
Uzupełnienie braku zęba 36, a konieczność leczenia kanałowego zęba 26 z powodu efektu Godona – leczenie kanałowe jako jeden z etapów leczenia u pacjentów z zaburzeniami okluzji
Replacement of the missing tooth 36 and the need for root canal treatment of tooth 26 due to Godon’s effect ‑ root canal treatment as one of the treatment stages in patients with occlusion disorders
Agata Dąbrowska-Adamek
Streszczenie
Narząd żucia jest złożoną i wyspecjalizowaną jednostką. Składa się przede wszystkim z kości, mięśni, więzadeł i zębów. Brak chociażby jednego zęba może negatywnie wpływać na cały układ stomatognatyczny, niezależnie od tego, czy dotyczy to braku zębów siecznych, kłów, zębów przedtrzonowych czy trzonowych. Dla stomatologów najważniejsze jest zachowanie zdrowej, żywej miazgi, natomiast często przywrócenie prawidłowej okluzji wymaga od nas leczenia kanałowego, mimo braku patologicznych sygnałów ze strony miazgi. Celem niniejszej publikacji jest przedtawienie, jak ważnym etapem jest leczenie kanałowe u pacjentów z zaburzeniami okluzji. Obecność sześciu kanałów w pierwszych górnych zębach trzonowych jest niezwykle rzadkie.
Abstract
The chewing organ is a complex and specialized unit. It mainly consists of bones, muscles, ligaments and teeth. The absence of even one tooth can negatively affect the entire stomatognathic system, regardless of whether it concerns the absence of incisors, canines, premolars or molars. For dentists, the most important thing is to maintain a healthy, vital pulp, while restoring the correct occlusion often requires us to perform root canal treatment despite the lack of pathological signals from the pulp.The aim of this publication is to present the importance of root canal treatment in patients with occlusion disorders. The presence of six canals in the first upper molars is extremely rare.
Hasła indeksowe: efekt Godona, okluzja, układ stomatognatyczny, MB1, MB2, MB3, DB1, DB2, leczenie kanałowe
Key words: Godon’s effect, occlusion, stomatognathic system, MB1, MB2, MB3, DB1, DB2, root canal treatment
Wprowadzenie
Narząd żucia jest złożoną i wyspecjalizowaną jednostką. Składa się przede wszystkim z kości, mięśni, więzadeł i zębów. Brak chociażby jednego zęba może negatywnie wpływać na cały układ stomatognatyczny, niezależnie od tego, czy dotyczy to braku zębów siecznych, kłów, zębów przedtrzonowych czy trzonowych. Mogłoby się wydawać, że uzupełnienie pojedynczego braku nie powinno stanowić żadnych problemów dla współczesnej stomatologii, natomiast nie od dzisiaj wiadomo, że długotrwały ubytek któregoś z zębów niesie ze sobą konsekwencje w zębach sąsiadujących, czy też przeciwstawnych. Po utracie zębów w żuchwie dochodzi do wysuwania się zębów przeciwstawnych, w tym przypadku w szczęce. Zjawisko to nosi nazwę efekt Godona. W konsekwencji tego zjawiska często konieczne jest przeprowadzenie leczenia kanałowego zęba przemieszczającego się do luki przed jego odbudową protetyczną. Dla stomatologów najważniejsze jest zachowanie zdrowej, żywej miazgi, natomiast często przywrócenie prawidłowej okluzji wymaga od nas leczenia kanałowego, mimo braku patologicznych sygnałów ze strony miazgi.
Opis przypadku
Do kliniki zgłosił się pacjent w wieku 42 lat w celu uzupełnienia braku zęba 36. Opierając się na pełnych badaniach podmiotowym i przedmiotowym (włączając w to badanie mięśni, stawów i badania zgryzu), protetyk skonstruował kompleksowy plan leczenia pacjenta (ryc. 1). Podjęto się próby oszlifowania zęba pod nakład. Podczas szlifowania doszło do obnażenia miazgi. Ze względu na duże wysunięcie zęba 26 i konieczności dalszej preparacji, protetyk zdecydował się na skierowanie pacjenta na leczenie kanałowe przed ostateczną odbudową. Zaplanowano leczenie jednowizytowe – ząb był wyłączony ze zgryzu i zabezpieczony Coltosol F (Coltene). 
