MS 2021; 1: 26-29.

Powtórna endodoncja mikroskopowa z mikrochirurgią endodontyczną zęba 16 w 4-letniej obserwacji. Opis przypadku
A repeat microscopic endodontics with endodontic microsurgery of tooth 16 in a four‑year follow‑up. A case study
Michał Rawicki
Streszczenie
Powtórne leczenie kanałowe należy do rutynowych zabiegów stomatologicznych. Jest to procedura o wiele trudniejsza do przeprowadzenia niż leczenie pierwotne i gorzej rokująca. Dlatego też przed rozpoczęciem leczenia należy przeprowadzić dokładny wywiad, badanie przedmiotowe oraz dodatkowe badania, aby uniknąć błędnego rozpoznania, leczenia i w konsekwencji niepowodzenia leczenia. W niniejszej pracy przedstawiłem opis przypadku zęba gdzie rozpoznaniem wstępnym był ziarniniak zapalny, ostatecznym zaś torbiel korzeniowa. Leczenie obejmowało powtórną endodoncję i leczenie chirurgiczne – resekcję wierzchołków korzeni opisywanego zęba i wyłuszczenie torbieli. W czteroletniej obserwacji klinicznej leczenie takie zagwarantowało sukces terapeutyczny.
Abstract
A repeat root canal treatment belongs to routine dental procedures. This procedure is much more difficult to carry out than the primary treatment and has a worse prognosis. Therefore, before starting the treatment, a careful history, physical examination, and additional examinations should be performed to avoid misdiagnosis, treatment and subsequent treatment failure. In this paper, I present a case report of a tooth where the initial diagnosis was an inflammatory granuloma, and the final diagnosis was a root cyst. The treatment included a repeated endodontics and surgical treatment - resection of the root apex of the described tooth and the enucleation of the cyst. In four years of clinical follow-up such treatment guaranteed therapeutic success.
