MS 2021; 1: 12-17.

Endodoncja ekstremalna czy kompromisowa? Opis przypadku
Extreme or compromise endodontic treatment? Case report
Michał Dębicki
Streszczenie
Mężczyzna w wieku 27 lat został poddany leczeniu endodontycznemu, którego konieczność wynikała z jatrogennej perforacji korzeni zębów 36 i 37 wywołujących stan zapalny miazgi i przyzębia. Perforacje powstały podczas próby wprowadzenia mikroimplantów ortodontycznych niezbędnych do leczenia ortodontycznego stanowiącego etap leczenia przedprotetycznego. Po diagnostyce opartej m. in. o obrazowanie CBCT, perforacje w obu zębach zamknięto z użyciem mikroskopu zabiegowego materiałami biozgodnymi i przeprowadzono leczenie endodontyczne. Nie usuwano tkwiących w kości i w tkankach zęba złamanych wierteł przygotowujących przestrzeń pod planowane mikroimplanty ortodontyczne. Czteroletni okres obserwacji pozwolił potwierdzić słuszność podjętej decyzji o pozostawieniu zarówno zębów, jak i nie usuwaniu złamanych fragmentów wierteł.
Abstract
A 27-year-old male underwent endodontic treatment, the necessity of which was due to the iatrogenic perforation of the roots of teeth 36 and 37, causing pulpitis and periodontitis. Perforations formed during an attempt to introduce orthodontic microimplants necessary for orthodontic treatment constituting a stage of pre-prosthetic treatment. After diagnostics based on e.g. o CBCT imaging, perforations in both teeth were filled with a surgical microscope with biocompatible materials and endodontic treatments were performed. Broken drills stuck in the bone and in the tissues of the teeth, which prepared the space for the planned orthodontic microimplants, were not removed. The four-year observation period allowed to confirm the correctness of the decision made to keep both the teeth and not to remove the broken drill parts.
A 27-year-old male underwent endodontic treatment, the necessity of which was due to the iatrogenic perforation of the roots of teeth 36 and 37, causing pulpitis and periodontitis. Perforations formed during an attempt to introduce orthodontic microimplants necessary for orthodontic treatment constituting a stage of pre-prosthetic treatment. After diagnostics based on e.g. o CBCT