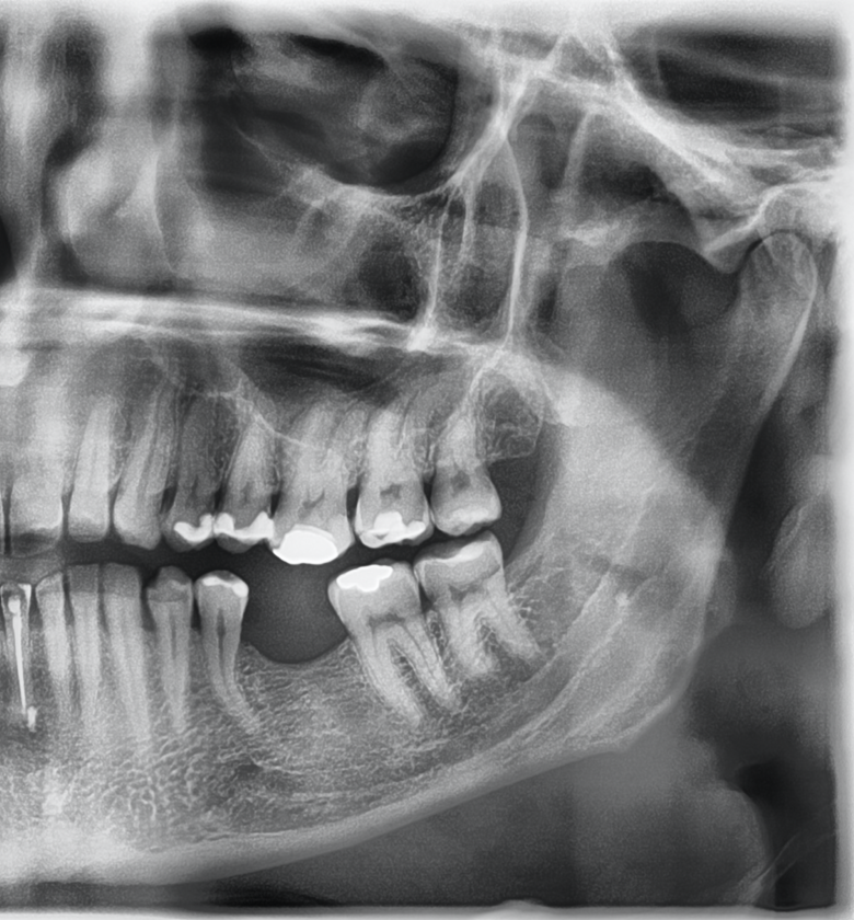
Ryc. 1. Pantomogram strony lewej zębów szczęki i żuchwy wykonany w momencie zgłoszenia się pacjenta do gabinetu.
Przed leczeniem kanałowym wykonano zdjęcie rentgenowskie (ryc. 2). Ze względu na obecność żywej miazgi wykonano znieczulenie nasiękowe 1 ampułką Citocartin 100 (Molteni Dental). W osłonie koferdamu Blossom z zastosowaniem klamry 12A firmy Hygenic usunięto opatrunek. W powiększeniu mikroskopu Zumax wykonano dostęp endodontyczny wiertłem różyczkowym z węglika spiekanego o rozmiarze 014. Komora została poszerzona w kierunku mezjalno‑dystalnym. Odsłonięto ujścia czterech kanałów korzeniowych – MB1, MB2, DB1, P. Wykonano negocjację pilnikiem C‑file 10 (VDW) z pomiarem długości roboczej za pomocą endometru (VDW Reciproc Gold). Dokładna inspekcja dna komory w powiększeniu mikroskopu pozwoliła dostrzec dwa kolejne ujścia – MB3 i DB2. Występowanie kanału MB3 i DB2 jest znacznie rzadsze niż MB2 i DB1 i znajdują się one bliżej kanału podniebiennego. Negocjację kanałów MB3 i DB2 rozpoczęto od pilnika C‑file 10, zaginając narzędzie na kształt litery J (ryc. 3) – nie uzyskano pełnej długości, dlatego w kolejnym etapie użyto narzędzia 08, zaginając je na kształt litery A (ryc. 4); również nie uzyskano pełnej długości roboczej. Narzędzie C‑file 06 zagięte na kształt litery A osiągnęło otwór wierzchołkowy – potwierdzono długość roboczą i przystąpiono do wykonywania ruchów góra‑dół, bez nakręcania zegarka.