Hasła indeksowe: powtórne leczenie kanałowe, mikrochirurgia endodontyczna, resekcja wierzchołka korzenia zęba, wyłuszczenie torbieli
Key words: repeat root canal treatment, endodontic microsurgery, root apex resection, cystic enucleation
Wprowadzenie
Celem niniejszej pracy jest udowodnienie, jak właściwie przeprowadzona endodonocja mikroskopowa w połączeniu z mikrochirurgią endodontyczną jest w stanie, w dobie dzisiejszej stomatologii, sprawić, że ząb pozornie spisany na straty może funkcjonować jeszcze przez wiele lat. Opisałem tutaj 4-letnią obserwację zęba 16 poddanego zabiegom powtórnego leczenia kanałowego i cystektomii.
Opis przypadku
W styczniu 2016 roku do mojej praktyki zgłosił się pacjent w wieku 35 lat, bez chorób ogólnych, alergii. Nie zgłaszał także żadnych dolegliwości ze strony układu stomatognatycznego. Leków na stałe nie przyjmował. W badaniu zewnątrzustnym nie stwierdzono żadnych odstępstw od normy. W badaniu wewnątrzustnym – przyzębie nie krwawiło po sondowaniu, nie stwierdzono zwiększonej ruchomości zęba. Dało się jednak usłyszeć głuchy dźwięk w trakcie jego opukiwania.
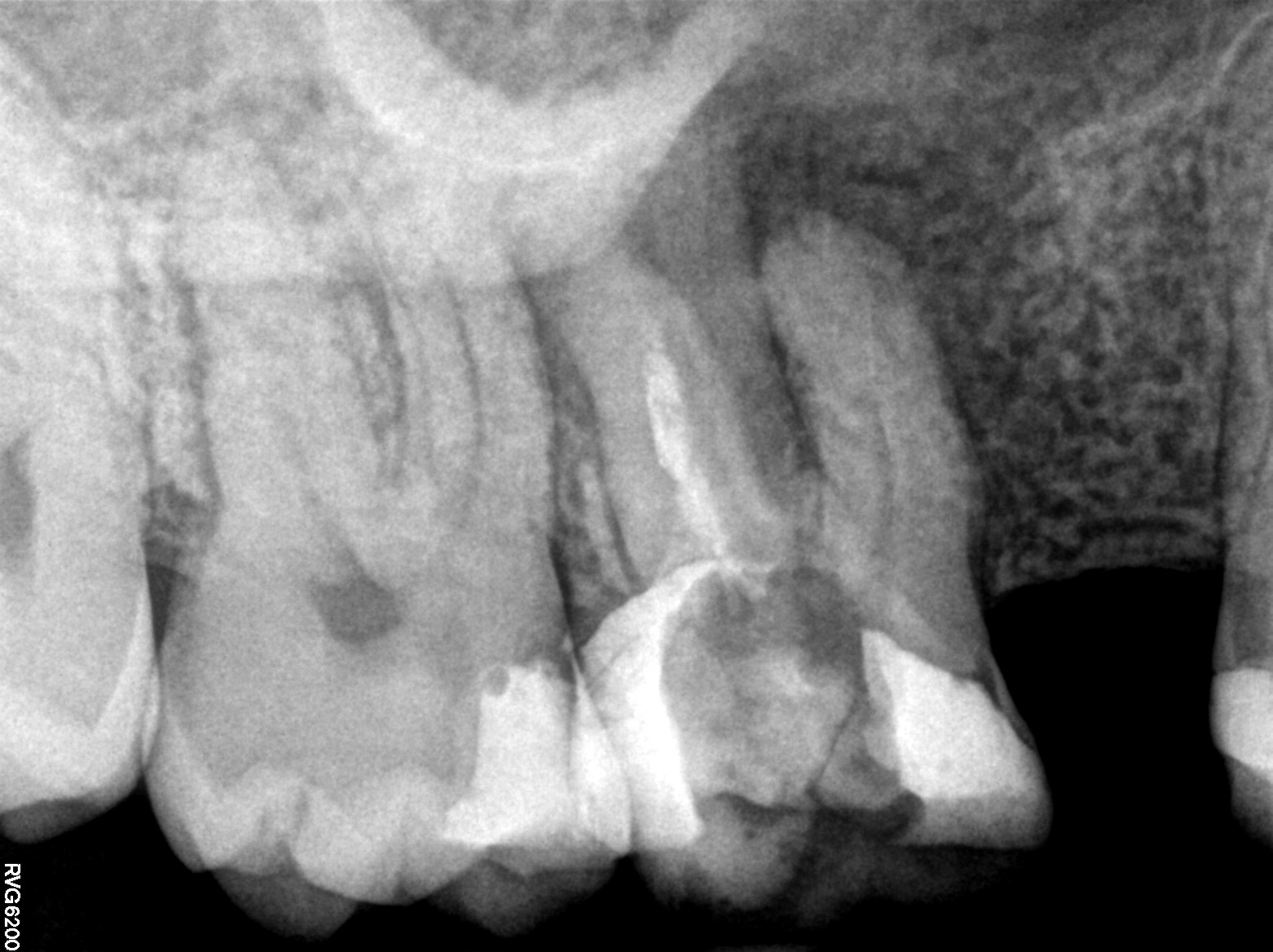
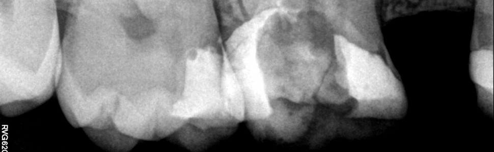
Do wizyty w gabinecie skłoniło pacjenta pobolewanie zęba, trwające od kilku tygodni, stale przybierające na sile. Pacjent nie gorączkował. Wykonano zdjęcie punktowe (ryc. 1), na którym stwierdzono obecność zmiany okołowierzchołkowej i niewłaściwie przeprowadzone, kilka lat wcześniej, leczenie kanałowe. Rozpoznanie wstępne wskazywało na przewlekłe ziarninowe zapalenie tkanek okołowierzchołkowych.