imaging, perforations in both teeth were filled with a surgical microscope with biocompatible materials and endodontic treatments were performed. Broken drills stuck in the bone and in the tissues of the teeth, which prepared the space for the planned orthodontic microimplants, were not removed. The four-year observation period allowed to confirm the correctness of the decision made to keep both the teeth and not to remove the broken drill parts.
Hasła indeksowe: perforacja, leczenie endodontyczne, MTA, Biodentine, mikroimplanty ortodontyczne, powikłania, jatrogenia
Key words: perforation, root canal treatment, MTA, Biodentine, orthodontic microimplants, complications, iatrogenic disease
W prezentowanym przypadku opisano dość ryzykowne leczenie endodontyczne dwóch zębów trzonowych żuchwy. Pacjent poinformowany o potencjalnym niepowodzeniu terapii zdecydował się na zaproponowane leczenie endodontyczne.
Opis przypadku
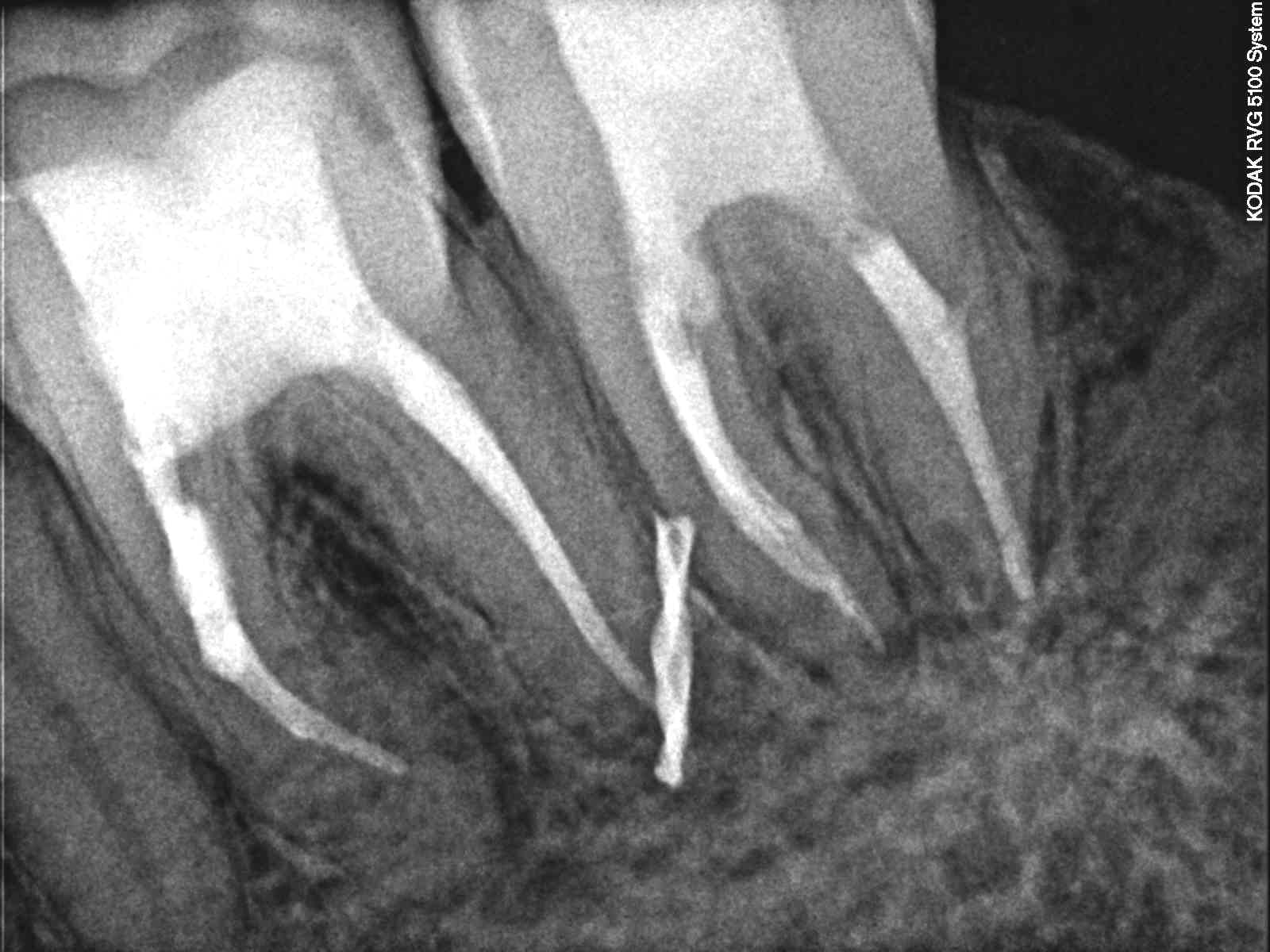
Mężczyzna, lat 27, został skierowany do gabinetu specjalistycznego w celu kontynuacji leczenia endodontycznego zęba 36. Pacjent poinformował, iż przed kilku laty był poddany zabiegowi usunięcia guza szczęki (fibromatosis) wraz z tkwiącymi w nim zębami od 22 do 27 włącznie, a w chwili obecnej jest przygotowywany do ekstruzji zatrzymanego zęba 28 mającego służyć jako filar w leczeniu protetycznym. Brak skrzydłowy zębów szczęki po stronie lewej był zaopatrzony protezą częściową osiadającą. Ze względu na brak informacji pisemnej skontaktowano się telefonicznie z lekarzem prowadzącym. Na podstawie rozmowy ustalono, iż u pacjenta zaplanowano również intrudowanie dolnych zębów trzonowych (36 i 37), które wyrznęły się biernie z powodu braku kontaktu z zębami przeciwstawnymi. W związku z tym podjęto próbę zakotwiczenia się mikroimplantami, ale podczas nawiercania kości dwukrotnie złamano wiertła. Na podstawie badań radiologicznych (ryc. 1), (film 1, 2) wykonanych w gabinecie, przed wkroczeniem do jamy zęba, jak i w trakcie leczenia, a także na podstawie badania klinicznego oraz rozmowy z lekarzem prowadzącym, ustalano następujący przebieg dotychczasowego leczenia oraz stan miejscowy w chwili zgłoszenia się pacjenta do gabinetu.

