Dostęp do tego artykułu jest płatny.
Zapraszamy do zakupu!
Cena: 23.76 PLN (z VAT)
Kup artykuł
Po dokonaniu zakupu artykuł w postaci pliku PDF prześlemy bezpośrednio pod twój adres e-mail.
MS 2022; 1: 16-20.
Hemisekcja jako przykład zabiegu z zakresu chirurgii endodontycznej. Opis przypadków klinicznych
Hemisection as an illustrative procedure in the endodontic surgery – case reports
Michalina Nowakowska, Kacper Nijakowski
Streszczenie
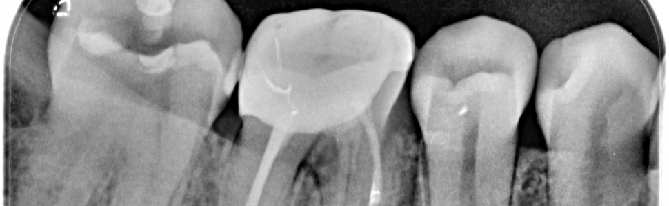
Zabieg hemisekcji polega na usunięciu jednego z korzeni zęba wraz z jego częścią koronową, najczęściej w przypadku zębów trzonowych dolnych. Stanowi alternatywę dla ekstrakcji zęba w przypadku powikłań po leczeniu endodontycznym lub periodontologicznym. W pracy przedstawiono dwa przypadki kliniczne prezentujące przeprowadzone zabiegi hemisekcji. Pierwszy z nich wykonano u pacjenta z próchnicą drążącą wzdłuż korzenia dystalnego poniżej poziomu kości, a drugi u pacjentki z zaostrzoną zmianą okołowierzchołkową przy korzeniu mezjalnym po nieudanej próbie powtórnego leczenia endodontycznego w innym gabinecie.
Abstract
The hemisection involves removing one of the tooth roots with its coronal portion, most commonly in mandibular molars. It is an alternative to tooth extraction in case of complications after endodontic or periodontal treatment. This paper reports two clinical cases presenting the hemisection procedures. The first one was performed in a patient with caries drifting along the distal root below the bone level, and the second one in a patient with an exacerbated periapical lesion at the mesial root after unsuccessful endodontic retreatment in another dental office.
Hasła indeksowe: hemisekcja, chirurgia endodontyczna, zęby trzonowe żuchwy
Key words: hemisection, endodontic surgery, mandibular molars
Hemisection as an illustrative procedure in the endodontic surgery – case reports
Michalina Nowakowska, Kacper Nijakowski
Streszczenie
Zabieg hemisekcji polega na usunięciu jednego z korzeni zęba wraz z jego częścią koronową, najczęściej w przypadku zębów trzonowych dolnych. Stanowi alternatywę dla ekstrakcji zęba w przypadku powikłań po leczeniu endodontycznym lub periodontologicznym. W pracy przedstawiono dwa przypadki kliniczne prezentujące przeprowadzone zabiegi hemisekcji. Pierwszy z nich wykonano u pacjenta z próchnicą drążącą wzdłuż korzenia dystalnego poniżej poziomu kości, a drugi u pacjentki z zaostrzoną zmianą okołowierzchołkową przy korzeniu mezjalnym po nieudanej próbie powtórnego leczenia endodontycznego w innym gabinecie.
Abstract
The hemisection involves removing one of the tooth roots with its coronal portion, most commonly in mandibular molars. It is an alternative to tooth extraction in case of complications after endodontic or periodontal treatment. This paper reports two clinical cases presenting the hemisection procedures. The first one was performed in a patient with caries drifting along the distal root below the bone level, and the second one in a patient with an exacerbated periapical lesion at the mesial root after unsuccessful endodontic retreatment in another dental office.
Hasła indeksowe: hemisekcja, chirurgia endodontyczna, zęby trzonowe żuchwy
Key words: hemisection, endodontic surgery, mandibular molars
PIŚMIENNICTWO
- Mustafa M. Historical perspective in surgical endodontics. Adv Dent & Oral Health. 2016; 3(5): 555603.
- Green EN. Hemisection and root amputation. J Am Dent Assoc. 1986; 112(4): 511-518.
- Varma KM, Chittem J, Satish RK i wsp. A novel approach for restoration of hemisectioned mandibular second molar with modified tunnel restoration: a case report. J Clin Diagn Res. 2014; 8(10): ZD07-9.
- Naveen YG, Patel JR, Parikh P i wsp. Alternatives for restoration of a hemisected mandibular molar. BMJ Case Rep. 2014; 2014: bcr2013010275.
- Saad MN, Moreno J, Crawford C. Hemisection as an alternative treatment for decayed multirooted terminal abutment: a case report. J Cad Dent Assoc. 2009; 75(5): 387-390.
- Jain A, Bahuguna R, Agarwal V. Hemisection as an alternative treatment for resorbed multirooted tooth – a case report. Asian J Oral Health Allied Sci. 2011; 1(1): 44-46.
- Makacewicz S, Panek H, Barzyk M. Hemisekcja – podstawowe zasady planowania odbudowy protetycznej. Dent Med Probl. 2008; 45(4): 473-476.
- Yadav P, Tahir M, Kumar MVS i wsp. Prosthetic rehabilitation of a hemisected maxillary molar: a rare entity. J Indian Prosthodont Soc. 2013; 13(3): 373-377.
- Kurtzman GM, Mahesh L, Qureshi I. Hemisection as an alternative treatment for the vertically fractured mandibular molar. J Park Dent Assoc. 2012; 21(3): 177-181.
- Akki SF, Mahoorkar S. Tooth hemisection and restoration an alternative to extraction – a case report. Int J Dent Clin. 2011; 3(3): 67-68.
- Shafiq MK, Javaid A, Asaad S. Hemisection: an option to treat apically fractured & dislodged part of a mesial root of a molar. JPDA. 2011; 20(03): 183-186.
- Joshipura V. Hemisection – a relevant, practical and successful treatment option. J Int Oral Health. 2011; 3(6): 43-48.
- Shah S, Modi B, Desai K i wsp. Hemisection – a conservative approach for a periodontally compromised tooth: a case report. JoAOR. 2012; 3(2): 21-25.
- Parmar G, Vashi P. Hemisection: a case report and review. Endodontology. 2003; 15: 26-29.
- Langer B, Stein SD, Wagenberg B. An evaluation of root resections. A ten-year study. J Periodontol. 1981; 52(12): 719-722.
- Park J-B. Hemisection of teeth with questionable prognosis. Report of a case with seven-year results. J Int Acad Periodontol. 2009; 11(3): 214-219.