Ryc. 1. Zdjęcie zęba 16 przed leczeniem wykonane w systemie radiografii cyfrowej.
Pacjenta zakwalifikowano do powtórnego leczenia kanałowego. Na wizycie przystąpiono do leczenia. Podano znieczulenie nasiękowe Orabloc (40 mg artykainy + 0,01 mg adrenaliny/ml), ząb zabezpieczono koferdamem i uzyskano dostęp do komory zęba wypełnionej martwą, zainfekowaną miazgą oraz gutaperką (kanał policzkowy dalszy). Za pomocą pilników ręcznych (C‑Pilot File, VDW), maszynowych (Pro-Taper Next, Dentsply Maillefer), stosując powiększenie (Global A‑Series, Global Surgical Corporation), przy użyciu techniki crown down przystąpiono do chemo-mechanicznego opracowania kanałów: policzkowego przedniego i podniebiennego. Do płukania użyto 5,25-procentowego roztworu podchlorynu sodu (Chloraxid 5,25%, Cerkamed), który następnie aktywowano ultradźwiękami. Protokół opracowania kanału policzkowego dalszego nie odbiegał od poprzedniego, z tą tylko różnicą, że do usuwania gutaperki wykorzystano rozpuszczalnik (Orange Guttane, Cerkamed) i maszynowe pilniki do powtórnego leczenia endodontycznego (Pro‑Taper Next, Dentsply Maillefer). Kończąc opracowanie tego kanału, do płukania zastosowano także 2-procentowy roztwór chlorheksydyny (Gluco‑Chex 2%, Cerkamed).
Na koniec protokołu irygacji użyto roztworu soli fizjologicznej (Natrium Chloratum 0,9% Fresenius, Fresenius Kabi Polska Sp. z o.o.) w celu dokładnego usunięcia z kanałów zęba pozostałości podchlorynu i 15-procentowego EDTA (Endo‑Prep Cream, Cerkamed). Jako uszczelniacz zastosowano AH Plus (Dentsply DeTrey). Kanały wypełniono gutaperką metodą kondensacji pionowej na ciepło – System B (SybronEndo) + Obtura III Max (Spartan). Założono wypełnienie stałe (Gradia Direct, GC Corporation).
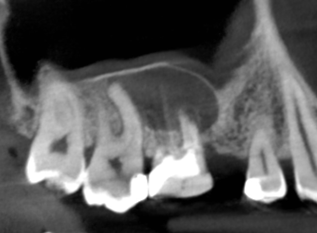
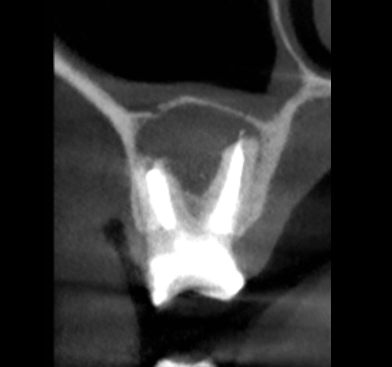
Kanały policzkowe udało się opracować i wypełnić do 1/3 wierzchołkowej, dalsze części kanałów były całkowicie zobliterowane. W trakcie opracowywania kanału podniebiennego zauważono wyciek żółtego opalizującego płynu spoza wierzchołka korzenia zęba, który po kilku minutach samoistnie ustał. Zasugerowało to obecność torbieli korzeniowej. Po zakończeniu leczenia endodontycznego wykonano zdjęcie punktowe kontrole (ryc. 2) oraz tomografię komputerową wiązki stożkowej (cone beam computed tomography – CBCT) opisywanego zęba. Jej rezultat przedstawiają ryciny 3‑6. Widzimy na nich znacznych rozmiarów torbiel korzeniową, która w toku leczenia musi zostać usunięta. Ustalono rozpoznanie ostateczne – torbiel okołowierzchołkowa. Omówiono z pacjentem jego stan i zaproponowano dalsze leczenie, na które wyraził zgodę.