Ryc. 1. Zdjęcie rentgenowskie wykonane w chwili zgłoszenia się pacjenta do gabinetu. Kanały korzeniowe zęba 36 wypełnione częściowo dość dobrze kontrastującym się materiałem; przy wierzchołku korzenia bliższego zmiana zapalna. Pomiędzy wierzchołkiem korzenia dalszego zęba 36 a wierzchołkiem korzenia bliższego zęba 37 widoczny fragment złamanego wiertła.
Film 1, 2. Badanie CBCT potwierdzające lokalizację złamanych fragmentów narzędzi oraz perforację korzeni zębów w płaszczyźnie horyzontalnej. W filmie kursorem wskazywane są kolejne miejsca preparacji przestrzeni dla implantów ortodontycznych. Zmieniający się obraz przekroju horyzontalnego widoczny jest w lewej górnej części ekranu. (Film 1 dostępny tutaj, film 2 tutaj)
1. Ząb 36 w trakcie leczenia endodontycznego, w obrębie kanałów widoczny materiał dobrze kontrastujący się na zdjęciu rentgenowskim, prawdopodobnie pasta zawierająca w swoim składzie wodorotlenek wapnia i niewielką ilość jodoformu (ryc. 1‑3). W połowie wysokości korzenia bliższego widoczny był fragment wiertła, który uległ separacji podczas preparacji łoża pod mikroimplant. Operator sperforował kanał bliższy policzkowy, pozostawiając wierzchołek narzędzia w obrębie korzenia (pierwsza próba nawiercania). Wbity w korzeń fragment był dobrze widoczny w kanale od strony jamy zęba (ryc. 4), (film 1, 2). Pacjent skarżył się na ból zęba podczas nagryzania.

Ryc. 2. Zdjęcie rentgenowskie z narzędziami wprowadzonymi do kanałów bliższych po wcześniejszym usunięciu znajdującego się w nich materiału. Zostało wykonane w związku z trudnościami w ocenie długości roboczej kanałów metodą endometryczną i w celu oceny prawidłowości przebiegu preparacji. Brak możliwości wprowadzenia narzędzi na pełną długość spowodowany najprawdopodobniej wytworzonym podczas wcześniejszych prób leczenia endodontycznego stopniem w zębinie korzeniowej w miejscu łączenia się kanałów bliższych.

Ryc. 3. Zdjęcie rentgenowskie wykonane po całkowitym usunięciu materiału z systemu kanałowego zęba 36. Na obraz kanałów bliższych nakłada się dobrze kontrastujący materiał. W korzeniu bliższym zęba 37 natomiast widoczny ubytek tkanek nieco poniżej szyjki zęba. Zdjęcie rentgenowskie wykonane z ćwiekiem gutaperkowym wsuniętym do przetoki ropnej, prowadzącym do miejsca przyczynowego.