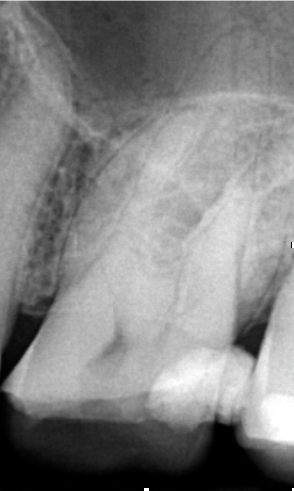
Ryc. 2. Zdjęcie rentgenowskie przed rozpoczęciem leczenia kanałowego.
Ryc. 3. Zagięcie narzędzia na kształt litery J.
Ryc. 4. Zagięcie narzędzia na kształt litery A.
Po wykonaniu we wszystkich kanałach glide path narzędziami ręcznymi (C‑file 10 > 12 > 15, K‑files Mani 20) przystąpiono do chemo‑mechanicznego opracowywania kanałów narzędziami maszynowymi ProTaper Gold SX 19 mm (Dentsply Maillefer), ProTaper Next 25 mm X1 17/.04 (Dentsply Maillefer). Kanały MB1, MB2, MB3 opracowano do X2 25/.06, kanał P opracowano do X3 30/.07, obficie płucząc kanały podchlorynem sodu 5,25-procentowym (Cerkamed) po każdym użytym narzędziu. Ze względu na złożoną budowę anatomiczną korzenia policzkowego mezjalnego i policzkowego dystalnego leczenie rozłożono na dwie wizyty. Między wizytami kanały pozostawiono puste, a ząb zabezpieczono glassjonomerem Riva Self Cure (SDI).
Na kolejnej wizycie wykonano ostateczne płukanie kanałów korzeniowych w następującej sekwencji: 5,25-procentowy NaOCl (Cerkamed) 5 ml na każdy kanał, kwas cytrynowy 40-procentowy (Cerkamed) 3,5 ml na każdy kanał w dwóch cyklach z aktywacją ćwiekiem gutaperkowym o identycznym rozmiarze jak ostatnie użyte narzędzie maszynowe – MDI (manual dynamic irrigation). Kanały osuszono sączkami papierowymi (VDW) i wypełniono metodą kondensacji bocznej zimnej gutaperki z AH Plus Jet (Dentsply De-Trey) (ryc. 5). Ząb zabezpieczono glassjonomerem Riva Self Cure, wykonano kontrolne zdjęcie rentgenowskie (ryc. 6) i odesłano pacjenta do lekarza prowadzącego, który wykonał ostateczną odbudowę protetyczną – endokoronę. Po ukończonym leczeniu kanałowym chirurg stomatologiczny wszczepił pacjentowi implant w miejscu braku zęba 36, który został obciążony po 3 miesiącach (ryc. 7).
Ryc. 5. Zdjęcie po wypełnieniu kanałów metodą kondensacji bocznej zimnej gutaperki z AH Plus Jet – widoczne ujścia kanałów MB1, MB2, MB3, DB1, DB2, P.
Ryc. 6. Zdjęcie rentgenowskie po zakończeniu leczenia kanałowego (uwidocznione kanały MB1, MB2, DB1, P).