Ryc. 2. Zdjęcie zęba 16 po leczeniu wykonane w systemie radiografii cyfrowej.

Ryc. 3. CBCT – obraz zmiany w płaszczyźnie strzałkowej.

Ryc. 4. CBCT – obraz zmiany w płaszczyźnie czołowej.

Ryc. 5. Rekonstrukcja 3D – obraz zmiany z boku.

Ryc. 6. Rekonstrukcja 3D – obraz zmiany z góry.
Na kolejnej wizycie przystąpiono do zabiegu chirurgicznego. W znieczuleniu przewodowym i nasiękowym Orabloc (40 mg artykainy + 0,01 mg adrenaliny/ml) uzyskano dostęp do torbieli, przy użyciu Piezosurgery (Mectron). Dokładnie oczyszczono lożę torbieli z torebki łącznotkankowej, a następnie obficie przepłukano solą fizjologiczną (Natrium Chloratum 0,9%) oraz roztworem metronidazolu (Metronidazol 0,5% 5 mg/ml, Polpharma SA). Zgodnie z wytycznymi mikrochirurgii endodontycznej opracowano wierzchołki korzeni zęba. Ranę zaszyto szwami apikalnymi (Amifil M 5.0, Sinpo) oraz węzełkowymi (Amifil M 6.0, Sinpo).
Zabieg wykonano w osłonie antybiotykowej (Clindamycin MIP 600; MIP Pharma Polska). Pacjentowi przekazano zalecenia higienizacyjne, a po 2 tygodniach zdjęto szwy. Wizyty kontrolne zalecono co pół roku. Niestety, pacjent się na nich nie pojawił.
Minęły 4 lata. W marcu 2020 roku pacjent zgłosił się z innym problemem i przy okazji wykonałem tomografię leczonego wcześniej zęba. Rezultat terapeutyczny przedstawiają ryciny 7‑10. Widzimy na nich całkowitą remisję zmiany i powrót fizjologicznej pneumatyzacji zatoki szczękowej w danym miejscu.

Ryc. 7. CBCT – porównanie obrazów zmiany w płaszczyźnie strzałkowej przed i po leczeniu.

Ryc. 8. CBCT – porównanie obrazów zmiany w płaszczyźnie czołowej przed i po leczeniu.

Ryc. 9. Rekonstrukcja 3D – porównanie obrazów zmiany przed i po leczeniu, widok z boku.

Ryc. 10. Rekonstrukcja 3D – porównanie obrazów zmiany przed i po leczeniu, widok z góry.
Posumowanie
Przedstawiony przypadek pokazuje, że należy być czujnym w trakcie diagnostyki i planowania leczenia. Często samo zdjęcie punktowe nie wystarczy, daje nam za mało informacji. Natomiast diagnoza wstępna nie pokrywa się z ostateczną. Optymizmem napawa jednak fakt, że pomimo wielu niespodzianek zastałych w kanałach nowoczesna endodoncja pozwala sobie z nimi poradzić. Czasami trzeba wesprzeć się mikrochirurgią endodontyczną, ale rezultat naszych wysiłków, jak pokazuje niniejsza praca, potrafi zaowocować wieloletnim sukcesem terapeutycznym.
Powtórne leczenie kanałowe należy do rutynowych zabiegów stomatologicznych. Jest to procedura o wiele trudniejsza do przeprowadzenia niż leczenie pierwotne i gorzej rokująca. Dlatego też przed rozpoczęciem leczenia należy przeprowadzić dokładny wywiad, badanie przedmiotowe oraz dodatkowe badania, aby uniknąć błędnego rozpoznania, leczenia i w konsekwencji niepowodzenia leczenia. W niniejszej pracy przedstawiłem opis przypadku zęba gdzie rozpoznaniem wstępnym był ziarniniak zapalny, ostatecznym zaś torbiel korzeniowa. Leczenie obejmowało powtórną endodoncję i leczenie chirurgiczne – resekcję wierzchołków korzeni opisywanego zęba i wyłuszczenie torbieli. W czteroletniej obserwacji klinicznej leczenie takie zagwarantowało sukces terapeutyczny.
Abstract
A repeat root canal treatment belongs to routine dental procedures. This procedure is much more difficult to carry out than the primary treatment and has a worse prognosis. Therefore, before starting the treatment, a careful history, physical examination, and additional examinations should be performed to avoid misdiagnosis, treatment and subsequent treatment failure. In this paper, I present a case report of a tooth where the initial diagnosis was an inflammatory granuloma, and the final diagnosis was a root cyst. The treatment included a repeated endodontics and surgical treatment - resection of the root apex of the described tooth and the enucleation of the cyst. In four years of clinical follow-up such treatment guaranteed therapeutic success.
Hasła indeksowe: powtórne leczenie kanałowe, mikrochirurgia endodontyczna, resekcja wierzchołka korzenia zęba, wyłuszczenie torbieli
Key words: repeat root canal treatment, endodontic microsurgery, root apex resection, cystic enucleation
Wprowadzenie
Celem niniejszej pracy jest udowodnienie, jak właściwie przeprowadzona endodonocja mikroskopowa w połączeniu z mikrochirurgią endodontyczną jest w stanie, w dobie dzisiejszej stomatologii, sprawić, że ząb pozornie spisany na straty może funkcjonować jeszcze przez wiele lat. Opisałem tutaj 4-letnią obserwację zęba 16 poddanego zabiegom powtórnego leczenia kanałowego i cystektomii.
Opis przypadku
W styczniu 2016 roku do mojej praktyki zgłosił się pacjent w wieku 35 lat, bez chorób ogólnych, alergii. Nie zgłaszał także żadnych dolegliwości ze strony układu stomatognatycznego. Leków na stałe nie przyjmował. W badaniu zewnątrzustnym nie stwierdzono żadnych odstępstw od normy. W badaniu wewnątrzustnym – przyzębie nie krwawiło po sondowaniu, nie stwierdzono zwiększonej ruchomości zęba. Dało się jednak usłyszeć głuchy dźwięk w trakcie jego opukiwania.
Do wizyty w gabinecie skłoniło pacjenta pobolewanie zęba, trwające od kilku tygodni, stale przybierające na sile. Pacjent nie gorączkował. Wykonano zdjęcie punktowe (ryc. 1), na którym stwierdzono obecność zmiany okołowierzchołkowej i niewłaściwie przeprowadzone, kilka lat wcześniej, leczenie kanałowe. Rozpoznanie wstępne wskazywało na przewlekłe ziarninowe zapalenie tkanek okołowierzchołkowych.