Ryc. 4. Obraz z mikroskopu zabiegowego (ząb 36). W kanale bliższym policzkowym widoczny fragment metalowego narzędzia.
2. Ząb 37 z martwą miazgą i przetoką na granicy części koronowej i środkowej korzenia bliższego. Zdjęcia rentgenowskie wykonane w gabinecie wykazały perforację korzenia bliższego zlokalizowaną około 3 mm poniżej szyjki zęba, powstałą w wyniki nawiercania kości w celu osadzenia mikroimplantu (druga próba nawiercania) oraz fragment wiertła tkwiący pomiędzy wierzchołkami korzenia dalszego zęba 36 oraz korzenia bliższego zęba 37 (trzecia próba nawiercania) (ryc. 1‑3) (film 1 i2).
Po ustaleniu z pacjentem planu leczenia wykonano następujące czynności:
Leczenie endodontyczne zęba 36
1. Opracowano kanały korzeniowe bliższe oraz kanał dalszy. Kanały bliższe nie zostały opracowane na pełnej długości roboczej (ryc. 3). Kanały wypełniono czasowo pastą na bazie wodorotlenku wapnia (Biopulp).
2. Na następnej wizycie część wierzchołkową kanału bliższego policzkowego wypełniono do wysokości perforacji termoplastyczną gutaperką i uszczelniaczem AH Plus (System B + Obtura 2), pozostałą część zaś preparatem Biodentine.
3. Kanał bliższy językowy i kanał dalszy wypełniono termoplastyczną gutaperką (System B + Obtura 2) i uszczelniaczem AH Plus.
4. Koronę zęba odbudowano materiałem złożonym na kolejnej wizycie.
Leczenie endodontyczne zęba 37
1. Wstępnie opracowano kanały korzeniowe.
2. Po umieszczeniu ćwieka gutaperkowego w świetle kanału bliższego policzkowego, zabezpieczającego go przed przedostaniem się cementu do dalszej części kanału, zamknięto perforację materiałem ProRoot MTA (ryc. 5).

Ryc. 5. Zdjęcie wykonane po zamknięciu perforacji materiałem MTA – ząb 37 (strzałka żółta). Aby zapobiec wtłoczeniu cementu do kanału, umieszczono w jego świetle ćwiek gutaperkowy (strzałka niebieska).
3. Na następnej wizycie usunięto ćwiek gutaperkowy z kanału bliższego policzkowego, dokończono instrumentacje kanałów i ostatecznie wypełniono ich światło termoplastyczną gutaperką i pastą AH Plus (ryc. 6‑10).

Ryc. 6. Zdjęcie wykonane po opracowaniu kanałów – tu widoczne ujścia kanałów bliższych.

Ryc. 7. Zdjęcie wykonane po opracowaniu kanałów – tu widoczne ujście kanału dalszego.

Ryc. 8. Zdjęcie wykonane po wypełnieniu kanałów uplastycznioną cieplnie gutaperką – tu widoczne ujścia kanałów bliższych.

Ryc. 9. Zdjęcie wykonane po wypełnieniu kanałów uplastycznioną cieplnie gutaperką – tu widoczne ujście kanału dalszego.

Ryc. 10. Zdjęcie rentgenowskie wykonane po wypełnieniu kanałów.
4. Koronę zęba odbudowano materiałem złożonym.
Leczenie przeprowadzono zgodnie z obowiązującymi standardami, to jest w osłonie koferdamu, płucząc kanały podchlorynem sodu i używając roztwory chelatujące aktywowane ultradźwiękami.
Podczas badania kontrolnego wykonanego trzeciego dnia po wypełnieniu kanałów nie stwierdzono jakichkolwiek objawów patologicznych ze strony leczonych zębów. Zgłaszany wcześniej przez pacjenta ból zęba 36 występujący podczas nagryzania ustąpił, a przetoka związana z perforacją korzenia bliższego zęba 37 była nieaktywna i ulegała zamknięciu. Kolejne badanie kontrolne wykonane po 4 latach wykazało zachowane zęby w jamie ustnej. Pacjent nie skarżył się na żadne dolegliwości; badanie kliniczne i radiologiczne nie wykazało jakiejkolwiek patologii zarówno w tkankach przyzębia wierzchołkowego, jak i na wysokości perforacji obu leczonych zębów (ryc. 11).

