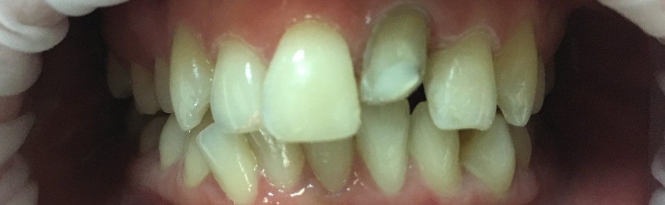
Odroczone zaopatrzenie protetyczne zęba po zwichnięciu całkowitym wraz z powikłaniami. Opis przypadku

Postponed avulsed tooth reconstruction and complications – case report

Marta Szczepaniak, Rafał Szymański

Streszczenie
Urazy zębów są jednymi z najbardziej nieprzewidywalnych w skutkach sytuacjami w stomatologii. Nawet w pełni prawidłowe postępowanie podczas udzielania pierwszej pomocy pourazowej nie gwarantuje uniknięcia powikłań, które mogą być wczesne lub wystąpić dopiero po wielu latach. Z tego względu zęby po urazach należy oddawać regularnej kontroli. Każdą z form ich odbudowy trzeba traktować, jako potencjalnie tymczasową ze względu na możliwą konieczność reinterwencji w przyszłości.

Abstract
Tooth injuries are one of the most unpredictable outcomes in dentistry. Even fully correct first aid procedures do not always allow to avoid complications that may appear immediately or even after many years. For this reason teeth after injuries should undergo periodic control. Each form of their reconstruction should be treated as potentially temporary due to the possible need for re‑intervention in the future.

Hasła indeksowe: urazy zębów, zwichnięcie całkowite, resorpcja, BPR

Key words: tooth injuries, tooth avulsion, resorption, BPR

PIŚMIENNICTWO
  1. Diangelis AJ, Andreasen JO, Ebeleseder KA i wsp. International Association of Dental Traumatology guidelines for the management of traumatic dental injuries: 1. Fractures and luxations of permanent teeth. Dent Traumatol. 2012; 28(1): 2-12.
  2. Andreasen JO, Bakland LK, Flores MT i wsp. Kaczmarek U (red. wyd. pol.). Pourazowe uszkodzenia zębów. Wrocław: Elsevier Urban & Partner; 2012.
  3. Steciuk A, Emerich K. Urazy zębów – przegląd wytycznych postępowania na podstawie piśmiennictwa oraz opisu przypadków. Ann Acad Med Gedan. 2016; 46: 65-74.
  4. Malinowska A. Zwichnięcie całkowite zęba stałego. Nowa Stomatol. 2018; 23(3): 121-125.
  5. Barańska-Gachowska M, Postek-Stefańska L. Endodoncja wieku rozwojowego i dojrzałego. Lublin: Czelej; 2011.
poprzedni artykuł