Ryc. 1. Zdjęcie zęba 16 przed leczeniem wykonane w systemie radiografii cyfrowej.
Pacjenta zakwalifikowano do powtórnego leczenia kanałowego. Na wizycie przystąpiono do leczenia. Podano znieczulenie nasiękowe Orabloc (40 mg artykainy + 0,01 mg adrenaliny/ml), ząb zabezpieczono koferdamem i uzyskano dostęp do komory zęba wypełnionej martwą, zainfekowaną miazgą oraz gutaperką (kanał policzkowy dalszy). Za pomocą pilników ręcznych (C‑Pilot File, VDW), maszynowych (Pro-Taper Next, Dentsply Maillefer), stosując powiększenie (Global A‑Series, Global Surgical Corporation), przy użyciu techniki crown down przystąpiono do chemo-mechanicznego opracowania kanałów: policzkowego przedniego i podniebiennego. Do płukania użyto 5,25-procentowego roztworu podchlorynu sodu (Chloraxid 5,25%, Cerkamed), który następnie aktywowano ultradźwiękami. Protokół opracowania kanału policzkowego dalszego nie odbiegał od poprzedniego, z tą tylko różnicą, że do usuwania gutaperki wykorzystano rozpuszczalnik (Orange Guttane, Cerkamed) i maszynowe pilniki do powtórnego leczenia endodontycznego (Pro‑Taper Next, Dentsply Maillefer). Kończąc opracowanie tego kanału, do płukania zastosowano także 2-procentowy roztwór chlorheksydyny (Gluco‑Chex 2%, Cerkamed).
Na koniec protokołu irygacji użyto roztworu soli fizjologicznej (Natrium Chloratum 0,9% Fresenius, Fresenius Kabi Polska Sp. z o.o.) w celu dokładnego usunięcia z kanałów zęba pozostałości podchlorynu i 15-procentowego EDTA (Endo‑Prep Cream, Cerkamed). Jako uszczelniacz zastosowano AH Plus (Dentsply DeTrey). Kanały wypełniono gutaperką metodą kondensacji pionowej na ciepło – System B (SybronEndo) + Obtura III Max (Spartan). Założono wypełnienie stałe (Gradia Direct, GC Corporation).
Kanały policzkowe udało się opracować i wypełnić do 1/3 wierzchołkowej, dalsze części kanałów były całkowicie zobliterowane. W trakcie opracowywania kanału podniebiennego zauważono wyciek żółtego opalizującego płynu spoza wierzchołka korzenia zęba, który po kilku minutach samoistnie ustał. Zasugerowało to obecność torbieli korzeniowej. Po zakończeniu leczenia endodontycznego wykonano zdjęcie punktowe kontrole (ryc. 2) oraz tomografię komputerową wiązki stożkowej (cone beam computed tomography – CBCT) opisywanego zęba. Jej rezultat przedstawiają ryciny 3‑6. Widzimy na nich znacznych rozmiarów torbiel korzeniową, która w toku leczenia musi zostać usunięta. Ustalono rozpoznanie ostateczne – torbiel okołowierzchołkowa. Omówiono z pacjentem jego stan i zaproponowano dalsze leczenie, na które wyraził zgodę.