Ryc. 11. Kontrolne zdjęcie rentgenowskie wykonane po 4 latach od zakończenia leczenia.
Omówienie
W prezentowanym przypadku mimo dość dużego ryzyka niepowodzenia zdecydowano się na leczenie endodontyczne. Jak wykazała 4‑letnia obserwacja, była to dobra decyzja. W tym miejscu należy zdecydowanie stwierdzić, że pozytywny wynik uzyskano dzięki przestrzeganiu zaleceń Europejskiego Towarzystwa Endodontycznego (izolacja koferdamem, płukanie kanałów odpowiednimi roztworami, szczelne wypełnienie kanałów) oraz zastosowaniu cementów krzemowo‑wapniowych do zamknięcia perforacji (1). Nie zdecydowano się na usunięcie złamanych fragmentów wierteł, zakładając, że wykonane ze stali nierdzewnej nie powinny wywołać stanu zapalnego. Usunięcie chirurgiczne jest też zabiegiem obarczonym dość dużym ryzykiem powikłań i nie do końca przewidywalnym.
W prezentowanym przypadku opisano dość ryzykowne leczenie endodontyczne dwóch zębów trzonowych żuchwy. Pacjent poinformowany o potencjalnym niepowodzeniu terapii zdecydował się na zaproponowane leczenie endodontyczne.
Opis przypadku
Mężczyzna, lat 27, został skierowany do gabinetu specjalistycznego w celu kontynuacji leczenia endodontycznego zęba 36. Pacjent poinformował, iż przed kilku laty był poddany zabiegowi usunięcia guza szczęki (fibromatosis) wraz z tkwiącymi w nim zębami od 22 do 27 włącznie, a w chwili obecnej jest przygotowywany do ekstruzji zatrzymanego zęba 28 mającego służyć jako filar w leczeniu protetycznym. Brak skrzydłowy zębów szczęki po stronie lewej był zaopatrzony protezą częściową osiadającą. Ze względu na brak informacji pisemnej skontaktowano się telefonicznie z lekarzem prowadzącym. Na podstawie rozmowy ustalono, iż u pacjenta zaplanowano również intrudowanie dolnych zębów trzonowych (36 i 37), które wyrznęły się biernie z powodu braku kontaktu z zębami przeciwstawnymi. W związku z tym podjęto próbę zakotwiczenia się mikroimplantami, ale podczas nawiercania kości dwukrotnie złamano wiertła. Na podstawie badań radiologicznych (ryc. 1), (film 1, 2) wykonanych w gabinecie, przed wkroczeniem do jamy zęba, jak i w trakcie leczenia, a także na podstawie badania klinicznego oraz rozmowy z lekarzem prowadzącym, ustalano następujący przebieg dotychczasowego leczenia oraz stan miejscowy w chwili zgłoszenia się pacjenta do gabinetu.