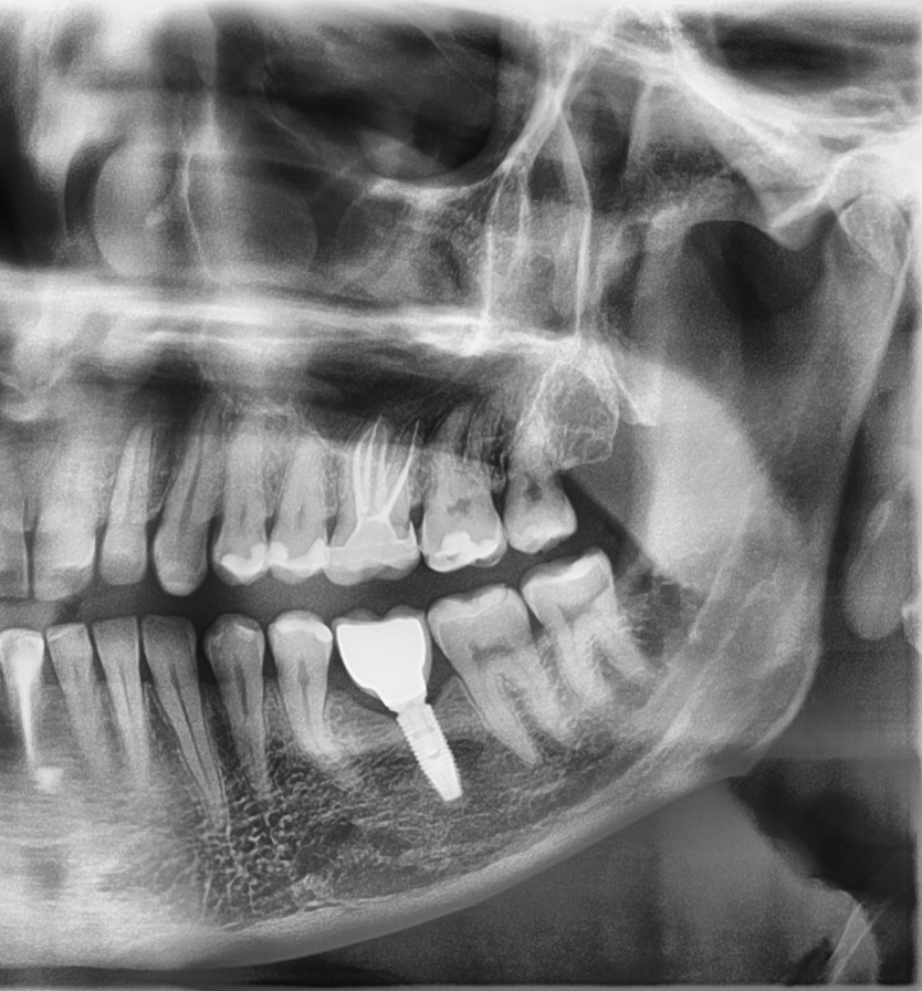
Ryc. 7. Pantomogram strony lewej szczęki i żuchwy wykonany około 3 miesiąca od rozpoczęcia leczenia – ząb 26 leczony kanałowo, odbudowany za pomocą endokorony, w miejscu braku zęba 36 – implant z koroną.
Wnioski
Brak nawet jednego zęba może wymuszać na nas konieczność leczenia interdyscyplinarnego pacjenta – zarówno leczenie protetyczne, endodontyczne, jak i chirurgiczne, odgrywa tutaj znaczącą rolę. Zachowanie żywej miazgi często uniemożliwia utrzymanie prawidłowych warunków zgryzowych. Endodonta, we współpracy z protetykiem, musi umieć kwalifikować zęby do leczenia endodontycznego. Odnalezienie wszystkich dodatkowych kanałów zwiększa szansę na powodzenie leczenia.
II MIEJSCE W II EDYCJI KONKURSU: Uzupełnienie braku zęba 36, a konieczność leczenia kanałowego (...)
MS 2021; 1: 20-23.
M