Ryc. 2. Zdjęcie zęba 16 po leczeniu wykonane w systemie radiografii cyfrowej.

Ryc. 3. CBCT – obraz zmiany w płaszczyźnie strzałkowej.

Ryc. 4. CBCT – obraz zmiany w płaszczyźnie czołowej.

Ryc. 5. Rekonstrukcja 3D – obraz zmiany z boku.

Ryc. 6. Rekonstrukcja 3D – obraz zmiany z góry.
Na kolejnej wizycie przystąpiono do zabiegu chirurgicznego. W znieczuleniu przewodowym i nasiękowym Orabloc (40 mg artykainy + 0,01 mg adrenaliny/ml) uzyskano dostęp do torbieli, przy użyciu Piezosurgery (Mectron). Dokładnie oczyszczono lożę torbieli z torebki łącznotkankowej, a następnie obficie przepłukano solą fizjologiczną (Natrium Chloratum 0,9%) oraz roztworem metronidazolu (Metronidazol 0,5% 5 mg/ml, Polpharma SA). Zgodnie z wytycznymi mikrochirurgii endodontycznej opracowano wierzchołki korzeni zęba. Ranę zaszyto szwami apikalnymi (Amifil M 5.0, Sinpo) oraz węzełkowymi (Amifil M 6.0, Sinpo).
Zabieg wykonano w osłonie antybiotykowej (Clindamycin MIP 600; MIP Pharma Polska). Pacjentowi przekazano zalecenia higienizacyjne, a po 2 tygodniach zdjęto szwy. Wizyty kontrolne zalecono co pół roku. Niestety, pacjent się na nich nie pojawił.
Minęły 4 lata. W marcu 2020 roku pacjent zgłosił się z innym problemem i przy okazji wykonałem tomografię leczonego wcześniej zęba. Rezultat terapeutyczny przedstawiają ryciny 7‑10. Widzimy na nich całkowitą remisję zmiany i powrót fizjologicznej pneumatyzacji zatoki szczękowej w danym miejscu.

Ryc. 7. CBCT – porównanie obrazów zmiany w płaszczyźnie strzałkowej przed i po leczeniu.

Ryc. 8. CBCT – porównanie obrazów zmiany w płaszczyźnie czołowej przed i po leczeniu.

Ryc. 9. Rekonstrukcja 3D – porównanie obrazów zmiany przed i po leczeniu, widok z boku.

Ryc. 10. Rekonstrukcja 3D – porównanie obrazów zmiany przed i po leczeniu, widok z góry.
Posumowanie
Przedstawiony przypadek pokazuje, że należy być czujnym w trakcie diagnostyki i planowania leczenia. Często samo zdjęcie punktowe nie wystarczy, daje nam za mało informacji. Natomiast diagnoza wstępna nie pokrywa się z ostateczną. Optymizmem napawa jednak fakt, że pomimo wielu niespodzianek zastałych w kanałach nowoczesna endodoncja pozwala sobie z nimi poradzić. Czasami trzeba wesprzeć się mikrochirurgią endodontyczną, ale rezultat naszych wysiłków, jak pokazuje niniejsza praca, potrafi zaowocować wieloletnim sukcesem terapeutycznym.
m