Ryc. 1. Zdjęcie rentgenowskie wykonane w chwili zgłoszenia się pacjenta do gabinetu. Kanały korzeniowe zęba 36 wypełnione częściowo dość dobrze kontrastującym się materiałem; przy wierzchołku korzenia bliższego zmiana zapalna. Pomiędzy wierzchołkiem korzenia dalszego zęba 36 a wierzchołkiem korzenia bliższego zęba 37 widoczny fragment złamanego wiertła.
Film 1, 2. Badanie CBCT potwierdzające lokalizację złamanych fragmentów narzędzi oraz perforację korzeni zębów w płaszczyźnie horyzontalnej. W filmie kursorem wskazywane są kolejne miejsca preparacji przestrzeni dla implantów ortodontycznych. Zmieniający się obraz przekroju horyzontalnego widoczny jest w lewej górnej części ekranu. (Film 1 dostępny tutaj, film 2 tutaj)
1. Ząb 36 w trakcie leczenia endodontycznego, w obrębie kanałów widoczny materiał dobrze kontrastujący się na zdjęciu rentgenowskim, prawdopodobnie pasta zawierająca w swoim składzie wodorotlenek wapnia i niewielką ilość jodoformu (ryc. 1‑3). W połowie wysokości korzenia bliższego widoczny był fragment wiertła, który uległ separacji podczas preparacji łoża pod mikroimplant. Operator sperforował kanał bliższy policzkowy, pozostawiając wierzchołek narzędzia w obrębie korzenia (pierwsza próba nawiercania). Wbity w korzeń fragment był dobrze widoczny w kanale od strony jamy zęba (ryc. 4), (film 1, 2). Pacjent skarżył się na ból zęba podczas nagryzania.

Ryc. 2. Zdjęcie rentgenowskie z narzędziami wprowadzonymi do kanałów bliższych po wcześniejszym usunięciu znajdującego się w nich materiału. Zostało wykonane w związku z trudnościami w ocenie długości roboczej kanałów metodą endometryczną i w celu oceny prawidłowości przebiegu preparacji. Brak możliwości wprowadzenia narzędzi na pełną długość spowodowany najprawdopodobniej wytworzonym podczas wcześniejszych prób leczenia endodontycznego stopniem w zębinie korzeniowej w miejscu łączenia się kanałów bliższych.

Ryc. 3. Zdjęcie rentgenowskie wykonane po całkowitym usunięciu materiału z systemu kanałowego zęba 36. Na obraz kanałów bliższych nakłada się dobrze kontrastujący materiał. W korzeniu bliższym zęba 37 natomiast widoczny ubytek tkanek nieco poniżej szyjki zęba. Zdjęcie rentgenowskie wykonane z ćwiekiem gutaperkowym wsuniętym do przetoki ropnej, prowadzącym do miejsca przyczynowego.
Ryc. 4. Obraz z mikroskopu zabiegowego (ząb 36). W kanale bliższym policzkowym widoczny fragment metalowego narzędzia.
2. Ząb 37 z martwą miazgą i przetoką na granicy części koronowej i środkowej korzenia bliższego. Zdjęcia rentgenowskie wykonane w gabinecie wykazały perforację korzenia bliższego zlokalizowaną około 3 mm poniżej szyjki zęba, powstałą w wyniki nawiercania kości w celu osadzenia mikroimplantu (druga próba nawiercania) oraz fragment wiertła tkwiący pomiędzy wierzchołkami korzenia dalszego zęba 36 oraz korzenia bliższego zęba 37 (trzecia próba nawiercania) (ryc. 1‑3) (film 1 i2).
Po ustaleniu z pacjentem planu leczenia wykonano następujące czynności:
Leczenie endodontyczne zęba 36
1. Opracowano kanały korzeniowe bliższe oraz kanał dalszy. Kanały bliższe nie zostały opracowane na pełnej długości roboczej (ryc. 3). Kanały wypełniono czasowo pastą na bazie wodorotlenku wapnia (Biopulp).
2. Na następnej wizycie część wierzchołkową kanału bliższego policzkowego wypełniono do wysokości perforacji termoplastyczną gutaperką i uszczelniaczem AH Plus (System B + Obtura 2), pozostałą część zaś preparatem Biodentine.
3. Kanał bliższy językowy i kanał dalszy wypełniono termoplastyczną gutaperką (System B + Obtura 2) i uszczelniaczem AH Plus.
4. Koronę zęba odbudowano materiałem złożonym na kolejnej wizycie.
Leczenie endodontyczne zęba 37
1. Wstępnie opracowano kanały korzeniowe.
2. Po umieszczeniu ćwieka gutaperkowego w świetle kanału bliższego policzkowego, zabezpieczającego go przed przedostaniem się cementu do dalszej części kanału, zamknięto perforację materiałem ProRoot MTA (ryc. 5).

Ryc. 5. Zdjęcie wykonane po zamknięciu perforacji materiałem MTA – ząb 37 (strzałka żółta). Aby zapobiec wtłoczeniu cementu do kanału, umieszczono w jego świetle ćwiek gutaperkowy (strzałka niebieska).
3. Na następnej wizycie usunięto ćwiek gutaperkowy z kanału bliższego policzkowego, dokończono instrumentacje kanałów i ostatecznie wypełniono ich światło termoplastyczną gutaperką i pastą AH Plus (ryc. 6‑10).
Ryc. 6. Zdjęcie wykonane po opracowaniu kanałów – tu widoczne ujścia kanałów bliższych.
Ryc. 7. Zdjęcie wykonane po opracowaniu kanałów – tu widoczne ujście kanału dalszego.
Ryc. 8. Zdjęcie wykonane po wypełnieniu kanałów uplastycznioną cieplnie gutaperką – tu widoczne ujścia kanałów bliższych.
Ryc. 9. Zdjęcie wykonane po wypełnieniu kanałów uplastycznioną cieplnie gutaperką – tu widoczne ujście kanału dalszego.

Ryc. 10. Zdjęcie rentgenowskie wykonane po wypełnieniu kanałów.
4. Koronę zęba odbudowano materiałem złożonym.
Leczenie przeprowadzono zgodnie z obowiązującymi standardami, to jest w osłonie koferdamu, płucząc kanały podchlorynem sodu i używając roztwory chelatujące aktywowane ultradźwiękami.
Podczas badania kontrolnego wykonanego trzeciego dnia po wypełnieniu kanałów nie stwierdzono jakichkolwiek objawów patologicznych ze strony leczonych zębów. Zgłaszany wcześniej przez pacjenta ból zęba 36 występujący podczas nagryzania ustąpił, a przetoka związana z perforacją korzenia bliższego zęba 37 była nieaktywna i ulegała zamknięciu. Kolejne badanie kontrolne wykonane po 4 latach wykazało zachowane zęby w jamie ustnej. Pacjent nie skarżył się na żadne dolegliwości; badanie kliniczne i radiologiczne nie wykazało jakiejkolwiek patologii zarówno w tkankach przyzębia wierzchołkowego, jak i na wysokości perforacji obu leczonych zębów (ryc. 11).

Ryc. 11. Kontrolne zdjęcie rentgenowskie wykonane po 4 latach od zakończenia leczenia.
Omówienie
W prezentowanym przypadku mimo dość dużego ryzyka niepowodzenia zdecydowano się na leczenie endodontyczne. Jak wykazała 4‑letnia obserwacja, była to dobra decyzja. W tym miejscu należy zdecydowanie stwierdzić, że pozytywny wynik uzyskano dzięki przestrzeganiu zaleceń Europejskiego Towarzystwa Endodontycznego (izolacja koferdamem, płukanie kanałów odpowiednimi roztworami, szczelne wypełnienie kanałów) oraz zastosowaniu cementów krzemowo‑wapniowych do zamknięcia perforacji (1). Nie zdecydowano się na usunięcie złamanych fragmentów wierteł, zakładając, że wykonane ze stali nierdzewnej nie powinny wywołać stanu zapalnego. Usunięcie chirurgiczne jest też zabiegiem obarczonym dość dużym ryzykiem powikłań i nie do końca przewidywalnym.
PIŚMIENNICTWO
1. Quality guidelines for endodontic treatment: consensus report of the European Society of Endodontology. Int. Endod. J. 2006; 39(12): 921-30.
1. Quality guidelines for endodontic treatment: consensus report of the European Society of Endodontology. Int. Endod. J. 2006; 39(12): 921-30.
m